La artroplastia total de rodilla (ATR) ha sido una verdadera revolución en el tratamiento de las artropatías graves de la misma. La cirugía sustitutiva de la rodilla, junto con la de la cadera es el tipo de intervención más frecuente actualmente en Cirugía Ortopédica y la que aporta mayor tasa de éxitos1,2.
El éxito de toda artroplastia de rodilla depende, principalmente, del reestablecimiento de la biomecánica de la rodilla, siendo la técnica quirúrgica, y con ella la precisión del instrumental utilizado, uno de los elementos fundamentales para el éxito de un implante total de rodilla.
El diseño de la prótesis, los materiales utilizados y una correcta estabilidad de las partes blandas serán elementos claves que decidirán, después de la cirugía, la viabilidad del implante en el tiempo y el nivel de satisfacción del paciente al que se le ha implantado la prótesis con los resultados obtenidos3,4. La experiencia aconseja una planificación preoperatoria de la técnica a utilizar y una selección cuidadosa de la prótesis a implantar. Dentro de los distintos tipos de ATR, el modelo semiconstreñido es actualmente la indicación princeps en la gonartrosis tricompartimental que no presenta gran deformidad o inestabilidad. Así mismo se han diseñado ATR con platillos móviles que en teoría mejoran la cinemática de la rodilla, disminuye el estrés de contacto, permiten menor constricción y el autoalineamiento del implante5,6. Uno de estos modelos es la ATR TACK (total articulating cemmentless knee) de LINK que fue utilizada por primera vez en 1990 en el Frimley Park Hospital de Inglaterra7.
Nuestro servicio lleva varios años implantando este modelo con buenos resultados, es por ello que el fin de este trabajo es triple; por un lado, presentar las características técnicas y el diseño de dicho modelo de prótesis; por otro, comentar algunos detalles de la técnica quirúrgica y por último mostrar nuestros resultados, el grado de satisfacción de los pacientes y cuantificar el número de complicaciones.
MATERIAL Y MÉTODO
Hemos realizado una revisión de todas las ATR modelo TACK implantadas en nuestro servicio, durante el período 1993-2001 (8 años) mediante un estudio retrospectivo y descriptivo.
Los factores de inclusión para este estudio fueron: pacientes con edades comprendidas entre los 50 y 80 años diagnosticados de gonartrosis primaria o secundaria, que no presentaran una deformidad en varo de más de 15º, un valgo de no más de 10° y escasa pérdida de masa ósea. Por el contrario, se excluyeron del estudio los pacientes mayores de 80 años, con una desviación en el eje axial de más de 15º, inestabilidad ligamentosa importantes o gran pérdida de masa ósea.
El total de nuestra serie fueron 99 ATR en 85 pacientes, pero en 7 de ellos no fue posible completar el estudio (cuatro pacientes se siguieron en otro hospital, otro falleció y en dos se perdió el seguimiento por otras causas), por lo que finalmente fueron 92 ATR colocadas en 78 pacientes (14 de ellas fueron bilaterales). El sexo predominante fue el femenino, con 63 casos (86,7%), tan sólo 15 casos fueron varones (19,2%). Lateralidad:53 fueron derechas (57,6%) y 39 izquierdas (42,4%). La edad media fue de 67,5 años, existiendo un rango comprendido entre los 50 y 80 años. Hemos agrupado a los pacientes según la edad en grupos de 5 años, observando que el grupo mayoritario estaba comprendido entre los 66 y 70 años. El seguimiento medio fue de 25,3 meses (rango 12-96 meses).
La indicación principal fue la gonartrosis primaria generalmente genu varo, (63 casos), seguida de la gonartrosis secundaria, postcirugía (11 casos), post-traumática (8 casos), osteonecrosis (6 casos) y artritis reumatoidea (4 casos).
La mayoría de las prótesis fueron implantadas por dos cirujanos ortopedas --70 casos uno de ellos (76%) y 13 casos el otro (14,1%)--, siendo colocadas las 9 restantes (9,8%) por otros ortopedas del servicio. En todos los casos se utilizó la misma técnica quirúrgica, y se administró de forma profiláctica una dosis de curoxima --1.500 mg por vía intravenosa (iv)--, continuando en el postoperatorio con una dosis de curoxima (750 mg iv) cada 8 horas, durante 48 horas, exceptuando los pacientes con sensibilidad a beta-lactámicos o sus derivados, donde se administró clindamicina (600 mg/6 h) más gentamicina (3mg/kg/día) iv.
Descripción del sistema
La ATR modelo TACK es una prótesis semiconstreñida, modular, que puede conservar o no el ligamento cruzado posterior (LCP), cuya principal característica radica en el diseño de un componente tibial con meseta de polietileno rotatoria (fig.1), concepto desarrollado para superar los problemas derivados de las tensiones rotacionales que originan el aflojamiento tibial. Es una prótesis que preserva la rotación interna automática de la tibia a lo largo de la flexión. El cojinete de polietileno tiene una forma que suministra todo el movimiento de giro semejando los meniscos. La total congruencia de ambos componentes elimina los puntos de desgaste y aumenta la estabilidad del componente femoral y tibial. La versatilidad del sistema permite su implantación como prótesis no cementada, cementada o híbrida.
Figura 1. Secuencias de la técnica quirúrgica y aspecto del implante (A-F).
Los resultados esperados deberían suponer, por tanto, una menor incidencia de aflojamientos asépticos.
Características técnicas
Prótesis no constreñida formada por tres componentes :
1) Componente femoral. Forma poliédrica. Los cóndilos son ligeramente asimétricos y presentan dos tetones de anclaje. La estructura tiene forma de rejilla para permitir la fijación biológica, presentándose con y sin recubrimiento de hidroxiapatita (HA). Los cortes femorales permiten hasta siete grados de valgo.
2) Componente tibial. Presenta una cruceta como vástago de centrado que transmite las fuerzas compresivas sobre la esponjosa, presenta unos raíles por donde va a rotar el polietileno y una escotadura posterior para la preservación del LCP (a elección del cirujano) y cuya implantación se realiza con una orientación en sentido anteroposterior de 10º. Su estructura inferior es enrejillada.
Tanto el componente femoral como el tibial presentan una superficie de anclaje tipo «macroestructura» que permite su fijación con y sin cemento y contiene una aleación de cromo-cobalto según ISO 5832/IV y ASTM F 75.
3) Componente intermedio de polietileno. Rotatorio (platillos móviles), de ultra-alta densidad según ISO 5834/II y ASTM F 648.
El sistema está formado por cuatro tamaños de componente femoral, cuyo valgo de 7° hace que existan modelos derechos e izquierdos; cuatro tamaños de componente tibial y cinco de componente intermedio de polietileno, cada uno de ellos con cuatro alturas diferentes (9; 11,5; 14 y 16,5 mm). También incluye la opción de protetizar la rótula con un componente patelar asimétrico,con tetón de anclaje central y 2 tamaños (pequeño o mediano).
Descripción de la técnica quirúrgica y manejo post-operatorio
Usamos la isquemia preventiva y profilaxis antibiótica intravenosa en todos los casos (100%). La vía de abordaje utilizada fue en el 78,8% de los pacientes un abordaje anterior longitudinal de rodilla, con artrotomía pararrotuliana medial (67 casos) y en el 27,2% de los pacientes, un abordaje subvasto interno (25 casos).
La técnica quirúrgica fue en todos los casos la misma, conservando el ligamento cruzado posterior en el 100% de los casos y cortando a 7°de valgo. Usamos guía intramedular para el fémur y otra extramedular para la tibia. Cementamos el componente tibial en 54 casos (58,7%) y tan sólo en 3 ocasiones (3,3%) el componente femoral --una de ellas por rotura de un cóndilo femoral intraoperatoriamente--.
Se realizó apertura del retináculo rotuliano externo en 40 casos (43,8%), espongializacion rotuliana en 80 (86,9%) y denervación rotuliana en el 100% de los casos. No existió ningún caso en el que se sustituyera el componente rotuliano.
En 79 casos (85,9%) utilizamos como drenaje un sistema de recuperación sanguínea modelo Constac VacTM CBC II de Stryker®, que posteriormente era reinfundido al paciente. En el postoperatorio inmediato realizamos profilaxis con heparina de bajo peso molecular (HBPM) que se prolongó durante unos 45-60 días.
Durante los días de ingreso del paciente utilizamos el «artromotor» en 28 casos (30,4%) que eran poco colaboradores, aunque no encontramos diferencias significativas a los 6 meses con respecto a aquellos que no lo habían utilizado. Un total de 42 pacientes precisaron sesiones de fisioterapia en el servicio de rehabilitación posteriormente (45,6%).
Las revisiones postoperatorias se realizaron en consultas a las 6 semanas, 3,6 y 12 meses de la intervención quirúrgica. Para la evaluación de los resultados obtenidos hemos utilizado el sistema de clasificación Knee Society Score8 (tabla 1), que valora de forma independiente:
1) El estado de la rodilla: dolor, arco de movilidad y estabilidad restando puntos por contractura en flexión, déficit de extensión y/o desalineación.
2) Evaluación funcional del paciente (de forma global): capacidad de subir escaleras, distancia al caminar --restando puntos por el uso de elementos de ayuda a la deambulación--.
Asimismo, hemos valorado el estado de satisfacción personal del paciente, estimando la apreciación subjetiva en la última revisión clínica, utilizando una modificación del cuestionario sobre la percepción del paciente portador de una ATR publicada por Dawson en 19989, dividiéndolo en cuatro apartados: excelente, bueno, regular o mal resultado (tabla 2).
A pesar de haber revisado los estudios radiográficos de cada paciente valorando la colocación, el apoyo y la alineación del eje de la pierna, no ha sido un objetivo en este trabajo la valoración radiológica del implante o la búsqueda específica de líneas radiolúcidas, dando más importancia al resultado funcional del paciente y su rodilla.
RESULTADOS
Según los grupos de edad, hemos encontrado que los varones se intervienen más jóvenes, con una edad media de 66,41 años (rango 53-79 años), que las mujeres con 68,2 años (rango 50-80 años).
En los resultados obtenidos comprobando cómo el «estado funcional de la rodilla» pasó de 50,3 ± 14,3 puntos de media en el preoperatorio a 81,7 ± 13,8 puntos a los 6 meses de la intervención, llegando a alcanzar 92,1 ± 4 puntos tras 3 años ó más (fig. 2).
Figura 2. Resultados obtenidos según la escala de valoración de la American Knee Society Score (AKSS)8.
Por otro lado, la «evaluación funcional del paciente» pasó de 43,36 ± 15,41 puntos de media en el preoperatorio a 63,58 ± 17,1 a los 6 meses y 81,71 ± 15,2 a los 3 años ó más.
Con relación al estado de satisfacción personal del paciente, encontramos 43 casos excelentes (46,7%), 29 buenos (31,5%), 13 regulares (14,1%) y 7 malos (9,8%) (fig.3).
Figura 3. Resultados obtenidos según la escala de satisfacción personal modificada de Dawson9.
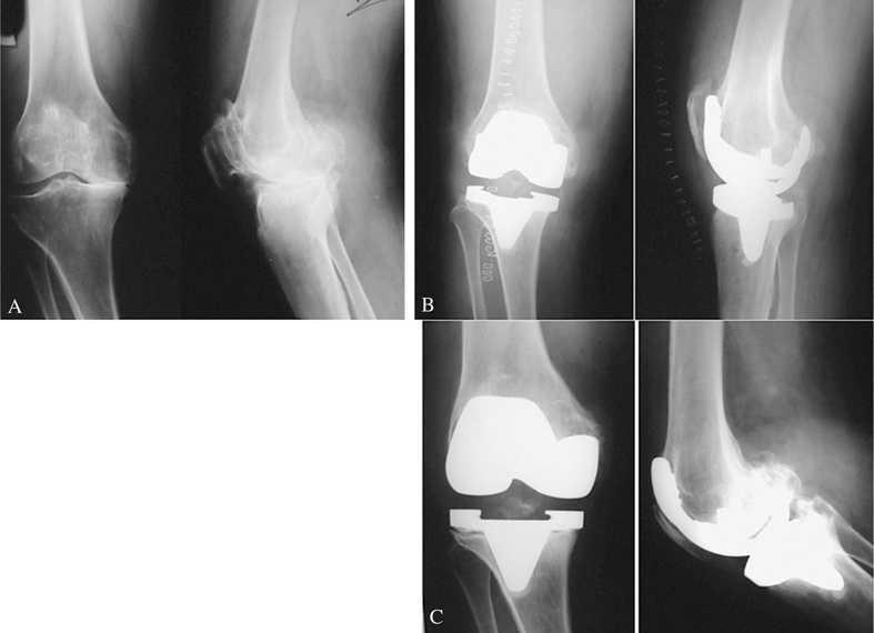
Dentro del apartado de complicaciones, encontramos (tabla 3): 5 casos de infecciones superficiales (5,4%) que se solucionaron con medidas físicas, curas locales y antibioterapia oral; 7 de movilización aséptica (7,6%) --6 pacientes-- (uno de ellos fue bilateral), que precisaron cirugía de revisión posteriormente (fig. 4); 2 de infección profunda precoz (2,2%), que se solucionaron con lavados artroscópicos y antibioterapia intravenosa; 2 de infección profunda tardía (2,17%), uno precisó rescate de la ATR en dos tiempos (fig. 5) y el otro mejoró con lavado artroscópico y antibioteraapia intravenosa; 4 de dehiscencia de la sutura (4,3%), uno de ellos precisó consultar con el servicio de cirugía plástica; 3 de trombosis venosa profunda (TVP) --uno de ellos se complicó con un tromboembolismo pulmonar (TEP)--, que mejoraron con el tratamiento adecuado; 9 presentaron dolor en la cara anterior de la rodilla (9,8%) y 3 tendinopatía de la pata de ganso (3,3%); 2 de fractura periprotésica de fémur, una fue intraoperatoria y se solucionó cementando el componente femoral y reposo de la pierna y el otro fue a los 8 años de la intervención --tras una caída-- que se resolvió con un clavo endomedular retrógrado estático (fig. 6). No observamos ningún caso de desgaste o luxación del polietileno (0%), ni complicaciones neurológicas. En las figuras 4 a 8 mostramos algunos casos clínicos de esta serie.
Figura 4.(A) Mujer de 71 años (54/50 puntos). (B) Malposición del componente tibial en el postoperatorio. (C) Movilización aséptica del componente tibial a los dos años que precisó recambio protésico (24/15 puntos).
Figura 5.(A) Varón de 67 años (20/20 puntos). (B) Control radiográfico postoperatorio satisfactorio consiguiendo 7° de valgo. (C) Movilización séptica a los tres años, que precisó recambio en dos tiempos e implantación de prótesis rotacional (D).
Figura 6.(A) Mujer de 69 años con fractura periprotésica que fue resuelta con clavo intramedular retrógrado. (B) Buen resultado clínico (50/70 puntos).
Figura 7.(A) Mujer de 53 años (38/42 puntos). (B) Radiografía postoperatoria satisfactoria. (C) Buen aspecto a los 3 años de evolución. (D) Resultado excelente a los 7 años de la intervención (90/80 puntos).
DISCUSIÓN
La flexión de rodilla implica el movimiento de rotación interna tibial durante la cual los meniscos giran y se deslizan. Este es el diseño británico ya propugnado por la escuela de Oxford. Ya en 1978 Goodfellow JW y O'Connor J10 simulan los movimientos de los meniscos, interponiendo sobre una pieza metálica tibial soportes de polietileno, obteniendo movimientos de rotación en cadáveres, casi idénticos a las rodillas normales. Gracias a la rotación entre ambos componentes se consigue menor estrés en la interfase hueso-implante, y asimismo la congruencia del componente femoral con el componente del polietileno disminuye el estrés lineal y el consiguiente desgaste del mismo11,12.
En nuestro servicio se implantan tres tipos de ATR. Dos modelos son semiconstreñidas como son la NEX-GEN de ZIMMER (antigua MG-II) y la TACK de LINK (objeto de este trabajo, de platillos móviles), ambas usadas para cirugía primaria. En el caso de cirugía de revisión o en grandes inestabilidades o deformidades axiales utilizamos la prótesis ROTACIONAL de LINK.
No todas las ATR de platillos móviles presentan la misma estabilidad rotatoria y en los planos medio-lateral y antero-posterior; por tanto, no van a alcanzar la misma longevidad clínica3,4.
Heim CS et al3, en un estudio comparativo de nueve ATR con platillos móviles, destaca por encima de todas a la ATR modelo TACK --junto con la LCS-- por su estabilidad en el diseño tanto en el plano medio-lateral como en el antero-posterior.
Hoy en día no existe evidencia científica que asegure la superioridad de las plataformas móviles con respecto a las convencionales. Young-Hoo K13, en un interesente trabajo, compara los resultados de la ATR con platillos fijos y móviles en 116 pacientes donde se implantaron ATR de forma bilateral, presentando el mismo porcentaje de resultados y complicaciones. Igualmente ocurre en las publicaciones de Ortega M2, Vertullo CJ et al6 y Stukenborg C14. Sin embargo, se ha publicado recientemente un trabajo prospectivo, doble ciego y controlado15, donde podemos ver por primera vez unos resultados algo mejores en las ATR con platillos móviles que en las de platillos fijos, con resultados estadísticamente significativos.
La vía de abordaje más empleada fue la anterior longitudinal de rodilla con artrotomía pararrotuliana medial en 67 casos (72,8%), seguido del abordaje subvasto en 25 casos (27,2%), no encontrando diferencias significativas en el resultado final, aunque el segundo demostró una evolución más rápida en el post-operatorio inmediato. Bindelglass DF y Vince KG16 investigaron la influencia de ambos abordajes en cuanto a la necesidad de realizar una liberación lateral. Aunque hallaron un menor número en el abordaje subvasto, cuestionaron la validez de la prueba «sin dedos» de estabilidad rotuliana en las rodillas abordadas por la vía pararrotuliana medial.
Conservamos el ligamento cruzado posterior en todos los casos, para asegurar mayor estabilidad y mayor número de propioceptores articulares. Muchos autores17,18 obtienen mejores resultados en las ATR que mantienen el LCP, que aquellas que son estabilizadas posteriormente; sin embargo, existen trabajos publicados que cuestionan la utilidad de mantener un LCP con fenómenos degenerativos en el 94% de los casos19. Muchos cirujanos han adoptado una actitud selectiva teniendo en cuenta las condiciones locales y generales del paciente al escoger el tipo de implante para mantener o sustituir el LCP20.
Usamos una guía intramedular para el fémur y otra extramedular para la tibia. Teter KE et al21 reconocen la superioridad del alineamiento intramedular en los cortes femorales, aunque recomienda realizar una correlación radiográfica y clínica en todos los pacientes. A pesar de que Ishii Y22 no halló diferencias significativas en cuanto a la precisión, entre el empleo de guías de alineamiento intra y extramedulares en la colocación del componente tibial, Hernández Vaquero D et al23 obtienen una mejor posición con la guía de alineación intramedular en tibia, tanto en el plano ántero-posterior, como en el lateral.
Hemos cementado el componente tibial en el 58,7% de los casos (a pesar de llamarse «no cementada»). Nafei A et al24 han publicado la revisión de 348 ATR cementando el platillo tibial de forma consecutiva, mostrando un índice acumulado de supervivencia del 92%.
Se realizó apertura del retináculo rotuliano externo en 40 casos (43,8%). Puede parecer un alto porcentaje pero coincidiendo con Ritter et al25 no hemos observado un aumento de complicaciones rotulianas tales como luxaciones, radiotransparencias o fracturas al sacrificar la arteria geniculada lateral superior. No obstante estamos de acuerdo con Laskin RS26 cuando afirma que el hecho de probar el tracking rotuliano con el torniquete inflado da una impresión errónea, al aumentar la presión en el vasto lateral, y por tanto existe mayor tendencia a la subluxación rotuliana.
En ningún caso implantamos componente rotuliano, espongializando la rótula en 80 casos (86,9%) y con denervación rotuliana en el 100% de los casos. La necesidad de cambiar la rótula es uno de los aspectos más controvertidos en la ATR y la práctica clínica varía entre la implantación rutinaria, selectiva, o la no implantación rutinaria2,27,28. Nosotros optamos por esta última opción y la conservamos siempre, dada nuestra mala experiencia anterior con otro modelo de prótesis (fue la causa más frecuente de revisión de ATR) y además por conseguir una mayor propiocepción, abaratar el coste económico y acortar el tiempo quirúrgico.
En todos los casos colocamos un drenaje aspirativo, siendo el 85,9% de los casos de tipo «recuperador», para realizar una autotransfusión posterior al paciente porque, al igual que Dalen et al29, consideramos que es sangre segura a la hora de la reinfusión, si bien los recuentos de trombocitos, glucosa y leucocitos son bajos. Por el contrario, existen estudios que critican el sistema por ser ineficaz a la hora de disminuir los requerimientos de sangre homóloga.
En el postoperatorio inmediato utilizamos el «artromotor» en pacientes poco colaboradores o con un balance articular muy pobre, aunque no hemos encontramos diferencias significativas al comprobar el balance articular a los 6 meses de la intervención, con respecto a los pacientes que no la habían utilizado.
Para la evaluación de los resultados hemos utilizado el sistema de clasificación de la American Knee Society Score publicada en 1989 por Insall JN8, que permite valorar de forma independiente por una parte la funcionalidad de la rodilla (atribuyendo 50 puntos al dolor, 25 al arco de movilidad y 25 a la estabilidad) y restando puntos por la contractura en flexión, déficit de extensión y desalineación, y por otra parte la capacidad funcional global del paciente (asignando 50 puntos a la capacidad de subir escaleras y 50 puntos a la de caminar distancias), realizándose deducciones por el uso de elementos de ayuda a la deambulación.
El estado funcional de la rodilla se incrementó en 42 puntos (de 50,3 ± 14,3 a 92,1 ± 13,8) y la evolución funcional del paciente lo hizo en 38 puntos de media (de 43,3 ± 15,4 a 81,7 ± 15,2), lo que nos parece un resultado muy satisfactorio, teniendo en cuenta el período de seguimiento del estudio.
Con respecto al estado de satisfacción personal del paciente, obtuvimos un 78,2% de excelentes y buenos resultados (72 casos), (fig. 8) y tan sólo un 9,8% de malos resultados (7 casos), siendo estos los primeros que se implantaron, por lo que podemos atribuirlo a la curva de aprendizaje de toda intervención. Este resultado nos da una idea del excelente grado de aceptación de los pacientes con este modelo protésico.
Figura 8.(A) Mujer de 58 años (30/20 puntos). (B) Resultado excelente a los 8 años (90/70 puntos). (C) Varón de 60 años (52/30 puntos). (D) Resultado excelente a los 4 años (88/75 puntos).
En relación con las complicaciones halladas, estamos dentro de los porcentajes habituales. Presentamos un 9,8% de problemas en el aparato extensor de la rodilla, cifra aproximada a otras publicaciones30,31. El problema suele afectar a la estructura ósea del aparato extensor dada la disposición biomecánica de la articulación de la rodilla. Debido a este elevado porcentaje deberíamos plantearnos la posibilidad de sustituir la patela en algunas ocasiones, aunque es bien sabido el alto porcentaje de complicaciones postoperatorias a corto y medio plazo. Barrack RL y Burak C32 presentan dolor en la cara anterior en ambos grupos de su estudio, pero algo mayor en los pacientes recambiados. Se sabe que las complicaciones del aparato extensor son las más frecuentes en la artroplastia de rodilla, estando la mayor parte de ellas relacionadas directa o indirectamente con el empleo del implante de recubrimiento27.
El número de infecciones profundas (4,3%) está algo elevado con respecto al 0,5-2% descrito en la bibliografía2, teniendo como objetivo prioritario analizar los factores que influyen en el desarrollo de estas infecciones periprotésicas. Presentamos un 7,6% de movilizaciones asépticas (6 pacientes), intervenidos en los primeros años y en los cuales no se cementó el componente tibial, por lo que en la actualidad solemos cementarlo siempre que tengamos dudas de la calidad del hueso. Coincidiendo con Ortega M2 pensamos que la decisión final debe tomarse en el quirófano.
Presentamos dos casos de fracturas periprotésica de fémur (2,2%) estando dentro de la media que oscila entre 0,32-4%16, y ambos se resolvieron de forma satisfactoria. Callaghan JJ33 obtiene un 6% de luxaciones del platillo móvil de polietileno; sin embargo, nosotros no hemos evidenciado ningún caso.
Hemos realizado una revisión bibliográfica de artículos publicados en esta revista sobre este modelo de prótesis y tan sólo hemos encontrado uno, publicado en 1997 por Navarro G et al34 donde no podemos comparar resultados por la diferencia del diseño en el estudio. Tan solo cabe resaltar la tasa tan baja de complicaciones que presentan, prácticamente ninguna, en comparación con nuestro estudio, donde es sensiblemente mayor.
En conclusión, gracias a la excelente congruencia de sus componentes, el platillo de polietileno móvil y la óptima tensión de los ligamentos medial y lateral, la prótesis TACK combina una excelente recuperación funcional con un deterioro limitado. Su indicación principal sería pacientes con osteoartrosis degenerativa, donde no exista una gran pérdida de masa ósea, laxitud ligamentosa importante o grave deformidad. El instrumental es sencillo y preciso, basado en guías intramedulares y un dispositivo que permite dar la tensión ligamentosa adecuada en cada caso. Ambos componentes normalmente son implantados sin cemento, aunque en el caso que se considere necesario este puede ser utilizado. Nosotros, actualmente, solemos cementar el componente tibial siempre. No existe evidencia científica, hoy día, que asegure la superioridad de las plataformas móviles con respecto a las convencionales.
Presentamos los detalles de la técnica quirúrgica realizada en nuestro servicio. En ningún caso implantamos el componente rotuliano, aunque se podría valorar en rótulas muy degenerativas con alteración del recorrido. De cualquier forma, este dilema aún no está resuelto. La escala de valoración de la American Knee Society Score nos parece la más acertada para la evaluación de los resultados en cirugía de la rodilla, como así lo avalan los últimos trabajos sobre cirugía de rodilla. Recomendamos la asociación de una escala que valore la percepción del paciente acerca de su ATR. A pesar de tener un número considerable de complicaciones, la gran mayoría de las mismas son ajenas al tipo de implante colocado.
Conflicto de intereses. Los autores no hemos recibido ayuda económica alguna para la realización de este trabajo. Tampoco hemos firmado ningún acuerdo por el que vayamos a recibir beneficios u honorarios por parte de alguna entidad comercial. Por otra parte, ninguna entidad comercial ha pagado ni pagará a fundaciones, instituciones educativas u otras organizaciones sin ánimo de lucro a las que estamos afiliados.













