A través de abordajes percutáneos se pueden realizar correcciones del hallux valgus con mínima lesión de partes blandas, dolor postoperatorio y buenos resultados cosméticos. La osteotomía de Bosch y la MICA (Minimally Invasive Chevron and Akin) han demostrado ser técnicas efectivas para la corrección del hallux valgus, si bien actualmente no existen publicaciones que comparen técnicas percutáneas entre sí. El objetivo de este trabajo es comparar los resultados radiológicos y funcionales de ambas técnicas.
Materiales y métodosSe realizó un estudio retrospectivo, comparativo, en pacientes con hallux valgus moderado, se dividieron en dos grupos según técnica percutánea utilizada: osteotomía en chevron y osteotomía de Bosch con fijación con un tornillo. Se evaluaron radiológicamente ángulos metatarsofalángico, intermetatarsiano, de declinación de la carilla articular distal del 1er metatarsiano y el tiempo de consolidación ósea. Para la evaluación funcional se utilizó la escala de la American Orthopaedic Foot and Ankle Surgery (AOFAS). Se recogieron las complicaciones durante el primer año.
ResultadosSe incluyeron para el estudio 38 pacientes en cada grupo. En cada uno de los grupos se compararon los ángulos radiológicos en el preoperatorio y al final del seguimiento, mostrando cambios estadísticamente significativos en las tres variables consideradas; pero no se obtuvieron diferencias comparándolas entre sí. El tiempo de consolidación también fue similar en ambos grupos. Y en cuanto a la escala AOFAS se obtuvo mejoría de la misma con ambas técnicas, no siendo significativa la diferencia a la comparación.
ConclusionesTanto de la técnica de Bosch como la MICA mostraron resultados comparables al final del seguimiento. Nuevos trabajos son necesarios para determinar las ventajas de cada una en el postoperatorio inmediato.
Through percutaneous approaches, hallux valgus corrections can be performed with minimal soft tissue injury, less postoperative pain and good cosmetic results. Bosch osteotomy and MICA (Minimally Invasive Chevron Akin) have shown to be effective techniques for the correction of hallux valgus, although there are currently no publications comparing each other. The aim of this study is to compare the radiological and functional results of both techniques.
Materials and methodsA retrospective, comparative study was carried out on patients with moderate hallux valgus. They were divided into two groups according to the percutaneous technique performed: Chevron osteotomy and Bosch osteotomy with screw fixation. The metatarsophalangeal, intermetatarsal, and distal articular veneer declination angles of the first metatarsal and the bone consolidation time were evaluated radiologically. The American Orthopaedic Foot and Ankle Surgery (AOFAS) score was used for functional assessment. Complications were registered during the first year.
ResultsThirty-eight patients in each group were included for the study. In each of the groups, the radiological angles were compared preoperatively and at final follow-up, showing statistically significant changes in the three variables considered; but no differences were obtained by comparing them with each other. The time of consolidation was also similar in both groups. As for the AOFAS scale, an improvement was obtained with both techniques, but the difference was not significant when comparing them.
ConclusionsBoth Bosch and MICA techniques showed comparable results at the end of the follow-up. Further work is needed to determine the advantages of each in the immediate postoperative time.
La elección de la técnica para el tratamiento quirúrgico del hallux valgus aún es un tema ampliamente discutido. A pesar de existir más de 200 procedimientos descritos, la elección de la mejor técnica continúa siendo controvertida1. En la actualidad, con las técnicas de cirugía mínimamente invasivas se pueden lograr correcciones a través de pequeñas incisiones, con mínimo daño de tejidos blandos circundantes, recuperación rápida y menores cicatrices2. Estudios ya han demostrado que determinadas osteotomías distales del primer metatarsiano, realizadas de manera abierta o percutánea pueden corregir ángulos intermetatarsianos de hasta 20 grados, lograr la corrección del ángulo de la carilla articular distal y disminuir la rigidez metatarsofalángica3,4.
La técnica para la corrección del hallux valgus de manera percutánea de primera generación fue la descrita por Isham5, la cual no contaba con fijación alguna. La segunda generación fue la técnica descrita por Bosch6,7, que se ha popularizado en los últimos tiempos por su baja demanda técnica y escasas complicaciones. En ella se realiza una osteotomía subcapital recta del primer metatarsiano y se fija de manera transitoria con una aguja de Kirschner. Varios trabajos han demostrado buenos resultados8-10, pero se ha criticado la falta de fijación estable y movilización metatarsofalángica precoz11,12. En este sentido, en la tercera generación, los procedimientos fueron sumando fijaciones más rígidas. La técnica mínimamente invasiva en chevron-Akin (MICA), descrita por Redfern y Vernois en 201113, utiliza dos tornillos de compresión, prescindiendo de la estabilización temporal con aguja de Kirschner. Además, añade la osteotomía de Akin en la falange proximal del hallux, estabilizada también con un tornillo. De igual forma, otros autores han combinado los conceptos de la osteotomía de Bosch con fijación interna, añadiendo un tornillo además de la fijación transitoria con la aguja de Kirschner14.
Si bien hay trabajos que comparan técnicas percutáneas con técnicas abiertas14-17, aún no hay publicaciones que comparen técnicas percutáneas entre sí.
Los objetivos de este trabajo son analizar y comparar los resultados funcionales y radiológicos de dos cohortes de pacientes con diagnóstico de hallux valgus moderado, una operada con la técnica en chevron percutánea, fijada mediante dos tornillos sin aguja de Kirschner transitoria; y otra con la osteotomía de Bosch percutánea estabilizada con un tornillo y una aguja de Kirschner percutánea. Nuestra hipótesis es que no existen diferencias clínicas o radiográficas entre ambas técnicas al año de seguimiento.
Material y métodoRealizamos un estudio comparativo de dos series retrospectivas de pacientes, a quienes se les ha indicado una cirugía percutánea de corrección de hallux valgus moderado, mediante la utilización de dos técnicas: una con osteotomía en chevron percutánea, sin osteotomía de Akin, añadiendo la tenotomía del tendón aductor del hallux; y otra con osteotomía de Bosch percutánea, modificada con fijación con un tornillo y tenotomía del aductor.
Se obtuvo la aprobación del Comité de Ética para Protocolos de Investigación de la institución, y se respetó la confidencialidad de los pacientes incluidos en el estudio en todo momento.
Criterios de inclusiónSe incluyeron para el estudio pacientes adultos, mayores de 21 años, con diagnóstico de hallux valgus moderado, siendo este definido como ángulos intermetatarsianos entre 11-16° y metatarsofalángico de 20-40°18.
Criterios de exclusiónSe excluyeron pacientes a los que se les hubiera añadido otro procedimiento en el antepié, antecedente de cirugías previas, que presentaran dolor metatarsal previo o no hubieran cumplido el seguimiento al año de cirugía.
Variables de estudioSe utilizó para la evaluación funcional la escala de la American Orthopaedic Foot and Ankle Surgery (AOFAS)19 antes de la cirugía y al final del seguimiento.
Para el estudio radiológico se realizaron radiografías de ambos pies en carga en proyecciones anteroposterior y lateral, preoperatorias y postoperatorias. Se analizaron y compararon ángulos metatarsofalángicos (AMTF), intermetatarsiano entre el primer y segundo metatarsianos (AIM), y el ángulo de declinación de la carilla articular distal del 1er metatarsiano (DMAA).
Se evaluó el tiempo de consolidación ósea radiológica, definiendo consolidación como la presencia de puentes óseos en un cortical en dos proyecciones radiológicas20,21.
Se registraron las complicaciones durante el primer año de seguimiento.
Análisis estadísticoLas variables continuas se expresan como medias con respectivos desvíos estándar. Las variables categóricas se expresan como frecuencia relativa o absoluta.
Para la comparación de datos pre y post operatorios, según el tipo de osteotomía, se utilizó un test de «T» para muestras pareadas.
Para la comparación de datos entre osteotomías se utilizó un test de «T» para muestras independientes.
Se realizó un cálculo de poder considerando un poder del 80% y una precisión del 95%.
Se considera significativo valor de p menor a 0,05.
Para el análisis estadístico se utilizó el software STATA® (StataCorp. 2017. Stata Statistical Software: Release 15. College Station, TX: StataCorp LLC).
Técnica quirúrgica osteotomía en chevron percutáneaSe realiza bajo anestesia regional, mediante bloqueo selectivo en tobillo con guía ecográfica.
Se introduce una aguja de Kirschner de 2 mm subcutánea medial desde el extremo distal del hallux de manera retrógrada hasta la localización donde se realizará la osteotomía, en el cuello del primer metatarsiano.
A través de una incisión medial de 3 mm se realiza la osteotomía con una fresa tipo Shannon de 2 × 15 mm de largo, a nivel de la transición del cuello y la cabeza del primer metatarsiano. Se inicia el corte mediante un canal inicial paralelo a la superficie articular distal sobre el cuello del metatarsiano, que servirá de eje de la «v» y luego se completan las ramas a dorsal y plantar.
Se realiza el desplazamiento lateral de la cabeza, introduciendo la aguja de Kirschner endomedular desde la zona de la osteotomía con ayuda de una sonda acanalada.
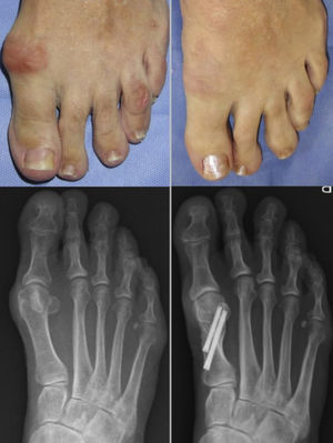
Se fija la osteotomía de manera percutánea con dos tornillos a compresión de proximal a distal hacia la cabeza del metatarsiano. Cabe destacar que el primer tornillo colocado es el proximal, y este debe atravesar tres corticales a través de la osteotomía para una mejor fijación del tornillo (fig. 1).
Se procede a la liberación percutánea del tendón aductor. Se retira la aguja de Kirschner y se realiza vendaje correctivo en varo.
Se controla el procedimiento con radioscopia.
La carga es permitida de forma inmediata con zapato postoperatorio de suela plana y rígida; se realizan curas semanalmente durante tres semanas y movilización articular metatarsofalángica del hallux a partir de la segunda semana.
Técnica quirúrgica osteotomía de Bosch modificadaBajo las mismas condiciones antes descritas, en la osteotomía de Bosch a través de un abordaje medial, se realiza un corte recto paralelo a la carilla articular distal del metatarsiano a nivel del cuello. Se progresa de igual forma que en la osteotomía en chevron la aguja en la medular del metatarsiano para el desplazamiento cefálico lateral.
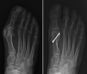
Se fija con un tornillo de proximal hacia la cabeza y de medial a lateral, y se mantiene la aguja de Kirschner (fig. 2). Se realiza la liberación percutánea del tendón aductor del hallux.
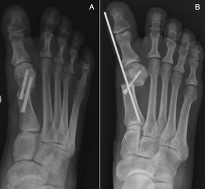
Se permite también deambulación con zapato postoperatorio con carga inmediata. Se indican curas semanales y se retira la aguja de Kirschner en consultorio en la tercera semana postoperatoria (figs. 3 y 4).
ResultadosSe incluyeron para el estudio 38 pacientes operados de hallux valgus mediante técnica en chevron percutánea con liberación del tendón aductor (grupo Chevron) y 38 pacientes con técnica de Bosch (grupo Bosch), entre enero de 2016 y enero de 2017. Los datos demográficos se muestran en la tabla 1.
El tiempo promedio de seguimiento fue de 12,39 meses (SD 1,10) y de 16,81 meses (SD 8,97) respectivamente.
Los ángulos radiológicos se compararon en el preoperatorio (Pre) y al final del seguimiento (Pop) de cada grupo (tabla 2). En el grupo de osteotomía en chevron percutánea mostraron cambios estadísticamente significativos en las tres variables consideradas, siendo las medias: AMTF pre: 25,42 (SD 6,45), pop: 9,7 (SD 6,5), p < 0,0001; AIM pre: 13,83 (SD 2,90), pop: 8,31 (SD 2,31), p < 0,0001; DMAA pre: 11,42 (SD 7,75), pop: 3,36 (SD 4,19).
Resultados clínicos y radiológicos
| Bosch (n = 38) | Chevron MIS (n = 38) | Valor p | |
|---|---|---|---|
| Escala AOFASa | |||
| Preoperatorio | 59,19 ± 10,46 (32-75) | 58,88 ± 8,80 (42-83) | 0,893c |
| Postoperatorio | 98,72 ± 2,87 (90-100) | 97,15 ± 4,81 (85-100) | 0,069c |
| Valor pb | < 0,0001 | < 0,0001 | |
| Diferencia | 39,520 | 38,11 | |
| Ángulo intermetatarsianoa | |||
| Preoperatorio | 13,81 ± 3,12 (6-21) | 13,83 ± 2,90 (4-16) | 0,07c |
| Postoperatorio | 7,76 ± 2,81(3-13) | 8,31 ± 2,31 (4-13) | 0,376c |
| Valor pb | < 0,0001 | < 0,0001 | |
| Diferencia | 6,047 | 5,523 | |
| Ángulo metatarsofalángicoa | |||
| Preoperatorio | 25,31 ±7,63 (9-43) | 25,42 ± 6,45 (14-42) | 0,951c |
| Postoperatorio | 7,41 ± 5,31 (0-18) | 9,7 ± 6,5 (1-22) | 0,107c |
| Valor pb | < 0,0001 | < 0,0001 | |
| Diferencia | 17,9 | 15,72 | |
| DMMAa | |||
| Preoperatorio | 11,22 ± 6,16 (0-26) | 11,42 ± 7,75(0-21) | 0,895c |
| Postoperatorio | 3,40 ± 4,13 ([-8]-14) | 3,36 ± 4,19 ([-6]-18) | 0,969c |
| Valor pb | < 0,0001 | < 0,0001 | |
| Diferencia | 7,82 | 7,67 | |
Bosch: osteotomía de Bosch; Chevron MIS: osteotomía en chevron percutánea
En el grupo de osteotomía de Bosch también presentaron correlaciones estadísticamente significativas: AMTF pre: 25,31 (SD 7,63), pop: 7,41 (SD 5,31), p < 0,0001; AIM pre: 13,81 (SD 3,12), pop: 7,76 (SD 2,81), p < 0,0001; DMAA pre: 11,22 (SD 6,16), pop: 3,40 (SD 4,13), p < 0,0001.
El tiempo medio de consolidación fue para el grupo de osteotomía en chevron de 13,36 semanas (SD 3,03), y de para osteotomía de Bosch 13,60 semanas (SD 2,43), no siendo significativa la diferencia entre ambos grupos (p > 0,10).
En la escala AOFAS se demostró un aumento de los valores promedio de 58,88 (SD 8,80) a 97,15 (SD 4,81) a los 12 meses (p < 0,0001) para la osteotomía en chevron percutánea, y de 59,19 (SD 10,46) a 98,72 (SD 2,87) (p < 0,0001) en la osteotomía de Bosch.
En el análisis comparativo entre ambas técnicas, no se demostraron diferencias significativas en cuanto a correcciones angulares radiológicas ni en la escala AOFAS.
Entre las complicaciones en el grupo de osteotomía en chevron percutánea se hallaron dos infecciones superficiales que se resolvieron con tratamiento antibiótico oral; una rotura de tornillo asintomática y una extracción de un tornillo por molestias del implante. Se registró en cinco pacientes metatarsalgia (13,15%), ausente antes de la cirugía, y un paciente presentó una fractura por estrés del cuarto metatarsiano. Solamente en un caso se produjo una pérdida de corrección de la osteotomía en la primera semana que tuvo que ser reintervenida quirúrgicamente.
En el grupo de osteotomía de Bosch se registró un paciente que evolucionó con metatarsalgia por transferencia, dos casos de retardo de consolidación a cinco meses y dos pacientes fueron reintervenidos: uno para retirar el tornillo por molestias del implante y otro por pérdida de corrección de la osteotomía.
DiscusiónExiste en la actualidad gran interés en la cirugía percutánea del antepié, debido a los resultados prometedores publicados2,22. Sin embargo aún no se ha determinado qué técnica es la mejor. Tampoco se han publicado estudios que comparen técnicas percutáneas entre sí, más allá de revisiones sistemáticas23. En el presente estudio hemos analizado y luego comparado dos osteotomías metafisarias distales percutáneas. Ambos procedimientos lograron una corrección radiológica significativa y con mejoras en escalas funcionales al final del seguimiento. No obtuvimos diferencias en los resultados funcionales y radiológicos entre ambas técnicas en el tiempo analizado.
Las series publicadas referentes a la técnica de Bosch muestran buenos resultados, con bajo índice de complicaciones y recidivas2,9,24-26. La falta de fijación interna en esta técnica de segunda generación hace necesario mantener la aguja de Kirschner durante cuatro a seis semanas, lo que impide la movilidad temprana articular del hallux y aumenta el riesgo de complicaciones cutáneas en el trayecto y la posibilidad de pérdida de corrección y de desplazamiento de la cabeza del primer metatarsiano6.
Así, la osteotomía de Bosch fue modificada añadiendo un tornillo para la fijación de la osteotomía permitiendo la extracción de la aguja en la tercera semana14. No hemos encontrado series publicadas con esta técnica, si bien en el trabajo desarrollado por Brogan se realiza una fijación con un solo tornillo y aguja durante tres semanas, el corte que realizan es en chevron, al igual que en la MICA. Nosotros hemos obtenido buenos resultados, comparables a los publicados con la técnica original, con lo que podemos concluir que la colocación de un tornillo cefálico en la osteotomía de Bosch reduce el tiempo de inmovilización con la aguja, brindando mayor comodidad al paciente y evitando las posibles complicaciones mencionadas.
En la MICA13,27 se genera un corte más estable y se incrementa la rigidez de la fijación con la colocación de dos tornillos, evitando la necesidad de fijaciones transitorias con agujas. Varios autores han publicado series con esta técnica y sus modificaciones15,17. La serie de pacientes más extensa publicada con la técnica MICA es la de Jowett y Bedi28, que incluye 106 pies, con un seguimiento de 25 meses, y los resultados reportados son comparables a nuestra serie.
Los descriptores de la técnica MICA29 explican que la decisión de agregar una osteotomía de Akin o la tenotomía del tendón aductor depende de la deformidad remanente luego de la osteotomía del metatarsiano. Tanto en el trabajo original y las demás series publicadas13,15,17,28 no se establecen criterios objetivos para añadir alguno de estos gestos. Realizar una osteotomía de Akin de manera sistemática aumentaría la morbilidad, dolor, posibles complicaciones, tiempo quirúrgico y coste. La tenotomía del aductor percutánea agrega corrección dependiente de partes blandas, no implica apenas tiempo y evita la necesidad de implantes. En nuestro trabajo realizamos la tenotomía en ambos grupos, pero sabemos que tampoco hay pautas sobre su indicación y que se deberá analizar en futuros trabajos.
En cuanto a las complicaciones hemos reportado la presencia de metatarsalgia por transferencia en cinco casos en la osteotomía en chevron y uno en la osteotomía de Bosch. Esto puede deberse al acortamiento generado por la fresa de corte al realizar la osteotomía, si bien el acortamiento del primer radio puede favorecer la disminución de rigidez de la articulación metatarsofalángica3.
En nuestro trabajo no obtuvimos diferencias en los resultados funcionales y radiológicos con ambas técnicas en el tiempo analizado. Parece que la movilización temprana del hallux en la técnica en chevron percutánea evitaría la rigidez3, aunque dicha variable no ha sido estudiada en nuestro estudio. Como desventajas de esta técnica podemos considerar que el corte en chevron percutáneo es más demandante que realizar un corte recto y puede aumentar el tiempo quirúrgico. Sin embargo, en cirujanos experimentados en cirugía percutánea no debería presentar dificultades28. Como segundo punto a considerar, la colocación de un segundo tornillo aumenta los costos quirúrgicos. La elección deberá basarse en la experiencia en cirugía percutánea del cirujano y los medios económicos del paciente.
Como debilidad del estudio, consideramos que al ser una serie retrospectiva, no se evaluaron las diferencias entre ambas técnicas en el postoperatorio temprano. Son necesarios estudios comparativos prospectivos para establecer diferencias inmediatas, ya que es en ese tiempo donde se pueden encontrar diferencias entre ambas técnicas. Además se deberá estudiar en futuros trabajos las diferencias a largo plazo en cuanto a cambios artrósicos y movilidad articular.
ConclusionesLas técnicas percutáneas de Bosch modificada y en chevron resultaron efectivas para la corrección del hallux valgus de manera percutánea, con resultados similares entre sí a largo plazo. Estudios con mejor nivel de evidencia son necesarios para determinar resultados no solo a largo plazo, sino en el postoperatorio inmediato, ya que en ese tiempo es donde se podrán objetivar diferencias entre las técnicas.
Responsabilidades éticasLos autores declaran que no se ha realizado ninguna experimentación con animales. También asientan que la investigación fue aprobada por el Comité de Ética de Protocolos de Investigación del Hospital Italiano de Buenos Aires y que se cuenta con el consentimiento informado firmado por parte de los pacientes que participaron en el estudio.
Nivel de evidenciaNivel de evidencia III.
FinanciaciónLa presente investigación no ha recibido ayudas específicas provenientes de agencias del sector público, sector comercial o entidades sin ánimo de lucro.
Conflicto de interesesLos autores declaran no tener ningún conflicto de intereses.






