El elastofibroma es un pseudotumor de consistencia dura derivado del tejido conectivo, de crecimiento lento, compuesto de una matriz fibroelástica en la cual se entremezclan algunas fibras de grasa. Es una lesión que presenta unas características típicas en ecografía, tomografía computarizada (TC) y resonancia magnética (RM), que junto con casi una localización patognomónica (región subescapular), su predilección por el sexo femenino y a menudo su bilateralidad, hacen sospechar esta entidad, evitando biopsias innecesarias en la mayoría de los casos. Presentamos un caso de elastofibroma dorsi en una mujer de 49 años con una tumoración en la pared costal derecha.
CASO CLÍNICO
Mujer de 49 años que consulta por notar una tumoración en la pared costal posterior derecha. En la exploración se apreciaba ésta en la región posterolateral de la pared costal, en el borde inferomedial de la escápula, adherida a planos profundos. La analítica no mostraba ningún dato de interés. Se realizó una ecografía (fig. 1), una TC (fig. 2A) y una RM (fig. 2B). El diagnóstico de sospecha tras estas exploraciones fue el de elastofibroma dorsi. El diagnóstico se confirmó después de la intervención quirúrgica.
Figura 1.Ecografía de región subescapular en una mujer de 49 años asintomática que únicamente refería una tumoración en la pared torácica posterior derecha. Realizada en prono y abducción.
Se distinguen 7 estratos: piel (1); grasa subcutánea (2); fascia superficial con grasa (3); músculos extrínsecos de la espalda (4); fascia de la parrilla costal (5); músculos intercostales y arcos costales (6); superficie pulmonar (7). En la quinta capa se observa una masa con patrón estriado y ecogenicidad similar al músculo, alternando con otras bandas hipoecoicas de grasa de contorno globuloso, rodeada de grasa y con pobre diferenciación de los músculos adyacentes, sin alteraciones óseas y sin flujo significativo con doppler color.
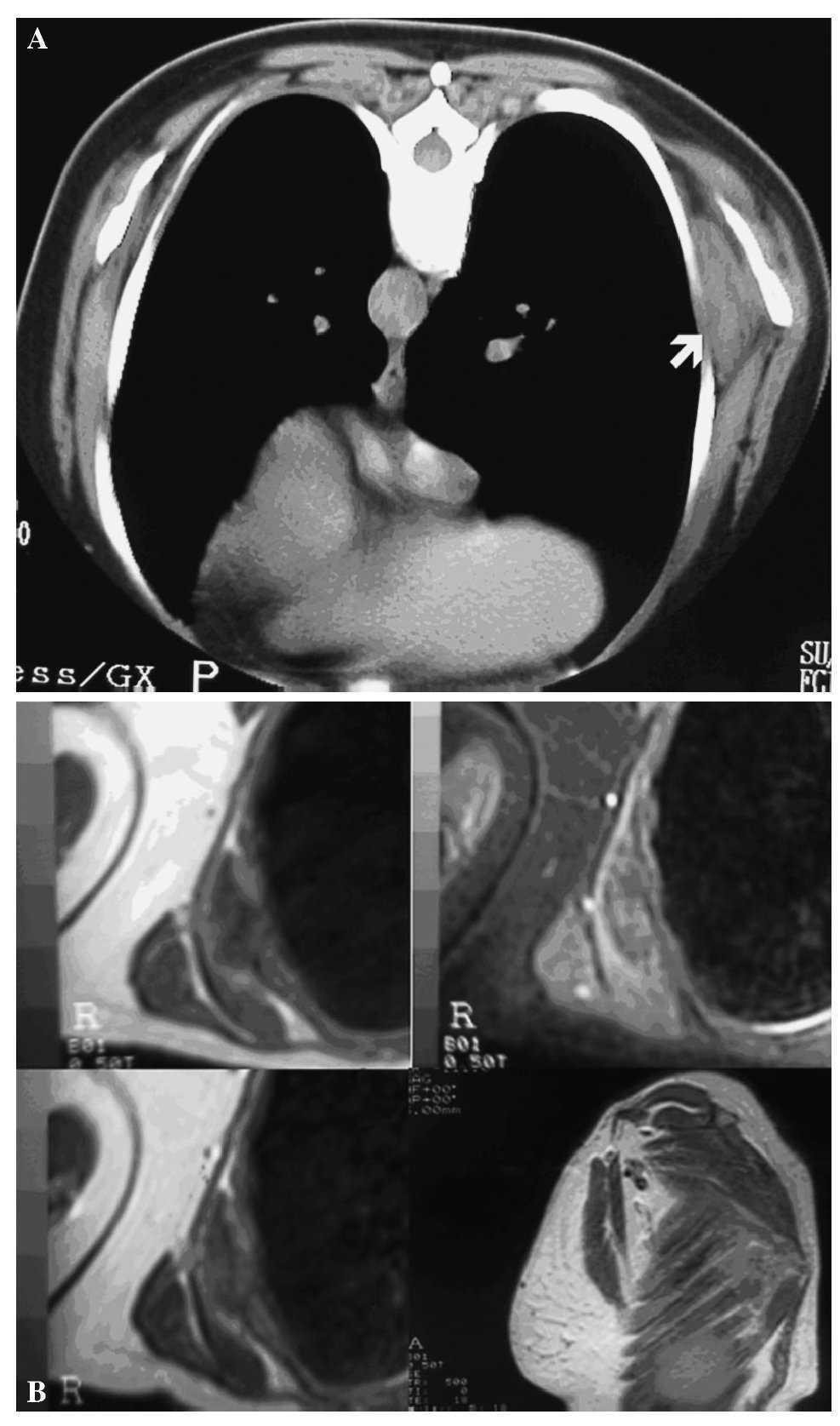
Figura 2.(A) Tomografía computarizada axial sin contraste de la región subescapular de nuestra paciente. Se realiza en decúbito prono a efectos de evitar la compresión de tejidos blandos. Se aprecia una masa de la pared torácica (flecha) de forma lenticular, bien delimitada, no encapsulada, que desplaza anteriormente el músculo serrato mayor y lateralmente el borde inferior de la escápula; presenta una atenuación tisular menor que los músculos y mayor que la grasa subcutánea. Nótense pequeñas áreas lineales de menor densidad dentro de la masa que traduce presencia de grasa. Aunque bien definida por la grasa lateralmente, la lesión no puede separarse de los músculos intercostales. (B) Imágenes de resonancia magnética. a) Secuencia eco de espín potenciada en T1: se aprecia una masa relativamente bien definida con intensidad similar a la del músculo esquelético, con pequeñas áreas curvilíneas mezcladas de alta intensidad; b) en las imágenes potenciadas en T2: masa homogénea, relativamente bien definida, localizada entre la pared torácica y la cintura escapular, que presenta una intensidad parecida al músculo esquelético con áreas lineales entremezcladas de intensidad, que sugiere grasa y que presentan una distribución similar a las imágenes potenciadas en T1; c) y d) incremento heterogéneo de la intensidad tras la administración de gadolinio, como se aprecia en estas imágenes axiales y sagitales potenciadas en T1 en las que se ve un discreto realce, fundamentalmente en la periferia.
El elastofibroma es un pseudotumor de consistencia dura derivado del tejido conectivo, de lento crecimiento, compuesto fundamentalmente por una matriz fibroelástica en la que aparecen bandas de grasa entremezclada en menor proporción1,2.
La mayoría se detecta en individuos de edad avanzada, pudiendo no obstante identificarse desde la infancia. Aunque más del 50% de los casos son asintomáticos, una minoría refiere molestias a la movilización o una masa palpable de consistencia firme, de tamaño variable, que alcanza en ocasiones más de 20 cm. Presenta una clara predilección por el sexo femenino (13:1 en algunas series). No es raro su hallazgo incidental en autopsias, habiéndose descrito lesiones de tres centímetros o menores en el 24,4% de las mujeres y en el 11,2% de los hombres mayores de 55 años3.
COMENTARIO
El elastofibroma se ubica en hasta en el 99% de los casos en la región subescapular, recibiendo en este caso la denominación de elastofibroma dorsi (figs. 2A y 2B), relacionándose en profundidad con los músculos romboides mayor, latísimo del dorso y serrato anterior, siendo adyacente y medial al ángulo inferior de la escápula. Es bilateral hasta en el 66% de los casos y no es infrecuente la aparición de lesiones sincrónicas en la región infraolecraniana y, más raramente, en la pared torácica y en la tuberosidad isquiática3.
Su etiopatogenia no está clara, siendo usual su aparición en personas que realizan una dura labor manual y atribuyendo su origen a una elastogénesis desproporcionada de los fibroblastos periósticos, pudiendo deberse esta alteración a una fricción mecánica continuada entre la escápula y la pared torácica, o tratarse de una anomalía primaria4.
El elastofibroma se ha descrito también en otras localizaciones tales como la pared torácica, el músculo deltoides, la axila, la tuberosidad isquiática, región del trocánter mayor, el estómago, el recto, el omento, la mano, el pie, el canal espinal y la esclera4.
Las lesiones más frecuentes de la zona subescapular son los lipomas y las metástasis; sin embargo los métodos de diagnóstico por imagen permiten distinguir el elastofibroma de otras entidades si se tiene presente entre los diagnósticos diferenciales y se conoce tanto su aspecto característico en ecografía, TC y RM (comentado anteriormente), que si bien no es patognomónico sí proporciona una alta sospecha diagnóstica, y otros datos como su típica localización y la frecuencia de una presentación bilateral (esta última característica descarta malignidad)5-7. Teniendo noción el radiólogo y traumatólogo de esta información tan orientativa y proponiendo el diagnóstico se evitarían biopsias y escisiones quirúrgicas innecesarias, y por otra parte no exentas de riesgo para el paciente.




