La «mano en espejo» es una entidad extremadamente infrecuente, de la cual hay descritos muy pocos casos en la literatura1. Tradicionalmente se ha considerado un trastorno de la diferenciación embrionaria que origina una duplicación de la región cubital del antebrazo, muñeca y mano, lo que ha llevado a esta entidad a recibir el nombre de dimelia cubital2. El diagnóstico se hace en el momento del nacimiento y el tratamiento se instaura en los primeros años de la vida, lo cual hace muy infrecuente encontrar esta deformidad en pacientes de edad avanzada. Se presenta el caso de una paciente anciana ingresada en nuestro centro por una fractura de cadera, que presentaba una polidactilia en su mano derecha.
CASO CLÍNICO
Mujer de 83 años que ingresa en nuestro Servicio por presentar fractura de cadera izquierda tras caída casual. La paciente no tenía antecedentes de enfermedad sistémica ni había sufrido ninguna intervención quirúrgica. Vivió en el campo y realizó tareas del hogar. No recordaba ningún dato de interés y sus familiares más cercanos, que eran unos sobrinos, tampoco referían historia familiar de deformidades.
En la exploración física la paciente presenta 7 dedos en su mano derecha, manteniendo la mano en una actitud de flexión, así como la muñeca y el codo, lo cual, unido a los cambios degenerativos articulares, hacen difícil la exploración.
Presenta el segundo, tercero, cuarto y quinto dedos con un aspecto y morfología normales. Hay un surco que separa a éstos de los otros tres. El primero de ellos es más pequeño y en la exploración parece tener dos falanges. Los otros dos presentan una morfología similar al segundo dedo.
La movilidad de la muñeca se limita a 15-20 grados de extensión y la pronosupinación del antebrazo está abolida. El codo mantiene un arco de flexión de unos 70 grados y una extensión casi completa. La paciente no es capaz de hacer pinza con la mano ni de sujetar ningún objeto.
Con el consentimiento de la paciente se le realizaron fotografías (figs. 1 y 2), y radiografías de su mano y antebrazo derechos (figs. 3, 4 y 5).
Figura 1. Visión dorsal de la mano, con dos grupos de dedos separados por un surco.
Figura 2. Visión palmar de la mano dificultada por la limitación que la paciente tenía para realizar la extensión de la muñeca.
Figura 3. Radiografía anteroposterior de la mano. Se observan cuatro dedos trifalángicos en el lado cubital y dos trifalángicos, con uno bifalángico en el lado radial.
Figura 4. Detalle del carpo en el que se observa la anormal morfología de los huesos del carpo, con un extremo distal del cúbito de aspecto normal y un extremo del radio hipoplásico.
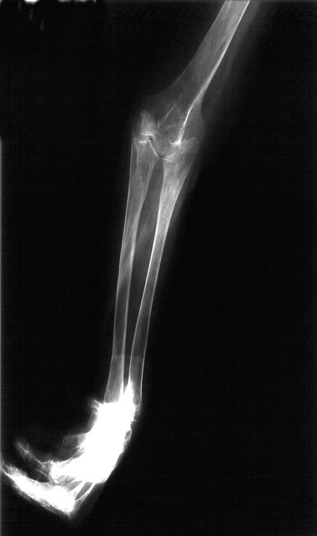
Figura 5. Radiografía anteroposterior del antebrazo. Se observa gran similitud morfológica de los dos huesos en su región proximal, más cercana a la del cúbito, con ausencia de articulación radiocubital proximal.
Se preguntó a la paciente acerca de su deformidad y refirió que siempre había sido así, con una mezcla de timidez y vergüenza, lo cual le había llevado a utilizar la mano izquierda casi exclusivamente. No se insistió mucho, pues la paciente se mostraba reacia a hablar de algo que había marcado su vida desde su nacimiento.
DISCUSIÓN
La polidactilia es más frecuente en la raza blanca y se clasifica en preaxil cuando afecta al primer dedo, axil cuando afecta al segundo, tercero y cuarto, y postaxil cuando el dedo repetido es el quinto, tratándose casi siempre de duplicaciones.
En el caso presente aparece un primer dedo hipoplásico al lado de otros dos trifalángicos, por lo que es difícil de encuadrar dentro de la clasificación de Wassel, que es la utilizada habitualmente en este tipo de patología1, aunque se podría incluir dentro de las «polidactilias sin pulgar» según la clasificación de Minguella et al3 o dentro de las «polidactilias complejas» de la clasificación de Graham y Ress4. También presenta anomalías tanto de número como de forma en los huesos del carpo (fig. 4).
El diagnóstico se encuadra dentro de la mano en espejo, y dentro de este grupo podríamos referirnos a una dimelia cubital. Reciben esta denominación cuando los grupos de dedos radiales y cubitales de la misma mano representan una imagen casi especular. Se considera que esta malformación es un fenómeno de duplicación de la mitad cubital del antebrazo, la muñeca y la mano, aunque generalmente ésta no es completa. Se trata de una anomalía extraordinariamente rara, de la que existen escasas referencias en la literatura. En una revisión en 1968 se hablaba de unos 60 casos descritos, aunque algunos de estos casos databan del siglo diecisiete y se dudaba que fueran verdaderas «manos en espejo»2,5. La deformidad suele ser unilateral y llamativa, con múltiples dedos que surgen de una palma más o menos normal. La mano puede tener entre 6 y 8 dedos bien formados que pueden estar todos en el mismo plano o puede existir una oposición entre las dos mitades. Los dedos postaxiales tienen un aspecto más normal que los preaxiales. Los dedos se encuentran flexionados por deficiencia de los extensores, la muñeca suele presentar desviación radial y su extensión a veces es imposible. El cúbito y los huesos del carpo del lado cubital se encuentran duplicados en ausencia de los huesos escafoides y trapecio6 (fig. 4).
En el presente caso, en la muñeca, los dos huesos del antebrazo presentan una morfología distinta, lo que hace dudar que sea una duplicación del cúbito. Sin embargo, en el codo se observan dos huesos de morfología más parecida que semejan más a un cúbito, en ambos casos, que a un radio. En la práctica totalidad de las imágenes publicadas se observan casos de niños por lo que, en realidad, no conocemos el aspecto final de los huesos del antebrazo al finalizar el crecimiento, circunstancia que se puede ver en esta paciente. La falta de simetría completa de los huesos del antebrazo no permite hablar de dimelia cubital, aunque la morfología de los dos huesos se acerca más a la del cúbito que a la del radio.
El concepto de dimelia cubital para la mano en espejo se atribuye a la hipótesis de que el desarrollo de los segmentos más distales de las extremidades depende directamente de los más proximales. Otras hipótesis apuntan a trastornos de la capa ectodérmica distal, que sería la responsable de la diferenciación7. Aunque tradicionalmente se ha considerado una duplicación del cúbito, últimamente se cuestiona este hecho, pues los huesos del antebrazo no tienen la morfología completa propia de un cúbito, por lo que sería más apropiado hablar de una extremidad sin diferenciar con polidactilia2,6,8. El escaso número de casos hace difícil llegar a una afirmación concluyente. Se cree que el primer caso descrito data de 1587, aunque la descripción anatómica fue hecha en 18539. Las referencias bibliográficas son muy escasas y describen casos en edad infantil, lo que confirma lo extraordinario de este caso, especialmente dada la edad de la paciente.
El tratamiento consiste en estimular a los padres para que conserven la movilidad pasiva de los dedos, la muñeca, el codo y el hombro, hasta que el niño llega a la edad idónea para la reconstrucción, que suele ser entre el primer y segundo año, antes de que el niño comience a descubrir la pinza de la mano1,6. La cirugía es muy compleja y busca pulgarizar uno de los dedos y eliminar los sobrantes así como corregir las limitaciones de la movilidad del codo, especialmente la pronación y la supinación5,9,10. A pesar de la dificultad y la complejidad de la cirugía, ésta es la única alternativa. En el caso que se presenta, la ausencia de tratamiento ha conducido a una extremidad completamente inservible para la paciente, además de los graves problemas de adaptación social que le ha originado su deformidad.
Conflicto de intereses. Los autores no hemos recibido ayuda económica alguna para la realización de este trabajo. Tampoco hemos firmado ningún acuerdo por el que vayamos a recibir beneficios u honorarios por parte de alguna entidad comercial. Por otra parte, ninguna entidad comercial ha pagado ni pagará a fundaciones, instituciones educativas u otras organizaciones sin ánimo de lucro a las que estemos afiliados.







