En los últimos años se ha incrementado el uso de la fijación no cementada en artroplastia de cadera, especialmente en pacientes jóvenes. El propósito de nuestro estudio fue analizar comparativamente los resultados a largo plazo de artroplastias de cadera realizadas en pacientes menores de 50años utilizando fijación cementada, híbrida y no cementada.
MétodoRealizamos un estudio retrospectivo incluyendo adultos menores de 50años con un seguimiento mínimo de 8años. Se confeccionaron tres grupos de estudio según la fijación (total cementada, no cementada e híbrida). La evaluación clínica/funcional fue realizada con el score modificado de cadera de Harris (mHHS) y la escala visual análoga del dolor (EVA). Registramos signos de radiolucencia, aflojamiento y supervivencia en cada grupo.
ResultadosLa serie quedó conformada finalmente por 222 pacientes. Cada grupo mostró mejoría significativa en las escalas de mHHS y EVA. Hubo una diferencia estadísticamente significativa al comparar las radiolucencias de los componentes entre los grupos (p<0,001). No observamos diferencias significativas en la calidad de cementado (p=0,17). El mayor porcentaje de aflojamiento acetabular (20,0%) y femoral (18,9%) fue observado en las artroplastias cementadas e híbridas, respectivamente. La supervivencia a 16años de seguimiento mostró que las artroplastias híbridas tienen el porcentaje más bajo, con 84,2% (p<0,001).
ConclusiónLas artroplastias en pacientes menores de 50años tienen buenos resultados clínicos a largo plazo. Los reemplazos híbridos poseen la menor tasa de supervivencia tras 16años de seguimiento.
Cementless fixation for hip arthroplasties has increased in the last decades, particularly in younger patients. The purpose of this study was to compare the long-term results three different types of fixations in patients under 50years old.
MethodsCemented, hybrid and cementless fixations were assessed in patients under 50years old with a minimum follow-up of 8years. Loosening, demarcation, complications, and prosthesis survival were assessed. Functional analysis was performed with the modified Harris Hip Score and Visual analogue scale was collected.
ResultsFinal series consisted in 222 patients. Significant improvement was observed regarding mHHS and VAS score in each group. We observed statistically significant difference regarding demarcation between the groups (P<.001). The higher rate of acetabular and femoral stem loosening was observed in the cemented (20.0%) and hybrid (18.9%) group. The lowest prosthesis survival rate after 16 years was observed in hybrid group (P<.001).
ConclusionTotal hip replacement has good long-term clinical and functional outcomes. The lowest rate of prosthesis survival was observed in hybrid group with 84.2% after 16years.
La artroplastia total de cadera (ATC) en pacientes menores de 50años se ha incrementado en las últimas décadas1. Con el creciente aumento de la expectativa de vida y la mayor demanda funcional de este grupo particular de pacientes, es altamente probable que requieran una cirugía de revisión en lo que resta de sus vidas1,2.
En los últimos años el uso de la fijación no cementada se ha incrementado a nivel global, especialmente en pacientes jóvenes3, reportando tasas de supervivencia protésica por encima del 90% a largo plazo4-7. Además, existen diferentes ventajas adicionales, como la disminución del tiempo quirúrgico, el menor riesgo de eventos tromboembólicos y, dada la ausencia del cemento, una ulterior revisión con menor demanda tecnica8.
Por otro lado, en los inicios de la fijación cementada, diferentes autores informaron tasas alarmantes de fallo de fijación (hasta un 50%) a corto plazo en pacientes jóvenes9-11. Como consecuencia, su uso fue restringiéndose a pacientes mayores y de menor demanda funcional12,13. Luego, con las mejoras en los diseños de los implantes y de las técnicas de cementación, series más recientes han reportado excelentes tasas de supervivencia protésica (entre 85 y 95%) a más de 10años de seguimiento en pacientes menores de 50años14,15. Adicionalmente, algunos registros internacionales, como el Noruego y el Finlandés, han informado que la supervivencia protésica de la fijación cementada supera a los demás tipos de fijación a largo plazo16,17.
Dada esta falta de consenso respecto del comportamiento de los diferentes tipos de fijación protésica en paciente menores de 50años, decidimos analizar comparativamente los resultados clínicos, funcionales y radiológicos, como también la supervivencia protésica en pacientes menores de 50años, comparando tres métodos de fijación distintos: cementada, híbrida y no cementada. Basados en nuestra experiencia y en diferentes estudios previos, nuestra hipótesis es que la fijación no cementada presenta mejores tasas de supervivencia a largo plazo que los otros dos tipos de fijación.
MétodoEl estudio se realizó de conformidad con los estándares éticos reconocidos por la Declaración de Helsinki y la resolución 008430 de 1993 y cuenta con la aprobación del Comité Ético de la Institución (protocolo 11262), obteniéndose el consentimiento informado de los pacientes que participaron en él. Se llevó a cabo un estudio comparativo retrospectivo en pacientes operados de forma consecutiva en nuestra institución entre febrero de 2005 y enero de 2012. Incluimos pacientes con un rango de edad de 18 a 49años, en los cuales se realizó una ATC primaria por coxartrosis y que completaron un seguimiento mínimo de 8años. Pacientes con historial de cirugías previas de cadera, artritis séptica o reumatoidea y patología oncológica fueron excluidos. Previo al estudio se obtuvo el consentimiento informado de los pacientes incluidos en la serie.
De acuerdo al tipo de fijación utilizado, los pacientes se agruparon en tres categorías: grupoA, conformado por artroplastias cementadas totales; grupoB, con pacientes donde se utilizó una fijación hibrida (cotilo no cementado y vástago cementado), y grupoC, donde se incluyeron artroplastias no cementadas totales.
Los tipos de prótesis utilizados en esta serie fueron:
- -
Grupo A: cotilo Ogee con vástago Charnley cementado (Depuy, Warsaw, Ind, EE.UU.) (fig. 1).
- -
Grupo B: cotilo Duraloc con vástago Charnley cementado (Depuy, Warsaw, Ind, EE.UU.).
- -
Grupo C: cotilo Trident con vástago Accolade no cementado (Stryker, Mahaw, NJ, EE.UU.).
Todas las cirugías fueron llevadas a cabo en quirófano de flujo laminar bajo anestesia raquídea hipotensiva por el mismo equipo y con la misma técnica quirúrgica. La profilaxis antibiótica consistió en la administración de 1gramo (2gramos si el paciente pesaba más de 80kg) de cefazolina, 30minutos antes de la incisión de piel. En todos los casos se utilizó el abordaje anterolateral de Bauer18. Inicialmente se realizó el fresado acetabular con implantación del componente definitivo y el inserto de polietileno correspondiente. En caso de cementar el componente acetabular, se realizó de forma manual utilizando cemento de baja viscosidad, asegurando lograr una cobertura completa y uniforme de la cavidad. Luego, la preparación del canal femoral se realizó con raspas progresivas previo a colocar el implante definitivo. Para los vástagos cementados, un tapón distal se colocó antes de su implantación y se realizó lavado profuso con solución fisiológica y el cementado retrógrado con pistola.
Todos los pacientes adoptaron el mismo protocolo de rehabilitación, realizando durante el primer día postoperatorio ejercicios isométricos de cuádriceps y gemelos y sedestando al borde de la cama. A partir del segundo día comenzaron a deambular con carga completa, asistidos por andador. Según tolerancia de dolor, progresaron con asistencia de dos bastones canadienses durante 3 semanas para luego completar 3 semanas adicionales con el uso de un solo bastón.
Análisis clínicoSe recopiló información de las siguientes variables extraídas de los registros médicos de la institución: edad, sexo, lado operado, índice de masa corporal (IMC) y grado de ASA.
La evaluación clínica/funcional fue llevada a cabo mediante el uso de la escala modificada de cadera de Harris (modified Harris Hip Score [mHHS])19 y la escala visual análoga del dolor (EVA)20, respectivamente. Comparamos los valores preoperatorios con los de la última visita luego de la cirugía, al cierre de este estudio.
Análisis radiográficoPara el análisis radiográfico utilizamos las proyecciones anteroposterior (AP) y lateral (L) de ambas caderas con 10° de rotación interna. La aparición de radiolucencias próximas a los componentes acetabular y femoral fue clasificada según el método descrito por DeLee-Charnley21 y Gruen22. La calidad del cementado fue evaluada a través de la clasificación de Barrack23.
Definimos aflojamiento acetabular como la progresión de líneas radiolúcidas >2mm o la migración del componente >3mm en controles sucesivos24. Por otro lado, los vástagos cementados se consideraron aflojados cuando se observó migración del componente o del cemento. El aflojamiento de los vástagos no cementados fue registrado de acuerdo a la clasificación de Engh y Massini25.
Todas las imágenes fueron tomadas de forma rutinaria a los 30días, 6 y 12meses, y luego anualmente. Los datos fueron recopilados por un cirujano ortopedista entrenado en cirugía de cadera.
Complicaciones y supervivencia protésicaSe registraron las complicaciones reportadas como luxación, infección (según los criterios descritos por la MSIS)26, fractura periprotésica (FPP), insuficiencia glútea (definida por la presencia del signo de Trendelenburg en la cadera operada) y trombosis venosa profunda (TVP). Para el cálculo de la supervivencia protésica consideramos la revisión por cualquier causa como punto de corte.
Análisis estadísticoLas variables categóricas y continuas fueron reportadas como frecuencias o porcentajes y como medias o desvío estándar o mediana y rango intercuartilo según su distribución. El test de chi-cuadrado (χ2) o el método exacto de Fischer fueron utilizados para evaluar las variables cualitativas, mientras que para las cuantitativas se utilizó el test de la t de Student. El test de ANOVA de un solo factor fue utilizado para realizar la comparación de los resultados clínicos y funcionales antes y después de la cirugía durante el seguimiento entre los distintos grupos. El método de Kaplan-Meier se usó para el análisis de supervivencia protésica, y el test Log-rank (Mantel Cox) fue realizado para comparar las curvas de supervivencia entre los grupos de estudio. Consideramos como estadísticamente significativo un valor de p<0,5. Todos los datos fueron volcados a una planilla de Excel® (Redmon, EE.UU.) y los cálculos se realizaron con el software GraphPad Prism® 9.0 (LaJoya, CA, EE.UU.).
ResultadosDurante el período mencionado se realizaron 233 ATC en pacientes menores de 50años. Once fueron excluidos de nuestro estudio (4 se perdieron en el seguimiento y 7 no contaban con registros médicos completos). La serie quedó conformada finalmente por 222 pacientes, con 107 (48,2%) pacientes masculinos. Los grupos A, B y C se conformaron de 45, 69 y 108 pacientes, respectivamente. No se observaron diferencias preoperatorias estadísticamente significativas entre los grupos (tabla 1).
Características preoperatorias de los distintos tipos de fijación y serie global
| Variables | Global(n: 222) | A (cementado)(n: 45) | B (híbrido)(n: 69) | C (no cementado)(n: 108) | p |
|---|---|---|---|---|---|
| Edad, media ± DE | 41,7± 7,3 | 42,8±7,2 | 42,9±7,4 | 40,5±7,2 | 0,16 |
| Lado, n (%) | |||||
| Izquierdo | 117 (52,7) | 20 (44,4) | 33 (47,8) | 59 (54,6) | 0,96 |
| Derecho | 105 (47,3) | 25 (55,6) | 36 (52,2) | 49 (45,4) | |
| Sexo, n (%) | |||||
| Masculino | 107 (48,2) | 18 (40,0) | 27 (39,1) | 62 (57,4) | 0,10 |
| Femenino | 115 (51,9) | 27 (60,0) | 42 (60,9) | 46 (42,6) | |
| IMC, media ± DE | 28,8±2,9 | 29,2±2,3 | 28,5±2,9 | 28,9±3,1 | 0,58 |
| ASA, n (%) | |||||
| I | 33 (14,9) | 6 (13,3) | 11 (15,9) | 15 (13,9) | |
| II | 168 (75,7) | 35 (77,8) | 46 (66,7) | 88 (81,5) | 0,09 |
| III | 21 (9,4) | 4 (8,9) | 12 (17,4) | 5 (4,6) | |
| Seguimiento (años), media ± DE | 10,1±1,3 | 11,1±1,9 | 12,6±4,2 | 11,4±3,2 | 0,08 |
ASA: Anesthesiologist American Association; DE: desviación estándar; IMC: índice de masa corporal.
Al analizar individualmente cada grupo, se observó una mejoría estadísticamente significativa tras la cirugía con respecto a las escalas de mHHS y EVA (tabla 2). Sin embargo, no se observaron diferencias significativas al comparar los valores postoperatorios entre los distintos grupos (tabla 3).
Comparación de los valores de mHHS y EVA entre los grupos, antes de la cirugía y en su última visita
| Variables | Grupo A (cementado) | Grupo B (híbrido) | Grupo C (no cementado) | p | |||
|---|---|---|---|---|---|---|---|
| Pre-op | Post-op | Pre-op | Post-op | Pre-op | Post-op | ||
| mHHS, media ± DE | 52,5±3,6 | 84,8±3,7 | 51,3±3,9 | 82,7±4,5 | 52,2±8,7 | 82,3±5,5 | <0,01 |
| EVA, media ± DE | 7,7±0,9 | 2,1±0,8 | 7,9±1,1 | 1,8+1,3 | 8,1±1,3 | 2,2±1,7 | <0,01 |
EVA: escala visual análoga; mHHS: modified Harris Hip Score.
El grupo A (cementado) presentó el mayor porcentaje (73,3%) de cotilos con signos de radiolucencia y el grupoB (híbridos) presentó la mayor tasa de vástagos con signos de radiolucencia (78,2%), representando una diferencia estadísticamente significativa al realizar la comparación entre los tres grupos (p<0,001). Con respecto al análisis de la calidad de cementado, no observamos diferencias significativas entre los gruposA yB (p=0,17) (tabla 4) (fig. 2).
Incidencia de radiolucencias alrededor de componentes acetabular y femoral y calidad del cementado
| Grupo A | Grupo B | Grupo C | p | |
|---|---|---|---|---|
| Radiolucencias, n (%) | ||||
| Acetábulo | 33 (73,3) | 21 (30,4) | 0 (0) | <0,001 |
| Vástago femoral | 25 (55,5) | 54 (78,2) | 1 (0,9) | <0,001 |
| Calidad de cementado, n (%) | ||||
| Grado A | 37 (82,2) | 43 (62,3) | − | |
| Grado B | 6 (13,3) | 19 (27,5) | − | 0,17 |
| Grado C | 1 (2,2) | 6 (8,7) | − | |
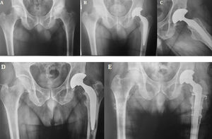
Paciente femenina de 48 años. A)Proyección AP preoperatoria: se observa coxartrosis de cadera izquierda. B-C)Reemplazo total híbrido, control postoperatorio inmediato. D)Control de los 14años: evoluciona con aflojamiento del componente femoral. E)Revisión a vástago de fijación distal con osteotomía femoral extendida.
La tasa global de complicaciones fue del 10,0% (22 pacientes). No se observaron diferencias estadísticamente significativas al comparar las tasas de complicaciones entre los grupos (p=0,58) (tabla 5).
Resumen de complicaciones según el tipo de fijación
| Complicaciones | Grupo A (n=45) | Grupo B (n=69) | Grupo C (n=108) | p |
|---|---|---|---|---|
| Luxación, n (%) | 0 (0,0) | 1 (1,4) | 0 (0,0) | − |
| IPP, n (%) | 1 (2,2) | 3 (4,3) | 4 (3,7) | 0,83 |
| FPP, n (%) | 1 (2,2) | 1 (1,4) | 3 (2,8) | 0,84 |
| Trendelenburg, n (%) | 0 (0,0) | 1 (1,4) | 2 (1,8) | − |
| TVP, n (%) | 2 (4,4) | 1 (1,4) | 2 (1,8) | 0,52 |
| Total, n (%) | 4 (8,8) | 7 (10,1) | 11 (10,2) | 0,96 |
FPP: fractura periprotésica; IPP: infección periprotésica; TVP: trombosis venosa profunda.
Observamos 9 (20,0%) casos de aflojamiento acetabular en el grupoA, de los cuales 4 (8,8%) pacientes requirieron una revisión.
En el grupo B se observaron 3 (4,3%) casos con aflojamiento de cotilo, los cuales fueron sometidos a una revisión a los 10, 11 y 12años, respectivamente. Finalmente, en el grupoC no se encontraron componentes acetabulares con signos de aflojamiento.
Respecto al comportamiento de los vástagos, 4 (8,9%), 13 (18,9%) y 2 (1,8%) pacientes de los gruposA, B y C, respectivamente, evolucionaron con signos de aflojamiento, siendo esto una diferencia estadísticamente significativa (p=0,0003).
Además, observamos una asociación significativa entre revisión y el gradoC de la calidad del cementado según la clasificación de Barrack (fig. 3).
El análisis de supervivencia tras 16años de seguimiento mostró un porcentaje (84,2%) significativamente menor en los pacientes del grupo de reemplazos híbridos en comparación con los reemplazos cementados totales (89,9%) y no cementados (94,6%) (p<0,001) (fig. 4).
El odds-ratio observado en el grupoB respecto al riesgo de revisión contra los gruposA yC fue de 2,44 (IC95%: 1,00-5,96).
DiscusiónEl hallazgo más importante de nuestro estudio fue que no se observaron diferencias estadísticamente significativas a largo plazo al comparar los resultados clínicos o funcionales entre los reemplazos cementados totales (grupoA), híbridos (grupoB) y no cementados (grupoC). Sin embargo, la tasa de supervivencia protésica a 16años fue significativamente menor en los de fijación hibrida respecto al resto.
Distintos autores han descrito excelentes resultados funcionales a largo plazo luego de una artroplastia de cadera sin importar el tipo de fijación utilizada en pacientes mayores de 55años27,28. En pacientes jóvenes y por lo tanto con mayor demanda funcional, existe la preocupación de que estos resultados puedan ser inferiores a largo plazo2. Sin embargo, nuestros hallazgos demostraron que se pueden alcanzar excelentes puntajes de mHHS y EVA en pacientes menores de 50años, sin importar el método de fijación (cementado, hibrido o no cementado).
Actualmente, la frecuencia del reemplazo de cadera cementado ha disminuido con el advenimiento de los componentes no cementados, y esto se acentúa aún más en pacientes jóvenes16. Con respecto al cementado de los componentes acetabulares, ha sido relacionado con elevadas tasas de aflojamiento (entre 21 y 34%) a largo plazo29. Por otro lado, la experiencia de Exeter en el campo ha permitido el desarrollo de estudios como el de Maggs et al.30, que luego de haber analizado 203 ATC observaron una tasa de aflojamiento aséptico del 0% luego de 12,5años de seguimiento.
En nuestro estudio se observó una tasa más elevada de aflojamiento acetabular en el grupoA (73,3%) comparado con estos autores. Consideramos que una razón para explicar esta diferencia podría deberse a que en muchos de los pacientes (n=98) incluidos se utilizaron polietilenos de ultra-alto peso molecular y no de alto entrecruzamiento, lo cual sabemos actualmente que esto conduce a un fallo de fijación precoz por la producción de partículas31.
Con respecto al comportamiento de los vástagos femorales, el mayor porcentaje de aflojamiento fue observado en el grupoB (híbrido), con el 18,9%. Kiran et al.28 describieron una tasa de aflojamiento del 3,8% tras evaluar 104 pacientes menores de 55años que se realizaron ATC cementada. Por otro lado, el grupo de Khatun publicó una tasa de aflojamiento del 2,3% luego de 20-22 años de seguimiento utilizando el tallo Exeter32. Consideramos que, a pesar del cementado de tercera generación, el uso de tapón distal en el canal femoral, el presurizado y el cementado retrógrado con pistola, hubo casos donde no se pudo obtener un manto de cemento uniforme alrededor del componente femoral, explicando así la tasa de aflojamiento en el presente estudio33.
Sabemos que cierto grado de deficiencia en el manto del cemento alrededor de la prótesis podría llevar a un aflojamiento precoz34. Así pudimos observarlo en nuestro análisis, donde hubo una asociación estadísticamente significativa entre pacientes con gradoC (según la clasificación de Barrack) y fallo de fijación (p<0,01). Esto concuerda con lo reportado por Bardou-Jacquet35, donde observaron un mayor riesgo de fallo de fijación en pacientes con gradoC yD al compararlos con los gradoA yB.
Muchos registros internacionales, como el Noruego16, el Finlandés17 y el del Reino Unido36, han reportado un incremento del uso de componentes no cementados en pacientes menores de 55años en la última década.
Según el registro Noruego, con respecto a la tasa global de supervivencia protésica de los últimos 30años, los componentes cementados (70%) superan la de los no cementados (50%). Sin embargo, al ajustar por edad esta variable, en pacientes menores de 55años, en los últimos 14años pudimos observar que este porcentaje se invierte con una leve superioridad de los no cementados (89% versus 84%)16.
El grupo de Parvizi37 publicó un metaanálisis donde compararon 13.059 componentes cementados con 13.067 no cementados, y sus conclusiones fueron que, en términos de supervivencia o revisión, no hubo diferencias estadísticamente significativas a largo plazo. Esto concuerda con nuestros hallazgos, donde observamos que luego de 16años de seguimiento los pacientes del grupoC presentaron una mayor tasa de supervivencia (94,6%) que las del grupoA (89,9%) oB (84,2%). Además, no observamos diferencias significativas al comparar las tasas entre los reemplazos híbridos y cementados totales.
Nuestro estudio no se encuentra exento de limitaciones como las propias de su diseño retrospectivo y la baja cantidad de pacientes analizados. Si bien no realizamos una evaluación de las comorbilidades intrínsecas de los pacientes, consideramos que al tratarse de una serie con pacientes jóvenes no debería tener un impacto directo en nuestros resultados. Por otro lado, creemos que el hecho de poder realizar la comparación de tres tipos de fijación de uso frecuente en artroplastia de cadera en este grupo etario, el seguimiento a largo plazo de la serie y el hecho de tratarse de pacientes operados por el mismo equipo quirúrgico debe alentarnos a realizar un estudio de diseño más apropiado para poder reforzar nuestras conclusiones.
ConclusiónNuestro estudio nos sugiere que en pacientes menores de 50años la fijación no cementada no presenta diferencias clínicas o funcionales significativas a largo plazo con respecto a la fijación híbrida o cementada total o no cementada. Sin embargo, rechazando nuestra hipótesis, las ATC no cementadas presentaron la mayor tasa de supervivencia (94,6%), mientras que la fijación híbrida tuvo valores significativamente menores (84,2%) luego de 16años.
Nivel de evidenciaNivel de evidencia III.
FinanciaciónLa presente investigación no ha recibido ayudas específicas provenientes de agencias del sector público, sector comercial o entidades sin ánimo de lucro.
Consideraciones éticasEste artículo cuenta con la aprobación del Comité de Revisión Institucional.
Conflicto de interesesLos autores declaran no tener ningún conflicto de intereses.












