La técnica en scarf para el tratamiento del hallux valgus fue inicialmente descrita por Burutarán en 1976, en San Sebastián1,2. Posteriormente fue desarrollada por Gudas en 1982 y sobre todo por Weil y Borelli en 19841,2, y retomada en Europa por Barouk1,3,4. Aunque son muchas y diversas las técnicas descritas para el tratamiento de esta deformidad5,6, desde 1998 nuestra unidad realiza la técnica en scarf como método rutinario para el tratamiento del hallux valgus, generalmente asociada a otras técnicas sobre la falange proximal del primer dedo. El objetivo del presente estudio ha sido analizar los resultados a corto-medio plazo de los pacientes sometidos a este procedimiento mediante una valoración clínica, radiológica y subjetiva, y valorar las posibles complicaciones.
MATERIAL Y MÉTODO
Se revisaron 34 pacientes, con un total de 44 pies operados entre los años 1998 y 2001 por presentar un hallux valgus doloroso mediante la técnica en scarf, asociada o no a otros procedimientos. La muestra constaba de 32 mujeres y 2 hombres, con una edad media de 52 años (21-65); el lado fue derecho en 26 casos (59,1%) e izquierdo en 18 (40,9%). Todos los pacientes presentaban dolor a nivel de la exostosis y de primera articulación metatarsofalángica. En 24 pies (54,5%) se asociaba una bursitis, y en 27 (61,4%) pronación del primer dedo. Las deformidades asociadas en los dedos laterales fueron dedos en martillo en 23 casos (52,3%), dedos en garra en 7 casos (15,9%) y un caso con clinodactilia (2,3%); estas deformidades se localizaban en 22 casos (50%) en el segundo dedo, y en 10 casos (22,7%) en el segundo y tercero. En 38 (86,4%) pies existía metatarsalgia con hiperqueratosis plantar sobre todo a nivel del segundo metatarsiano (59% de los casos). La fórmula digital más frecuentemente encontrada fue el pie egipcio en 31 pies (70,5%), seguido del cuadrado en 12 (27,3%); tan sólo hubo un caso de pie griego. La fórmula metatarsal fue index minus en 26 pies (59,1%), index plus-minus en 16 (36,4%) e index plus en 2 (4,5%).
En todos los casos seguimos la técnica quirúrgica descrita por Barouk1,3,4, fijando la osteotomía diafisaria del primer metatarsiano mediante dos tornillos canulados de doble rosca. En 31 pies la corrección así obtenida no fue suficiente, por lo que se asociaron otros gestos sobre la falange proximal, como la osteotomía de Akin (21 pies) (fig. 1) o el acortamiento de la falange (10 pies). En el postoperatorio se autorizó la deambulación sin restringir la carga, colocando un calzado postquirúrgico con tacón invertido durante 4 a 6 semanas, para posteriormente emplear un calzado convencional.
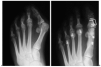
Figura 1. Radiografías anteroposteriores en carga correspondientes a una mujer de 54 años con hallux valgus marcado. A: imagen preoperatoria. B: imagen postoperatoria (18 meses), en la que se aprecia la osteotomía en scarf del primer metatarsiano asociada a la osteotomía de Akin de la primera falange y las osteotomías de Weil del segundo, tercer y cuarto metatarsianos. El resultado fue satisfactorio.
Los pacientes fueron revisados al mes, 3 meses, 6 meses, al año de la operación y en la última revisión. Para valorar los resultados clínicos, empleamos la escala de Groulier7 que valora grado de corrección, dolor, movilidad y estado funcional, con un máximo de 70 puntos y considerando resultados excelentes y buenos a partir de 49 puntos. Pre y postoperatoriamente se realizaron radiografías dorsoplantares y laterales de ambos pies en carga evaluando los ángulos metatarsofalángico del primer dedo (MTF), intermetatarsal (M1-M2), articular metatarsal distal (DMAA), de apertura del antepié (M1-M5) y el ángulo interfalángico (IF).
En la última revisión se valoró el grado de satisfacción del paciente mediante un cuestionario con preguntas respecto al dolor, estética, dificultad para el calzado y distancia caminada, evaluando como mejoría total, algo de mejoría, sin cambios y peor. El seguimiento postoperatorio fue de 30 meses (mínimo 19, máximo 42). Para el análisis estadístico de la muestra se empleó el paquete estadístico SPSS. Las variables cuantitativas se compararon mediante la prueba de la «t» de Student, y el análisis de la varianza, y las cualitativas usando la prueba del Chi cuadrado. Se utilizó un nivel de significación de p ≤ 0,05.
RESULTADOS
Subjetivamente, en 42 pies (95,5%) se refirió una mejoría completa del dolor, y tan sólo en 2 casos (4,5%) algo de mejoría, no hubo ningún caso de empeoramiento de dolor. Respecto al agrado cosmético obtenido, en 34 casos (77,3%) consideraron una mejoría total de su aspecto, en 5 (11,4%) algo de mejoría y en los 5 restantes (11,4%) sin cambios respecto al preoperatorio. En 31 pies (70,5%) no se refería dificultad para el empleo del calzado habitual, en 8 casos (18,2%) algo de mejoría, en 4 (9,1%) no hubo cambio alguno y en 1 caso (2,3%) la dificultad para el calzado fue peor que preoperatoriamente. En lo concerniente a la limitación de la distancia caminada, en 35 casos (79,5%) consideraron que la mejoría había sido total, en 8 (18,2%) que existía algo de mejoría y en 1 caso (2,3%) sin cambios.
En cuanto a la gravedad del hallux valgus en el preoperatorio fue leve en 11 pies (25%), moderada en 14 (31,8%) e grave en 19 (43,2%), pasando a ser en el postoperatorio: leve en 41 pies (93,2%) y moderada en 3 pies (6,8%), no habiendo ningún caso grave.
Clínicamente, la puntuación postoperatoria media según la escala de Groulier fue de 59,6 puntos (70-26), siendo el resultado muy bueno en 31 pies (70,5%), bueno en 4 (9,1%) y regular en 9 (20,5%); no encontramos ningún caso de mal resultado. No se encontraron diferencias de puntuación (p = 0,302) entre los pacientes intervenidos sólo mediante osteotomía en scarf (56,7 puntos de media) y aquellos otros en que se asociaron otros gestos quirúrgicos, como la osteotomía de Akin (62,8 puntos) o el acortamiento de la falange proximal (56,9 puntos). Respecto a los grupos de edad, tampoco se encontraron diferencias significativas (p = 0,943) en la puntuación media postoperatoria (tabla 1).
Radiológicamente, se obtuvo una mejoría significativa (tabla 2) de las deformidades al comparar las mediciones postoperatorias con las preoperatorias. Encontramos una correlación significativa (p = 0,04) entre el ángulo M1-M2 preoperatorio y la valoración clínica postoperatoria según la escala de Groulier; no encontramos correlación significativa entre la valoración clínica y el ángulo DMAA preoperatorio (p = 0,320) o el postoperatorio (p = 0,567), aunque existía una tendencia entre resultado clínico y mayor corrección de dicho ángulo (fig. 2).
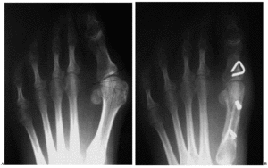
Figura 2. Radiografías anteroposteriores en carga de una mujer de 49 años con hallux valgus moderado con un ángulo articular metatarsiano distal (DMAA) aumentado. A: radiografía preoperatoria. B: radiografía 12 meses después de la intervención; se aprecia una buena corrección del DMAA.
A fin de valorar la curva de aprendizaje de la técnica quirúrgica se compararon los resultados clínicos de los casos operados en el año 1998 (10 pies) y los operados posteriormente (51 pies), encontrando que los primeros casos presentaron peores resultados clínicos (p = 0,01) y radiológicos (p < 0,0001).
Un problema frecuentemente encontrado es el edema postoperatorio presente en la casi totalidad de los casos, que se resuelve espontáneamente a los dos meses de la intervención. En un caso hubo una infección superficial de la herida que curó sin secuelas y otro paciente desarrolló una dehiscencia de la herida que curó por segunda intención. Tan sólo un paciente desarrolló una neuralgia persistente en el borde medial del primer dedo.
La existencia de material intraarticular se produjo en un caso, se trataba de una de las patas de una grapa empleada para la fijación de una osteotomía de Akin en la primera falange. En tres pacientes existió un fracaso del material de osteosíntesis, provocando la consiguiente pérdida de corrección obtenida inicialmente; estos casos de hipocorrección radiológica no precisaron intervención quirúrgica posterior. En un caso se produjo una fractura de la base del primer metatarsiano que se solucionó mediante osteosíntesis con placa de minifragmentos atornillada. En otro caso se desarrolló una metatarsalgia del segundo metatarsiano que se debió a una abstención terapéutica sobre dicho metatarsiano. No tuvimos ningún caso de necrosis avascular de la cabeza del primer metatarsiano, ni algodistrofia.
DISCUSIÓN
Para obtener la máxima eficacia de esta técnica, se requiere cierta meticulosidad y planificación a la hora de su realización3,8,9.Si bien han sido descritas otras osteotomías diafisarias10,11, la osteotomía en scarf nos parece la más ventajosa, pues ofrece la posibilidad de realizar una corrección tridimensional que se adapta a las deformidades que podemos encontrar en el primer radio3, garantiza una buena estabilidad primaria que permite una carga precoz y una rápida consolidación, debido a sus amplias superficies de contacto3,8,12. A pesar de existir publicaciones13-16 que proponen modificaciones a la técnica descrita por Barouk1,3,4, no parecen demostrar claras ventajas sobre ésta.
Los resultados clínicos obtenidos en nuestra serie han sido satisfactorios, encontrando un 79,6% de resultados favorables (buenos y muy buenos) según la escala de Groulier11, lo que es equiparable a otras series publicadas2,8,17. En general, y como sucede en otras series7,9 los resultados subjetivos son superiores a los encontrados en las valoraciones objetivas y radiológicas.
Según algunos autores7,12, la edad es un criterio de mal pronóstico; sin embargo, en nuestra serie, con edades similares a las de aquéllos, no hemos encontrado correlación entre la edad del paciente y el resultado final, por ello pensamos que la edad por sí misma no parece un factor limitante de la técnica.
Al igual que sucede cada vez que se inicia una técnica quirúrgica nueva, existe una curva de aprendizaje que se manifiesta por unos peores resultados en los primeros casos operados; creemos, al igual que Barouk1,3, que los motivos de estos peores resultados iniciales se deben al desplazamiento insuficiente del fragmento plantar y a la no realización de la osteotomía falángica, que originan a menudo hipocorrecciones y recidivas.
En cuanto a la osteotomía falángica asociada, pensamos que debe formar parte del tratamiento quirúrgico del hallux valgus1 y actualmente la empleamos en la mayor parte de las intervenciones; la consideramos necesaria para varizar y así completar la corrección del hallux valgus, acortar en casos de halomegalia y presión intraarticular excesiva, y derrotar cuando exista pronación excesiva del dedo gordo18. Como otros autores2,8,12,14 creemos que los gestos sobre partes blandas como la liberación externa y de los sesamoideos, así como la capsulorrafia interna, contribuyen de manera importante a la corrección y a evitar las recidivas.
Tanto los resultados clínicos2,7,12 como los radiológicos12,17 fueron similares a las otras series (tabla 3), aunque nosotros obtuvimos una corrección radiológica del ángulo M1-M2 inferior a la de otros autores8,9 y por tanto una mayor corrección del DMAA2,9,19. Encontramos, al igual que Bonnel19 que el DMAA está significativamente elevado en el hallux valgus adquirido, siendo de 16,5° como media en nuestra serie, en contraposición a los 6-8° que se encuentran en el sujeto joven sano19. Pensamos que en la planificación operatoria debe prestarse atención no sólo a los ángulos del hallux valgus y M1-M2, sino también al DMAA, pues en los casos en que fuera mayor de 15° estaría contraindicada la osteotomía de la base del primer metatarsiano3,8,19 al agravar la oblicuidad externa de la carilla articular del primer metatarsiano. Así mismo se ha descrito que la técnica en scarf podría corregir metatarsos varos inferiores a 20°, y en los superiores debería recurrirse a otras técnicas de la base o bipolares2,8,12.
El problema más frecuente fue el edema postoperatorio del antepié que persistió de dos a tres meses, en especial en aquellos casos en que se asociaron osteotomías tipo Weil en los radios laterales, así como la moderada pérdida de movilidad de la articulación metatarsofalángica del primer dedo, similar a otras series2,8,17. No hemos encontrado progresión o agravamiento de las alteraciones degenerativas previas en la articulación metatarsofalángica, hecho que atribuimos a la disminución de presión articular que se produce al acortar el primer metatarsiano y/o la primera falange12. Por todo ello creemos que se trata de una técnica adecuada para el tratamiento del hallux valgus en personas de edad avanzada con buena calidad ósea, en las que sería mejor evitar la inmovilización con yeso por sus potenciales complicaciones.







