REVISTA DE ORTOPEDIA Y TRAUMATOLOGÍA
Volumen 43, pp 140-143
NOTA CLÍNICA
Fractura longitudinal del cuerpo del sacro
Longitudinal fracture of the sacral body
HERNÁNDEZ HERMOSO, J. A.; TORRENTS ORRITZ, R., y GARRETA ANGLADA, J. L.
Departamento de Cirugía Ortopédica y Traumatología. (Dr. A. Fernández Sabaté.) Ciudad Sanitaria y Universitaria de Bellvitge. Universidad de Barcelona. Hospitalet de Llogregat. Barcelona.
Correspondencia:
Dr. J. A. HERNÁNDEZ HERMOSO.
Departamento de Cirugía Ortopédica y Traumatología.
Ciudad Sanitaria y Universitaria de Bellvitge.
Feixa Llarga, s/n.
08907 L''Hospitalet de Llobregat (Barcelona).
Recibido: Enero de 1998.
Aceptado: Septiembre de 1998.
RESUMEN: Se presenta el caso de un varón de 18 años que sufrió un accidente de tráfico, siendo diagnosticado de politraumatismo y fractura longitudinal del cuerpo del sacro, con fractura de ramas ilioisquiopubianas derechas y diástasis de pubis. En la tomografía axial computerizada realizada para valorar exactamente la extensión de la lesión de la pelvis se apreció la asociación de una fractura bilateral del ala sacra con apertura sacroilíaca izquierda. Se discute la estabilidad de este tipo de lesiones y las opciones terapéuticas. Se presenta el resultado del tratamiento mediante fijación externa después de 6 años de evolución.
PALABRAS CLAVE: Fractura de sacro. Fijación externa.
ABSTRACT: An 18-year-old male had a traffic accident and was diagnosed as having multiple injuries and longitudinal fracture of the sacral body with fractures of the right ilio-ischiopubic rami and diastasis of the pubis. In computed axial tomography to evaluate the extension of the pelvic injury, bilateral fracture of the sacral wing was associated with left sacroiliac opening. The stability of this type of injury and therapeutic options are discussed. The results of treatment by external fixation 6 years later are presented.
KEY WORDS: Fracture of the sacrum. External fixation.
Las fracturas sacras que afectan al canal vertebral pueden ser transversas o longitudinales.4 Aunque ambos tipos pueden darse de forma aislada,4,7,12 las fracturas longitudinales suelen formar parte de una lesión más extensa del anillo pelviano.13 En la literatura se han descrito 10 casos de fractura longitudinal de sacro con afectación del canal vertebral,2-4,7,10,14 siete de ellos asociados a una lesión anterior del anillo pélvico en forma de diástasis pubiana2,7,10,14 o de fractura uni7 o bilateral de las ramas ilioisquiopubianas.3,4 El tratamiento conservador de estas lesiones proporciona resultados clínicos inciertos y no consigue la reducción de la lesión.10,14 La tendencia terapéutica actual de este tipo de lesiones, que se han considerado estables posterior y verticalmente e inestable en rotación, es a reducir y estabilizar la lesión anterior del anillo pelviano.2-4,7 En los casos en los que existe lesión neurológica con invasión del canal vertebral se aconseja la descompresión quirúrgica del mismo.3,4 Se presenta el resultado obtenido después de 6 años de evolución en un caso de fractura longitudinal del cuerpo del sacro asociada a diástasis pubiana tratado mediante reducción y fijación externa del anillo pélvico según técnica de Slatis modificada.6
Caso clínico
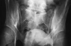
Varón de 18 años trasladado de otro hospital tras sufrir un accidente de tráfico al colisionar la motocicleta en que viajaba con un coche. A su llegada al primer centro hospitalario las constantes vitales fueron: pulso de 70/min, presión arterial de 100/60 mmHg y frecuencia respiratoria de 18/min. El paciente presentaba traumatismo craneoencefálico con hematoma en antifaz y una puntuación de 11/15 en la escala de Glasgow; tumefacción, deformidad y herida puntiforme en ambos codos; hematoma escrotoinguinal y separación pubiana de 6-8 cm; no existía déficit neurológico ni vascular en las extremidades inferiores, el tono rectal era normal y la orina tras sondaje vesical era clara. En los exámenes radiográficos se apreció fractura de olécranon derecho e izquierdo, con luxación anterior de codo izquierdo, diástasis pubiana y fractura longitudinal de sacro (Fig. 1). La ecografía abdominal fue normal. En la tomografía axial computerizada (TAC) craneal se diagnosticó edema cerebral con colapso ventricular y hematoma epidural frontal izquierdo de 2 cm.
Figura 1. Radiografía anteroposterior de la pelvis realizada al ingreso del paciente en la que se aprecia diástasis pubiana de 6 cm, fractura longitudinal del cuerpo del sacro, espina bífida oculta a partir de S3 y apertura de la articulación sacroilíaca izquierda.
Pasadas 10 horas del accidente el paciente ingresó en nuestro centro. Se le practicó una TAC (Figs. 2 y 3) de pelvis con reconstrucción tridimensional. Se apreció una separación de la sínfisis del pubis de 6 cm, fractura longitudinal con apertura anterior del cuerpo del sacro y cóccix, fracturas del ala sacra derecha e izquierda, extendiéndose esta última a través del foramen hasta la cortical posterior, apertura anterior de la articulación sacroilíaca izquierda, espina bífida oculta que se extiende desde S3 y fractura de las ramas ilioisquiopubianas derechas. En quirófano bajo anestesia general se practicó un trepano frontal izquierdo para la evacuación del hematoma epidural, reducción de la diástasis pubiana y estabiliza-ción mediante fijador externo de pelvis según montaje de Slatis modificado6y reducción a cielo abierto y osteosíntesis con obenque de las fracturas de olécranon derecho e izquierdo. Tras la intervención quirúrgica se le transfundieron tres concentrados de hematíes.
Figura 2. Sección de TAC a nivel de las articulaciones sacroilíacas que muestra la fractura longitudinal del cuerpo sacro, las fracturas del ala sacra derecha e izquierda; esta última se extiende a través del foramen hasta la cortical posterior y la apertura de la articulación sacroilíaca izquierda.
Figura 3. Imagen de la TAC tridimensional en la sección anteroposterior en la que se aprecia la fractura longitudinal del cuerpo del sacro, la desestructuración del ala sacra izquierda y apertura de la articulación sacroilíaca izquierda.
En el curso postoperatorio se presentó una infección superficial en los clavos del fijador externo que se controló mediante cura tópica. Se retiró el fijador externo a las 10 semanas. Las radiografías (Fig. 4) y la TAC (Fig. 5) postoperatorias demuestran el cierre de la sínfisis pubiana a 9 mm y la consolidación de las fracturas, con ligera rotación interna del ala ilíaca izquierda y ascenso vertical de 7 mm de la mitad del cuerpo del sacro. Después de 6 años de evolución el paciente trabaja en una cadena de montaje que requiere esfuerzos físicos importantes de forma ocasional. Refiere dolores barométricos a nivel lumbo-sacro y ocasionalmente tras sedestación o bipedestación prolongada que no limitan su actividad ni obligan a tomar analgésicos.
Figura 4. Radiografía anteroposterior oblicua caudocraneal a 45° de la pelvis en la que se aprecia el desnivel craneocaudal de 7 mm entre un hemicuerpo sacro con respecto al otro.
Figura 5. Sección de TAC a nivel de las articulaciones sacroilíacas en la que se aprecia consolidación de la fractura longitudinal del cuerpo del sacro, así como de las fracturas de las alas sacras, cierre de la apertura de la articulación sacroilíaca izquierda y ligera rotación interna del ala ilíaca izquierda.
Discusión
Las fracturas de sacro se asocian en un 30 a 70% de las fracturas de pelvis, las cuales suponen un 3% de todas las fracturas del esqueleto.1 Se han clasificado según la localización del trazo de fractura sea lateral, a través o medial a los forámenes sacros, en fracturas de la zona I, II y III, respectivamente. Las fracturas de la zona III que afectan el canal vertebral pueden ser de dos tipos: transversales y longitudinales, y aunque ambas se asocian frecuentemente con alteraciones neurológicas, éstas son más frecuentes en las fracturas transversales.7 Las fracturas sacras transversales no suelen asociarse a otras lesiones del anillo pélvico y se consideran lesiones de la columna vertebral.12,13
Siete de las fracturas sacras longitudinales con afectación del canal vertebral que se han descrito en la literatura2-4,7,10,14 formaban parte de lesiones del anillo pelviano más extensas, que están incluidas dentro de las denominadas lesiones pélvicas en libro abierto (B1, B3-1) de Tile.13Aunque, como en este caso, la causa más frecuente son los traumatismos de alta energía,2-4,7,14 también pueden ser provocadas por traumatismos de baja energía.10 Se cree que su mecanismo de producción es una fuerza compresiva aplicada sobre la espina ilíaca anterosuperior o fuerzas aplicadas a través de una rotación externa forzada del fémur a la pelvis. Un traumatismo sobre la espina ilíaca posterosuperior puede producir una lesión similar.13 Estas fuerzas provocan un desplazamiento anterior y rotación externa del anillo pelviano a través de la sínfisis o de las ramas del pubis. El desplazamiento anterior del anillo pelviano se realizó a través de la sínfisis del pubis en otros cuatro casos,2,7,10,14 en tres a través de las ramas ilioisquiopubianas3,4,7 y en nuestro caso se asoció a la diástasis pubiana con una fractura de ramas no desplazada. En todos los casos2,7,10,14 la separación de la sínfisis del pubis fue superior a 2,5 cm, lo que implica la rotura del suelo de la pelvis, la fascia, los ligamentos sacroespinosos u los sacroilíacos anteriores uni o bilateral. Estas lesiones son inestables rotacionalmente, pero mantienen la estabilidad posterior y vertical por la indemnidad de los ligamentos sacroilíacos posteriores.13 La rotura del suelo de la pelvis favorece las lesiones viscerales, pero sólo un caso presentó prolapso vesical.10
A nivel posterior la apertura sacroilíaca uni o bilateral es típica de las lesiones de pelvis en libro abierto.13 Al igual que en otros tres casos,2-4 la existencia de una espina bífida oculta puede favorecer que sea el cuerpo del sacro y no las articulaciones sacroilíacas el punto débil posterior por el cual la pelvis se rompe al actuar de concentrador de tensiones. No obstante, según la intensidad del traumatismo otras estructuras posteriores pueden ir rompiéndose, asociándose a la fractura longitudinal del cuerpo del sacro una fractura del ala sacra unilateral3,4 o, como en este caso, una fractura de ala sacra bilateral y apertura de la articulación sacroilíaca. La presencia de estas lesiones en la parte posterior del anillo pélvico podría transformar una lesión que se ha considerado estable a nivel posterior2,14 en una lesión parcialmente inestable3,10 como demuestra el ascenso vertical de 7 mm de la mitad del cuerpo del sacro.
Las fracturas de sacro pueden pasar inadvertidas en un 60 a 70% de los casos.8 La realización de una TAC de pelvis es fundamental para el diagnóstico de las mismas y para la evaluación de otras posibles lesiones posteriores asociadas2,6 que hubieran pasado inadvertidas con una radiografía simple. Probablemente la existencia de otras lesiones puede haber pasado inadvertida en los casos más antiguos en los que no se realizó esta exploración.7,10,14 La TAC es también de gran utilidad en la valoración de la indemnidad del canal neural y de los foramanes sacros3,4 en los casos con afectación neurológica. La resonancia magnética puede ser útil para reconocer alteraciones neurales preexistentes o estructuras que pueden afectarse durante la cirugía.3,4
El tratamiento conservador mediante reposo en cama con o sin hamaca pélvica puede proporcionar resultados clínicos satisfactorios4,7,14 o mediocres,10 pero en ningún caso consigue cerrar la diástasis pubiana,10,14 y si la lesión es inestable a nivel posterior podría provocar rotación interna de la pelvis. Hoy día se acepta que cuando existe una separación del pubis superior a 2,5 cm se requiere su reducción.5,13 Si además la lesión pelviana es inestable a nivel posterior también se aconseja su reducción y fijación interna.3-5,13 Frente al tratamiento conservador, el tratamiento quirúrgico disminuye la hemorragia, la hospitalización prolongada, el riesgo de infección pulmonar, de infección urinaria, de tromboembolismo y de úlceras por decúbito.
La reducción y estabilización anterior de la pelvis se puede realizar mediante fijación interna9 o externa. La fijación interna está indicada cuando existe patología abdominal asociada que requiera laparotomía. La reducción y fijación interna de la lesión pélvica posterior en pacientes politraumatizados puede ser difícil por el posicionamiento,3 puede incrementar la pérdida sanguínea y la desvitalización de los tejidos, favoreciendo la infección y necrosis cutánea,5 así como por el riesgo de lesión neurológica, aunque es necesaria en los casos de inestabilidad vertical. A la fijación externa se la critica por la falta de estabilidad suficiente en lesiones inestables verticalmente,5 pero determinados montajes pueden ser útiles incluso en el tratamiento de este tipo de lesiones inestables.15 También se ha mencionado que puede provocar un aumento de la apertura anterior de la fractura longitudinal del sacro,7 lo que probablemente esté en relación con la colocación defectuosa, excesivamente craneal del fijador.13 Por otro lado, la fijación externa es una técnica más rápida, aspecto importante en pacientes politraumatizados. También disminuye el sangrado pélvico, facilita los cuidados de enfermería y permite una rápida movilización.5,6,11
En este caso el fijador externo favoreció la estabilización hemodinámica del paciente y proporcionó una correcta estabilidad a la fractura, lo que permitió su consolidación y un resultado clínico satisfactorio a largo plazo. Por estas razones creemos que la fijación externa es una buena opción en el tratamiento de este tipo de lesiones.
Bibliografía
1. Brooker, AF, y Edwards, CC (Eds): External Fixation: The Current State of the Art. Baltimore. Williams & Wilkins, 1979.
2. Carter, TR, y Lambert, K: Pubic diastasis with longitudinal fracture of the sacral body: Case report. J Trauma, 30: 627-629, 1990.
3. Ebraheim, NA; Savolaine, ER; Skie, MC, y Baril, J: Longitudinal fracture of the sacrum: Case report. J Trauma, 36: 447-450, 1994.
4. Ebraheim, NA; Biyani, A, y Salpietro, B: Zone III fractures of the sacrum. A case report. Spine, 21: 2390-2396, 1996.
5. Failinguer, MS, y McGanity, PLJ: Unstable fractures of the pelvic ring. J Bone Joint Surg, 74A: 781-791, 1992.
6. Fernández Fernández-Arroyo, JM; García Navarrete, F; Triviño Barros, G, y López Durán-Stern, L: Fracturas inestables de pelvis: Estabilización de las articulaciones sacroilíacas mediante un fijador externo anterior. Rev Ortop Traumatol, 34: 134-145, 1990.
7. Hatem, SF, y West, OC: Vertical fracture of the central sacral canal: Plane and simple. J Trauma, 40: 138-140, 1996.
8. Laasonen, EM: Missed sacral fractures. Ann Clin Res, 9: 84-87, 1977.
9. Matta, JM: Indications for anterior fixation of pelvic fractures. Clin Orthop, 329: 88-96, 1996.
10. Moed, BR, y Morawa, LG: Displaced midline longitudinal fracture of the sacrum. J Trauma, 24: 435-437, 1984.
11. Poka, A, y Libby, EP: Indications and techniques for external fixation of the pelvis. Clin Orthop, 329: 54-59, 1996.
12. Takahara, T; Masada, K; Goto, Y; Okada, Y, y Mimura, K: Isolated fracture-dislocation of the sacrum: Case report. J Trauma, 34: 600-601, 1993.
13. Tile, M (Ed): Fractures of the Pelvis and Acetabulum. Media. William & Wilkins, 1995.
14. Wiesel, SW; Zeide, MS, y Terry, RL: Longitudinal fractures of the sacrum: Case report. J Trauma, 19: 70-71, 1979.
15. Wild, JJ; Hanson, GW, y Tullos, HS: Unstable fractures of the pelvis treated by external fixation. J Bone Joint Surg, 64A: 1010-1020, 1982.







