Las metástasis de cualquier origen son una causa muy infrecuente de pancreatitis aguda. Se presenta el caso de una paciente con un episodio de pancreatitis aguda como manifestación inicial de un carcinoma microcítico de pulmón metastásico. Es importante excluir la presencia de tumores malignos en aquellos casos de pancreatitis aguda sin agente etiológico claro para mejorar el pronóstico de estos pacientes. Se revisó la literatura al respecto.
Metastases of different any origin that induceare a rare cause of acute pancreatitis are not frequent. We report the case 5 of a patient with an acute pancreatitis episode as the initial manifestation of an extended small cell lung carcinoma. The exclusion of malignancy in cases of pancreatitis of unknown origin is clinically relevant to improve the prognosis of these patients. We review theA literature review on about this topic is also presented.
Las metástasis pancreáticas del carcinoma de pulmón son relativamente frecuentes. Sin embargo, es muy rara la pancreatitis aguda como síntoma inicial de un carcinoma de pulmón. El tipo histológico de tumor de pulmón más frecuentemente relacionado con la pancreatitis aguda inducida por metástasis es el carcinoma microcítico, también conocido como oat-cell. Es importante conocer esta presentación, pues el diagnóstico temprano es fundamental para poder establecer un tratamiento quimioterápico precoz y mejorar su pronóstico.
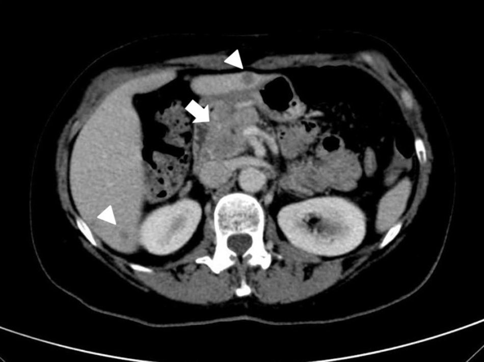
Observación clínicaMujer de 54 años que acudió al servicio de urgencias por dolor epigástrico agudo, astenia y pérdida de peso no cuantificada. Entre sus antecedentes personales destacaban: fumadora de 30 paquetes/año y consumo de alcohol de 50 gramos/semana; hipotiroidismo, y colecistectomía laparoscópica por pólipo vesicular benigno de 12mm, sin litiasis en la pieza quirúrgica. Su historia familiar únicamente incluía la muerte de un hermano por cáncer de pulmón de estirpe histológica desconocida. En la exploración física se objetivó el dolor epigástrico sin otras anormalidades. En las determinaciones de laboratorio destacaban niveles elevados de amilasa (444 U/L), lipasa (1496 U/L) y proteína C reactiva (9mg/dL), con valores normales de los marcadores tumorales a excepción de enolasa (85,5 ng/mL). La ecografía abdominal reveló una lesión focal hipoecoica en la cabeza del páncreas y múlitples lesiones focales hepáticas sugestivas de metástasis. La tomografía computarizada (TC) confirmó estos hallazgos (fig. 1). Además, mostró una lesión espiculada y heterogénea parahiliar en pulmón izquierdo sugestiva de tumor primario pulmonar (fig. 2). En la ecoendoscopia se visualizaron tres lesiones hipoecoicas de 12,5-14,5mm en la cabeza del páncreas que dilataban el conducto pancreático principal (fig. 3). El estudio anatomopatológico de estas lesiones sugirió metastasis de un carcinoma microcítico de origen pulmonar. La broncoscopia reveló una lesión en la carina que se extendía al bronquio principal izquierdo cuyo análisis histológico confirmó el diagnóstico de presunción de un carcinoma tipo oat-cell pulmonar (fig. 4). El episodio de pancreatitis aguda fue manejado de forma conservadora con buena evolución. Posteriormente, la paciente recibió quimioterapia. El seguimiento se mantuvo meses hasta que la paciente falleció.
DiscusiónSe ha presentado el caso de una pancreatitis aguda inducida por metástasis como manifestación inicial de un cáncer de células pequeñas de pulmón. El primer caso de esta causa rara de pancreatitis aguda fue descrito en 19761. Las causas más frecuentes de pancreatitis aguda son la litiasis biliar (35-40%) y el abuso de alcohol (30%)2. Sin embargo, existen muchas otras causas menos frecuentes (hipercalcemia, hipertrigliceridemia, fármacos, etc); algunas de ellas con un pronóstico infausto como es el caso de las metástasis pancreáticas.
La incidencia y la prevalencia de las metástasis de origen pulmonar en el páncreas es difícil de establecer, pero algunos estudios en autopsias mostraron una frecuencia de 20-40%3,4. La mayoría de las metástasis pancreáticas son asintomáticas. De hecho, la pancreatitis aguda es una presentación muy infrecuente con una incidencia estimada entre 3,3-7,5% de todas las metástasis pancreáticas de origen pulmonar5. La localización más frecuente de las metástasis es la cabeza pancreática6 y el subtipo histológico de cáncer de pulmón más comúnmente relacionado con esta presentación es el carcinoma de células pequeñas (oat-cell). Se ha postulado que los tumores primarios del pulmón izquierdo metastatizan con más frecuencia al páncreas. Aunque la razón para este hecho no está completamente evidenciada, algunos autores han sugerido que las variantes anatómicas del drenaje linfático pueden estar involucradas7,8.
La pancreatitis aguda debida a metástasis pancreática puede ser la primera manifestación o aparecer durante el curso de la enfermedad. Los mecanismos patogénicos involucrados incluyen: compresión; infiltración directa del tumor en el parénquima o conductos pancreáticos y/o colédoco distal; hipótesis metabólica/hormonal debida a hipercalcemia secundaria a hipersecreción de ACTH o pseudoPTH9, y afectación vascular10. Las manifestaciones clínicas son similares a la pancreatitis aguda por otras causas. La ausencia de sintomatología respiratoria es bastante común11 debido a la agresiva naturaleza del carcinoma microcítico pulmonar.
La ecografía abdominal es usualmente la primera técnica de imagen realizada en la evaluación de un episodio de pancreatitis aguda. Hay que tener en cuenta que limitaciones como la variabilidad interobservadora y la presencia de gas pueden dificultar la valoración del páncreas.
La TC es la prueba diagnóstica más apropiada y accesible para evaluar el páncreas12. Con estas técnicas se pueden detectar lesiones focales pancreáticas que sugieran el origen maligno del episodio de pancreatitis aguda. Sin embargo, el estudio histopatológico de las lesiones pancreáticas es necesario para distinguir el origen primario versus metastásico. La mala situación clínica de estos pacientes condiciona a menudo dificultades para realizar pruebas diagnósticas invasivas, por lo que es frecuente no disponer de confirmación anatomopatológica13.
El manejo de la pancreatitis aguda debido a metástasis de un carcinoma microcítico de pulmón es usualmente conservador y de soporte. En la mayoría de los casos, el tratamiento quimioterápico comienza una vez resuelto el episodio de pancreatitis aguda, especialmente si existen datos de gravedad. Si la pancreatitis aguda es leve, la quimioterapia puede empezar antes de la resolución completa3,14. Los factores pronósticos que predicen una mejor supervivencia de pacientes con metástasis de un carcinoma oat-cell en el páncreas son un alto estado funcional ECOG al diagnóstico y el inicio precoz de la quimioterapia15, y esta es la razón por la que se debe descartar malignidad en aquellos casos de pancreatitis de origen desconocido.
Responsabilidades éticasProtección de personas y animalesLos autores declaran que para esta investigación no se han realizado experimentos en seres humanos ni en animales.
Confidencialidad de los datosLos autores declaran que en este artículo no aparecen datos de pacientes.
Derecho a la privacidad y consentimiento informadoLos autores declaran que en este artículo no aparecen datos de pacientes.
Conflicto de interesesLos autores declaran no tener ningún conflicto de intereses.






