El enclavijado percutáneo con agujas de Kirschner de la articulación acromioclavicular es una opción terapeútica válida en determinados casos, como luxaciones acromioclaviculares inestables o fracturas de la extremidad lateral de clavícula. Esta técnica quirúrgica, que utiliza dos agujas de Kirschner reforzadas por un cerclaje de alambre, busca mantener la reducción de la fractura o luxación mientras se produce la curación de la lesión. Sin embargo, la introducción de las agujas a través de la articulación acromioclavicular no es sencilla por múltiples razones: la convexidad del acromion, la pequeña superficie de la articulación, el trayecto sinuoso de la clavícula y el espesor de los tejidos blandos. Para respetar la morfología articular el punto de entrada de las agujas debe estar situado justo por delante del ángulo posterior del acromion. Esta intervención debe realizarse bajo control visual o radiológico (amplificador de imagen)1. Por estos motivos, son frecuentes los casos en los que la técnica quirúrgica no es correcta, dando lugar a una precariedad de la fijación y a las complicaciones que de ella se pueden derivar, como la migración intratorácica de las agujas, complicación alarmante y espectacular, y a veces con consecuencias desastrosas.
Esta complicación fue descrita por primera vez en 1943 por Mazet2. Desde entonces se han publicado en la bibliografía médica algunos casos aislados de migración de agujas en la región del hombro.
CASO CLINICO
Paciente varón de 42 años con antecedentes médicos de adicción a drogas por vía parenteral e infección activa por virus de la inmunodeficiencia humana en tratamiento con antirretrovíricos. Fue intervenido quirúrgicamente hace 9 años en un hospital penitenciario mediante cerclaje de la articulación acromioclavicular izquierda, después de sufrir un traumatismo deportivo en dicha articulación. Se desconoce el diagnóstico inicial. El paciente fue recientemente remitido a nuestra consulta por el servicio de Microbiología tras detectar en un control radiológico simple de tórax la migración intratorácica de material de osteosíntesis.
En la radiografía simple del hombro se apreció migración intratorácica de una aguja de Kirschner, procedente de la osteosíntesis realizada en la articulación acromioclavicular izquierda (fig. 1). El paciente fue ingresado para completar el estudio. Durante su ingreso se realizó tomografía computarizada (TC) con contraste para objetivar el grado de afectación de las estructuras intratorácicas, visualizándose una invasión de la cavidad torácica a través del ápex pulmonar izquierdo, sin neumotórax, lesión medular, vascular o mediastínica acompañantes (fig. 2). El paciente fue valorado por el Servicio de Cirugía Torácica del Hospital, y dado que no había afectación de estructuras neurovasculares y que la migración estaba limitada por el arco posterior de una vértebra torácica, se adoptó una actitud conservadora, realizando un seguimiento evolutivo del paciente.
Figura 1. Imágenes radiograficas del caso que se describe: (A) Radiografía anteroposterior del hombro izquierdo, en la que se aprecia la migración de la aguja de Kirschner procedente de la osteosíntesis de la articulación acromioclavicular izquierda. (B) Radiografía anteroposterior del hombro con 30ode inclinación craneal. La aguja se encuentra atravesando el ápex pulmonar izquierdo.
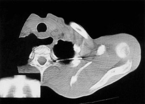
Figura 2. Imagen de tomografía axial computarizada (TAC) en corte axial que muestra la localización exacta de la aguja migrada. Obsérvese que la migración se encuentra limitada por el arco posterior de una vértebra torácica.
DISCUSION
Las lesiones de la articulación acromioclavicular representan entre un 3%-12% de todas las lesiones de la región del hombro, aumentando este porcentaje hasta un 39% en deportistas3,4. La reparación capsuloligamentosa acromioclavicular y la estabilización con agujas de Kirschner y cerclajes con alambres, constituyen una opción terapeútica no demasiado popular, debido al alto riesgo de rotura y migración del material, aunque algunos autores preconizan su uso5. La gran movilidad del conjunto de articulaciones de la región del hombro, la actividad muscular de la zona, la reabsorción regional de hueso y los movimientos respiratorios estarían entre las causas responsables de la migración de las agujas4,6. Con el tiempo y debido a estas causas se origina fatiga del material y la posibilidad de rotura y movilización del mismo4.
La mayoría de los autores proponen el doblado del extremo distal de la aguja para prevenir su movilización, aunque sorprendentemente, hay casos descritos de migración pese a realizar este gesto preventivo, debido a la rotura y posterior migración de uno de los fragmentos4,6-8. No tenemos constancia, hasta la fecha, de la existencia en la bibliografía de algún caso de migración de tornillos o grapas.
La migración normalmente sigue un trayecto retrógrado, y la aguja protruye a través del punto de entrada, con escasa repercusión. Sin embargo, ocasionalmente esta migración se produce en un sentido anterógrado, pudiendo dar lugar a complicaciones dramáticas8. Lyons y Rockwood (1990)6 realizan una revisión de 37 casos en los que se produjeron migraciones de material de osteosíntesis tras cirugía de la región del hombro, e informan de 8 muertes a causa de complicaciones surgidas tras la migración. En todos ellos se usaron agujas para fijar la articulación esternoclavicular, por lo que este tipo de técnica está absolutamente contraindicada en esta localización. Las localizaciones donde se pueden encontrar las agujas migradas son variadas e incluyen estructuras vasculares mayores intratorácicas, corazón, pulmón, mediastino, charnela cervicotorácica y canal medular, base del cuello, tráquea, abdomen, mama, región proximal del brazo, e incluso hay un caso descrito de migración a la órbita, produciendo un exoftalmos doloroso6. Es interesante destacar que la migración intratorácica de una aguja a través de un pulmón no necesariamente se acompaña del desarrollo de un neumotórax, como es el caso de este paciente, ya que los cuerpos extraños intratorácicos suelen formar adherencias alrededor del implante4,6.
En la serie de 37 casos realizada por Lyons y Rockwood (1990)6, el período de tiempo medio transcurrido desde la cirugía hasta el diagnóstico de esta complicación fue de 22 meses. La mayoría de las migraciones se produjeron en las primeras semanas y únicamente un 15% de casos se diagnosticó varios años después de la cirugía. La TC es un método útil en la planificación preoperatoria en la extracción de las agujas migradas3.
En conclusión, algunos autores recomiendan evitar el uso de agujas en cirugías que se realicen en la región del hombro. Si se emplean agujas, éstas se deben doblar en su extremo externo. Asimismo, se debe hacer un seguimiento evolutivo periódico, clínico y radiológico, a todos los pacientes sometidos a este tipo de cirugía. Una vez alcanzado el objetivo del tratamiento las agujas deben ser extraídas tan pronto como sea posible. Si se diagnostica la migración de una aguja ésta debe ser retirada sin demora3,4,6-8.




