Estudios recientes sugieren que en el tratamiento quirúrgico de las coaliciones tarsianas debería considerarse la deformidad del retropié. El ángulo entre el astrágalo y el calcáneo (AAC) es comúnmente utilizado para la toma de decisiones. Sin embargo, no se ha demostrado su fiabilidad ni se ha normalizado la forma de emplearlo. El objetivo de este estudio fue estandarizar la técnica de medición del AAC y evaluar la reproducibilidad inter- e intraobservador de la técnica propuesta.
MétodosSe analizaron 30 tomografías de pie de 27 pacientes de entre 10 y 17 años de edad. Diez presentaban coaliciones calcáneo-escafoideas, 10 coaliciones astrágalo-escafoideas y 10 sin coaliciones. La reproducibilidad inter- e intraobservador del AAC fue evaluada mediante el coeficiente de correlación intraclase (ICC). Utilizamos un modelo de ANOVA de efectos mixtos para calcular los ICC para acuerdo ICC2(A,1). Este procedimiento se aplicó a los tres observadores (variabilidad interobservador) y a la prueba-reprueba del observador 1 (variabilidad intraobservador). Un valor de p a dos colas ≤0,05 fue considerado como significativo.
ResultadosLos acuerdos interobservador e intraobservador fueron excelentes para el AAC. Acuerdo interobservador: ICC2(A,1)=0,95 (p<0,001, IC 95%: 0,77-0,93). Acuerdo intraobservador: ICC2(A,1)=0,99 (p<0,001, IC 95%: 0,97-0,99).
ConclusiónEl AAC representa un medio fiable para evaluar la alineación del retropié. Este método de medición, tal cual se describe en este estudio, puede ser utilizado de forma segura para el planeamiento quirúrgico en pacientes con coaliciones tarsianas.
Recent studies suggest that hindfoot deformity should be considered in the surgical treatment of tarsal coalitions. Many authors have used the angle between the talus and the calcaneus (TCA) for decision-making. However, its reliability has not been demonstrated and the measurement technique has not been standardized. The objective of this study was to standardize the TCA measurement technique, and to evaluate the inter and intra-observer reproducibility of the proposed technique.
MethodsThe foot CT scans of a group of 30 patients between 10 and 17 years of age were analysed. Ten patients had talocalcaneal coalitions, ten calcaneonavicular coalitions and ten had no coalitions. The inter and intra-observer reproducibility of the TCA was evaluated by the intraclass correlation coefficient (ICCs). A mixed-effects ANOVA model was used to calculate the ICCs for ICC2 agreement (A, 1). This procedure was applied to the three observers (inter-observer variability), and to the test-retest of observer 1 (intra-observer variability). A two-tailed p value of ≤.05 was considered significant.
ResultsThe inter-observer and intra-observer agreements were excellent for the TCA. Inter-observer agreement: ICC2 (A, 1)=.95 (p<.001, CI 95%: .77-.93). Intra-observer agreement: ICC2 (A, 1)=.99 (p<.001, CI 95%: .97-.99).
ConclusionThe TCA is a reliable way to evaluate hindfoot alignment. This method of measurement, as described in this study, can be safely used for surgical planning in patients with tarsal coalitions.
Las coaliciones tarsianas representan una frecuente causa de dolor de pie en niños y en adolescentes. El tratamiento quirúrgico consiste en la mayoría de los casos en la resección de la coalición y la colocación de material de interposición. Varios estudios han resaltado la necesidad de evaluar la alineación del retropié, ya que es uno de los factores que afectarían los resultados postoperatorios1-3. Por esta razón, algunos cirujanos1-7 han propuesto la realineación del pie mediante osteotomías en un mismo tiempo o de forma diferida cuando el retropié presenta una deformidad en valgo severa.
Wilde et al. describieron en 1994 la medición del ángulo astrágalo-calcáneo (AAC) mediante cortes coronales de tomografía8. A partir de esa descripción, múltiples autores2,3,7 han utilizado el AAC para la toma de decisiones. Sin embargo, la forma de medirlo no ha sido claramente descripta en el artículo original, ya que los autores no indicaron qué corte coronal debe utilizarse. Debido a las características anatómicas del retropié, si uno escoge un corte coronal más anterior o posterior puede afectar la medición de este ángulo. Por otra parte, no hay información en la literatura sobre la fiabilidad del AAC.
El objetivo de este estudio fue estandarizar la técnica de medición del AAC y evaluar la reproducibilidad inter- e intraobservador de la técnica propuesta.
Material y métodosSe analizaron un grupo de 30 tomografías de pie de 27 pacientes de entre 10 y 17 años de edad realizadas entre enero de 2010 y julio de 2016 en la misma institución. Los sujetos fueron tomados al azar de una base de datos y se separaron en tres grupos: grupo A, 10 pies con coaliciones astrágalo-calcáneas; grupo B: 10 pies con coaliciones calcáneo-escafoideas; y grupo C: control (10 pacientes). En estos últimos pacientes considerados «normales» o grupo control, las tomografías fueron solicitadas generalmente por trauma o para la evaluación de osteocondritis disecante juvenil de astrágalo. Se excluyó del grupo de estudio a los pacientes con fusiones tarsales no localizadas entre el calcáneo y el escafoides tarsiano o entre el astrágalo y el calcáneo, y a aquellos que hubieran recibido cirugía previa. También se excluyó del grupo control a aquellos pacientes con fracturas desplazadas del retropié y secuelas de fracturas de pie o tobillo que pudieran alterar el eje.
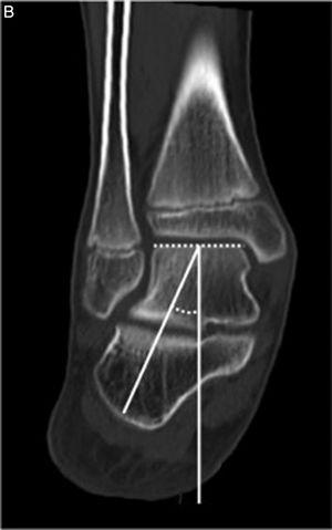
Evaluación de las imágenesTodas las imágenes fueron realizadas en la misma institución, con la misma técnica. El estudio se llevó a cabo con un tomógrafo Siemens Somatom Sensation con apoyo en soporte. El análisis y almacenamiento de las imágenes se realizaron con un software de imágenes Kodak Carestream PACS versión 10.2. Tres profesionales evaluaron las imágenes con el sistema PACS Carestream, con las herramientas de medición pertinentes. Para determinar los ángulos, se empleó el corte en el plano sagital del pie que permite observar la base del segundo metatarsiano, trazando una línea que pase por el 50% de la articulación subastragalina posterior. Luego se trasladó ese corte al plano coronal (fig. 1A). En el plano coronal se midió el AAC que es una adaptación del ángulo descripto por Wilde et al.8 y representa la alineación en conjunto del retropié. El mismo se forma entre una la línea perpendicular al domo astragalino y otra perpendicular al borde inferior del calcáneo (fig. 1B).
A) Corte sagital del pie, que toma la base del segundo metatarsiano. En este corte se traza una línea que atraviese el centro de la articulación subastragalina posterior. Ese corte se trasladó al plano coronal para realizar las mediciones. B) Ángulo astrágalo-calcáneo formado entre una línea perpendicular al domo astragalino y otra perpendicular al borde inferior del calcáneo.
Las variables continuas fueron examinadas para analizar la normalidad y se presentan como media (±DE). El análisis estadístico se realizó con el programa SPSS V 16.0 (SPSS Inc., Chicago, IL). Tres observadores midieron 30 tomografías de pie y posteriormente un observador midió 30 tomografías en 2 ocasiones diferentes durante un período de 4 semanas. Utilizamos un modelo de ANOVA de efectos mixtos para calcular los coeficientes de correlación intraclase (ICC) para acuerdo ICC2(A,1). Este procedimiento se aplicó a los tres observadores (variabilidad interobservador) y a la prueba-reprueba del observador 1 (variabilidad intraobservador). Un valor de p a dos colas ≤0,05 fue considerado como significativo.
ResultadosSe analizaron 30 tomografías de pie de 27 pacientes (16 masculinos). Quince eran de pie derecho, 9 de pie izquierdo y 3 bilaterales. La edad promedio de los pacientes fue de 12,2 años (rango: 10-17 años).
Los acuerdos interobservador e intraobservador fueron excelentes para el AAC, como se expone en la tabla 1.
Variabilidad inter- e intraobservador
| Análisis | ICC2(A,1) | p* |
|---|---|---|
| Interobservador | 0,95 (0,77-0,93) | <0,001 |
| Intraobservador | 0,99 (0,97-0,99) | <0,001 |
Las coaliciones tarsales son una causa importante de pie plano valgo rígido en pacientes pediátricos. La cirugía se encuentra indicada en aquellas barras que se presentan con síntomas y no responden al tratamiento conservador. El tratamiento quirúrgico de esta patología ha evolucionado significativamente en las últimas décadas. Desde la primera descripción de triple artrodesis para el tratamiento de esta patología, la indicación ha ido progresando hacia la resección de la coalición e interposición de partes blandas9-11. Si bien la resección puede restaurar la movilidad y eliminar el dolor en pacientes con un pie alineado, existe controversia con respecto al tratamiento de las coaliciones que presentan deformidad en valgo asociada. Por este motivo, algunos autores5,7,11 consideran que el tratamiento quirúrgico no debe estar basado exclusivamente en el tamaño y la resecabilidad de la coalición, sino que también se debe tener en cuenta la alineación del retropié. Algunos estudios sugieren que la resección simple se acompaña de resultados pobres cuando la deformidad severa en valgo es >16° según Mosca y Bevan3 y Wilde et al.8 o >21° según Luhmann y Schoenecker2. Un estudio reciente12 también propone la reconstrucción quirúrgica del pie plano asociado a la resección de barras calcáneo-escafoideas, ya que considera que la resección aislada no produciría una mejoría sustancial en la biomecánica del pie. A pesar de que este ángulo ha sido comúnmente utilizado2-7, hasta la fecha no se ha evaluado el margen de error inter- e intraobservador del mismo. Debido a que el tratamiento en pacientes con barras tarsales se basa, entre otros factores, en la alineación del retropié, una medición precisa es crucial para las decisiones del médico tratante.
En este estudio, evaluamos un grupo de pacientes con los dos tipos de coaliciones tarsales más frecuentes y utilizamos un tercer grupo sin coaliciones como control. Utilizando los individuos de los tres grupos, estandarizamos la medición del AAC. Decidimos tomar el corte coronal que pase por el centro de la faceta posterior del calcáneo porque consideramos que es la zona que representa mejor la alineación del retropié. Asimismo, decidimos utilizar el axis de ambos huesos (como se describe originalmente) y no el domo superior del astrágalo y la porción inferior del calcáneo ya que consideramos que esta última presenta mayor variación. Con estos parámetros evaluamos la variabilidad inter- e intraobservador del AAC. La evaluación arrojó resultados excelentes, siendo reproducible y permitiendo valorar de forma fiable el valgo del retropié.
Nuestro estudio presenta algunas limitaciones que merecen ser mencionadas. Las mediciones fueron realizadas por tres ortopedistas infantiles con experiencia en la patología. La alta fiabilidad observada en este estudio podría no ser reproducida por médicos con menos experiencia. Otra limitación está relacionada con la técnica utilizada para obtener las imágenes. Las imágenes se obtuvieron con un tomógrafo con apoyo en soporte y no en apoyo con descarga. Esto podría inducir a una subestimación de los valores angulares obtenidos, aunque en teoría no afectaría la reproducibilidad. El objetivo de este estudio se limitó a evaluar la fiabilidad de la medición y no a obtener valores normales de cada grupo. Los valores obtenidos para el AAC en este estudio se proporcionaron solo como referencia para describir las diferencias entre las diferentes observaciones. Con el fin de determinar los valores normales del AAC en pacientes con barras tarsales, se requeriría un estudio de mayor dimensión. A pesar de estas limitaciones, creemos que este estudio es original ya que estandariza y valida la medición del AAC.
En conclusión, el AAC representa un medio fiable para evaluar la alineación del retropié. Este método de medición, tal cual se describe en este estudio, puede ser utilizado de forma segura para el planeamiento quirúrgico en pacientes con coaliciones tarsianas.
Nivel de evidenciaNivel de evidencia iii (estudio diagnóstico).
Conflicto de interesesCada uno de los autores confirma que no existe una asociación comercial, que pueda suscitar un conflicto de intereses en relación con el trabajo enviado. Tampoco se recibió financiación externa.




