El angiosarcoma óseo primario es una rara eventualidad que representa, tan solo, el 1% de todos los angiosarcomas. Estos tumores asientan con mayor frecuencia en huesos largos. La afectación vertebral primaria se ha comunicado en un 10% de angiosarcomas.
Como resultado de esta rareza se desconocen, en gran medida, sus características patológicas, clínicas y terapéuticas.
Presentamos el caso de una paciente con angiosarcoma epitelioide vertebral primario en D8 que debutó con dolor dorsal y paraparesia con el objetivo de intentar contribuir a un mejor conocimiento de este raro proceso.
Primary bone angiosarcoma is rare, and is only seen in 1% of all sarcomas. These tumours are more often found in the long bones. Primary spinal involvement has been reported in 10% of angiosarcomas.
As a result of its rarity, its pathological, clinical and therapeutic characterists are largely unknown.
We presnt the case of a patient with a primary vertebral epithelioid angiosarcoma in D8 which initially presented as dorsal pain and paraparesis, with the aim of contributing to a better knowlwedge of this rare process.
Los sarcomas óseos y de partes blandas constituyen un grupo muy heterogéneo de tumores en cuanto a localización anatómica, subtipos histológicos y comportamiento clínico1.
Los angiosarcomas comprenden menos del 1% de los sarcomas y el angiosarcoma óseo es una rara entidad que representa menos del 1% de todos los angiosarcomas. Asientan, sobre todo, en huesos largos de las extremidades pero en un 10% de los casos pueden localizarse a nivel vertebral2.
En general y debido a la extensión local del proceso la extirpación quirúrgica es impracticable o incompleta, por lo que su pronóstico es malo.
Presentamos el caso de un angiosarcoma epitelioide vertebral primario con el objetivo de contribuir a un mejor conocimiento de la enfermedad.
Caso clínicoMujer de 56 años de edad con antecedente personal de cirugía por hernia discal lumbar. Ingresó en abril 2008 en el servicio de traumatología procedente de otro centro para valoración por la unidad de cirugía de raquis.
Refería, desde las dos semanas previas, dolor dorsal sin trauma previo, que se acompañaba de paraparesia en extremidades inferiores.
La exploración física mostró: normalidad de pares craneales, disminución de fuerzas en psoas ilíacos, cuádriceps y tibiales; reflejos plantares en flexión.
La analítica no mostró datos de interés.
Se realizó radiografía de columna dorsal: aplastamiento y destrucción completa de D8. La resonancia nuclear magnética (RNM) mostró un colapso y aplastamiento de D8 con masa paravertebral que invadía el canal raquídeo y desplazaba el cordón medular, realzando con el contraste (fig. 1).
La gammagrafía ósea solo mostró hipercaptación en D8. Una TAC de abdomen con contraste fue normal. La TAC torácica informó: extensa lesión lítica en cuerpo vertebral y pedículo izquierdo de D8, con componente de masa de partes blandas a nivel paraespinal izquierdo y hacia el canal medular.
Con el diagnóstico de fractura patológica de causa tumoral y compromiso medular secundario, se decidió cirugía consistente en descompresión con laminectomía completa de D8, ampliada a mitad inferior de D7 y mitad superior de D9 más estabilización con sistema transpedicular D5 a D11.
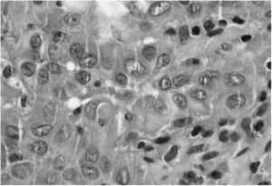
La descripción anatomopatológica fue: proliferación de células endoteliales epitelioides con citoplasma eosinófilo y núcleos vesiculares grandes con patrón sólido y vasoformativo. Áreas de necrosis y hemorragia (figs. 2 y 3). Las células tumorales expresaban vimentina, CD 31, CD 34 y en menor proporción factor viii. El índice de proliferación con Ki-67 fue moderado (30%) y el diagnóstico emitido, angiosarcoma epitelioide grado ii.
En el postoperatorio inmediato presentó empeoramiento neurológico con instauración de paraplejía.
Dada la amplia descompresión realizada y el buen funcionamiento de los drenajes, no se atribuyó el cuadro a problema compresivo, decidiéndose en principio una actitud conservadora.
La RNM mostró, además de los cambios posquirúrgicos, una lesión expansiva del muro posterior de D8. Entre la vertiente posterior del canal y área quirúrgica, se observaba una colección de baja señal en T1 y de señal intermedia en T2, sin captación del contraste, con colapso del cordón medular a este nivel entre dicha colección y la lesión expansiva dependiente del cuerpo vertebral.
El servicio de radioterapia decidió abstención terapéutica al considerar establecida la paraplejía.
Por nuestra parte y tras obtener su consentimiento informado, administramos con intención paliativa 3 ciclos de monoquimioterapia con adriamicina sin obtener ningún tipo de respuesta por lo que fue remitida a la unidad de cuidados paliativos para cuidados continuos. Su última visita a dicha unidad se produjo en agosto 2008, cuatro meses después de la cirugía.
DiscusiónEl angiosarcoma es un tumor vascular formado por células mesenquimales que tienden a la diferenciación angioblástica con formación de nuevos vasos; agresivos, en general, representan en su localización ósea menos del 1% de los tumores óseos primitivos2. Hasta el año 2004 se habían comunicado solo 16 casos de angiosarcomas vertebrales.
Su etiología es desconocida, habiéndose implicado factores tanto genéticos como ambientales, sin encontrar ninguno relevante en el caso descrito.
La mediana de edad, al diagnóstico, se sitúa entre los 60 y 71 años aunque fue algo menor en nuestra paciente. En la mayor serie comunicada (112 casos), predominó ligeramente en hombres2.
Pueden existir dos formas de presentación: multifocal o como en el caso expuesto, una lesión única de rápido crecimiento y tendente a la metastatización a distancia.
Desde el punto de vista anatomopatológico, la variedad epitelioide presenta pobre diferenciación y biología agresiva. Esta variedad fue descrita en su localización ósea, por vez primera, por Hasegawa et al3 en 1997. Tiene peor pronóstico que otros tumores vasculares y puede asociarse a diátesis hemorrágica al producir compuestos fibrinolíticos, complicación a tener en cuenta en el postoperatorio4. En nuestro caso, además de la extensión local del tumor, es posible que existiera hematoma posquirúrgico y que este contribuyera a la compresión medular irreversible.
El diagnóstico de la enfermedad se establece al excluir otros tumores primarios, por la presencia de masa tumoral en la vértebra y por el análisis histopatológico e inmunohistoquímico. En el caso que presentamos, excluimos la presencia de otro tumor primario por gammagrafía ósea y TAC, la RNM fue clarificadora, la histología típica de variedad epitelioide y la inmunohistoquímica característica.
La afectación por la variedad epitelioide, por otra parte, puede parecerse a la afectación metastásica de carcinoma siendo preciso realizar inmunohistoquímica para el diagnóstico diferencial. Como en el caso presentado, hubo positividad para marcadores endoteliales siendo CD-31 el más sensible5.
Entre los factores pronósticos descritos se encuentran: tamaño igual o superior a 5cm, alto grado, márgenes quirúrgicos positivos, localización que dificulte la extirpación completa y edad avanzada; varios de estos estaban presentes en nuestro caso.
El tratamiento en la enfermedad localizada consiste en la resección quirúrgica, con frecuencia seguida de radioterapia, pudiendo ser este un tratamiento exitoso6. En nuestro caso, la paciente inició sintomatología de lesión medular compresiva y en el momento de la intervención estaba en estadio D de Asia. La paraplejía establecida, no se atribuyó a causa compresiva debido a la amplia descompresión realizada y al buen funcionamiento de los drenajes. No se creyó oportuna la irradiación por parte del servicio de oncología radioterápica por considerar el cuadro irreversible.
Si la paciente no hubiese presentado este cuadro neurológico tan agudo, posiblemente, la actitud hubiese sido distinta con realización de angiografía para embolización del tumor previamente a la cirugía y aplicación tras el estudio de extensión de la escala de Tokuhashi.
Por otra parte, se recomienda con relativa frecuencia, la quimioterapia adyuvante (QTA), siendo los agentes más empleados la adriamicina y la ifosfamida, solos o en combinación7.
Para la enfermedad avanzada, estos mismos fármacos y otros como paclitaxel o doxorrubicina liposomal, consiguen buenas tasas de respuestas y mejoras de supervivencia libre de progresión (SLP) con aceptables toxicidades8. En fechas más recientes, agentes antiangiogénicos solos o en combinación con citostáticos tradicionales están formando parte del arsenal terapéutico9.
En el caso comentado, decidimos utilizar adriamicina en monoterapia ya que es considerado el fármaco estándar en primera línea con obtención de un 25% de respuestas10. Dado que su combinación con ifosfamida, si bien aumenta las respuestas, no mejora la supervivencia y es más tóxica, optamos por este citotóxico. Tras tres ciclos sin obtener respuesta objetiva, decidimos su retirada.





