La artrodesis de rodilla ofrece una solución estable y no dolorosa en determinadas situaciones en las que la indicación de reemplazamiento protésico puede ser problemática. Esta técnica se indica en los casos de fracaso de artroplastia, que en la actualidad constituye el principal motivo de intervención, o ante una grave degeneración articular cuando la implantación de la prótesis no sea aconsejable.3,6,9,14 Los procedimientos más utilizados para conseguir la fijación en una artrodesis de rodilla incluyen la fijación externa o interna, habiéndose utilizado en este último caso clavos intramedulares o placas. La consolidación con el uso de fijadores externos, entre los que el compresor de Charnley ha sido el más comúnmente usado, ha sido muy variable.5,16-18 En general la fijación con clavo intramedular ha proporcionado las tasas más altas de consolidación, siendo especialmente útil en caso de pérdidas óseas severas y procesos sépticos.18
Chapchal, en 1948, fue el primero en utilizar un clavo de Küntscher para conseguir una artrodesis de rodilla, quien introducía el clavo a través de una ventana en la cortical femoral anterior. En 1971, Nelson y Evarts describieron la artrodesis como tratamiento en el fracaso de la artroplastia de rodilla.2,7,18
Material y método
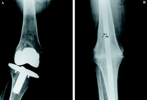
Entre diciembre de 1991 y marzo de 2000 se realizaron 21 artrodesis de rodilla mediante enclavado endomedular. El estudio está basado en el análisis retrospectivo de estos procedimientos y su evolución. De los 20 pacientes, en un caso se realizó artrodesis en ambas rodillas aunque no coincidieron en el tiempo; 15 fueron mujeres. La edad media, en el momento de la cirugía, fue de 67,8 años (mínimo 17 y máximo 82 años). La causa de la artrodesis fue el fracaso de la artroplastia en 18 casos, un osteosarcoma en metáfisis femoral distal en un varón de 17 años, una gonartrosis severa en una paciente con obesidad mórbida y artroplastia de la rodilla contralateral (Fig. 1) y, por último, una gonartrosis en un miembro afecto de poliomielitis.
Figura 1. Paciente con obesidad mórbida y artroplastia de rodilla contralateral. A: Radiografía preoperatoria. B: Radiografía a los 3 años de la cirugía, consolidación.
En el caso de fracaso de la artroplastia, estaba afectado el lado derecho en once casos y el izquierdo en siete. De ellos, tenían una artroplastia contralateral siete pacientes. El motivo de la prótesis de rodilla primaria fue la artrosis en 15 casos, artritis reumatoide en dos (11,1%) y un condrosarcoma de bajo grado en la metáfisis femoral distal en otro.
En todos los pacientes se realizó cobertura antibiótica según la pauta aprobada por la comisión de infecciones del hospital y profilaxis tromboembólica. El modelo de prótesis de rodilla fue no constreñido en 20 casos y semi-constreñido en el otro.
Nueve pacientes habían tenido al menos otra intervención quirúrgica previa a la artrodesis, en siete casos un recambio protésico, (hasta un máximo de tres intervenciones) a los 26 meses (mínimo 2 y máxomo 90 meses).
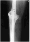
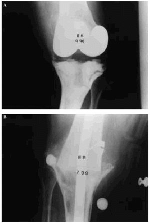
En nueve pacientes, el fracaso de la artroplastia se debió a la infección profunda (Fig. 2), aislando gérmenes del género Staphylococcus en siete de ellos. De los nueve pacientes restantes, en ocho el fracaso de la artroplastia fue debido a un aflojamiento aséptico (Fig. 3) y el caso restante fue causado por una artrofibrosis.
Figura 2. Fracaso séptico artroplastia de rodilla en mujer de 75 años. A: Radiografía preoperatoria. B: Control postoperatorio artrodesis de rodilla con clavo intramedular.
Figura 3. Fracaso aséptico artroplastia de rodilla. A: Radiografía preoperatoria, inestabilidad grave en descarga. B: Artrodesis.
Como media pasaron 54,7 meses (mínimo 4 y máximo 144 meses) entre la artroplastia primaria y la artrodesis, siendo sensiblemente inferior, en el grupo séptico (41,3 --4 a 102-- vs 68,1 --12 a 144-- meses).
La técnica de artrodesis implica una cuidadosa planificación preoperatoria y la selección de un clavo apropiado. Se utilizó un clavo de Küntscher en 16 casos y de Rusell-Taylor en cinco. La longitud media fue de 665 mm (mínimo: 520 y máximo: 750 mm) y con unos diámetros de 10 mm (cinco casos), 11 mm (siete casos), 12 mm (ocho casos) y 13 mm (un caso), dependiendo del diámetro del canal medular de la tibia.
La artrodesis se realizó con el paciente en decúbito supino, practicando una incisión sobre la rodilla y otra por encima del trocánter mayor. La primera sirve para la extracción de los componentes protésicos, si no se realizó previamente, y la preparación de las superficies óseas femoral y tibial, utilizando el instrumental de inserción y corte de las prótesis primarias. Los canales medulares se prepararon mediante el uso de fresas flexibles. El clavo se introdujo de manera anterógrada prestando especial atención para mantener la máxima aposición y prevenir la distracción de los segmentos óseos, debiendo extenderse desde el trocánter mayor hasta la metáfisis distal tibial (llegando, idealmente, a 5 cm de la articulación del tobillo). Durante la introducción del clavo se produjo en un caso una fractura diafisaria femoral, que fue resuelta ortopédicamente. Se utilizó un aloinjerto intercalar en el caso de la artrodesis-resección tumoral. En el resto se añadió injerto en la zona periférica de la artrodesis en diez casos, siendo autólogo en seis, y heterólogo en cuatro ocasiones. Se añadieron como dispositivos antirrotacionales grapas de Blount, en ocho procedimientos.
En todos los casos de aflojamiento séptico, la artrodesis se realizó en dos tiempos, consistiendo el primero en la extracción de los componentes, desbridamiento y colocación de un espaciador de cemento con antibiótico (gentamicina). El segundo tiempo de artrodesis se realizó a las 20 semanas, como media (rango de 5 a 40 semanas), del primero. En el resto, la artrodesis se efectuó en un único acto quirúrgico.
La duración media de la cirugía fue de 120,3 minutos (mínimo: 75 y máximo: 240 minutos). Los requerimientos transfusionales medios fueron de 1136 ml (mínimo: 0 y máximo: 2000 ml). En todos los pacientes se utilizó una inmovilización postquirúrgica durante 12 semanas.
Se estudiaron en cada paciente la evolución del dolor, las ayudas para la marcha, la posible dismetría de las extremidades inferiores y el tiempo de consolidación.
Resultados
No presentaron dolor sobre la zona de artrodesis diez pacientes, lo tenían ocasionalmente nueve y frecuentemente dos. En el grupo de aflojamiento séptico cuatro pacientes se encontraron libres de dolor, cuatro lo tenían ocasionalmente y en un caso frecuentemente. En los pacientes con fracaso aséptico, no presentaron dolor tres pacientes, lo tenían ocasionalmente cinco y frecuentemente uno. Globalmente no precisaron analgesia once pacientes, la usaron ocasionalmente siete y frecuentemente tres. Cuatro pacientes experimentaron dolor en otras articulaciones, dos en la rodilla contralateral (uno era una artritis reumatoide con afectación de ambas rodillas) y en otros dos en la región lumbar, constituyendo siempre un agravamiento de una sintomatología previa ya existente.
Caminaron sin bastones cuatro pacientes, ocho lo hacían con un bastón y nueve con dos bastones.
Se observó un acortamiento de 27 mm de media (mínimo: 10 y máximo: 55 mm), siendo de 15 mm (mínimo: 10 y máximo: 20 mm) en el grupo con aflojamiento séptico y de 37 mm (mínimo: 20 y máximo: 55 mm) para el resto de aflojamientos protésicos.
Se consiguió una consolidación primaria en 16 de los casos, siete en el grupo de fracasos no sépticos, seis en los sépticos y en todos los casos de las restantes etiologías. El tiempo medio hasta la consolidación fue de 8,1 meses (mínimo: 4 y máximo: 12 meses). Globalmente, hubo 19 consolidaciones en los 21 casos intervenidos. En los otros dos casos se produjo una pseudoartrosis infectada, uno de ellos pertenecía al grupo de fracaso no séptico y se resolvió con una amputación supracondílea. En este mismo paciente se realizó una artrodesis de la rodilla contralateral tras un fracaso aséptico de la artroplastia cuatro años después de la amputación. El otro enfermo, que presentaba una infección profunda previa, rechazó este procedimiento; presenta una fistulización crónica, se somete actualmente a curas periódicas, presentando dolor y una marcada impotencia funcional.
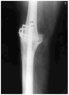
Se presentaron complicaciones postoperatorias en doce pacientes, de las cuales las más notables fueron alteraciones de la cicatrización en cinco casos, infección de la herida quirúrgica en tres y en otro hubo una parálisis del nervio ciático poplíteo externo. La consolidación se define como una fusión sólida clínicamente, con evidencia radiográfica de trabeculación ósea a través del foco de artrodesis. Se produjeron tres roturas de clavos, en uno de ellos se aplicó una ortesis y en los dos restantes se practicó un nuevo enclavado con aporte de injerto. En los tres casos se ha obtenido la consolidación a los siete meses, como promedio (Fig. 4).
Figura 4. Aflojamiento protésico. A: Radiografía preoperatoria. B: Rotura de clavo 18 meses después de la cirugía. C: Nuevo enclavado.
Discusión
En la actualidad, la mayor parte de las artrodesis de rodilla se indican por fracaso en la artroplastia, ya sea séptico o mecánico;2,3,15,19 en menor porcentaje la artritis infecciosa, los tumores tratados mediante resección-artrodesis,1,4 la artritis monoarticular en pacientes jóvenes, la artropatía neuropática y ciertas anomalías congénitas.2,7,10
La artrodesis proporciona un miembro estable y no doloroso a expensas de la pérdida de movilidad. Consideramos indicaciones de artrodesis tras artroplastia total de rodilla, el fracaso de la prótesis con pérdidas óseas importantes que impiden la cirugía de revisión, la afectación monoarticular en enfermos jóvenes, con una importante demanda funcional, la insuficiencia del aparato extensor de la rodilla, las dificultades de cobertura cutánea y ante la presencia de infecciones debidas a gérmenes altamente virulentos o en pacientes inmunocomprometidos.5,7-9,12,13,16 Algunos pacientes, informados del menor porcentaje de éxitos tras el recambio protésico prefieren sacrificar la movilidad de la articulación antes que someterse a otras intervenciones quirúrgicas.
Suponen contraindicaciones relativas la afectación bilateral de las rodillas, la ipsilateral del tobillo o la cadera, las pérdidas óseas importantes y la amputación contralateral.5,14,15 En nuestra casuística una paciente presentaba una amputación contralateral y en otro caso una artrodesis de rodilla contralateral realizada mediante el uso de un fijador externo. En ambos casos se consiguió una artrodesis estable, pero con unos resultados funcionales pobres.
Es muy importante para el éxito de la artrodesis obtener una buena aposición ósea y disponer de una masa ósea local adecuada. Situaciones como el fracaso en prótesis constreñidas o con vástagos intramedulares, así como la infección, disminuyen las posibilidades de consolidación.5,15,16,19
Los métodos de fijación utilizados en las diferentes técnicas de artrodesis incluyen la fijación externa, el uso de placas y el enclavado intramedular. Los fijadores externos resultan de utilidad ante situaciones de infecciones activas o pérdidas de cobertura cutánea;8,16 si bien, los problemas de estabilidad de los montajes, la tendencia a consolidación en varo y/o recurvatum, los frecuentes retardos de consolidación, el rechazo de los pacientes al dispositivo externo y la infección de las agujas o los clavos percutáneos, constituyen motivos para no utilizar estos dispositivos de forma universal. La utilización de placas de osteosíntesis obliga a una disección amplia para la exposición tanto de la extremidad distal del fémur, como la proximal tibial y al uso de abundante material de síntesis.2,11 El enclavado intramedular es el que ha demostrado unos mayores porcentajes de éxito, incluso en el caso de graves pérdidas óseas o fallo séptico. A pesar de esto último, como recoge la bibliografía y confirma nuestra casuística, el procedimiento soporta una alta tasa de complicaciones.3,5,6,8,13,15,17,18
La función postoperatoria de los enfermos debe valorarse respecto a la existencia de dolor en la extremidad afecta u otras zonas, la capacidad para la marcha, restricción de las actividades cotidianas y el uso de ayudas para la deambulación. La artrodesis con clavo intramedular es un procedimiento efectivo y supone una alternativa de primer orden ante las etiologías mencionadas anteriormente y sobre todo en los casos de fracaso de la artroplastia de rodilla primara o de revisión.







