NOTAS CLÍNICAS
Compresión del nervio cubital y la arterial humeral por apófisis supraepitroclear
Compression of the ulnar nerve and brachial artery by a supraepitrochlear apophysis
CANILLAS DEL REY, F. M., y CORBATÓN BLASCO, V.
Servicio de Traumatología y Cirugía Ortopédica. (Dr. V. Corbatón Blasco.) Hospital Central de Cruz Roja. Madrid.
Correspondencia:
Dr. F. M. CANILLAS DEL REY.
Alonso Carbonell, 2, 3.° D.
28045 Madrid.
Recibido: Febrero de 1999.
Aceptado: Mayo de 1999.
RESUMEN: Se presenta un caso de compresión del nervio cubital y de la arteria humeral en una paciente de 14 años de edad debido a la existencia de una apófisis supraepitroclear del húmero. La paciente relataba episodios repetidos de parestesias en cuarto y quinto dedos de la mano izquierda que aparecían durante la actividad. Asimismo, presentaba frialdad en la mano y antebrazo, con sensación de inflamación distal desde el codo a la mano. En el estudio radiológico se observó la existencia de un proceso supraepitroclear, evidenciando en la cirugía la existencia del ligamento de Struthers. Se procedió a la resección de la apófisis y a la comprobación de la indemnidad de las estructuras neurovasculares. A los 6 meses de la operación la paciente está asintomática, sin signos de recidiva. Se presenta este caso dada la infrecuente aparición de esta patología con afectación neurovascular.
PALABRAS CLAVE: Apófisis supraepitroclear. Húmero. Nervio cubital. Arteria humeral.
ABSTRACT: A 14 year-old girl had compression of the ulnar nerve and brachial artery due to a humeral supraepitrochlear apophysis. The patient reported repeated episodes of paresthesia in the fourth and fifth fingers of the left hand during activity. She had a cold hand and forearm, and a sensation of distal inflammation from the elbow to the hand. Radiography showed a supraepitrochlear process and surgery disclosed a Struther''s ligament. The apophysis was resected and neurovascular structures were examined. Six months after surgery the patient was asymptomatic and free of signs of recurrence. The case is reported due to the infrequency of neurovascular problems with this anomaly.
KEY WORDS: Supraepitrochlear apophysis. Humerus. Ulnar nerve. Brachial artery.
La apófisis supraepitroclear (processus supracondyloideus) es una variedad anatómica infrecuente consistente en una formación ósea de la región medial del tercio inferior del húmero, situada a unos 5-7 cm por encima de la epitróclea, de un tamaño que puede llegar hasta 2 cm.
En la mayoría de los casos es asintomática, pero en raras ocasiones puede producir sintomatología compresiva o irritativa neurovascular. La afectación descrita con más frecuencia es la del nervio mediano y más rara la del nervio cubital. Se presenta un caso de afectación del nervio cubital y de la arteria humeral debido a la infrecuente asociación de estos dos cuadros clínicos.
Caso clínico
Niña de 14 años de edad que acudió a la consulta por presentar desde hace 1 año parestesias en cuarto y quinto dedos de la mano izquierda y ocasionalmente en el resto de los dedos. Las parestesias aparecían durante la actividad y cedían con el reposo y no refería síntomas durante la noche. Asimismo, relataba la aparición de frialdad en la mano y antebrazo al levantarse, así como sensación de inflamación distal del miembro; las actividades repetitivas y la posición en extensión máxima eran las principales causas de aparición del cuadro neurológico. Además señalaba la existencia de una tumoración indolora en tercio inferior del brazo, apreciada desde 4 meses antes, cuya palpación reproducía las parestesias.
A la exploración se palpaba una tumoración dura, no móvil, en la cara interna del brazo en su tercio inferior, que era indolora. No había presencia de hipotrofia o atrofia muscular. No aparecían signos de déficit neurológico o vascular y no había pérdida o alteración del pulso. La extensión forzada del codo con supinación del antebrazo reproducía las parestesias irradiadas al cuarto y quinto dedos.
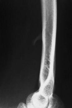
En el estudio radiológico se apreció una prominencia ósea situada en la cara anteromedial del húmero, a unos 5 cm por encima de la epitróclea, cuyo tamaño era de unos 2 cm de largo, de base ancha y forma alargada dirigida en dirección inferior y anterior (Fig. 1). Ante el diagnóstico de apófisis supraepitroclear, y debido a la clínica neurovascular que presentaba la paciente, se optó por el tratamiento quirúrgico.
ABFigura 1. A: Rx AP. Se aprecia la apófisis supraepitroclear en dirección craneocaudal y hacia medial. B: Rx lateral.
Mediante un acceso medial se alcanzó a la zona por el lado posteromedial del músculo bíceps. Se pudo observar la presencia de una prominencia ósea con un refuerzo fibroso que se dirigía desde la punta de la misma hacia la epitróclea, correspondiendo al denominado ligamento de Struthers (Fig. 2); algunas fibras musculares del pronador redondo se insertaban en la zona más distal de la apófisis. Tras la exposición de la apófisis se apreció su forma de gancho, con una base amplia y de unos 2 cm de longitud, situada en la cara anteromedial del húmero, que se dirigía hacia abajo, adelante y medialmente. En contacto con su cara interna (cubital) se distinguía el nervio mediano y, más medialmente, la arteria humeral, sin que ninguna de estas estructuras presentara alteraciones. No se evidenció ninguna estructura neurovascular en la zona lateral (radial) de la apófisis. Tras la disección anatómica, nerviosa y vascular se procedió a la resección de la exóstosis mediante escoplo, tallando un cajeado de la base de implantación en el húmero (Fig. 3). El período postoperatorio transcurrió sin alteraciones y a los 12 días se retiró el vendaje y los puntos. En la revisión a los 6 meses la paciente estaba asintomática y sin evidenciar signos de recidiva en la radiografía.
Figura 2. Imagen previa a la resección de la apófisis donde se observa el ligamento de Struthers (flecha).
Figura 3. Imagen quirúrgica. Se observa la ausencia de estructuras neurovasculares anterolaterales a la apófisis.
Discusión
La apófisis supraepitroclear del húmero es una variante anatómica poco frecuente que aparece en el 1,5% de los estudios en cadáver,8 aunque se han descrito variaciones raciales entre el 11,2,9,11,19 y el 3,1%6,7.La sintomatología es excepcional y en la literatura española sólo hay tres casos publicados, que incluyen un caso de compresión del nervio mediano y arteria humeral,23 del nervio cubital17 y un caso de fractura.18 También ha sido asociada a enfermedades congénitas como el síndrome de Cornelia de Lange7 y se han comunicado casos bilaterales, así como la presencia de varios casos en la misma familia, lo cual apunta a un carácter recesivo.1,7 Esta anomalía es considerada como un vestigio que aparece en otros animales inferiores por la involución del anillo supraepitroclear en el proceso evolutivo humano, que pasa de tener un miembro superior de apoyo a un miembro superior prensil.1,4,10,22
Su base es amplia y se localiza en la cara medial del húmero, a unos 5-7 cm de la epitróclea, con dirección caudal, anterior y medial,14,21 sin sobrepasar los 2 cm de longitud.14,21 En algunos casos como ocurre en el de este trabajo aparece una formación fibrosa que se dirige desde la punta de la apófisis hasta la epitróclea, conocida como ligamento de Struthers, banda supracondilar o bandeleta supraepitrocleana. Laha y cols.14 han descrito cuatro tipos en la forma de esta variante ósea dependiendo de su tamaño y de la aparición y estructura del ligamento: la forma más simple es una prominencia, que no suele producir signos clínicos; la segunda es la apófisis propiamente dicha, que puede tener expresión clínica; el tercer tipo, que correspondería al caso presentado, es la apófisis con ligamento, y por último, el cuarto tipo es la calcificación del ligamento, que formaría un foramen óseo desde la base de implantación de la apófisis hasta la epitróclea. Este último es el orificio o anillo supraepitroclear. Se ha descrito la presencia de una inserción anómala del pronador redondo,1,10,11,14 como ocurre en nuestro caso (Fig. 4), y más raramente de los músculos braquial15 y coracobraquial.1,14 Algunos autores consideran que estas inserciones anómalas pueden ser más responsables de los signos y síntomas que la propia presencia de la apófisis supraepitroclear.4 Así, la contracción del pronador redondo comprimiría el nervio mediano contra el canal y sería éste músculo la causa de la irritación nerviosa.1
Figura 4. Imagen de la apófisis una vez extirpada. En su zona más distal hay fibras musculares del pronador redondo.
Casadei y cols.4 han señalado las distintas relaciones anatómicas descritas entre la apófisis supraepitroclear y las estructuras neurovasculares vecinas y que explican las variaciones de presentación clínica descritas en la literatura. La forma más frecuente es la presencia del nervio mediano solo o junto a la arteria humeral en el canal supraepitroclear. En algunos casos la arteria humeral se divide proximalmente,13 de modo que la arteria radial pasa lateralmente a la apófisis y la arteria cubital, junto al nervio mediano, cruza entre la apófisis y la epitróclea. López Alonso y cols.15 señalan la frecuente asociación entre la apófisis supraepitroclear y esta división prematura de la arteria humeral. Para Bilge y cols.2 la arteria humeral no dividida es más susceptible de compresión que si se divide en arteria radial y cubital. Excepcionalmente, como ocurre en este caso, el nervio cubital puede perforar el septo intermuscular medial en una posición más distal, de modo que queda atrapado entre la apófisis y el septo.17 En esta variante todas las estructuras neurovasculares se sitúan detrás de la apófisis y de este modo la compresión del nervio y de la arteria se producen por atrapamiento entre la apófisis supraepitroclear, el ligamento y el septo intermuscular.4 El movimiento repetitivo y la extensión forzada con supinación desencadenan la sintomatología neurológica.
La clínica es variable, dependiendo de la aparición de compresiones del nervio mediano,2,10,13,16,19,24 de la arteria humeral o de ambos, así como fracturas de la apófisis,11,14 y más raramente compresiones cubitales.17,20 Esta patología debe ser incluida en el diagnóstico diferencial de los atrapamientos del nervio mediano, aunque Gessini y cols.12 sólo encuentran uno entre 228 casos de compresión del mediano. El dolor y las parestesias son los datos clínicos más frecuentes, generalmente ocasionales, aunque pueden aparecer en ciertos movimientos repetitivos, así como con la pronación forzada y a la extensión. En menos casos se ha descrito reducción de la fuerza prensil, hipersensibilidad al frío, hipoestesia, hipersudoración y déficit motores. La compresión del nervio cubital es más rara y se ha descrito adelgazamiento y pérdida
de movilidad del nervio, así como hipotrofia muscular.15 Menos frecuente es la aparición de compresiones vasculares,16 con pérdida del pulso radial o cubital al extender y pronar o supinar el antebrazo, así como alteraciones de la temperatura y/o color de los dedos, asociado o no a edema y rigidez matutina. El presente caso tiene los datos típicos de compresión del nervio cubital, aunque sin aparición de alteraciones tróficas de piel y músculo; la clínica de frialdad y sensación de inflamación distal sería debida a la compresión vascular de la arteria humeral contra la apófisis, que como se ha señalado aparece con más frecuencia cuando no se divide prematuramente.
La fractura de la apófisis supraepitroclear es rara, aunque un traumatismo directo en la zona, unido a su débil estructura y sus inserciones musculares, puede ocasionar su rotura.4,9,14,18 El dolor es muy localizado y suele incrementarse con la extensión con pronosupinación del antebrazo, y dadas sus relaciones anatómicas puede asociar síntomas de compresión neurovascular. La mayoría de los autores recomienda el tratamiento conservador mediante inmovilización durante 3 semanas, ya que se han descrito casos de miositis osificante al intentar su extirpación quirúrgica.14
La palpación de la zona orienta el diagnóstico, a menos que el paciente sea muy musculoso, y el estudio radiológico convencional lo confirma, aunque en ocasiones pueden necesitarse proyecciones oblicuas.11,13
El diagnóstico diferencial con los osteocondromas reside en que éstos tienen una localización metafisaria, generalmente con dirección craneal, con forma sésil o pediculada y sobre todo porque están recubiertos de cartílago.4,7 Los osteofitos artrósicos tienen formas diferentes, son periarticulares y asocian otros signos artrósicos.4
El tratamiento quirúrgico está indicado en los casos sintomáticos que no responden a tratamiento conservador. Se recomienda la extirpación profiláctica de la apófisis si hay una fractura asociada de la extremidad distal del húmero que requiera cirugía.3 La mayoría de los autores insiste en ser meticuloso con la extirpación del periostio adyacente, ya que se han descrito recidivas.10,11,13
Bibliografía
1.Barnard, LB, y McCoy, SM: The supracondylar process of the humerus. J Bone Joint Surg, 23: 845-850, 1946.
2.Bilge, T; Yalaman, O; Bilge, S; Cokneseli, B, y Barut, S: Entrapment neuropathy of the median nerve at the level of the ligament of Struthers. Neurosurgery, 27: 787-789, 1990.
3. Burczak, JR: Median nerve palsy after operative treatment of intraarticular distal humerus fracture with intact supracondylar process. J Orthop Trauma, 8: 252-254, 1994.
4.Casadei, R; Ferraro, A; Ferruzzi, A; Innao, V, y Mercuri, M: Supracondylar process of the humerus: Four cases. Chir Organi Mov, 75: 265-277, 1990.
5.Cohen, SL: The supracondylar process congenitalis of the femur. JAMA, 9; 241: 565, 1979.
6.Crespi, M: L''apofisi sopraepitrocleare. Arch Ortop, 75: 551-554, 1962.
7.Curtis, JA; O''Hara, AE, y Carpenter, GG: Spurs of the mandible and supracondylar process of the humerus in Cornelia de Lange syndrome. AJR Am J Roentgenol, 129: 156-158, 1977.
8.Dellon, A: Musculotendinous variations about the medial humeral epicondyle. J Hand Surg, 11B: 175-181, 1986.
9.Doane, CP: Fractures of the supracondylar process of the humerus. J Bone Joint Surg, 18: 757-759, 1936.
10.Falco, A, y Savarese, A: Il processo sopraepitrocleare dell''omero causa di neurodocite del mediano. Atti SOTIMI, 104: 228-231, 1974.
11.Genner, BA: Fractures of the supracondyloid process. J Bone Joint Surg, 41A: 1333-1335, 1959.
12.Gessini, L; Jandolo, B, y Pietrangeli, A: Entrapment neuropathies of the median nerve at above elbow. Surg Neurol, 19: 112-116, 1983.
13.Gualtieri, L; Capelli, A, y Gualtieri, G: Sul processo sovraepitrocleare dell''omero. Ospedali d''Italia, Chirurgia, 31: 455-458, 1978.
14.Kolb, LW, y Moore, RD: Fractures of the supracondylar process of the humerus. Report of two cases. J Bone Joint Surg, 49A: 532-534, 1967.
15.Lachi, P: Ancora un caso di processo sopracondileo dell''omero umano. Rivista Clínica di Bologna, 458-465, 1885.
16.Laha, RK; Dujovny, M, y DeCastro, SC: Entrapment of median nerve by supracondylar process of the humerus. Case report. J Neurosurg, 46: 252-255, 1977.
17.López Alonso, A; Nieva Navarro, F; Barrueco Izquierdo, J; Curto de la Mano, A; Olaguivel Valdés, R; Sierra Arredondo, G; Usoz Iraola, I, y Viña Fernández, R: Atrapamiento del nervio cubital por la apófisis supraepitroclear. Rev Esp Cir Osteoart, 15: 241, 1980.
18.Macule, F; Mendeoza, JJ; Rodríguez, J; Aldoma, J, y Goday, A: A propósito de la fractura de la apófisis supraepitroclear. Barcelona Quirúrgica, 30: 297-299, 1987.
19.Mimoun, M; Baux, S; Kirsch, JM; Kuhlmann, JN, y Nivesse, D: L''apophyse sus-épitrochléenne. Une source de compression du nerf médian. Revue de la littérature. Ann Chir Main, 5: 332-334,1986.
20.Mittal, RL, y Gupta, BR: Median and ulnar-nerve palsy: An unusual presentation of the supracondylar process. Report of a case. J Bone Joint Surg, 60A: 557-558, 1978.
21.Orts Llorca, F: Extremidad superior. En: Anatomía humana. Barcelona. Ed. Científico-Médica, 1984, 141-142.
22.Rinaldi, E: Considerazioni filogenetiche sul processo sopracondiloideo dell''omero. Arch Putti, 24: 246-252, 1969.
23.Torres Sánchez-Pallasar, C; Márquez, L; García del Cid, JM, y Abril, L: Compresión del nervio mediano y arteria humeral por apófisis supraepitroclear. Rev Esp Cir Osteoart, 13: 265, 1978.
24. Vallario, V, y Capozza, L: Contributo alla conoscenza dello sperone sopratrocleare dell''omero e considerazioni terapeutiche. Atti SOTIMI, 29: 201-207, 1975.







