La pseudoartrosis congénita de peroné es una entidad muy rara. Clínicamente puede pasar desapercibida hasta la constatación de una tumoración en la cara externa de la pierna o el desarrollo de una deformidad en valgo del tobillo, pues su localización más habitual es el cuarto inferior de la diáfisis peronea.2 Su hallazgo acompañando a la pseudoartrosis congénita de tibia es más frecuente que su presentación aislada.3
Caso clínico
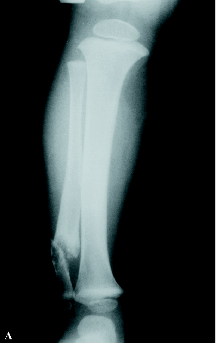
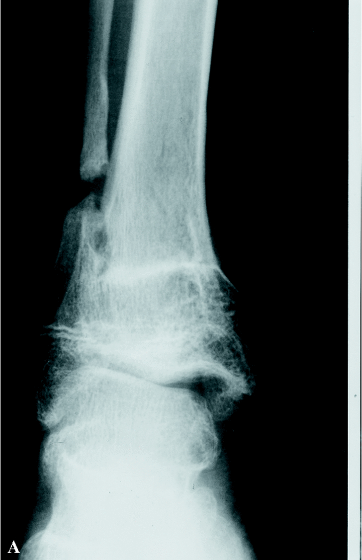
Paciente varón de 13 años que acude por primera vez a nuestras consultas con el diagnóstico previo de pseudoartrosis congénita de peroné con deformidad en valgo de tobillo derecho, sin una neurofibromatosis asociada. A los 16 meses de edad acudió al traumatólogo por tumoración en cara externa de tobillo derecho clínicamente asintomática. Tras realizar un estudio radiológico se diagnosticó de pseudoartrosis congénita de peroné (Fig. 1). Fue intervenido quirúrgicamente resecándose el foco de pseudoartrosis, sin aporte de injerto. A los 11 años, fue nuevamente valorado por presentar importante valgo de tobillo derecho; en la radiografía simple se apreció persistencia de pseudoartrosis peronea. Durante la cirugía se realizó una limpieza del tejido fibroso de la pseudoartrosis, añadiendo en esta ocasión injerto óseo de cresta iliaca, realizándose también una epifisiodesis medial de la tibia con tornillo AO (Fig. 2). Se inmovilizó con yeso. No mejora tras la cirugía.
Figura 1. Proyecciones antero-posterior (A) y lateral (B) de la tibia y el peroné derechos a los 16 meses de edad, en las que se aprecian la situación de la pseudoartrosis previa a cirugía.
Figura 2. Visión antero-posterior de ambas piernas tras realizar la epifisiodesis del maleolo interno derecho, valorándose el valgo de tobillo en ese lado. Se aprecia un valgo de 18°.
Cuando acudió a nuestras consultas presentaba un valgo de tobillo derecho y una discreta cojera por dismetría de miembros inferiores (el miembro inferior derecho es 19 mm más corto). Clínicamente estaba asintomático. En la radiografía simple se observó un valgo de la articulación tibio-peroneo-astragalina de 18°, así como la pseudoartrosis del peroné (Fig. 2). Se decidió intervenir quirúrgicamente, mediante técnica de Langenskiöld, tras retirada del tornillo del maleolo medial: se resecó el tejido fibroso y se refrescó el extremo proximal; se realizó una osteotomía en el tercio inferior de la tibia, con extracción de una cuña interna para lograr un efecto de varización, sintetizándola con tres agujas de Kirschner introducidas desde el maleolo interno y, por último, se procedió a cruentar la cara externa de la metáfisis distal tibial y la cara interna de la metáfisis distal del peroné con aporte de injerto óseo. Se inmovilizó con férula de yeso. En el mismo acto quirúrgico se realizó epifisiodesis proximal percutánea de la tibia izquierda, para igualar la longitud de ambos miembros, dado que a la dismetría existente se añadía la cuña extraída de tibia derecha. A las seis semanas, tras observar en las radiografías formación de callo, se retiraron las agujas y se inició la carga. Tres meses tras la cirugía se apreció la consolidación radiológica tibio-peronea, con alineación correcta del tobillo (Fig. 3), clínicamente sin síntomas y con una movilidad normal.
Figura 3. Imágenes antero-posterior (A) y lateral (B) una vez fusionadas las metáfisis distales de tibia y peroné.
Discusión
La pseudoartrosis congénita de los huesos largos es una entidad rara y poco conocida, que se asocia con neurofibromatosis en aproximadamente un 40% de los casos.6 La tibia es la localización más frecuente.5 Puede ser evidente al nacimiento, aunque normalmente se descubre a edades más avanzadas.2
La pseudoartrosis congénita de peroné aislada es rara, con 16 casos descritos en la literatura.1-5 Se presenta con diferentes niveles de gravedad: a) simple convexidad anterior peronea; b) pseudoartrosis sin deformidad en valgo del tobillo, dado que el peroné sólo recibe el 15% de la carga a nivel del tobillo, la pseudoartrosis de peroné puede presentarse sin deformidad;5 c) con valgo de tobillo y d) además existe pseudoartrosis en la tibia.3
Según el grado de afectación el tratamiento es diferente. Si sólo existe angulación anterior y el tobillo es normal no requiere tratamiento, aunque hay autores que en esta situación proponen un tratamiento ortopédico con yesos, manteniendo un seguimiento hasta la pubertad.2
Si no hay valgo de tobillo, algunos autores consideran necesario intervenir quirúrgicamente, con resección e injerto,2,5 o bien mediante técnica de Langenskiöld.4 Por el contrario, otros autores sólo indican la cirugía si existe deformidad en valgo, en cuyo caso habría que añadir una osteotomía de la tibia correctora, siempre que la tibia no esté afectada, ya que en ese caso el desarrollo de una pseudoartrosis crearía un importante problema.2
En nuestra opinión no se debe intervenir ni ortopédica ni quirúrgicamente sobre una pseudoartrosis sin deformidad, tan sólo vigilar el desarrollo, por lo que no hubiésemos realizado en nuestro paciente en la primera intervención. Si ya ha aparecido deformidad en el tobillo, sí consideramos necesaria la cirugía: a) si el valgo es leve (8-10°), cabría realizar una epifisiodesis, sin tocar para nada la zona de pseudoartrosis; b) si el valgo es importante, como en este caso, recomendamos realizar la osteotomía de tibia y posteriormente la técnica de Langenskiöld, pues controla mejor que los otros métodos el posible desarrollo de un valgo de tobillo.







