Se describe el caso de un paciente masculino de 32 años de edad, quien consulta al servicio de urgencias con historia clínica del síndrome de la vena cava superior, en el estudio de la angiotomografía pulmonar, se demuestra embolismo pulmonar izquierdo, trombosis de la vena yugular interna derecha y confluente yugulo subclavio. No hay evidencia de asociación con neoplasia, infecciones o enfermedades del tejido conectivo, siendo el único factor de riesgo asociado para la trombosis, hiperviscocidad (tríada de virchow) por poliglobulia.
The case of a 32-year old male patient who consulted the ER with a clinical record of superior vena cava syndrome is described. CT pulmonary angiography study reveals left pulmonary embolism, thrombosis in right-sided internal jugular vein and subclavian-jugular confluence. There is no evidence of association with neoplasms, infections or connective tissue disease, hyperviscosity (Virchow's triad) due to polyglobulia being the only risk associated to thrombosis.
El síndrome de la vena cava superior se caracteriza por la obstrucción parcial o completa de la vena cava superior1, de etiología principalmente neoplásica, no obstante, en los últimos años se aprecia un aumento progresivo de las causas benignas en relación con el uso de los dispositivos vasculares2.
Para nuestro conocimiento, no existen grandes asociaciones con los eventos trombóticos sin estar asociado a la neoplasia y adicionalmente, que sean tan extensos, como es el caso de la presentación asociada la tromboembolia pulmonar, limitando esta presentación asociada a pocos reportes de casos3.
Presentación del casoUn paciente masculino de 32 años de edad, sin antecedentes clínicos de importancia, consulta al departamento de urgencias por una sensación de masa en el cuello de 10 días de evolución, con crecimiento progresivo sin limitar la deglución, asociada a rubor facial, edema palpebral y disnea de pequeños esfuerzos. En la revisión por sistemas, no hay datos adicionales. Es un paciente obeso, somnoliento, bradipsíquico, con taquipnea, uso de músculos intercostales, desaturación al ambiente (pulsoximetría de 87%), pletórico, con inyección conjuntival, edema palpebral y en los labios. Se evidencia en el cuello anterior la presencia de aumento del diámetro en la zona 3, de consistencia dura no adherida a planos profundos, no doloroso, no se palpan adenopatías ni soplo carotídeo.
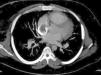
Inicialmente, se considera que cursaba con angioedema por lo que se inicia manejo con antihistamínico y corticoide, oxígeno suplementario, con lo cual se obtiene mejoría parcial, por lo que se establece como diagnóstico diferencial del síndrome de la vena cava superior. Entre los hallazgos positivos se encontró hipercapnia (PcO21 37,4mm Hg), gradiente alvéolo arterial aumentado (50,7), poliglobulia (Hb2 20,6, HCto3 65%) y LDH4 elevada (460). En la tomografía del cuello se descartan masas, se complementa el estudio con la angiotomografía del tórax, la cual evidencia un gran trombo oclusivo que compromete la vena cava superior, con extensión a su desembocadura en la aurícula derecha, tromboembolia pulmonar con compromiso segmentario en el lóbulo inferior izquierdo asociado a consolidaciones parenquimatosas, probablemente, por infartos pulmonares, probable hipertensión pulmonar precapilar y dilatación tanto auricular como ventricular derecha (figs. 1 y 2).
El ecocardiograma transtorácico muestra severa dilatación de las cavidades derechas, con función sistólica moderadamente comprometida y signos indirectos de hipertensión pulmonar, los marcadores de injuria del miocardio evidencian péptido natriurético cerebral de 109pg/ml, troponina I de alta sensibilidad de 0,050ng/ml (ligeramente positiva). El doppler venoso de los miembros superiores evidencia trombosis venosa profunda de la vena yugular interna derecha y confluente yugulo subclavio sin recanalizar. Se solicita gammagrafía V/Q5 que confirma la tromboembolia pulmonar izquierdo crónico.
Durante la estancia en el hospital, se inicia manejo anticoagulante con la heparina de bajo peso molecular y la warfarina, se realizan los estudios iniciales de trombofilia que resultan negativos (ANA, IgG y M cardiolipinas)6, aún pendientes los jak 2 y la resistencia a la proteína C, y homocisteína, alta probabilidad para el síndrome de apnea/hipopnea a estudio (Epworth 22 - escala de Berlín alto riesgo), se da egreso para continuar manejo y estudio ambulatorio.
DiscusiónEl médico escocés William Hunter, describió por primera vez el síndrome de la vena cava superior en el año 1957 en un paciente con aneurisma aórtico sifilítico1, tiempo en que las infecciones (histoplasmosis, tuberculosis, aspergilosis, blastomicosis, nocardiosis) eran la primera causa de obstrucción de la vena cava superior. Posteriormente, las enfermedades neoplásicas, especialmente las pulmonares, alcanzaron el 90% de las causas principales4, no obstante, en los últimos años, se han incrementado las causas benignas en relación a los eventos trombóticos por los dispositivos vasculares2, entre otras causas benignas, las enfermedades del tejido conectivo y la policitemia.
Características clínicas como el enrojecimiento y el edema facial, con edema periorbital o estridor, hacen difícil distinguir entre el síndrome de la vena cava superior con factores de riesgo desconocidos o un cuadro de angioedema idiopático o anafilaxia5, como ocurre en nuestro paciente.
La presentación clínica del síndrome de la vena cava superior, está en relación a la obstrucción del flujo de la vena cava superior y el subsecuente desarrollo de las colaterales en la pared del tórax, presentándose edema facial en el cuello y los miembros superiores, disnea, tos, síncope entre otros6, y su asociación con el embolismo pulmonar no es muy frecuente7–10, siendo el diagnóstico en algunos casos hecho por la autopsia11–13.
Aunque el diagnóstico del síndrome de la vena cava superior es clínico, la evaluación inicial de todo paciente debe incluir una radiografía de tórax, en nuestro paciente era normal, siendo así en hasta el 16% de los casos14. La tomografía computarizada del tórax, ofrece mayor información diagnóstica, dado que puede determinar si una obstrucción se debe a la compresión externa o debido a la trombosis7.
Como complicaciones se han descrito: el edema laríngeo, el edema cerebral y el bajo gasto cardiaco1, casos en los cuales el tratamiento es una emergencia e incluye los corticoides y los diuréticos, aunque su eficacia es cuestionable.
Nuestro paciente no presentaba síntomas B u otras características clínicas que sugirieran enfermedad neoplásica concurrente, tampoco los estudios imagenológicos adicionales. Sin embargo, estaba poliglobúlico, lo cual se ha descrito como factor de riesgo para la trombosis por favorecer la estasis vascular. El estudio de la poliglobulia, se debe realizar cuando encontramos un hematocrito superior al 48% en las mujeres o del 51% en los varones, en un mínimo de 2 determinaciones separadas. La causa más frecuente de la misma es la hipoxia secundaria a las enfermedades cardiopulmonares o las enfermedades mieloproliferativas como la policitemia vera, por tanto, hay que buscar los síntomas y los signos de dichas afecciones y dirigir de esta forma los estudios adicionales.
En nuestro paciente, no es claro cuál fue la causa del síndrome de la vena cava superior asociado al embolismo pulmonar, no obstante, consideramos que nuestro paciente, cursa con embolismo pulmonar crónico por la gammagrafía V/Q positiva, en relación a la hiperviscosidad (tríada de virchow) por la poliglobulia, que está asociada al síndrome de apnea del sueño sin manejo, que condicionó la hipoventilación crónica. Si bien, como se ha mencionado, la poliglobulia puede ser un factor de riesgo, no encontramos reportes de casos al respecto.
Considerando que las patologías neoplásicas pueden debutar inicialmente con los fenómenos trombóticos, no se descarta que posteriormente, se documente alguna entidad oncológica.
ConclusiónLas causas no oncológicas del síndrome de la vena cava superior continúan en aumento, incluyendo las asociaciones con la trombosis extensa de miembros superiores y yugulares que pueden desencadenar incluso la tromboembolia pulmonar.
Descripciones adicionales son necesarias con el fin de establecer las predicciones de la tromboembolia pulmonar asociada síndrome de la vena cava superior para aumentar el diagnóstico premortem de este síndrome.
Responsabilidades éticasProtección de personas y animalesLos autores declaran que para esta investigación no se han realizado experimentos en seres humanos ni en animales.
Confidencialidad de los datosLos autores declaran que han seguido los protocolos de su centro de trabajo sobre la publicación de datos de pacientes.
Derecho a la privacidad y consentimiento informadoLos autores declaran que en este artículo no aparecen datos de pacientes.
FinanciaciónApoyo financiero no requerido.
Conflicto de interesesLos autores declaran no tener ningún conflicto de intereses.



