El elastofibroma dorsi (ED) es una tumoración de típica localización en las regiones subescapular e infraescapular1, encontrándose en el 85% de los casos entre los músculos romboides y dorsal ancho, subyacentes al ángulo inferior de la escápula, y siendo periescapulares en un 99% de los casos2-5. Normalmente se suele manifestar como una masa sólida, mal definida, gomosa o elástica, de crecimiento lento, y pegada a la caja torácica1,6-10. Aunque la mayoría son asintomáticos, pueden causar molestias o dolor con el movimiento del brazo, generalmente de carácter local, aunque a veces referido al hombro1,7-12. Es una entidad rara, pero bien conocida por los patólogos, alcanzando altas incidencias en series largas de autopsias13-15. La patogénesis de estas lesiones genera controversia, sobre todo en lo que se refiere a si es una verdadera neoplasia o meramente un pseudotumor reactivo1,5,14,16,17. La resonancia magnética nuclear (RMN) permite el diagnóstico de ED1,7,9,18,19. El objetivo del trabajo es valorar si las características clínicas y de estudios por la imagen posibilitan el correcto diagnóstico diferencial del ED.
MATERIAL Y MÉTODO
Presentamos una revisión retrospectiva de cinco casos de ED y cuatro tumoraciones infraescapulares con clínica similar al elastofibroma, y que obligaron al diagnóstico diferencial mediante pruebas de imagen y estudio anatomopatológico.
Caso 1
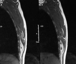
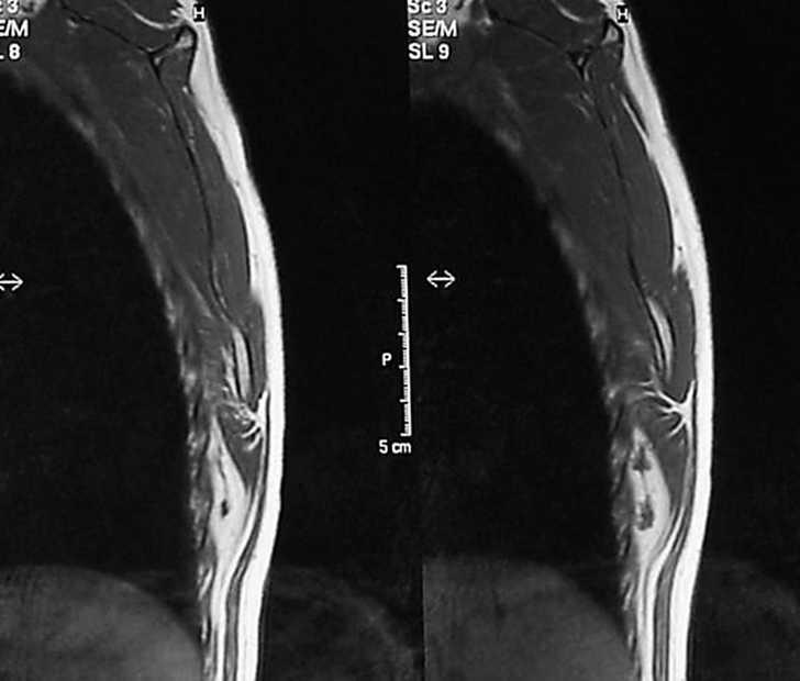
Mujer de 40 años, fumadora, que consultó por un bulto no doloroso en región escapular de un año de evolución que aumentaba de tamaño, alcanzando 7 cm de diámetro. La RMN mostró una tumoración en músculo serrato mayor derecho, en contacto con la pared costal debajo del músculo dorsal ancho que se continúa hasta el músculo subescapular (fig. 1). Era compatible con tumor de alta agresividad, descartandose fibrohistiocitoma u otro sarcoma de partes blandas. Se realizó una biopsia incisional, en anatomía patológica con el resultado de ED. Se practicó una resección marginal, encontrando el tumor ampliamente adherido a la pared torácica y escápula. Se confirmó el diagnóstico de ED tras el análisis de la pieza.
Figura 1. Corte coronal de resonancia magnética nuclear (RMN) en el que se observa un elastofibroma dorsi; se aprecia la tumoración en contacto con la pared torácica bajo el músculo dorsal ancho.
Caso 2
Mujer de 52 años, mastectomizada por cáncer de mama tres años antes, que consultó por tumoración en zona escapular, indolora y de lento crecimiento. En la exploración presentaba una tumoración, bajo la punta de la escápula izquierda, de aproximadamente 8 cm de diámetro y de consistencia dura. Los marcadores Ca-15.3 y CEA eran negativos. Se realizó una punción con aguja fina (PAAF) con resultado de extendido compatible con lipoma. La RMN determinó la presencia de ED (fig. 2). Se realizó una resección simple, informando la anatomía patológica de ED. Aunque se dejaron dos drenajes, se presentó como complicación un serohematoma que finalmente se resolvió sin incidencias.
Figura 2. Resonancia magnética nuclear (RMN) de paciente con antecedentes de cáncer de mama. La punción con aguja fina dio como resultado un extendido compatible con lipoma, y el estudio anatomopatológico tras la resección un elastofibroma dorsi.
Caso 3
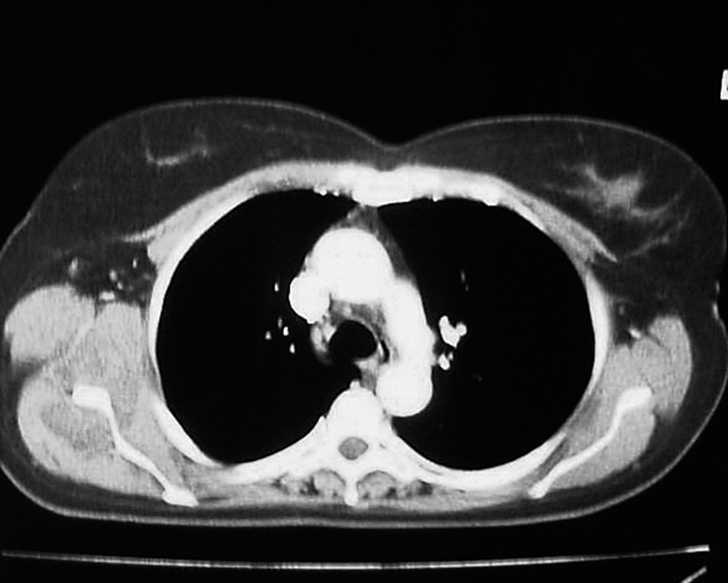
Mujer de 53 años, sin antecedentes de interés, remitida desde el servicio de cirugía general por tumoración en la espalda. La paciente refería dolor periescapular con los movimientos del hombro. En la exploración se observó una lesión abultada en la zona de la punta de la escápula izquierda que aumentaba de tamaño con la elevación y antepulsión del brazo (fig. 3). En la tomografía axial computerizada (TAC) se hallaron dos lesiones bilaterales entre pared torácica y escápulas, de mayor tamaño la izquierda, con apariencia similar al músculo. Lesión muy sugestiva de ED. Se realizó PAAF con resultado de extendido constituido por tejido adiposo. Se solicitó una RMN, que informó de ED bilateral (fig.4). El tratamiento sintomático no logró aliviar el dolor, que comenzó a ser bilateral. Finalmente se realizó una resección marginal de la tumoración sin complicaciones, obteniendo una pieza de aproximadamente 7 x 9 x 4 cm (fig. 5), analizada por anatomía patológica con el resultado de ED.
Figura 3. Los elastofibromas suelen hacerse visibles con la flexión y abducción del hombro afectado.
Figura 4. Elastofibroma dorsi bilateral.
Figura 5. Resección marginal de un elastofibroma dorsi en la que se aprecia el carácter fibrótico de la tumoración.
Caso 4
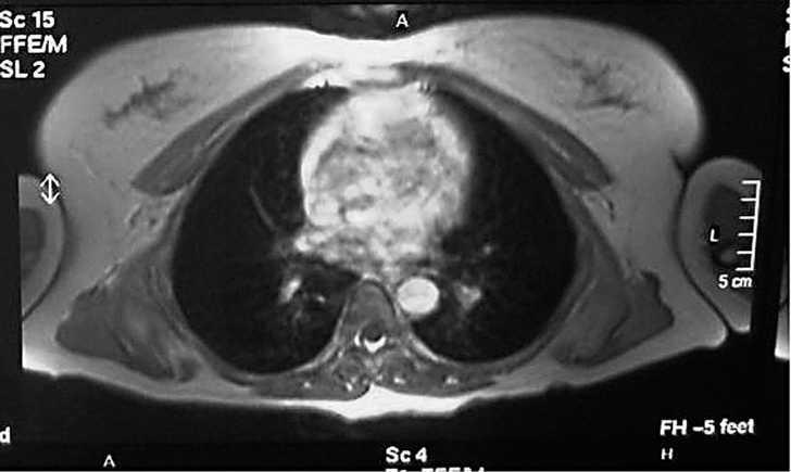
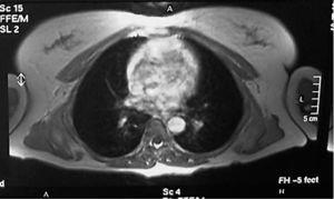
Mujer de 61 años que consultó por tumoración subescapular indolora de 5 años de evolución. Aportaba una RMN que identificaba la tumoración como ED y en la que se halló un nódulo pulmonar aislado (fig. 6). Se realizó una PAAF de la lesión, con resultado compatible morfológicamente con ED, y una TAC pulmonar que halló un nódulo de 3 mm inespecífico y sin variación evolutiva, por lo que se propuso abstención terapéutica y controles periódicos.
Figura 6. Imagen de un elastofibroma dorsi asociado a un nódulo pulmonar aislado como hallazgo casual.
Caso 5
Mujer de 53 años, sin antecedentes de interés, que acudió a urgencias porque notó una tumoración en la punta de la escápula izquierda. No presentaba clínica dolorosa. Se solicitó una RMN, que mostró una lesión heterogénea localizada por debajo de la escápula y era compatible con ED, recomendándosele control evolutivo.
Tumoraciones infraescapulares
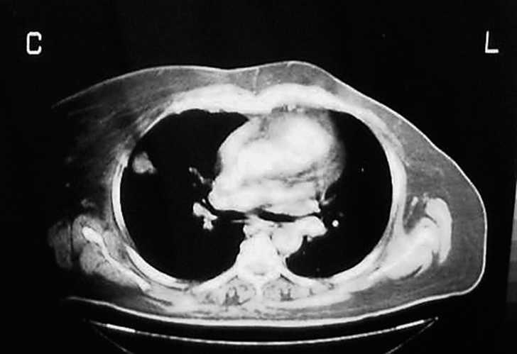
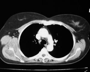
De las cuatro restantes tumoraciones infraescapulares estudiadas, reflejadas en la tabla 1, dos fueron liposarcomas, una fue un lipoma intramuscular y, la última, un hematoma asociado a rotura muscular. En todas ellas se planteó el ED como diagnóstico diferencial. En el caso 6 se halló una tumoración subescapular de unos 10 cm de diámetro en el contexto del estudio de una masa en el muslo derecho, cuya PAAF previa fue indeterminada, y que finalmente correspondió a un liposarcoma multicéntrico metastásico (fig. 7). El caso 7 correspondió a una masa escapular como diseminación de un liposarcoma mixoide en muslo (fig. 8). En el caso 8 se planteó el diagnóstico de elastofibroma por sus características clínicas, descartándolo tras una RMN y llegando al diagnóstico definitivo de lipoma intramuscular tras la resección (fig. 9). El caso 9 corresponde a un varón joven que presentaba una tumoración blanda y elástica en región subescapular de unos 5 cm de diámetro, de tres semanas de evolución y que molestaba con la tos. El estudio por ecografía fue suficiente para llegar al diagnóstico de ruptura muscular y hematoma secundario.
Figura 7. Masa subescapular cuyo diagnóstico final fue de liposarcoma multicéntrico metastásico.
Figura 8. Diseminación escapular de un liposarcoma mixoide en muslo.
Figura 9. Lipoma intramuscular infraescapular en el que se planteó como diagnóstico diferencial el elastofibroma dorsi.
DISCUSION
Järvi y Saxén propusieron el nombre de ED en 1961, y desde entonces ha sido considerado un pseudotumor degenerativo o un proceso reactivo no neoplásico en respuesta a traumas menores repetidos20,21. El trauma constante entre la pared torácica y la escápula, fricción o roce escapular, parece tener consecuencias en la patogénesis de esta rara lesión proliferativa, con una producción excesiva de elastina y degeneración del colágeno1,14,22. Se ha observado una asociación entre los traumas repetidos y la producción de cúmulos excesivos de fibroblastos de la matriz elástica13. Nagamine et al2 analizaron 170 casos de elastofibroma. Encontraron localizaciones corporales específicas (región escapular en el 99%), áreas de alta incidencia (Okinawa, Japón), casos familiares y, también, predominio del sexo femenino (93%). Estos hallazgos sugieren que factores genéticos, sistémicos y traumáticos están en relación o asociados con el desarrollo de elastofibromas.
Histológicamente el ED se caracteriza por contener numerosas fibras elásticas degeneradas en la matriz de colágeno10,23,24. Algunos autores proponen que los cambios degenerativos en el colágeno son secundarios a una insuficiencia vascular, responsable de la formación del tumor15. Las opiniones difieren acerca de la naturaleza exacta de las fibras elásticas de colágeno, pero parecen estar de acuerdo en que las fibras son formadas por una elastogénesis anormal15,23.
Genera controversia el manejo diagnóstico de esta lesión. Aunque nunca se ha observado una transformación maligna5, y sólo se ha descrito un caso de recurrencia local2, es importante diferenciar estas lesiones benignas de neoplasias malignas, para evitar cirugías amplias o radicales innecesarias.
Aunque clásicamente el carácter elástico del tumor es un signo diagnóstico importante para diferenciarlo de otras entidades1, creemos más definitiva la ausencia de este signo para descartar un ED que su hallazgo para confirmarlo. Al igual que otros autores22, vimos que suelen hacerse visibles con movimientos combinados de flexión y abducción del hombro afectado (fig. 3). Al ser con frecuencia bilateral, la presencia de una lesión periescapular contralateral es de gran ayuda para el diagnóstico, ya que este hallazgo eliminaría el criterio de malignidad en el diagnóstico diferencial25.
Los valores de laboratorio, radiografías y el TAC no son significativos para diferenciar esta identidad de otras lesiones, como sarcomas de partes blandas o tumores desmoides, y el diagnóstico diferencial de una lesión periescapular con similares características de intensidad de señal en la TAC o RMN incluye lesiones con disminución de celularidad y abundante colágeno, como un desmoide extraabdominal, neurofibroma, fibroma cicatricial y fibrohistiocitoma maligno25.
En la TAC son descritos como una masa de tejido blando que presenta evidencia de infiltración local, mal definida, heterogénea, con atenuación similar al tejido musculoesquelético, conteniendo líneas de atenuación grasa, y sin anormalidades óseas1,7. Aunque puede ayudar al diagnóstico, no es definitiva, y antes de la llegada de la RMN, la biopsia era necesaria para el diagnóstico25. Sin embargo, las imágenes de RMN sí revelan características que pueden llegar al diagnóstico de presunción de elastofibroma1,7,9,18,19, siendo el método de elección para llegar a un diagnóstico. Estos hallazgos consisten en regiones alternas lineales o curvilíneas de alta e intermedia señal de intensidad en imagen potenciada en T13,7,19,22, no ocurriendo tal incremento en T23,7.
Para algunos autores las características de imagen no son suficientes para asegurar el diagnóstico de ED, y creen que la biopsia está indicada para excluir otros tumores agresivos1,2,9. En consonancia, Mojica WD y Kuntzman T26 dicen que una PAAF representa el método más simple y rápido para un diagnóstico definitivo de elastofibroma. En nuestros primeros tres casos dicha técnica no resultó rentable, ya que en dos se informó de tejido adiposo, y en el tercero el extendido fue insuficiente, y con un diagnóstico final tras la resección compatible con lipoma intramuscular. Sin embargo, nos fue muy útil en el caso número 4, dada su asociación a un nódulo pulmonar. En el caso número 3, y teniendo en cuenta el informe de RMN, se estimó oportuno realizar una biopsia incisional que confirmó el diagnóstico.
En contraposición, hay autores9,19,22 que sugieren que la biopsia no es obligada para el diagnóstico, porque los hallazgos clínicos en conjunción con las características de las imágenes de RMN deberían ser suficientes para permitir el diagnóstico de elastofibroma. En cualquier caso, el diagnóstico de elastofibroma para lesiones no encapsuladas periescapulares en mujeres de edad media o mayores debe ser tenido en cuenta, siendo suficiente para algunos autores el hallazgo de unas características de imagen como las descritas en la RMN en estos pacientes25. Pensamos que el diagnóstico de ED no debería ser solamente radiológico, sino también clínico y, finalmente, anatomopatológico.
El tratamiento quirúrgico de estos tumores sólo es necesario si el paciente presenta dolor o limitación funcional del hombro que no responde a tratamiento sintomático, requiriendo muchos solamente tratamiento conservador25. Algunos autores recomiendan la exéresis en individuos asintomáticos si el diámetro máximo excede los 5 cm1,4. El tratamiento recomendado en pacientes sintomáticos es la exéresis amplia de la tumoración1,14,27,28. Al igual que otros autores4,5,17,29, hemos encontrado la lesión adherida firmemente al músculo, periostio de costillas y escápula, simulando, paradójicamente, una lesión maligna. También es destacable el notable sangrado durante y después de la cirugía, por lo que es recomendable utilizar drenajes aspirativos y realizar una buena hemostasia, hecho ya observado en otras series22.
Conflicto de intereses. Los autores no hemos recibido ayuda económica alguna para la realización de este trabajo. Tampoco hemos firmado ningún acuerdo por el que vayamos a recibir beneficios u honorarios por parte de alguna entidad comercial. Por otra parte, ninguna entidad comercial ha pagado ni pagará a fundaciones, instituciones educativas u otras organizaciones sin ánimo de lucro a las que estemos afiliados.












