En este estudio valoramos el tratamiento de las fracturas desplazadas de la clavícula con un tercer fragmento o con conminución mediante la osteosíntesis con una placa anatómica y de bajo perfil colocada en la cara superior.
Material y métodoEstudio retrospectivo de 34 pacientes intervenidos desde enero de 2006 hasta junio de 2010, con fracturas de tercio medio de la clavícula conminutas o con tercer fragmento. El seguimiento medio ha sido de 25 meses (6-54 meses). Según la clasificación de Robinson 12 casos eran del tipo 2B, 17 del tipo 2B1, y 5 del tipo 2B2. La valoración clínica se realizó mediante la puntuación obtenida en la escala visual analógica (EVA) y en el test de Constant. La valoración radiológica preoperatoria y durante el seguimiento se llevó a cabo mediante proyecciones AP, una neutra y la otra con haz de Rx inclinado caudocranealmente 30°.
ResultadosLa puntuación media en la escala EVA preoperatoria fue de 6,5 (4-8) y la postoperatoria de 1 (0-2). La puntuación media en el test de Constant fue de 85, con un 30% de casos con buenos resultados y un 70% de excelentes. El tiempo medio en obtener la consolidación fue de 14 semanas.
ConclusionesLa fijación interna con placa anatómica de las fracturas conminutas de la clavícula, especialmente si presentan un tercer fragmento vertical, o fracturas tipo 2B, 2B1 y 2B2, constituyen una buena opción de tratamiento dado el buen resultado funcional y la baja incidencia de pseudoartrosis que presentan.
In this study we evaluate the treatment of displaced mid-shaft clavicle fractures or comminuted fractures with a third fragment using a superior anatomic plate.
Materials and methodsA retrospective study was conducted on 34 patients operated on between January 2006 and June 2010 with this type of fracture. Mean follow up was 25 months (6-54 months). By Robinson Classification, 12 cases were type 2B, 17 type 2B1 and 5 type 2B2. Clinical evaluation was performed with the VAS and Constant test. For the radiological evaluation, we used neutral AP projections, and another with 30 degrees of cranio-caudal inclination.
ResultsThe mean pre-operative VAS was 6.5 (4-8) and the postoperative was 1 (0-2). The mean Constant test score was 85, with 30% good results and 70% excellent results. The mean consolidation time was 14 weeks.
ConclusionInternal fixation of comminuted fractures with an anatomic plate, particularly those with a vertical third fragment and fractures type 2B, 2B1 and 2B2, provides a good treatment option, as it gives good functional results and minimises the incidence of non-union.
Las fracturas de la clavícula constituyen aproximadamente el 4% de todas las fracturas en el adulto, y afectan al tercio medio de la clavícula en el 80% de los casos1,2. Tradicionalmente, este tipo de fracturas se ha tratado ortopédicamente, pero en la bibliografía se llegan a describir tasas de pseudoartrosis de hasta el 15% con este tipo de tratamiento si se trata de fracturas desplazadas3–5.
La aparición de una pseudoartrosis suele traducirse clínicamente en dolor, problemas neurológicos distales y, como consecuencia, en un déficit funcional de la extremidad superior6,7. Aunque se ha propuesto tratar esta complicación con dispositivos endomedulares o fijación externa, la técnica que proporciona mejores resultados consiste en la fijación interna con una placa a compresión y aporte de injerto óseo8,9.
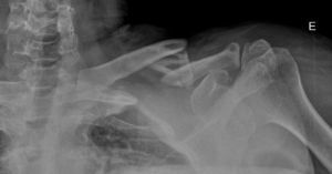
En este estudio pretendemos valorar el resultado obtenido tras el tratamiento de las fracturas conminutas desplazadas (fig. 1) o con un tercer fragmento del tercio medio de la clavícula, mediante la osteosíntesis con una placa anatómica de bajo perfil colocada en la cara superior del hueso.
Material y métodoEntre enero de 2006 y junio de 2010 hemos realizado un estudio retrospectivo que incluye 34 pacientes tratados quirúrgicamente y que presentaban una fractura desplazada del tercio medio de la clavícula (fig. 2). Los criterios de exclusión fueron las fracturas abiertas, edad inferior a 18 años y superior a 60, fractura del tercio proximal o distal, lesiones asociadas de nervios, fracturas asociadas en el mismo lado o en el contralateral, fracturas previas de clavícula, función anormal en el lado lesionado o enfermedad inflamatoria o reumática. Veintinueve de los casos eran varones y 5 mujeres, con una edad media de 43 años (19-57 años). El mecanismo de la lesión fue un accidente de tráfico en 22 casos, traumatismos deportivos en 7 y caídas en 5. Por lo que respecta a la lateralidad, 8 afectaron la clavícula izquierda y 26 la derecha. Para la clasificación de las fracturas de clavícula se utilizó la propuesta por Robinson2. Así, 12 casos correspondieron a fracturas del tipo 2B, 17 fueron del tipo 2B1, y 5 del tipo 2B2.
Todos los pacientes fueron intervenidos por el mismo cirujano. Colocados en posición de silla de playa, se practicó un abordaje siguiendo el eje longitudinal de la clavícula. Una vez localizados los extremos de la fractura se realizó el curetaje del foco, la liberación de las partes blandas interpuestas y la reducción temporal de los fragmentos con pinzas reductoras. La fijación definitiva de la clavícula se lleva a cabo con una placa anatómica preconformada colocada siempre en la cara superior (Acumed, Hillsboro, OR®). En 15 de los 34 pacientes (44,1%), en los que había pasado más de tres semanas de la fractura, se aportó sustitutivo óseo (BMX, Synthes® Oberdorf) (fig. 3).
Todos los casos fueron inmovilizados con un Gilcrist durante 10 días, tras los cuales se inició el tratamiento rehabilitador. La valoración clínica se realizó mediante la escala visual analógica (EVA), cuyo rango va de 0 (no dolor) a 10 (dolor severo), y mediante el test de Constant. La puntuación máxima de este test es de 100 e incluye 4 ítems: dolor (15 puntos), actividades de la vida diaria (20), balance articular (40) y fuerza (25). En cuanto a la valoración radiológica, a todos los pacientes se les practicaron proyecciones AP, una neutra y la otra con haz de Rx inclinado caudocranealmente 30°. En ellas se valoraron la reducción obtenida, la consolidación y la aparición de complicaciones. Las radiografías se hicieron en el postoperatorio inmediato, a los tres meses, 6 meses y al final del seguimiento.
ResultadosLa puntuación media en la escala EVA antes de la cirugía fue de 6,5 (4-8), y la postoperatoria fue de 1 (0-2). En cuanto al test de Constant, éste se realizó al final del seguimiento y se consiguió una puntuación media de 85, con un 30% de casos con buenos resultados y un 70% de excelentes.
Dentro de las complicaciones, dos casos (5,8%) presentaron un retraso de la consolidación. Uno de ellos acabó consolidando y el otro desarrollo una pseudoartrosis con aflojamiento de la placa, requiriendo una nueva reintervención con la colocación de una nueva placa y aporte de injerto autólogo de cresta ilíaca. Estos casos de retardo de consolidación y pseudoartrosis coincidían con pacientes intervenidos más de tres semanas después de la fractura.
Una paciente presentaba molestias con la placa al realizar las actividades diarias y solicitó la retirada del material de osteosíntesis. Otros 7 pacientes tenían molestias en el área de la cicatriz, aunque al final del seguimiento desaparecieron completamente. El seguimiento medio fue de 25 meses (6-54 meses).
En cuanto a la consolidación se refiere, ésta se consiguió con un tiempo medio de 14 semanas (8-42 semanas). Para la evaluación radiológica de la consolidación de la fractura se observó el paso de puentes óseos entre los fragmentos de fractura (fig. 4). En 7 casos se solicitó además una tomografía computarizada para la confirmar la consolidación.
DiscusiónEl tratamiento de las fracturas de clavícula ha sido clásicamente conservador. Sin embargo, existen numerosos estudios que indican la aparición de complicaciones con dicho proceder. Las más frecuentes son la pseudoartrosis, el callo hipertrófico, la impotencia funcional a los esfuerzos, etc.10,11. En el estudio multicéntrico y randomizado llevado a cabo por la Canadian Orthopaedic Trauma Society en el 2007, sobre un total de 134 pacientes (65 tratados conservadoramente y 67 mediante fijación con placa), se observó que los tratados quirúrgicamente tenían un mejor resultado clínico y radiográfico que los tratados conservadoramente, con una menor incidencia de consolidaciones en mala posición sintomáticas y pseudoartrosis. La conclusión del estudio fue que el tratamiento quirúrgico es el más recomendado para este subtipo de fracturas de clavícula12.
Aunque sigue existiendo cierta controversia sobre si el mejor sistema de osteosíntesis para la clavícula son las placas o los dispositivos endomedulares13, nosotros consideramos que en los casos de fracturas conminutas o con un tercer fragmento, la colocación de una placa anatómica consigue una mayor estabilidad, lo que favorece el proceso de consolidación. En nuestra serie, comparable con otras en las que se ha utilizado el mismo material y con similares patrones fracturarios13, hubo que lamentar un solo caso de pseudoartrosis debido al fallo del material. Por ello pensamos que el tratamiento de las fracturas conminutas, especialmente aquellas con un tercer fragmento vertical, debe ser eminentemente quirúrgico pues evita la aparición de callos hipertróficos y sintomáticos así como minimiza la tasa de pseudoartrosis. En este sentido, no es lo mismo intervenir una fractura de clavícula en fase aguda que en fase de pseudoartrosis. Está demostrado que los resultados obtenidos tras el tratamiento quirúrgico de una pseudoartrosis no son tan satisfactorios como tras intervenir una fractura de clavícula en fase aguda14–16. Rosenberg et al.14 estudiaron 13 pacientes con pseudoartrosis de clavícula tratadas mediante placa y con un seguimiento de 41 meses, observando que solo el 46% de los pacientes volvieron a sus actividades laborales y de ocio previas a la fractura, quedando solo tres pacientes libres de dolor. Concluyen que aunque se consigue una fijación estable con este método, la clínica de los pacientes puede persistir.
Entre las limitaciones de nuestro estudio cabe mencionar que hay algunos pacientes a los que se les coloca injerto óseo y a otros no, hecho basado solamente en criterios cronológicos y que podría alterar los resultados. El injerto óseo se coloca en las fracturas conminutas o con un tercer fragmento de la clavícula en las que ha pasado más de tres semanas de la lesión. Sin embargo, todos los casos intervenidos, con injerto y sin éste consiguieron la consolidación ósea.
En conclusión, podemos decir que la fijación interna con placa anatómica superior de las fracturas diafisarias conminutas de la clavícula, especialmente con un tercer fragmento vertical, fracturas tipo 2B, 2B1 y 2B2 de Robinson que son las objeto del estudio, constituye una opción muy válida, pues se obtiene un buen resultado funcional y minimiza la incidencia de pseudoartrosis.
Nivel de evidenciaNivel de evidencia: IV.
Responsabilidades éticasProtección de personas y animales. Los autores declaran que para esta investigación no se han realizado experimentos en seres humanos ni en animales.Confidencialidad de los datos. Los autores declaran que en este artículo no aparecen datos de pacientes.Derecho a la privacidad y consentimiento informado. Los autores declaran que en este artículo no aparecen datos de pacientes.
Conflicto de interesesLos autores declaran no tener ningún conflicto de intereses.






