Se reporta el caso de un paciente de 25 años, víctima de accidente de tránsito, con hallazgo imagenológico compatible con fractura bilateral de escápula sin indicación de manejo quirúrgico. Sin embargo, debido a la dificultad respiratoria y sospecha de contusión pulmonar se amplían estudios con angiografía por tomografía computarizada (angio-TC), que pone de manifiesto fracturas de los cuerpos vertebrales de T3 y T4 con invasión del canal medular, fractura de esternón y de arcos costales. Se decide realizar instrumentación posterior con corpectomía de T4 y aplicación de cilindro en dicho nivel. Las fracturas bilaterales de escápula son situaciones extremadamente raras, pueden ser de origen traumático (ya sea directo o asociado con electrocución) o secundarias a crisis epilépticas. El diagnóstico de esta situación debe obligar al médico a descartar lesiones torácicas, abdominales y del esqueleto axial que pueden ser de mayor importancia para el pronóstico funcional de los pacientes, como la mencionada en el caso descrito.
Nivel de evidencia clínica Nivel IV
The case is presented of a 25-year-old patient, who was a victim of a traffic accident, with an imaging finding compatible with bilateral scapula fracture without indication of surgical management. However, due to respiratory distress and suspicion of pulmonary contusion, further studies were performed using Computerized Angiography (CT angiography), observing fractures of the T3 and T4 vertebral bodies with invasion of the medullary canal, fracture of the sternum, and costal arches. It was decided to perform posterior instrumentation with corpectomy of T4, and the application of cylinder in that level. Bilateral scapular fractures are extremely rare, and may be traumatic (either direct or associated with electrocution), as well as secondary to epileptic seizures. The diagnosis of this condition should oblige the treating physician to rule out thoracic, abdominal and axial skeletal injuries that may be of greater importance for the functional prognosis of the patients, as mentioned in the case described.
Evidence level IV.
La fractura bilateral de la escápula es inusual1 ya que es un hueso irregular concéntrico con amplio arco de movilidad, además de estar recubierto por varias estructuras musculares que le proporcionan protección ante los impactos generados. El mecanismo más frecuente de producción de la fractura bilateral se encuentra relacionado con traumatismo por electrocución o por contracción muscular prolongada durante las crisis epilépticas y, en menor proporción, se asocia con mecanismos de alta energía en pacientes con politraumatismo2–4.
Aquellos pacientes que han sido víctimas de traumatismo grave se relacionan en el 85% con traumatismo de tórax, lesiones óseas en cuerpos vertebrales cervicales y torácicos, fracturas de miembros superiores, así como fracturas esternales y de arcos costales que pueden estar asociadas con lesiones pleuropulmonares, como neumotórax, hemotórax y contusión pulmonar5. Las lesiones en la escápula son infrecuentes. La fractura unilateral tiene una frecuencia entre el 3 y el 5% de las fracturas de la cintura escapular y el 1% de todas las fracturas, sin tener un reporte de las fracturas bilaterales6. En la revisión de la bibliografía se encontraron 19 casos de fractura bilateral de escápula y solo 10 asociados a traumatismo grave; esto tiene coherencia ya que en traumatismos de alta energía se da prioridad a las lesiones que comprometen la vida del paciente y se subestima las alteraciones en las extremidades superiores, por lo que en muchas ocasiones no son detectadas7,8. A su vez se han reportado 3 casos de fractura bilateral de escápula asociada con fracturas de cuerpos vertebrales a nivel torácico, diagnosticados en su valoración inicial mediante tomografía computarizada (TC). Se presenta un caso de un paciente con traumatismo de alta energía que presentó fractura bilateral de escápula asociada con fractura de cuerpos vertebrales no diagnosticada en su abordaje inicial. El manejo de la fractura bilateral de escápula fue conservador y se realizó procedimiento quirúrgico de las fracturas vertebrales; aunque la detección de estos hallazgos fue tardío, se previno un desenlace catastrófico en este paciente.
Reporte de casoPaciente masculino de 25 años, que sufrió accidente de tránsito en calidad de conductor de bicicleta y fue arrollado por un automóvil. Fue valorado en un centro de salud primario, donde fue estabilizado inicialmente y se documentó fractura bilateral de escápula en radiografías anteroposteriores de tórax.
El paciente recibió tratamiento conservador y por adecuada evolución se le dio el alta hospitalaria. Pese al tratamiento inicial, presentó exacerbación del dolor a nivel torácico y disnea progresiva, por lo que consultó a nuestra institución; tras la evaluación inicial, se puso de manifiesto en el examen físico dolor a la palpación de ambas escápulas con limitación para la movilidad de ambos hombros, sin presentar alteración en la fuerza, sensibilidad de las extremidades superiores e inferiores, ni otros síntomas asociados.
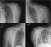
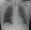
Se solicitaron radiografías de hombro y escápula bilaterales, en las cuales se observaron fracturas del cuerpo de la escápula izquierda con conminución, leve desplazamiento y angulación, además de fractura del cuerpo de la escápula derecha con desplazamiento sin angulación significativa (figs. 1–2). Por sospecha de contusión pulmonar se solicitó angiografía por tomografía Computada (angio-TC), la cual descartó alteraciones a nivel pulmonar, pero puso de manifiesto fracturas de los cuerpos vertebrales de T3 y T4 por acuñamiento con invasión del canal medular en T4, fracturas de las apófisis espinosas de T2 y T3, y fractura transversal no deprimida del cuerpo del esternón (figs. 3–5).
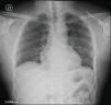
Las fracturas de escápula se trataron de manera conservadora; requirió intervención del traumatismo de la columna torácica mediante la realización de corpectomía de T4 con la aplicación de un cilindro intercorporal y fijación transpedicular con instrumentación posterior por el Servicio de Neurocirugía (fig. 6). El paciente evolucionó adecuadamente sin presentar síntomas neurológicos ni otros hallazgos que impidieran darle el alta hospitalaria.
DiscusiónLa fractura bilateral de escápula es excepcional9–12. El mecanismo de traumatismo más frecuente es secundario o indirecto13,14 y la localización más frecuente de las fracturas bilaterales de escápula es en el cuerpo de esta15 puesto que las cargas axiales generadas en el traumatismo de alta intensidad recaen sobre el cuerpo escapular que presenta menor cobertura muscular y poco sustrato óseo, lo que genera mayor susceptibilidad de fracturas a este nivel. El caso presentado tiene el mismo patrón de fractura descrito en la bibliografía y compromete ambos cuerpos escapulares.
El diagnóstico se establece generalmente con radiografías simples de hombro y escápula, lo que en ocasiones no es suficiente debido a la mala técnica en la toma de la radiografía inicial, a la interposición de estructuras vecinas o a la asociación de varias lesiones regionales, como de clavícula, fractura de costillas o lesiones pleuropulmonares que tienden a ocultar tanto clínica como radiológicamente las lesiones a este nivel16,17. Por ello, se prefiere la realización de tomografías computarizadas de escápula, en las cuales se observan diferentes lesiones óseas articulares o extraarticulares18–22. En la bibliografía se han reportado alrededor de 19 casos de fractura bilateral de escápula, 10 de los cuales son secundarios a causa traumática. El bajo reporte de estas lesiones se debe al hecho de que pasan inadvertidas por el enfoque primordial de lesiones mayores.
En este caso, las fracturas vertebrales torácicas no se diagnosticaron inicialmente puesto que no presentaban otros síntomas asociados, por lo que se consideró como un traumatismo escapular bilateral sin compromisos de otras estructuras óseas. Solo se detectaron cuando presentó síntomas respiratorios y, ante la sospecha de contusión pulmonar, se realizó la toma de angio-TC y se observaron lesiones presentadas en los cuerpos vertebrales torácicos.
Respecto al tratamiento de los pacientes que presentan fracturas de escápula, se han manejado históricamente de manera conservadora con inmovilización hasta obtener consolidación ósea; en la actualidad, no hay indicaciones precisas para realización de procedimiento quirúrgico. Sin embargo, Peter et al. sugieren que el tratamiento quirúrgico depende de la localización de la lesión, el tipo de trazo, el desplazamiento y las fracturas asociadas de miembros superiores. Específicamente, dentro de los criterios establecidos se encuentran el desplazamiento medial-lateral de 10-25 mm, deformidades angulares entre 25 y 45°, medialización de más de 25 mm, fracturas intraarticulares con brechas de 2-10 mm, compromiso del 20-30% de la superficie articular o inestabilidad glenohumeral, fracturas conminutas con fragmentos grandes que penetren en la cavidad torácica y disrupción del complejo suspensorio superior del hombro por una doble lesión. En el caso de este paciente, no cumple con las indicaciones quirúrgicas, por lo que se dio tratamiento conservador y, aunque presentó fracturas asociadas en las vértebras torácicas, estas no presentaron alteraciones motoras ni sensitivas, ni produjeron mortalidad; sin embargo, se ha documentado que el pronóstico general del paciente politraumatizado con fractura de escápula puede verse afectado por la asociación de lesiones en el tórax y la columna vertebral. Algunos autores asocian la existencia de fracturas múltiples de escápula con un peor pronóstico por la existencia de lesiones más graves y una tasa de mortalidad más alta respecto a los pacientes que no las presentaron.
ConclusiónAnte la existencia de un traumatismo de moderado a grave en el hombro que implique fractura de escápula unilateral o bilateral, no se debe pasar por alto las lesiones a nivel pulmonar, abdominal o espinal de mayor gravedad, ni se debe subestimar la realización de un examen físico exhaustivo y la observación clínica pertinente, y estudios diagnósticos avanzados para descartar dichas lesiones que puedan comprometer la vida o la funcionalidad de los pacientes. En consecuencia, no deben considerarse como lesiones aisladas menores, sino como indicadoras de gravedad y como signos de alarma en pacientes politraumatizados.
Responsabilidades éticasProtección de personas y animalesLos autores declaran que para esta investigación no se han realizado experimentos en seres humanos ni en animales.
Confidencialidad de los datosLos autores declaran que han seguido los protocolos de su centro de trabajo sobre la publicación de datos de pacientes.
Derecho a la privacidad y consentimiento informadoLos autores han obtenido el consentimiento informado de los pacientes y/o sujetos referidos en el artículo. Este documento obra en poder del autor de correspondencia.
Conflicto de interesesLos autores declaran no tener ningún conflicto de intereses.
Al centro de investigación del hospital por su gran ayuda y colaboración en cada momento de consulta y soporte en este trabajo de investigación.

