Establecer la prevalencia de lesiones del labrum y el cartílago articular de la cadera en futbolistas profesionales asintomáticos y explorar la asociación con hallazgos en las pruebas de imagen de choque femoroacetabular (CFA).
MétodosEstudio de corte transversal que evaluó por imagen de resonancia magnética en 3 tesla (IRM 3 T) un total de 84 caderas en jugadores de fútbol profesional, con edades entre los 18 y 31 años. Se identificaron las lesiones del labrum y las del cartílago acetabular y femoral. Pruebas estadísticas específicas fueron utilizadas para establecer la relación entre las alteraciones anatómicas de CFA y la presencia de lesiones condrolabrales.
ResultadosLa prevalencia de CFA fue del 25%, siendo el tipo cam el más predominante con 22,5%. Para las lesiones del labrum existe una prevalencia de 33,8%, de las cuales el 18,8% fueron para degeneración intrasustancial y 2,5% para rotura completa. Las características anatómicas de la cadera según el tipo de CFA están asociadas con lesiones del cartílago femoral p < 0,001, lesiones de la unión condrolabral p = 0,042 y lesión combinada (presencia de lesión del labrum o cartílago o acetabular o femoral o unión condro-labral) p < 0,001.
ConclusiónExiste una alta prevalencia de lesiones asintomáticas del labrum y del cartílago articular de la cadera en futbolistas profesionales, las cuales se asocian a las características anatómicas de CFA de cadera.
To establish the prevalence of lesions of the labrum and articular cartilage of the hip in asymptomatic elite soccer players by performing 3T magnetic resonance imaging.
MethodsEighty-four asymptomatic hips of 42 professional soccer players were evaluated. Male subjects older than 18 years were included. Cam and pincer deformity were defined as an alpha angle greater than 55 degrees and a lateral centre edge angle greater than 39 degrees, respectively. Labral injuries were classified with the Czerny classification and cartilage damage was classified with the Outerbridge classification. Specific statistical tests were used to establish the relationship between anatomical variances of the hip and the presence of chondral and labral injuries.
ResultsFAI morphology prevalence was 25%. Abnormalities such as cam (22.5%) and labral injuries (33.8%) were found. Those cases with reported labral injury were predominantly intrasubstance damage (18.8%). Anatomical features of FAI were found to be related to lesions of the femoral cartilage (P<.001), chondrolabral damage (P=.042), or both injuries (P<.001).
ConclusionAsymptomatic labral or cartilaginous injuries of the hip were reported in 25% of the included professional soccer players. These injuries were associated with anatomical features of FAI.
La presentación de lesiones del labrum o del cartílago en ausencia de anormalidades anatómicas típicas del choque femoroacetabular (CFA) es poco común1; sin embargo, no todos los pacientes con estas anormalidades típicas presentan lesiones condrolabrales. Esto parece indicar que, además de las alteraciones anatómicas identificadas en el CFA, existen factores predisponentes adicionales que conllevan al deterioro progresivo de la articulación de la cadera hasta la OA.
La práctica de algunas actividades deportivas que involucran movimientos repetidos de la cadera en arcos articulares extremos podría ser un factor determinante en la producción de lesiones del labrum y del cartílago en presencia de las anormalidades anatómicas del fémur y del acetábulo. Esto podría explicar, en parte, por qué la condición de deportista conlleva 2 a 4,5 veces el riesgo que la población general de desarrollar artrosis2.
Debido a que el tiempo que transcurre entre el diagnóstico y el tratamiento adecuado del CFA, o sus lesiones asociadas, podría impactar en el desempeño y el futuro deportivo de los futbolistas profesionales, la detección precoz de las lesiones susceptibles de intervención cobra gran importancia para evitar la progresión a lesiones no reparables del labrum o a artrosis temprana.
Mediante la imagen por resonancia magnética (IRM) pueden evaluarse, además de las alteraciones anatómicas del CFA, las lesiones del labrum y del cartílago, con mejor rendimiento diagnóstico cuando se usa contraste intraarticular directo (artrorresonancia directa)3-5.
La detección aguda de lesiones del labrum y defectos condrales puede lograrse sin el uso de gadolinio intraauricular. Los avances recientes en la resolución de la IRM, con equipos disponibles en nuestro medio que alcanzan las 3 tesla (T), permiten un detalle anatómico suficiente que haría no indispensable el uso de contraste, con el beneficio que produce ello para la seguridad del paciente6, por lo tanto son preferidas imágenes 3 T sobre 1,5 T7.
Aunque hay artículos publicados acerca de la frecuencia de hallazgos clínicos y de imagen de CFA en deportistas de élite2,8-12, no se ha determinado la frecuencia de lesiones asociadas mediante IRM 3 T.
El objetivo de este estudio es establecer la prevalencia de lesiones del labrum y el cartílago articular de la cadera en futbolistas profesionales mediante IRM en 3 T y explorar la asociación con hallazgos en las pruebas de imagen de CFA en futbolistas profesionales.
La hipótesis de este estudio es que existe una alta prevalencia de lesiones del labrum y del cartílago, las cuales se asocian con las características anatómicas de CFA de cadera.
Material y métodosPrevia aprobación por el comité de ética del Instituto de Alta Tecnología Médica de Antioquia (IATM), se realizó un estudio de corte transversal que incluyó a 42 jugadores fútbol, con edades entre los 18 y 31 años, pertenecientes a 3equipos de la primera división codificados como equipo A, equipo B y equipo C. Los sujetos, quienes eran asintomáticos, se sometieron a una evaluación clínica y una IRM 3 T de ambas caderas.
Se excluyó a aquellos deportistas con antecedente de fracturas alrededor de la cadera, antecedente de enfermedad de Perthes o displasia de cadera, y a aquellos sujetos con contraindicaciones para la realización de la IRM.
Evaluación clínicaLa evaluación clínica de la cadera fue realizada por un cirujano ortopédico especialista en cirugía de cadera. Los ángulos de flexión, rotación interna, rotación externa, aducción y abducción fueron medidos en decúbito supino y manualmente con un goniómetro. Las pruebas utilizadas para evaluar el impacto antero lateral y posterior de la cadera fueron: prueba de FADDIR13,14, que evalúa el dolor en la cadera al realizar un movimiento de flexión de 90 grados, aducción y rotación interna de la cadera; la prueba de FABER14, que evalúa el dolor en la cadera al realizar un movimiento de flexión, abducción y rotación externa, además de medir la distancia entre la rodilla del miembro evaluado con la mesa de examen y comparar dicha distancia con el otro miembro en la misma posición; esta prueba ayuda a determinar si hay dolor originado en la cadera o en la región posterior como la articulación sacroilíaca; la prueba de DEXRIT15 (prueba de choque rotatorio externo dinámico), que valora el dolor en la cadera al llevarla a 90 grados de flexión y posteriormente se hace un arco de abducción y rotación externa, evaluando así el choque o choque acetabular postero-superior y la sensación de inestabilidad antero-inferior y el signo de rodamiento13, que con el paciente en decúbito supino, la cadera y rodilla extendidas se hace un movimiento de rodamiento de la extremidad en rotación interna y externa sobre la mesa de examen para detectar la presencia o no de dolor en la cara anterior de la cadera examinada.
Además de la historia clínica y el examen físico, se realizó una evaluación antropométrica estandarizada que incluyó la medición del peso con una báscula electrónica Tanita® (Tanita Corporation of America, Inc.; Illinois, EE. UU.), la talla se obtuvo con un estadiómetro Seca 206® (HRM USA INC.; Hamburgo, Alemania), el cálculo de IMC se realizó de acuerdo con la fórmula tradicional de peso/talla2 y para el cálculo del porcentaje de grasa corporal (GC) se utilizó la fórmula validada de Evans del 200516, que toma en cuenta la sumatoria de 3 pliegues: abdomen, muslo y tríceps, los cuales fueron medidos con un adipómetro Slim Guide® (Creative Health; Michigan, EE. UU.). También se midieron los perímetros de cadera, muslo y pierna con cinta métrica Seca 201® (HRM USA INC.; Hamburgo, Alemania).
Adquisición e interpretación de las imágenes por resonancia magnética 3 TLa toma de la imagen fue realizada por un técnico radiólogo capacitado en las especificaciones requeridas para el estudio, quien almacenó la imagen en formato digital, asignó el código correspondiente; posteriormente, un radiólogo especialista en imagen osteomuscular, que fue cegado para la evaluación clínica, analizó cada una de las resonancias.
Los estudios se realizaron en un equipo Philips Ingenia de 3 T actualización 4.1.3 (High Tech Campus 5.; Eindhoven, Holanda) con las siguientes secuencias: imágenes con FOV amplio incluyendo ambas caderas en coronal STIR (TR 3752, TE 30 y TI 190, con una duración de 2min y 22 s), coronal T1 (TR 500 TE 20, con una duración de 1min y 51 s), axial densidad de protones con supresión grasa (TR4479, TE 30 duración de 1min y 38 s), axial 3D gradiente de eco isotrópico (TR 15, TE 4, y con una duración de 1min y 51 s) y axial T2 (TR 5309, TE 110, y una duración de 1min y 46 s); adicionalmente, se realizaron secuencias con FOV pequeño localizadas en cada cadera en coronal densidad de protones con supresión grasa (TR 2234, TE 30, duración de 1min y 51 s) y densidad de protones sagital (TR 3300, TE 28, duración de 2min y 12 s) para una duración total de examen de 20 min al sumar el tiempo de los localizadores. Estas secuencias volumétricas isotrópicas permitieron la reconstrucción axial oblicua.
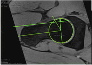
La lesión tipo cam fue evaluada por una medida del ángulo alfa en la reconstrucción axial oblicua, entre el eje del cuello femoral y una línea que conecta el centro de la cabeza femoral con el punto de inicio de esfericidad del contorno cabeza-cuello. Sujetos con ángulo alfa > 55° fueron diagnosticados con lesión tipo cam17-20.
El diagnóstico de lesión tipo pincer fue determinado principalmente por la medición del ángulo centro borde > 39° (CEA), que es un indicador de excesiva cobertura acetabular. El CEA fue medido en el plano coronal entre una línea vertical pasando a través del centro de la cabeza femoral y otra línea desde el centro de la cabeza femoral al acetábulo lateral21-23.
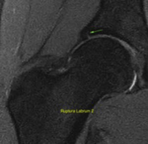
Para la evaluación de lesiones del labrum por medio de IRM como método de elección para identificar las lesiones de tejidos blandos alrededor de la cadera, incluyendo el labrum y el cartílago, se utilizó la siguiente clasificación simplificada: estadio 0 normal, 1 degeneración intrasustancial, 2 rotura parcial y 3 rotura completa.
Con respecto a las lesiones del cartílago, se utilizó la clasificación de Outerbridge, ampliamente descrita en la literatura y que va en una escala de 0 a 4, siendo 0 cartílago normal y 4 desgaste total del cartílago con exposición de hueso subcondral24,25.
Análisis estadísticoSe calculó una muestra de 42 sujetos (84 caderas) para la que se tuvo en cuenta una frecuencia del 40% de lesiones labrales (estadio 2B, 3A y 3B), una precisión del 7% y una confianza del 95% de una población total de 150 futbolistas. Se utilizaron las pruebas de Kolmogorov-Smirnov y Shapiro-Wilk para evaluar si la distribución de las variables cuantitativas, en toda la muestra y en los diferentes subgrupos, provinieron de una población con distribución normal.
La descripción de las variables cualitativas nominales fue realizada por medio de frecuencias y proporciones. La descripción de las variables cuantitativas con una distribución normal se realizó con el promedio y la desviación estándar; para las variables cuantitativas con distribución diferente de la normal se utilizaron la mediana y el rango intercuartílico.
La prueba t de Student o la U de Mann Whitney fueron utilizadas para determinar si existen diferencias entre los futbolistas con lesiones condrolabrales de la cadera y aquellas quienes no las presentan. Así mismo como la prueba de la chi al cuadrado (χ2) de independencia para establecer la relación entre las alteraciones anatómicas y la presencia de lesiones condrolabrales.
Para todos los análisis se implementó un nivel de significación estadística del 5% y se utilizó el software SPSS, versión 21.0.
ResultadosCaracterísticas de la muestra estudiadaDe un total de 72 jugadores de 3equipos de fútbol profesional antioqueños de la categoría A (codificados como A, B y C), se contactaron 56 futbolistas, quienes aceptaron participar en el estudio y fueron evaluados clínicamente por el ortopedista a cargo. Cuarenta y dos futbolistas asistieron a la evaluación por RM de ambas caderas (fig. 1).
El equipo con mayor número de jugadores en la muestra fue el equipo B, con 22 (55,0%). La edad promedio global fue de 23,4 ± 4,1 años, el IMC de 23,9 ± 1,3kg/m2 y el porcentaje de GC (% GC) de 9 ± 2,7%. El 45% de la muestra era de raza mestiza (n = 18) y el 70% terminó el bachillerato (n = 28). La dominancia en miembros inferiores de la gran mayoría de los jugadores fue derecha (72,5%). La edad promedio de inicio en el deporte fue de 7,8 ± 3 años y la de inicio profesional fue de 17,4 ± 1,7 años. Según la posición de juego, la mayor parte de quienes componen la muestra juega como volante, con un 47,5% (n = 19), y los delanteros fueron los que menos aportaron a la muestra, con un 7,5% (n = 3).
No se encontraron diferencias en el equipo, la raza, el nivel educativo, el nivel socio-económico, la posición de juego o la lateralidad según la presencia de lesión condrolabral (tabla 1).
Comparación de variables sociodemográficas y la presencia de lesión combinada (lesión del labrum o cartílago acetabular o femoral o unión condro-labral)
| Lesión combinada | |||
|---|---|---|---|
| Variable | Sí | No | Valor de pa |
| (n = 46) | (n = 34) | ||
| Edad (años) | 24,7 ± 5 | 22,6 ± 3,2b | 0,073 |
| Índice de masa corporal (kg/m2) | 23,8 ± 1,2 | 23,9 ± 1,4 | 0,833 |
| Grasa corporal (%) | 9,3 ± 3,1 | 8,9 ± 2,4 | 0,904 |
| Edad de inicio en el deporte (años) | 7,3 ± 2,2 | 8,1 ± 3,3 | 0,473 |
| Edad de inicio en fútbol profesional (años) | 17,6 ± 2,0 | 17,3 ± 1,5 | 0,878 |
| Raza | |||
| Mestiza (%) | 48,3 | 43,1 | 0,738 |
| Negra (%) | 34,5 | 43,1 | |
| Blanca (%) | 17,2 | 13,7 | |
| Estrato socioeconómico | |||
| II (%) | 0 | 3,9 | 0,612 |
| III (%) | 27,6 | 39,2 | |
| IV (%) | 34,5 | 27,5 | |
| V (%) | 27,6 | 19,6 | |
| VI (%) | 10,3 | 9,8 | |
| Posición de juego | |||
| Volante (%) | 37,9 | 52,9 | 0,450 |
| Defensa (%) | 41,4 | 27,5 | |
| Delantero (%) | 10,3 | 5,9 | |
| Arquero (%) | 10,3 | 13,7 | |
| Lateralidad | |||
| Derecho (%) | 65,5 | 76,5 | 0,441 |
| Izquierdo (%) | 27,6 | 15,7 | |
| Ambidiestro (%) | 6,9 | 7,8 | |
Los datos se presentan como media ± desviación estándar cuando sea apropiado.
En cuanto a los antecedentes personales, el 35% (n = 14) de los jugadores reportaron antecedentes de desgarro muscular de isquiotibiales, el 10% (n = 4) desgarro de cuádriceps, el 10% (n = 4) desgarro de aductores, el 12,5% (n = 5) tuvo pubalgia y el 17,5% (n = 7) lumbalgia. Uno solo de los participantes refirió dolor inguinal y ninguno de ellos reportó coxalgia con las actividades de la vida diaria.
Con respecto al examen físico, el test de FABER fue positivo en el 40% de los jugadores, estando presente en el lado derecho en el 17,5% (n = 7) de los evaluados, en el 2,5% (n = 1) fue bilateral y en el 20% (n = 8) fue positivo para el lado izquierdo. El test de FADDIR fue positivo en el 20% de los sujetos, hallándose para el lado izquierdo en el 12,5% (n = 5) y bilateral en el 7,5% (n = 3). La coxa saltans, tanto externa como interna, estuvo presente en el 5% (n = 2) de los evaluados. Ninguno de los jugadores presentó signo de rodamiento positivo. Con respecto a los arcos de movimiento, la media para la rotación interna y abducción de la cadera derecha fue de 24,5 ± 11 grados y 81,5 ± 8,4, respectivamente. La rotación interna promedio de la cadera izquierda fue de 30,8 ± 9,8 grados y la abducción fue de 80,9 ± 8,9 grados.
Evaluación por resonancia magnética 3 TSe evaluaron por IRM 3 T ambas caderas de los 40 jugadores participantes del estudio, por lo cual se reportan los principales resultados para 80 caderas.
En cuanto al tipo de CFA, la prevalencia fue de 22,5% (n = 18) para lesión tipo cam, y tanto para lesión tipo pincer como para la mixta fue del 1,3% (n = 1) (fig. 2). Las lesiones del labrum encontradas fueron del 33,8%, reportándose un 18,8% (n = 15) para la degeneración intrasustancial, para la rotura parcial del labrum 12,5% (n = 10) y para la rotura completa del labrum 2,5% (n = 2) (fig. 3). La prevalencia de lesión del cartílago femoroacetabular fue del 13,8% de las caderas evaluadas, encontrándose lesión del cartílago acetabular en un 6,3% (n = 5), porcentaje distribuido a su vez en un 5% (n = 4) con ablandamiento y edema del cartílago, y en un 1,3% (n = 1) con fisuras del hueso subcondral > 1,5 de diámetro; el 7,5% (n = 6) de la muestra presentó lesión del cartílago femoral. El quiste acetabular estuvo presente en el 5% (n = 4) de la población. La lesión de la unión condro-labral fue visualizada en un 10% (n = 8) y la sinovitis en el 1,3% (n = 1). Otros hallazgos encontrados fueron el edema de la cabeza femoral en el 5% (n =4), engrosamiento capsular o de ligamentos en el 2,5% (n = 2), coxa profunda en el 17,5% (n = 14) y el quiste labral o paralabral en el 1,3% (n = 1). Ningún jugador presentó quistes en la unión cabeza-cuello, alteración del ligamento redondo ni retroversión u Os acetabular.
Cuando se comparó el tipo de choque con la presencia de alteraciones del labrum y del cartílago (solas o combinadas), se encontró una clara y significativa asociación entre el CFA tipo cam y las diferentes lesiones; así, de las caderas estudiadas que tenían configuración tipo cam, el 72% presentaban lesiones del labrum (p < 0,001), el 22,3% mostró lesión del cartílago acetabular (p < 0,001), el 27,8% tenía lesión del cartílago femoral y de la unión condrolabral (p = 0,042) y el 72,2% lesión combinada (presencia de lesión del labrum o cartílago o acetabular o femoral o unión condro-labral) con una p < 0,001 (tabla 2).
Asociaciones entre el tipo de CFA y lesiones del labrum, del cartílago acetabular, del cartílago femoral, de la unión condro-labral y lesión combinada (lesión del labrum o cartílago acetabular o femoral o unión condro-labral)
| Tipo de lesión | Categoría | Tipo de choque fémoro-acetabular (n = 80) | Valor de pa | |||
|---|---|---|---|---|---|---|
| Ninguno (n = 60) | Cam (n = 18) | Pincer (n = 1) | Mixto (n = 1) | |||
| Clasificación lesión del labrum Czerny | Normal | 80,0% | 27,8% | 0,0% | 0,0% | < 0,001 |
| Degeneración intrasustancial | 13,3% | 38,9% | 0,0% | 0,0% | ||
| Rotura parcial | 6,7% | 27,8% | 100,0% | 0,0% | ||
| Rotura completa | 0,0% | 5,6% | 0,0% | 100,0% | ||
| Clasificación lesión del cartílago acetabular Outerbridge | Cartílago normal | 100,0% | 77,8% | 0,0% | 100,0% | < 0,001 |
| Cartílago con ablandamiento y edema | 0,0% | 16,7% | 100,0% | 0,0% | ||
| Fisuras del hueso subcondral, > 1,5 de diámetro | 0,0% | 5,6% | 0,0% | 0,0% | ||
| Lesión del cartílago femoral | Sí | 0,0% | 27,8% | 100,0% | 0,0% | < 0,001 |
| No | 100,0% | 72,2% | 0,0% | 100,0% | ||
| Lesión de la unión condro-labral | Sí | 5,0% | 27,8% | 0,0% | 0,0% | 0,042 |
| No | 95,0% | 72,2% | 100,0% | 100,0% | ||
| Lesión del labrum, cartílago acetabular o femoral o unión condro-labral | Sí | 23,3% | 72,2% | 100,0% | 100,0% | < 0,001 |
| No | 76,7% | 27,8% | 0,0% | 0,0% | ||
Con la prueba de la chi al cuadrado (χ2) de independencia se estableció la relación entre las alteraciones anatómicas y la presencia de lesiones condrolabrales.
Nivel de significación estadística: p < 0,05.
De las 60 caderas que no mostraban ningún tipo de choque, se halló que el 20% presentaba lesiones del labrum, ninguna mostró lesión del cartílago acetabular ni femoral, el 5% tenía lesión de la unión condrolabral y el 23,3% lesión combinada (presencia de lesión del labrum o cartílago o acetabular o femoral o unión condro-labral) con una p < 0,001.
DiscusiónLa presencia de anormalidades anatómicas indicativas de CFA que predisponen a lesión de labrum y del cartílago articular de la cadera es mucho más frecuentes en atletas que en la población general, para la cual se ha descrito una prevalencia que oscila entre el 10 y el 15%2,12,26.
En nuestro estudio, la frecuencia de CFA encontrada por resonancia magnética 3 T fue del 25,1%, siendo el tipo cam el más prevalente, con un 22,5%, seguido del tipo pincer y el tipo mixto, con un 1,3%, respectivamente. Lo anterior concuerda con lo reportado por otros autores, quienes reportan la presencia de deformidad tipo cam en futbolistas entre el 26 y 68% de los casos27,28.
La alta prevalencia de CFA, y más específicamente la deformidad tipo cam encontrada en atletas adultos de alto nivel, podría soportar la hipótesis propuesta por varios investigadores, quienes sugieren que las altas cargas de entrenamiento se asocian a una mayor frecuencia de alteraciones anatómicas y lesiones condrolabrales, y que dicha relación dosis-respuesta podría estar explicada por el efecto que tiene no solo el componente mecánico del ejercicio, sino también por los factores genéticos, nutricionales y de regulación hormonal (principalmente de la hormona del crecimiento y del factor de crecimiento similar a la insulina tipo 1) que ocurren durante la etapa de desarrollo esquelético, haciendo a los huesos de la cadera más sensibles a la carga de trabajo durante las edades comprendidas entre los 12 y 14 años29-33.
Las lesiones condrales y labrales tempranas llevan hacia la degeneración progresiva si la causa fundamental del choque no se corrige34, con el obvio impacto negativo sobre el desempeño deportivo de los atletas. Por esta razón, la detección y el reconocimiento precoz de anormalidades radiológicas en la configuración del acetábulo y la cabeza femoral y el estudio por IRM para evaluar lesiones del labrum y del cartílago articular de la cadera en pacientes susceptibles son fundamentales, ya que la existencia de estas alteraciones están asociadas a una incidencia incrementada de artrosis35.
La literatura reporta alteraciones del labrum cercanas al 70% y defectos condrales en un 24% para la población general asintomática1, las cuales aumentan tanto con la edad como con la ubicación anatómica más anterior del labrum. En los pacientes sintomáticos con diagnóstico clínico de CFA o defectos del labrum, la prevalencia de lesiones del cartílago alcanzan hasta un 76% a 88%36,37.
La alta prevalencia de desgarros del labrum en deportistas asintomáticos8 se ha tratado de explicar como una consecuencia de eventos traumáticos aislados o repetitivos38. Sin embargo, aún no es claro por qué algunos deportistas que presentan estas lesiones no manifiestan síntomas. Aunque este fenómeno también se ha reportado en no deportistas, se supone más probable que una lesión condrolabral de la cadera presente síntomas en un deportista de élite. Una hipótesis razonable podría indicar que en algunos casos los síntomas podrían ser leves o solo presentes con algunos movimientos, lo cual podría inducir a un bajo reporte de los atletas por el temor a ser marginados de la competencia. Esta apreciación es meramente teórica y difícil de probar.
En nuestro estudio se encontró que la anatomía de la cadera se asocia a lesiones del labrum y cartílago (aisladas o combinadas) en jugadores de fútbol profesional asintomáticos y dicha asociación es independiente de variables demográficas como raza, nivel socio-económico, posición de juego o la lateralidad debido a que no se encontraron diferencias entre esas variables y la presencia o no de lesiones condrolabrales.
Según nuestro conocimiento, este estudio es el primero en evaluar con IRM 3 T la prevalencia de lesiones asintomáticas del labrum y del cartílago articular de la cadera en futbolistas profesionales y su asociación a las características anatómicas de CFA.
Los resultados de este estudio permiten establecer que la condición de futbolista profesional constituye un riesgo adicional para el desarrollo de lesiones del labrum o el cartílago articular en el contexto de malformaciones anatómicas femoracetabulares. Que los diferentes profesionales que trabajan con atletas tengan en cuenta lo anterior permitiría establecer estrategias preventivas basadas en asociaciones biomecánicas, anatómicas o clínicas que puedan identificarse.
Al ser las deformidades tipo cam y pincer factores predisponentes para el mecanismo de choque que lleva al daño progresivo de la articulación, promovido por ciertas actividades de impacto y sobreúso, todas las estrategias orientadas a establecer grupos especiales de riesgo están justificadas en la presunta mayor prevalencia de OA, con las consecuencias que ello implica en términos de continuidad en la actividad deportiva, calidad de vida del individuo independiente de la actividad deportiva y los costos para el sistema de salud.
Limitaciones del estudioEl estudio presenta limitaciones relacionadas con el diseño de tipo transversal, que no permite establecer una relación de causalidad entre las características anatómicas de la cadera y la presencia de lesiones condrolabrales. Tampoco se obtuvieron imágenes radiológicas o datos de la historia clínica previas que pudieran explicar los resultados obtenidos, ni se hizo seguimiento a los deportistas.
ConclusiónLa prevalencia de lesiones condrolabrales fue significativa (57,6%) la cual está distribuida en un 33,8% para lesiones del labrum, 13,8% para lesión del cartílago femoroacetabular y 10% para la lesión de la unión condro-labral. El CFA más frecuente fue el tipo cam (22,5%). Las características anatómicas de CFA de la cadera están asociadas a las lesiones del labrum y cartílago (aisladas o combinadas) en jugadores de fútbol profesional asintomáticos.
Nivel de evidenciaNivel de evidencia iii.
Conflicto de interesesNo se reporta ningún conflicto de interés.
Al Instituto de Alta Tecnología Médica (IATM) (Medellín, Colombia); a los doctores: Édgar Alberto Méndez, Carlos Mario Muñoz y David Londoño, por su valiosa colaboración, y a los clubes de fútbol participantes, cuya identidad no se revela en razón del secreto médico.







