Exponer la experiencia de los autores en la realización de la técnica de microosteosíntesis percutánea con tornillos para el tratamiento de ciertas fracturas de la mano.
Material y métodoSe realizó un estudio prospectivo en el período comprendido entre noviembre de 2002 y noviembre de 2006 en el que 84 pacientes con fracturas en la mano se trataron mediante osteosíntesis a cielo cerrado con tornillos. La localización de la lesión fue en la base del primer metacarpiano en 12 (14,28%) ocasiones y el resto fueron fracturas de las falanges (85,71%). Todas las fracturas eran cerradas y 40 fracturas eran intraarticulares (47,61%). El tipo de fractura más frecuente fue la oblicua larga en 68 casos (80,95%).
ResultadoLos resultados funcionales obtenidos tras la última revisión (6 meses) fueron excelentes en 64 pacientes (76,19%), fueron buenos en 15 pacientes (17, 86%) y fueron malos en 5 pacientes (5,95%).
ConclusionesLa osteosíntesis percutánea con tornillos disminuye el tiempo de inmovilización de la fractura al mínimo, favorece una recuperación funcional más temprana y no deja defectos estéticos. Es una técnica muy útil en fracturas y en pacientes especialmente seleccionados.
To expound our experience of percutaneous screw fixation in the treatment of certain hand fractures.
Materials and methodsWe carried out a prospective study between November 2002 and November 2006, in which 84 patients with hand fractures were treated by means of closed screw osteosynthesis. The injury was located at the base of the first metacarpal in 12 cases (14.28%) the remainder being phalangeal fractures (85.71%). All fractures were closed, 40 of them intra-articular (47.61%). The most frequent fracture type was the long oblique fracture, which was present in 68 cases (80.95%).
ResultsFunctional results obtained at the last follow-up visit (6 months) were excellent in 64 patients (76.19%), good in 15 (17.86%) and poor in 5 (5.95%).
ConclusionsPercutaneous screw fixation sharply reduces immobilization time permitting earlier functional recovery without causing any cosmetic defects. It is a highly useful technique for carefully selected fractures and patients.
Las fracturas de la mano son las fracturas más frecuentes de la extremidad superior, forman alrededor de un 10% de todas las fracturas del organismo1,2.
Fundamentalmente ocurren en pacientes jóvenes, lo que implica una gran repercusión social, laboral y económica1,2.
La mayoría de estas fracturas debe tratarse de manera conservadora para obtener unos resultados óptimos, siempre que se realice una inmovilización articular en posición funcional en un período de tiempo corto seguida de una fisioterapia precoz1,3.
En los últimos 25 años el tratamiento de las fracturas de la mano ha tenido un cambio importante, ha incrementado el tratamiento quirúrgico de estas fracturas debido a la mejora de los materiales del diseño de los implantes y la instrumentación, así como por la utilización del fluoroscopio1,4,5.
El incremento del tratamiento quirúrgico de estas fracturas surge con el fin de disminuir sus 2 complicaciones más frecuentes: la rigidez y la deformidad, pues permite una mayor estabilidad de la fractura y una movilización más precoz1.
Las fracturas que tienen indicación de tratamiento quirúrgico son las fracturas irreductibles, las deformaciones rotacionales (fracturas espiroideas y oblicuas), intraarticulares, subcapitales, las fracturas abiertas, las fracturas con pérdida de un fragmento óseo, la existencia de múltiples fracturas en la mano, las fracturas de mano en un politraumatizado y las lesiones de partes blandas1,2.
No obstante, el abuso en las indicaciones del tratamiento quirúrgico de estas fracturas ha desencadenado la aparición secundaria de otras complicaciones por lesión de las partes blandas, como son las adherencias tendinosas, las infecciones y, en ocasiones, la necesidad de una segunda intervención para retirar los implantes1,3.
Con el fin de evitar las complicaciones derivadas del tratamiento conservador se ha desarrollado esta nueva técnica de microosteosíntesis percutánea con tornillos. Ésta permite una mejor estabilización y una movilización precoz de las fracturas, minimiza las complicaciones derivadas de la cirugía abierta, traumatiza menos las partes blandas, disminuye la exposición de los tejidos y evita la apertura del foco de fractura.
La facilidad para acceder a los huesos de la mano favorece la aplicación de esta nueva técnica, pero es imprescindible la selección cuidadosa de los pacientes para obtener resultados satisfactorios3.
El objetivo de este estudio es exponer la experiencia de los autores en la realización de esta técnica de microosteosíntesis percutánea con tornillos para el tratamiento de ciertas fracturas de la mano.
Material y métodosSe realizó un estudio prospectivo en el período comprendido entre noviembre de 2002 y noviembre de 2006 en el que 84 pacientes con fracturas en la mano se trataron mediante microosteosíntesis percutánea con tornillos.
Todos los pacientes se intervinieron en el Hospital Clínico Universitario de Valladolid por el mismo especialista en cirugía ortopédica y traumatología.
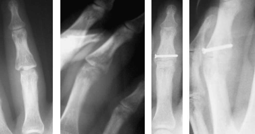
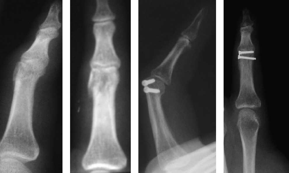
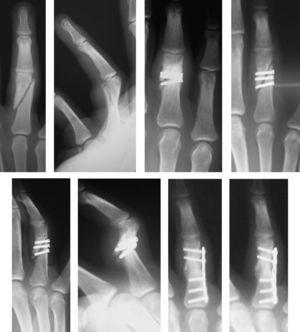
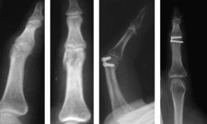
Para llevar a cabo esta técnica se realizó una selección según las características de los pacientes y el tipo de fractura. Es imprescindible que sean pacientes colaboradores y las fracturas subsidiarias de este tipo de tratamiento fueron fracturas inestables que permitían conseguir una buena estabilidad mediante la osteosíntesis con tornillos, como fracturas condíleas de las falanges, fracturas diafisarias espiroideas u oblicuas largas de la falange, fracturas de la base de la falange, fracturas intraarticulares y algunas fracturas de la base del primer metacarpiano (figura 1,figura 2,figura 3,figura 4).
Figura 1. Fractura oblicua larga extraarticular de la falange media del dedo medio.
Figura 2. Fractura de la base de la falange media del dedo anular.
Figura 3. Fractura de cóndilo de la falange proximal del dedo índice.
Figura 4. Fractura de la base del primer metacarpiano.
Se operó a todos los pacientes con régimen de cirugía mayor ambulatoria.
La anestesia empleada fue locorregional, no precisaron de isquemia y se realizó profilaxis antibiótica preoperatoria.
Se utilizó el material y el instrumental de osteosíntesis específico de mano y el fluoroscopio de baja radiación tipo C-arm modelo OEC Miniview 6800, de General Electric.
Tras la reducción a cielo cerrado de la fractura, en ocasiones con ayuda de pinzas de Kocher que mantienen reducido el fragmento del lado opuesto mediante una mínima incisión, se practica una incisión en la piel en la unión dorsal y palmar, zona más segura. Ésta se diseca de forma roma para evitar que queden atrapadas las bandeletas laterales del aparato extensor, se mantiene la fractura con agujas de Kirschner y posteriormente se sustituye cada aguja de Kirschner por microtornillos autoterrajantes de 1,5 a 2mm de calibre; según el tipo de hueso y su localización se siguen los criterios de compresión del foco de fractura y se ayudan con el intensificador de imagen.
No precisa el cierre de la piel debido a que las incisiones son mínimas con la utilización del Steri-Strips® (3m).
La inmovilización se realiza mediante una sindactilia durante 3 semanas y en algunos casos mediante una férula de yeso durante las primeras 2 semanas, mientras que la rehabilitación debe comenzarse de forma inmediata.
Se realizaron revisiones postoperatorias a los 2–3 días, a las 3–5 semanas, a los 3 y a los 6 meses, con controles seriados de la funcionalidad según los criterios de la Sociedad Americana de Cirugía de la Mano (ASSH)5,6 (tabla 1) y los controles radiológicos de la fractura.
Tabla 1. Resultados funcionales en la mano según la Sociedad Americana de Cirugia de la Mano 5,6
| Rango de movilidad | |
| Resultados (pulgar) | |
| Excelente | >120° |
| Bueno | 100°–120° |
| Malo | <100° |
| Resultados (2.° a 5.° dedo) | |
| Excelente | >220° |
| Bueno | 180°–220° |
| Malo | <180° |
De los 89 pacientes en los que se intentó el tratamiento con esta técnica, en 5 pacientes no se pudo realizar al ser imposible reducir la fractura a cielo cerrado, por lo que se tuvo que hacer la osteosíntesis abriendo el foco de fractura (5,61%).
De los 84 pacientes restantes 68 (80,95%) eran varones y 16 eran mujeres (19,05%) con edades comprendidas entre los 15 y los 63 años (edad media de 29 años).
Los días transcurridos desde el traumatismo hasta la intervención quirúrgica oscilaron entre 0 y 7 días con una media de 2,95 días.
Respecto a la causa de la fractura, en 28 pacientes fue por accidente laboral (33,33%), en 24 pacientes fue por caída casual (28,57%), en 28 pacientes fue por accidente deportivo (33,33%) y en 4 pacientes fue por agresión con torsión del dedo (4,76%).
La localización de la lesión fue en la base del primer metacarpiano en 12 (14,28%) ocasiones y el resto fueron fracturas de las falanges: 12 (14,28%) pacientes en la falange proximal y 8 (9,52%) en la falange media del índice; 8 (9,52%) pacientes en la falange proximal y 4 (4,76%) en la falange media del dedo medio; 12 (14,28%) pacientes en la falange proximal y 12 (14,28%) en la falange media del anular; 12 (14,28%) pacientes en la falange proximal y 4 (4,76%) en la falange media del meñique.
Todas las fracturas eran cerradas. Cuarenta (47,61%) fracturas eran intraarticulares: 16 (19,04%) eran de la base de la falange; 12 (14,28%), de los condilos, y 12 (14,28%), de la base del primer metacarpiano.
El tipo de fractura más frecuente fue la fractura oblicua larga en 68 (80,95%) casos, la fractura espiroidea en 8 (9,52%) casos y otros 8 (9,52%) casos fueron conminutas articulares.
A los 6 meses se obtuvieron resultados excelentes en 64 (76,19%) pacientes, buenos en 15 (17, 86%) pacientes y malos en los 5 (5,95%) restantes, según los criterios de la ASSH5,6 (tabla 2).
Tabla 2. Resultados funcionales obtenidos tras la última revisión
| Pulgar | 2.o dedo | 3.er dedo | 4.o dedo | 5.o dedo |
| Excelente | 12 | 16 | 4 | 20 | 12 |
| Bueno | 4 | 6 | 3 | 2 |
| Malo | 2 | 1 | 2 |
Las reducciones radiográficas de la fractura fueron aceptables desde el punto de vista anatómico en 78 (92,85%) casos. En 3 (3,57%) pacientes con fractura articular de la base de la falange conminuta hubo defecto de reducción de la fractura con una superficie articular corregida, en 2 pacientes (2,38%) no se consiguió corregir perfectamente la superficie articular debido a la gran conminución y a que los fragmentos óseos eran muy pequeños (referidos como malos resultados) y en un (1,19%) paciente con fractura de la falange proximal del cuarto dedo quedó una ligera diástasis del foco de fractura, tras tener un traumatismo en el dedo la fractura se desplazó y se lo intervino para colocarle una placa y tornillos (referido como mal resultado [figura 5).
Figura 5. Fractura oblicua larga de la falange proximal del dedo anular de la mano derecha. Fracaso de osteosíntesis percutánea. Nueva osteosíntesis con placa y tornillos.
Los otros 2 pacientes con resultado funcional malo fueron una paciente con una flexión de la interfalángica proximal [IFP] de 90° y adherencias de las bandeletas laterales del aparato extensor, debido a una inmovilización prolongada al no acudir a la consulta hasta la quinta semana se le realizó una tenolisis en una segunda intervención, finalmente consiguió un resultado bueno, y un paciente por falta de colaboración en la movilización postoperatoria, lo que declinó a una nueva intervención quirúrgica.
No hubo ninguna infección y todas las fracturas, salvo la referida anteriormente, consolidaron en un período menor de 6 semanas.
DiscusiónSwanson (1970) afirmaba que “las fracturas de la mano pueden tener las siguientes complicaciones: deformidad por falta de terapéutica, rigidez por tratamiento excesivo y tanto deformidad como rigidez si la atención es deficiente”1.
Los nuevos materiales de microosteosíntesis provocaron el exceso de indicación quirúrgica de las fracturas en la mano y trajeron como consecuencia la presencia de múltiples rigideces derivadas de la disección de las partes blandas y de la presencia del propio material de osteosíntesis que ocupa un espacio imprescindible en ocasiones para el deslizamiento de los diferentes tejidos1,2,3,4,5.
Por otra parte, el tratamiento conservador obliga en ciertos tipos de fracturas a inmovilizaciones forzadas durante períodos prolongados, lo que favorece las rigideces y en muchos pacientes no consigue evitar las deformidades posfractura1,2.
Al buscar las ventajas del tratamiento quirúrgico en cuanto a la corrección y la estabilidad de la fractura y las ventajas del tratamiento ortopédico en cuanto a evitar la apertura del foco de la fractura, la disección de los tejidos nobles de la mano y las consiguientes cicatrices, se ha llegado al desarrollo de esta nueva técnica, en la que no se utilizan como estabilizador definitivo las agujas de Kirschner debido a su inmovilización precaria del foco de fractura, sino tornillos de microosteosíntesis en la que la fuerza estabilizadora y compresión del foco de fractura es superior.
La técnica, al ser percutánea, entraña cierta dificultad de tratamiento de la propia fractura y de colocación de las osteosíntesis, sobretodo en fracturas espiroideas, por la complejidad, en algunos casos, de la reducción tridimensional de ésta; no obstante, se consiguió realizarla en 84 de las 89 ocasiones en las que se había planeado. Es importante realizar una selección rigurosa de las fracturas subsidiarias de este tratamiento para evitar complicaciones.
Los resultados obtenidos en esta serie son superiores a los resultados publicados, tanto en las series tratadas de forma conservadora como en los pacientes operados a cielo abierto.
Las complicaciones imputables a la técnica solamente se han observado en 3 pacientes, en uno de ellos la fractura no quedó suficientemente estable y al recibir el paciente un traumatismo sobre el dedo se desplazó y movió los tornillos, por lo que precisó una nueva intervención mediante osteosíntesis con placa y tornillos, con buenos resultados posteriores (figura 5). En 2 pacientes no se consiguió la reducción anatómica articular adecuada, aunque probablemente si se hubiera intentado la reducción abierta el resultado habría sido igual o peor debido al tamaño reducido y a la gran conminución de los fragmentos óseos.
Los otros 2 pacientes con malos resultados funcionales fueron una paciente que presentaba una fractura oblicua larga de la falange proximal del dedo medio tratada con 3 tornillos percutáneos que había consolidado en buenas condiciones, pero que debido a la inmovilización prolongada durante 5 semanas presentó una rigidez con defecto de la flexión de la IFP por adherencia de las bandeletas laterales del aparato extensor que se corrigió tras realizar una tenolisis; el otro paciente presentaba una fractura de la base de la falange proximal del dedo meñique tratada con 2 tornillos percutáneos, por falta de movilización precoz del paciente debido a una mala colaboración se decidió realizar una nueva intervención quirúrgica con el fin de liberar adherencias y conseguir una mayor movilidad.
ConclusionesLa osteosíntesis percutánea es una técnica muy útil en fracturas especialmente seleccionadas.
Precisa de una alta demanda de capacidad y materiales específicos.
La osteosíntesis percutánea disminuye el tiempo de inmovilización de la fractura al mínimo, favorece una recuperación funcional más temprana y no deja defectos estéticos.
Es fundamental la colaboración del paciente para obtener un resultado funcional óptimo.
Los autores han declarado no tener ningún conflicto de intereses.
Autor para correspondencia.







