La vertebroplastia es un procedimiento terapéutico que se usa para reparar lesiones vertebrales. Por su parte, el metilmetacrilato, es un cemento óseo que se inyecta en el hueso esponjoso del cuerpo vertebral durante dicho procedimiento. Se expone el caso de una paciente de sexo femenino de 59 años, con antecedente de artrodesis lumbar, quien consultó por lumbalgia tipo punzada, posterior a caída desde su propia altura. Al examen físico se refirió dolor en región torácica sin signos clínicos de radiculopatía e imposibilidad para la movilización. Los estudios imagenológicos reportaron fractura por acuñamiento de cuerpos vertebrales T12-L1. Se hizo cambio de material de artrodesis que requirió uso adicional de metilmetacrilato para fijación de tornillos canulados. Dos horas posteriores al procedimiento quirúrgico refirió dolor torácico, disnea y taquipnea por lo cual se solicitaron estudios adicionales. Por hallazgos en la radiografía de tórax, se sospechó embolia pulmonar secundaria a metilmetacrilato y por tanto se solicitó tomografía computarizada de tórax. Fue trasladada a la unidad de cuidados intensivos; luego de 72 horas de estancia allí, se hizo ecocardiograma que mostró cavidades derechas dilatadas, hipoquinesia del ventrículo derecho con deterioro de la sístole, insuficiencia tricúspide e hipertensión pulmonar moderada. Se indicó tromboprofilaxis por tres meses y seguimiento por servicios de Medicina interna y Neurocirugía.
Vertebroplasty is a therapeutic procedure that is used to repair spinal lesions. For its part, methyl acrylate is a bone cement that is injected into the spongy bone of the vertebral body during this procedure. The case is presented of a 59 year-old woman with a history of a lumbar arthrodesis, who consulted due stabbing-type lower back pain, after a fall from her own height. On physical examination, she had pain in the thoracic region with no clinical signs of radiculopathy, and impossibility for movement. The imaging studies reported a fracture due to wedging of vertebral bodies T12-L1. A change was made in the arthrodesis material, which required the additional use of methyl acrylate to fix the cannulated screws. Two hours after the surgical procedure, she referred to chest pain, dyspnoea and tachypnoea, for which further studies were requested. Due to the findings in the chest x-ray, a pulmonary embolism induced by methyl acrylate was suspected, for which a computed tomography scan of the chest was requested. She was transferred to the Intensive Care Unit. After 72hours of admission there, an echocardiogram was performed that showed dilated right cavities, hypokinesis of the right ventricle with systolic dysfunction, tricuspid insufficiency, and moderate pulmonary hypertension. Thromboprophylaxis was prescribed for three months and follow-up by the Internal Medicine and Neurosurgery departments.
El metilmetacrilato o cemento óseo, es un compuesto volátil, que se inyecta mediante una aguja en el cuerpo vertebral, a través de los pedículos y sirve para la fijación de los componentes protésicos al hueso. Se usa, así mismo, en procedimientos neuroquirúrgicos como la vertebroplastia (artrodesis)1.
La vertebroplastia percutánea es un procedimiento habitualmente común en procesos de destrucción o lesión vertebral, tales como fracturas vertebrales, las cuales pueden estar asociadas a distintos padecimientos de origen infeccioso, metabólico, tumoral, traumático, entre otros2.
Se debe tener en cuenta que estas intervenciones quirúrgicas acarrean complicaciones complejas como lesión de vertebras adyacentes, contusiones de médula espinal, persistencia de dolor y otras derivadas de la fuga del material de cementación, que pueden conducir a la obstrucción de un vaso del sistema circulatorio con posibles repercusiones posteriores3.
La extravasación del cemento óseo se produce en cerca del 39% de los pacientes con vertebroplastia, pero solo un 5% desarrolla embolia pulmonar4, la cual consiste en la obstrucción del tronco de la arteria pulmonar o algunas de sus ramas5 y es la tercera causa de muerte cardiovascular después de la enfermedad coronaria y los ataques vasculares cerebrales. Desde el punto de vista clínico, pueden observarse síntomas leves como dolor torácico, hasta complicaciones y alteraciones sistémicas que conllevan hipotensión arterial y/o choque cardiogénico; esta repercusión hemodinámica dependerá no sólo de la magnitud de la obstrucción, sino del estado cardiopulmonar previo del paciente6.
Se expone el caso de una paciente con embolia pulmonar a causa de fuga de metilmetacrilato posterior a artrodesis torácica.
CasoPaciente de 59 años de edad, de sexo femenino, procedente de Tunja, ama de casa, con antecedente de artrodesis lumbar de dos años de duración. Consultó por dolor en región torácica y lumbar de intensidad severa que inició posterior a caída desde su propia altura. Durante el examen físico se evidenció taquicardia, dolor a la palpación y leve deformación en región torácica, fuerza muscular disminuida en miembros inferiores (3/5) y dificultad para la movilización. Por lo anterior se solicitaron estudios imagenológicos (fig. 1).
Tomografía computarizada de columna vertebral, corte sagital, en la que se evidencian tornillos transpediculares en vértebras torácicas 10 – 11 y lumbares L2 – L3; hipercifosis residual a nivel de fractura por acuñamiento en los cuerpos vertebrales T12-L1; disminución de la altura del cuerpo vertebral L3; espondilosis de columna torácica y lumbar y disminución de la matriz ósea.
Mediante la imagen se confirmó fractura de los cuerpos vertebrales, por lo que el servicio de Neurocirugía consideró necesario realizar una nueva intervención quirúrgica en donde se cambió el material de artrodesis y se usó metilmetacrilato para la fijación de los materiales protésicos utilizados durante la misma, esto dado por la disminución de la densidad ósea vertebral.
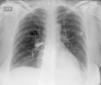
Dos horas después se atendió llamado de una familiar quien refirió que la paciente presentaba dolor torácico y dificultad para respirar. Al examen físico se halló taquicardia, taquipnea y disminución de la saturación de oxígeno, motivo por el cual fue valorada por el servicio de Medicina interna, que, ante sospecha de tromboembolia pulmonar, solicitó electrocardiograma que evidenciaba taquicardia sinusal con desviación del eje cardiaco y signos de sobrecarga en cavidades derechas; así mismo se ordenó radiografía de tórax (fig. 2).
Por el cuadro clínico y dados los hallazgos de la imagen radiográfica se sospechó embolia pulmonar de material quirúrgico (metilmetacrilato), así que se solicitó tomografía computarizada (TC) de tórax (fig. 3) en la que se confirmó tal diagnóstico. Tras persistir con deterioro del estado hemodinámico, se inició manejo vasopresor y ventilación mecánica invasiva (VMI) además de traslado a la unidad de cuidados intensivos (UCI).
Tomografía de tórax que muestra hallazgos compatibles con cuerpo extraño con densidad metálica a nivel del hilio pulmonar derecho en relación con embolia pulmonar aguda que compromete la arteria lobar superior izquierda y algunas ramas subsegmentarias; además derrame pleural asociado a áreas de atelectasia pasiva con patrón de vidrio deslustrado bilateral, más artrodesis de la columna dorso-lumbar.
Permaneció en UCI durante 72 horas durante las cuales tuvo evolución clínica y hemodinámica adecuada, lográndose retirar la VMI. Posterior a ello se decidió realizar ecocardiograma transtorácico en el que se evidenciaron cavidades derechas moderadamente dilatadas, hipoquinesia de la pared libre del ventrículo derecho con deterioro de la función sistólica, insuficiencia de válvula tricúspide grado II/IV e hipertensión pulmonar moderada (presión arteria pulmonar 61mmHg); dada la evolución favorable de la paciente se trasladó nuevamente a habitación en piso y se ordenó radiografía de tórax de control (fig. 4).
El servicio de Medicina interna decidió iniciar tromboprofilaxis con heparina de bajo peso molecular durante la estancia hospitalaria, puesto que la paciente presentaba sangrado de la herida en el sitio operatorio. Inició un proceso de rehabilitación intrahospitalaria, en el que fue mejorando la fuerza muscular y comenzó la deambulación; además, toleró el retiro de oxígeno suplementario. Se dio de alta con dosis anticoagulante de heparina de bajo peso molecular.
Continúa en seguimiento ambulatorio a cargo del servicio de Neurocirugía y Medicina interna; hasta el momento no se reporta deterioro hemodinámico y la funcionalidad está conservada y requiere oxígeno suplementario.
DiscusiónLa vertebroplastia consiste en la inyección de metilmetacrilato dentro de un cuerpo vertebral afectado, con el objetivo de dar estabilidad y fuerza durante la inserción de material protésico, pero ¿Cómo se puede explicar anatómicamente el paso de una sustancia desde la vértebra hasta la arteria pulmonar?, mediante el sistema venoso cerebroespinal, también conocido como plexo de Batson7.
Las venas vertebrales constituyen un sistema plexiforme carente de válvulas con un patrón longitudinal. Son paralelas y se comunican con la vena cava superior e inferior. El plexo se extiende por toda la longitud de la columna vertebral y se une con el terminal craneal en los senos durales8. Mediante la anastomosis, el plexo venoso vertebral se comunica con el sistema venoso sistémico, incluido el sistema ácigos de las venas (y por tanto, con la vena bronquial posterior y las venas pleurales parietales), las venas renales siniestras y suprarrenales, el sistema venoso portal y las venas cavas inferior y superior, proporcionando así un sistema venoso que no solo circunvala sino que también comunica con el sistema venoso sistémico que consta de válvulas9. El cemento óseo puede transmitirse desde la espina dorsal o la pelvis a través del sistema venoso cerebroespinal10, produciendo embolias a distintos órganos como el cerebro11, el pulmón, entre otros; además puede llegar a producir dolor por compresión del canal espinal y las raíces nerviosas por extrusión del material utilizado12.
Se han encontrado varios factores que pueden aumentar el riesgo de embolia pulmonar por metilmetacrilato; entre estos es posible encontrar polimerización insuficiente del material en el momento de la inyección, posición incorrecta de la aguja y llenado excesivo del cuerpo vertebral que puede causar migración de cemento en el sistema venoso; adicionalmente, el riesgo aumenta con el número de vértebras tratadas. Se recomienda como método de prevención limitar el volumen de cemento inyectado de 4 a 6ml por cuerpo vertebral; la inyección debe detenerse tan pronto como el personal se dé cuenta de que hay extravasación de cemento13. Se recomienda ordenar una radiografía de tórax rutinaria después del procedimiento para la detección precoz de embolia pulmonar por cemento14.
Respecto al tratamiento, pese a que el material embolizado no es de origen trombótico, existe consenso en la administración inmediata de heparina no fraccionada con el fin de prevenir la progresión del infarto pulmonar (salvo que existan contraindicaciones), para evitar así la formación y la extensión de trombos sobre el material embolizado; la duración óptima de este tratamiento se desconoce. En casos de embolia pulmonar con disfunción ventricular derecha se ha comunicado la embolectomía quirúrgica del cemento de las arterias pulmonares y de las cavidades derechas15.
ConclusiónLa embolia pulmonar por metacrilato es una complicación sistémica relativamente infrecuente tras la realización de vertebroplastia percutánea. Sin embargo, los pacientes sometidos a este procedimiento deberían ser evaluados cuidadosamente desde el punto de vista respiratorio y cardiovascular tras su realización, especialmente aquellos con síntomas indicativos. Es conveniente, además, ordenar una radiografía de tórax en todos los casos y posteriormente y según los hallazgos, una tomografía computarizada contrastada de tórax sobre todo en quienes se detectan fugas de cemento durante el procedimiento.
Responsabilidades éticasProtección de personas y animalesLos autores declaran que para esta investigación no se han realizado experimentos en seres humanos ni en animales.
Confidencialidad de los datosLos autores declaran que han seguido los protocolos de su centro de trabajo sobre la publicación de datos de pacientes.
Derecho a la privacidad y consentimiento informadoLos autores declaran que en este artículo no aparecen datos de pacientes.
FinanciaciónNinguna.
Conflicto de interesesNinguno.





