El objetivo del estudio es analizar la influencia del uso de un diseño lateralizado de prótesis invertida en la consolidación de las tuberosidades y su correlación con los resultados funcionales.
Material y métodosEstudio retrospectivo de pacientes intervenidos de fractura de húmero proximal tratados con una prótesis invertida de diseño lateralizado con seguimiento mínimo de un año. Se categorizó como consolidación no anatómica cuando existía: no unión, malunión u osteólisis de las tuberosidades. Más específicamente, dentro del subgrupo se incluyeron: los pacientes con ausencia de tuberosidad, una separación>1cm del fragmento a la diáfisis humeral, o que la tuberosidad se encontrase por encima de la bandeja humeral. Se realizó un análisis por subgrupos, grupo 1 (n=16) consolidación anatómica vs. grupo 2 (n=19) consolidación no anatómica de las tuberosidades, donde los resultados funcionales se analizaron utilizando la escala de Constant, la escala American Shoulder and Elbow Surgeons y el Subjective Shoulder Value.
ResultadosUn total de 35 pacientes se incluyeron en el estudio con una edad media de 72,65 años. En la radiografía postoperatoria al año, la tasa de consolidación no anatómica de tuberosidades fue del 54%. En el análisis por subgrupos no se encontraron diferencias estadísticamente significativas en cuanto a la movilidad y los scores funcionales; en cambio, sí que se encontraron diferencias estadísticamente significativas en cuanto el test de Patte (p=0,03), siendo positivo en una mayor proporción en el grupo de no consolidación.
ConclusiónA pesar de la alta tasa de consolidación no anatómica de las tuberosidades (54%), los pacientes con consolidación no anatómica obtuvieron unos resultados satisfactorios y similares al grupo de comparación en cuanto a movilidad, scores y satisfacción subjetiva del paciente.
Proximal humerus fractures are the third most frequent type of fracture in elderly patients. Nowadays, surgical treatment is indicated one third of the time, being the reverse shoulder prosthesis an option especially in complex comminuted patterns. In this study we analyzed the effects of a lateralized reverse prosthesis in tuberosity union and its relationship with the functional results.
Material and methodsRetrospective case study of patients with proximal humerus fractures treated with a lateralized design reverse shoulder prosthesis with one-year minimum follow-up. Tuberosity nonunion was defined as a radiological concept: absence of tuberosity, distance>1cm from the tuberosity fragment to the humeral shaft or tuberosity above the humeral tray. Subgroup analysis was performed, group 1 (n=16) tuberosity union vs. group 2 (n=19) tuberosity nonunion. Groups were compared with the following functional scores: Constant, American Shoulder and Elbow Surgeons and Subjective Shoulder Value.
ResultsA total of 35 patients were included in this study with a median age of 72.65 years. Postoperative radiographic analysis at one year after surgery revealed a tuberosity nonunion rate of 54%. Subgroup analysis revealed no statistically significant differences in terms of range of motion or functional scores. However, there were differences regarding the Patte sign (p=0.03) which was positive in a larger proportion of patients in the group with tuberosity nonunion.
ConclusionEven though there was a large percentage of tuberosity nonunion with the use of a lateralized prosthesis design, patients obtained good results in a similar manner to those found in the union group in terms of range of motion, scores, and patient satisfaction.
Las fracturas de húmero proximal suponen la tercera fractura en frecuencia en pacientes de edad avanzada. Actualmente se indica un tratamiento quirúrgico en un tercio de las mismas, cifra que continúa en aumento1,2.
Entre las alternativas terapéuticas, la indicación de la prótesis invertida como tratamiento de las fracturas de húmero proximal en pacientes de edad avanzada se encontraba relegada a los patrones complejos. Sin embargo, en los últimos años se ha extendido su uso considerablemente3–7. Además, ha habido un cambio progresivo hacia el uso de prótesis invertidas con diseños lateralizados frente al diseño medializado original de Grammont, al aportar una menor incidencia de notching, asà como un aumento de la rotación externa sin que esto suponga un incremento de las complicaciones8,9.
El objetivo principal de este estudio es evaluar la consolidación de las tuberosidades cuando se emplea una prótesis invertida lateralizada en el tratamiento de las fracturas de húmero proximal. Como objetivo secundario se analiza la influencia de la consolidación o no de las tuberosidades sobre la función final.
Nuestra hipótesis de trabajo consiste en que las prótesis invertidas de diseño lateralizado con bandeja de diámetro grande (44mm) dificultan el correcto cierre de las tuberosidades, provocando una tensión excesiva, lo cual influirá en la consolidación, esperando una tasa de consolidación menor a la descrita en la literatura y, como consecuencia, un peor resultado funcional.
Material y métodosEstudio retrospectivo de pacientes intervenidos entre 2019 y 2020 de fractura de húmero proximal tratados mediante prótesis invertida de diseño lateralizado (Comprehensive® Reverse Shoulder System, Zimmer Biomet, Warsaw, Indiana, EE. UU.) con un seguimiento medio de 14 meses. Los criterios de inclusión fueron pacientes con fractura de húmero proximal desplazadas en 3-4 partes diagnosticados mediante radiografÃa en 2 proyecciones (AP verdadera de hombro y axial) y TC no susceptibles de reconstrucción mediante osteosÃntesis. Los criterios de exclusión fueron aquellos pacientes intervenidos con seguimiento menor de un año, infección posterior a la cirugÃa o que precisaron de cirugÃa de revisión, fracturas intraoperatorias y/o presencia de lesión neurológica. Realizamos una TC preoperatoria de manera sistemática a todos aquellos pacientes en cuya radiografÃa se apreciaba una fractura de húmero proximal y a los pacientes susceptibles de tratamiento quirúrgico. En la TC establecimos la clasificación de Neer de la fractura10, la morfologÃa glenoidea según Walch11 y medimos el grado de retroversión glenoidea.
Las intervenciones se realizaron por 2 cirujanos sénior tras un bloqueo interescalénico, bajo anestesia general, en posición en «silla de playa». Se realizó un abordaje deltopectoral, colocando 4 suturas de alta resistencia (PremiCron®, B. Braun Surgical, Barcelona, España), 2 en tuberosidad mayor (referenciando supraespinoso e infraespinoso) y 2 en tuberosidad menor (subescapular). Posteriormente se realizaba una exposición glenoidea con liberación capsular 360°, colocando el componente glenoideo en el tercio inferior de la superficie glenoidea con 10° de tilt inferior con la guÃa proporcionada por la compañÃa protésica. Se realizó el brocado de 3 orificios en la diáfisis humeral a nivel posterior, anterolateral y anteromedial, pasando a través de los orificios 2 suturas de alta resistencia (PremiCron®, Braun). Posteriormente, se introdujo el vástago no cementado de 135° en el canal humeral a través del bucle de las suturas humerales. En todos los casos, se colocó una bandeja de 44mm tipo onlay y un polietileno con una inclinación de 12° de una altura variable según cada caso hasta obtener una tensión óptima de las partes blandas. La tensión óptima se definió intraoperatoriamente mediante la palpación del tendón conjunto (presencia de resistencia a la contrapresión digital) y la imposibilidad de luxación de la unión polietileno-glenoesfera mediante una comprobación de todos los rangos de movilidad: flexión anterior, rotación externa, rotación interna y extensión, empleando el menor grosor de polietileno disponible. Finalmente, se procedió al anudado de ambas tuberosidades a la diáfisis humeral y posteriormente entre sÃ. De forma especÃfica, se utilizaron las suturas de referencia del supraespinoso/infraespinoso y del subescapular para conformar un anudado en «X» (cruzado) con la diáfisis (2 cabos supra/infra con el cabo anterolateral del húmero, 2 cabos subescapular con un cabo anteromedial del húmero, 2 cabos supra/infra con cabo posterior del húmero, 2 cabos subescapular con cabo anteromedial del húmero), y posteriormente sutura suelta para anudar las tuberosidades entre sÃ. El protocolo posquirúrgico consiste en la inmovilización con cabestrillo simple durante 4 semanas, pudiéndose retirar el mismo durante la sedestación para movilizar mano, muñeca y codo. A partir de la cuarta semana postintervención se deriva al paciente al Servicio de Rehabilitación para comenzar con un protocolo de movilidad activa y pasiva progresiva y fortalecimiento del deltoides anterior.
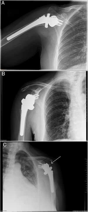
Postoperatoriamente, se realizaron controles al mes, 3 meses, 6 meses y al año. Dos cirujanos independientes fueron los encargados de valorar inicialmente la correcta consolidación de las tuberosidades, y posteriormente era corroborado por un cirujano sénior en las 2 proyecciones radiográficas (AP verdadera y axial) a todos los pacientes que decidieron participar y llevaban como mÃnimo un año de seguimiento. Se categorizó como consolidación no anatómica (grupo 2) cuando existÃa: no unión, malunión u osteólisis de las tuberosidades. Más especÃficamente, dentro del subgrupo se incluyeron: los pacientes con ausencia de tuberosidad, una separación>1cm del fragmento a la diáfisis humeral, o que la tuberosidad se encontrase por encima de la bandeja humeral (figs. 1 y 2). El estudio fue aprobado por el Comité Ético de Investigación.
La muestra inicial fue de 52 pacientes, de los cuales 17 fueron excluidos (2 con infección postoperatoria que precisaron de recambio en 2 tiempos, uno por lesión nerviosa preoperatoria en el contexto de lesión del plexo braquial por arrancamiento, 10 por pérdida de seguimiento y 4 por utilizar otro diseño protésico). Finalmente se incluyeron 35 pacientes con una edad media de 72,7 años. El tiempo medio hasta la cirugÃa fue de 7,9 dÃas.
Los resultados funcionales registrados para el análisis se evaluaron por 2 cirujanos independientes del servicio (sin la presencia del cirujano principal). Por un lado, se anotaron las puntuaciones del Constant12, el American Shoulder and Elbow Surgeons (ASES)13 y el Subjective Shoulder Value (SSV)14. Por otro lado, se registró el rango de movilidad (en grados), la presencia del signo de Patte y la presencia del lag sign. El test de Patte se realiza partiendo de una abducción de 90° en el plano escapular con 90° de flexión del codo. Al paciente se le pide realizar una rotación externa contrarresistida. El test se considera positivo con una fuerza menor de 4 según la clasificación del Medical Research Conuncil. El lag test se realiza con el codo flexionado a 90° y el hombro elevado 20° en el plano escapular, el brazo se lleva a rotación externa máxima. Al paciente se le pide que mantenga la posición mientras el explorador libera la muñeca. Un test positivo se define como una rotación interna mayor de 10° 15.
Se evaluó la fuerza con un dinamómetro manual, en 5 tomas consecutivas, midiendo en kilogramos, como único parámetro, la flexión anterior del hombro con el codo en extensión. Posteriormente realizamos la media aritmética de los 5 resultados para su análisis y conversión al Constant.
La muestra mÃnima necesaria calculada por Stata 16.0 es de 16 pacientes por grupo, aceptando un riesgo alfa de 0,05 y un riesgo beta inferior al 0,2 para encontrar una diferencia igual o superior a 5 unidades en el Constant. Se asume una desviación estándar (DE) común de 5. Los datos se presentan mediante la mediana y el rango intercuartÃlico. Las variables categóricas las representamos por su frecuencia. Las diferencias en las variables continuas entre categorÃas de pacientes las analizamos empleando el test U de Mann-Whitney. Las diferencias en las proporciones las analizamos empleando el test de Fisher. Todos los test los realizamos empleando Stata 16.0, estableciendo un valor de p<0,05 como estadÃsticamente significativo.
ResultadosDemografÃaUn total de 35 pacientes se incluyeron en el estudio. La edad media fue de 72,7 años (DE±6,2), el tiempo medio hasta la fecha de intervención fue de 7,9 dÃas (DE±4), el 57% tenÃan afectación del lado izquierdo. El 60% de las fracturas se clasificaron en 4 partes según la clasificación de Neer (tabla 1).
CaracterÃsticas basales
|  | Total (n=35) | Consolidación anatómica tuberosidadesGrupo 1 (n=16) | Sin consolidación anatómica tuberosidades Grupo 2(n=19) | p |
|---|---|---|---|---|
| Edad media en años±DE | 72,7±6,2 | 72,7±6,4 | 72,6±6,2 | 0,96 |
| Tiempo medio hasta la cirugÃa en dÃas±DE | 7,9±4 | 10±4 | 6±4 | 0,01 |
| Lateralidad |  |  |  | 0,20 |
| Derecha | 15 | 5 | 10 |  |
| Izquierda | 20 | 11 | 9 |  |
| Tipo fractura Neer |  |  |  | 0,49 |
| IÂ | 0Â | 0Â | 0Â | Â |
| IIÂ | 2Â | 1Â | 1Â | Â |
| IIIÂ | 9Â | 5Â | 4Â | Â |
| III+split | 3 | 0 | 3 |  |
| IVÂ | 18Â | 8Â | 10Â | Â |
| IV+split | 3 | 2 | 1 |  |
| Walch |  |  |  | 0,74 |
| A1Â | 18Â | 8Â | 10Â | Â |
| A2Â | 1Â | 1Â | 0Â | Â |
| B1Â | 5Â | 2Â | 3Â | Â |
| B2Â | 11Â | 5Â | 6Â | Â |
| CÂ | 0Â | 0Â | 0Â | Â |
| Friedman medio en grados±DE | −3,8±5,7 | −5,49±5,6 | −2,38±5,4 | 0,11 |
| Glenosfera offset |  |  |  | 0,07 |
| A (0,5mm)Â | 0Â | 0Â | 0Â | Â |
| B (1,5mm)Â | 31Â | 12Â | 19Â | Â |
| C (2,5mm)Â | 1Â | 1Â | 0Â | Â |
| D (3,5mm)Â | 3Â | 3Â | 0Â | Â |
| E (4,5mm)Â | 0Â | 0Â | 0Â | Â |
| Tamaño glenosfera (mm) |  |  |  | 0,90 |
| 36Â | 33Â | 15Â | 18Â | Â |
| 41Â | 2Â | 1Â | 1Â | Â |
| Vástago |  |  |  | 0,76 |
| Estándar (longitud 122mm) | 21 | 10 | 11 |  |
| Fractura (longitud 122mm)Â | 5Â | 3Â | 2Â | Â |
| Mini (longitud 83mm)Â | 9Â | 4Â | 5Â | Â |
| Sutura tuberosidades |  |  |  | 0,50 |
| TroquÃter | 3 | 2 | 1 |  |
| TroquÃter+troquÃn | 31 | 14 | 17 |  |
| TroquÃn | 1 | 0 | 1 |  |
DE: desviación estándar.
Los grupos de comparación fueron similares en las caracterÃsticas basales; únicamente se encontraron diferencias en el tiempo hasta la cirugÃa, siendo ligeramente superior en el grupo 1. El tipo de glena más frecuente según la TC preoperatoria fue el tipo A1 de Walch, con un 51% de los casos. La retroversión media fue de −3,8° (DE±5,66). Por lo que respecta a las caracterÃsticas de las prótesis implantadas, en el 88% se utilizó un offset tipo B (offset inferior +1,5mm), siendo la medida escogida de diámetro 36mm el 91% de las veces; el vástago de diseño lateralizado estándar (122mm) fue el más utilizado en el 60% de los pacientes. Intraoperatoriamente se logró la sutura de las tuberosidades en el 88% de los casos según las notas de intervención quirúrgica, quedando solo 4 casos sin el cierre completo de las 2 tuberosidades por excesiva tensión (imposibilidad de reducir la tuberosidad por debajo de la bandeja humeral). En 3 de ellas solo se pudo suturar el troquÃter y en una de ellas el troquÃn a la diáfisis humeral. El valor medio del Constant fue de 56,5 (DE±13,3), el ASES promedio de 71,2 (DE±23,5) y el SSV de 8,2 (DE±1,6). El rango medio de movilidad fue de 121,1° (DE±32,4) de flexión anterior, 96,6° (DE±20,3) de abducción, 19,7° (DE±14,7) de rotación externa y una rotación interna hasta T12 en el 31% de los casos. Un 83% de los pacientes presentaron un lag sign negativo y un 77% un test de Patte negativo. Al año de seguimiento, el 54% de los pacientes presentaban una ausencia de consolidación anatómica (tabla 2). Más especÃficamente, 5/19 (26%) fueron casos de no unión, 5/19 (26%) fueron casos de malunión y 9/19 (47%) fueron casos de osteólisis.
Resultados funcionales globales
| Constant medio±DE | 56,5±13,3 |
| ASES medio±DE | 71,2±23,5 |
| SSV medio±DE | 8,2±1,6 |
| Flexión anterior media (°) | 121,1±32,4 |
| Abducción media (°) | 96,6±20,3 |
| RI | |
| SIÂ | 9Â |
| Cintura | 3 |
| Escápula | 1 |
| Muslo | 1 |
| Nalga | 10 |
| T12Â | 11Â |
| RE media (°) | 19,9±14,7 |
| RE lag sign (%) | |
| SÃÂ | 6Â |
| No | 29 |
| RE Patte (%) | |
| SÃÂ | 8Â |
| No | 27 |
ASES: American Shoulder and Elbow Surgeons; DE: desviación estándar; RE: rotación externa; RI: rotación interna; SI: sacroilÃaca; SSV: Subjective Shoulder Value.
Se realizó un análisis por subgrupos comparando los pacientes con prótesis invertida con consolidación de tuberosidades (grupo 1, n=16) frente a los pacientes sin consolidación anatómica (grupo 2, n=19) y se correlacionó con los resultados de los diferentes scores, el rango de movilidad (flexión anterior, abducción, rotación externa) y la presencia de los signos de lag y Patte.
Tal y como se muestra en la tabla 3, no se encontraron diferencias estadÃsticamente significativas en cuanto a los scores y el rango de movilidad. En cambio, sà que se encontraron diferencias estadÃsticamente significativas entre los grupos en cuanto al test de Patte, donde en el grupo 1 ningún paciente presentó signo de Patte positivo frente a 7 en el grupo 2 (p=0,03). En el grupo de consolidación, 2 pacientes presentaron un lag sign positivo frente a 4 en el grupo sin consolidación anatómica (p=0,5).
Comparación de los resultados funcionales en pacientes intervenidos de prótesis invertida con vs. sin consolidación anatómica de las tuberosidades
|  | Prótesis invertida con consolidación anatómica tuberosidades (n=16) | Prótesis invertida sin consolidación anatómica tuberosidades (n=19) | p |
|---|---|---|---|
| Constant, mediana±DE | 57,5±11,5 | 55,7±15 | 0,70 |
| ASES medio±DE | 70,4±25,1 | 71,8±22,8 | 0,87 |
| SSV medio±DE | 8±1,4 | 8,4±1,7 | 0,50 |
| Flexión anterior media (°) | 126,6±31,6 | 116,6±33,1 | 0,37 |
| Abducción media (°) | 101,3±25,6 | 92,6±14 | 0,22 |
| RIÂ | Â | Â | 0,70Â |
| SIÂ | 5Â | 4Â | Â |
| Cintura | 2 | 1 |  |
| Escápula | 0 | 1 |  |
| Muslo | 0 | 1 |  |
| Nalga | 5 | 5 |  |
| T12Â | 4Â | 7Â | Â |
| RE media (°) | 18,8±15,1 | 20,8±14,7 | 0,69 |
| RE lag sign |  |  | 0,50 |
| SÃÂ | 2Â | 4Â | Â |
| No | 14 | 15 |  |
| RE Patte |  |  | 0,03 |
| SÃÂ | 1Â | 7Â | Â |
| No | 15 | 12 |  |
ASES: American Shoulder and Elbow Surgeons; DE: desviación estándar; RE: rotación externa; RI: rotación interna; SI: sacroilÃaca; SSV: Subjective Shoulder Value.
En este estudio, se obtuvo una baja tasa de consolidación de las tuberosidades (54%), ligeramente inferior a la descrita en la literatura (64-84%)16–23; solo Chun et al.24 reportan una tasa de consolidación inferior (34%)24. Esta diferencia, según nuestra hipótesis inicial, puede ser debida al diseño protésico utilizado: diseño lateralizado con bandeja de diámetro grande, siendo el tamaño más pequeño disponible el de 44mm. Este gran diámetro puede dificultar el cierre de las tuberosidades, quedando estas con excesiva tensión y comprometiendo asà la consolidación cuando se compara con los otros diseños protésicos (fig. 3). Esta diferencia de tamaño en la bandeja es notable si tenemos en cuenta el incremento de área de superficie que supone. Por ejemplo, la diferencia de superficie (cm2) entre la bandeja de 32mm de Humelock Reversed® (área de superficie 8cm2), de Fx Shoulder Solutions, y la bandeja de 44mm (área de superficie 15,2cm2) modelo Comprehensive® Reverse Shoulder System, de Zimmer Biomet, corresponde a un aumento de un 90% (tabla 4).
Medidas de las bandejas de diferentes modelos de prótesis
| Fabricante | Modelo | Diámetro de bandeja (mm) | Superficie (cm2) |
|---|---|---|---|
| Arthrex | Univers Revers™ Modular Glenoid System | 36/39/42 | 5,3/11,9/13,8 |
| DePuy Synthes | Delta Xtend™ | 38/42 | 11,3/13,8 |
| Exatech | Equinoxe® | 38/42 | 11,3/13,8 |
| Fx Shoulder Solutions | Humelock Reversed® | 32/36 /40 | 8,0/11,9/12,6 |
| Lima Corporate | SMR Reverse | 40/44 | 12,6/15,2 |
| Stryker | Tornier Ascend Flex® | 40 | 12,6 |
| Zimmer Biomet | Comprehesive® Reverse Shoulder System | 44 | 15,2 |
Medidas obtenidas a través de la ficha técnica de cada producto.
Otra causa de no consolidación podrÃa ser debido al tipo de anudado utilizado y el no utilizar injerto de cabeza humeral de forma sistemática. El tipo de anudado descrito en material y métodos es sencillo y reproducible, pero no es el descrito por otros autores con mayor tasa de consolidación. Boileau et al. describen una técnica de anudado especÃfico25 con uso de injerto de cabeza humeral con una tasa de consolidación de hasta el 84%. De una manera similar, Cuff y Pupello19 y Garofalo et al.22 utilizaron injerto óseo y reportaron una tasa de consolidación de un 83 y 75%, respectivamente. Por otra parte, otro aspecto a considerar es que empleamos en 32/35 (91%) de los casos vástagos no cementados. Está descrito en la literatura que la proporción de osteólisis de las tuberosidades es más frecuente cuando se emplean vástagos no cementados26,27. De todas formas, el nivel de evidencia de los estudios es bajo y nuestro tamaño muestral nos impide realizar una conclusión de causalidad.
Otro motivo por el cual en el estudio se encontró una menor tasa de consolidación pueden ser los criterios utilizados. Torrens et al.16 describieron como consolidación de las tuberosidades 3 requisitos: 1) que la tuberosidad mayor sea visible en la visión anterosuperior con el brazo en posición neutral; 2) que la parte más proximal de la tuberosidad sea mayor que el nivel del polietileno del componente humeral, o 3) que la parte proximal de la tuberosidad sea mayor que el nivel epifisario de la prótesis. En nuestro caso fuimos más restrictivos, considerando además que la separación entre las tuberosidades y la diáfisis humeral no podÃa ser superior a 1cm. Creemos que esta restricción ha contribuido a encontrar una tasa de consolidación menor a la descrita, dado que se puede dar la situación en la que haya una tuberosidad en la epÃfisis de la prótesis, pero sin contacto con la diáfisis.
Sigue siendo un tema de controversia que la funcionalidad final dependa de la consolidación de las tuberosidades. En cuanto al rango de movilidad, Gallinet et al.28 y Garofalo et al.22 encontraron diferencias estadÃsticamente significativas entre ambos grupos, a favor del grupo de consolidación. Chun et al.24 en cambio solo encontraron diferencias en cuanto a abducción y rotación externa en los 2 grupos, siendo mayor en el grupo de consolidación de las tuberosidades. En nuestro estudio, aunque parece ser que el grupo de consolidación presenta un mejor rango de movilidad, no se alcanzó la significación estadÃstica. Solo encontramos diferencias estadÃsticamente significativas entre ambos grupos en cuanto a la positividad del test de Patte. Este hallazgo es importante, dado que a los pacientes con prótesis invertidas con ausencia de fuerza o capacidad de mantener el brazo en rotación externa les cuesta más realizar actividades básicas como son el peinado (reflejado también en el cuestionario ASES).
En cuanto a las escalas funcionales, el Constant fue levemente superior en el grupo de consolidación anatómica, pero sin llegar a tener significación estadÃstica, al igual que en los estudios e Sebastiá-Forcada et al.20, Chun et al.24 y Torrens et al.16. En referencia al ASES score, no se encontraron diferencias estadÃsticamente significativas cuando se compararon los 2 grupos, de la misma manera que tampoco las encontraron Cuff y Pupello19 y Chun et al.24.
Uno de los aspectos importantes de nuestro estudio es que evaluamos un único diseño protésico lateralizado, a diferencia de otros estudios que evalúan diferentes diseños de prótesis en el mismo grupo de evaluación28. A pesar de tener una baja tasa de consolidación anatómica de las tuberosidades, los resultados funcionales finales fueron satisfactorios. La lateralización excesiva tanto a nivel de la glena como humeral nos proporciona una tasa de consolidación aceptable y resultados funcionales similares a otros diseños protésicos con menos lateralización, con lo que no parece ser un factor determinante de la función final. En la actualidad existe una tendencia hacia diseños combinados con glena lateralizada y componente humeral medializado tipo «inlay» o «flushlay» (Tornier Perform Humeral System™, Stryker, Kalamazoo, Michigan, EE. UU.). Dado que en nuestro estudio se ha comparado un diseño totalmente lateralizado con unos resultados similares a los publicados con diseños medializados, se pone en cuestión esta tendencia ya que parece ser que el resultado funcional depende posiblemente de otros componentes, como pueden ser la tensión propia de las partes blandas y momento del deltoides, y no tanto del diseño protésico.
Este estudio presenta diversas limitaciones. La primera es el carácter retrospectivo y el tamaño muestral. En cuanto a este, es similar a los estudios publicados en la literatura y tiene el punto fuerte de una muestra homogénea en cuanto el modelo protésico. Otra limitación es que no hay un claro consenso en cuanto a la definición de consolidación anatómica de las tuberosidades; esta limitación se ha intentado minimizar incorporando parámetros radiológicos más restrictivos. Otra limitación es que se incluyeron 4 pacientes en los que no se pudo reparar una de las 2 tuberosidades intraoperatoriamente en la evaluación radiológica al año de consolidación. Esto puede producir un sesgo de selección, dado que únicamente se puede evaluar la consolidación de una de las 2 tuberosidades en los análisis radiográficos. Por último, la valoración radiográfica en 2 proyecciones de la consolidación de las tuberosidades tiene sus limitaciones (sobre todo la interpretación de la consolidación de la tuberosidad menor); aun asÃ, en los casos en los que no habÃa consenso entre los investigadores se realizó una TC para minimizar este posible sesgo.
ConclusionesEn este estudio hemos podido observar una alta tasa de consolidación no anatómica de las tuberosidades (54%: 26% casos de no unión, 26% casos de malunión y 47% casos de osteólisis) cuando se utiliza un diseño de prótesis invertida lateralizado (135°) con una bandeja de gran tamaño (44mm). Se encontraron diferencias en cuanto al test de Patte, obteniéndose un peor resultado en el grupo de ausencia de consolidación; a pesar de ello, se obtuvieron unos resultados similares a los del grupo de comparación en cuanto a la movilidad, los scores y la satisfacción subjetiva del paciente.
Nivel de evidenciaNivel de evidencia iv.
FinanciaciónNinguna.
Conflicto de interesesNinguno.
Derecho a la privacidad y consentimiento informadoLos autores han obtenido el consentimiento informado de los pacientes y/o sujetos referidos en el artÃculo. Este documento obra en poder del autor de correspondencia.
Aprobación del comité de éticaInvestigación aprobada por Hospital Universitario Sant Joan de Reus.










