Los odontomas están compuestos de esmalte, dentina, cemento y tejido pulpar. Histológicamente se clasifican en 2 grupos: compuestos y complejos, mientras que clínicamente se clasifican en 3 tipos: odontoma central (intraóseo), odontoma periférico (extraóseo o de los tejidos blandos) y odontoma erupcionado. Epidemiológicamente son reportados como los tumores odontogénicos más frecuentes, sin embargo la erupción de este tipo de lesión es poco común, produciéndose en el 1,6% de los casos. Por lo general son asintomáticos, siendo comúnmente un hallazgo radiográfico, y en algunos casos pueden estar asociados con alteraciones de la erupción dentaria. Este estudio corresponde a un caso clínico de un odontoma complejo de gran tamaño que erupciona en la cavidad oral asociado a un molar retenido.
Odontomas consist of enamel, dentin, cementum, and pulp tissue. Histologically, they are classified into 2 groups: compounds and complexes. They are also clinically classified into 3 types: Central odontoma (intraosseous), peripheral odontoma (extraosseous or soft tissue odontoma) and erupted odontoma. Epidemiologically they are reported as the most frequent odontogenic tumor, however, the eruption of this type of lesion is rare, and odontoma occurs only in 1.6% of cases.
Odontomas are usually asymptomatic and commonly are radiographic findings, and in some cases are associated with changes in tooth eruption patterns. A case of a large complex odontoma that erupted into the oral cavity associated with a retained molar is presented and discussed.
Los odontomas son hamartomas compuestos por esmalte, dentina, cemento y algunas veces tejido pulpar. Son tumores odontogénicos benignos que presentan un crecimiento lento y comportamiento no agresivo1. Los odontomas son los tumores más frecuentes de los maxilares y representan, según diversas fuentes, entre un 22% y un 67% de todos los tumores odontogénicos de los maxilares2–5. Las lesiones son más frecuentes en niños y adolescentes, y no se reportan diferencias importantes entre hombres y mujeres2,3. Según la última clasificación de la Organización Mundial de la Salud, de 2005, existen histológicamente 2 tipos de odontomas: odontomas complejos y odontomas compuestos6. En el odontoma complejo se encuentran todos los tejidos dentarios dispuestos en un patrón desordenado, mientras que en el odontoma compuesto estos se estructuran de forma ordenada simulando dientes7.
Los odontomas compuestos se ubican generalmente en el sector anterior del maxilar, sobre las coronas de los dientes no erupcionados, o entre las raíces de los dientes erupcionados. Radiográficamente son lesiones uniloculares y contienen múltiples estructuras radioopacas parecidas a dientes en miniatura llamados dentículos8.
Por otro lado, los odontomas complejos se encuentran con mayor frecuencia en el sector mandibular posterior, sobre dientes impactados, y pueden alcanzar varios centímetros de tamaño4. Radiográficamente estas lesiones se observan como masas radioopacas, sólidas, rodeadas por una delgada zona radiolúcida. Estas lesiones son uniculares y están separadas del hueso normal por una corticalización bien definida4.
En casos excepcionales se produce la erupción espontánea de un odontoma en la cavidad oral, es decir, la exposición del tumor a través de la mucosa oral. Esta situación puede causar dolor, inflamación de los tejidos blandos adyacentes o infección asociada con exudado purulento4,9.
Este trabajo tiene como objetivo presentar y discutir el inusual caso de un odontoma complejo de gran tamaño erupcionado asociado a un molar retenido.
Reporte del casoPaciente de sexo femenino de 22 años, sin antecedentes mórbidos, derivada desde atención primaria al Servicio de Maxilofacial del Hospital San Juan de Dios por una lesión en el cuerpo mandibular derecho. La paciente relata una masa en la región del cuerpo mandibular derecho, de 6 meses de evolución, crecimiento progresivo y sin sintomatología asociada.
Intraoralmente se observa una tumoración de color blanco-amarillento, consistencia pétrea, forma irregular, de 2cm de diámetro mayor aproximado, localizada distal al primer molar mandibular derecho (fig. 1). Se solicitó una ortopantomografía donde se observó una lesión radioopaca rodeada de un halo radiolúcido bien definido, y el hallazgo del tercer molar inferior derecho desplazado a la región distoinferior en el ángulo mandibular (fig. 2).
En la ortopantomografía se observa la pieza 4.8 (tercer molar inferior derecho) en posición baja, desplazado al ángulo mandibular adyacente. Se observa una lesión radioopaca de densidad dentaria y forma irregular, extendiéndose desde la rama mandibular hasta la zona de la pieza 4.6. Un halo radiolúcido bien definido, uniforme rodeando la lesión, radioopaco, y la corona del diente 4.8.
Se plantean las siguientes hipótesis diagnósticas de acuerdo a los hallazgos clínicos y radiográficos: odontoma, fibro odontoma ameloblástico, osteoma y quiste odontogénico calcificante.
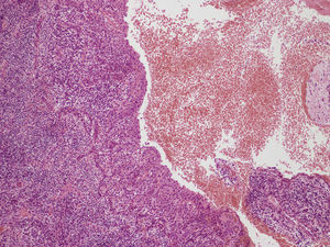
Como plan de tratamiendo se decide realizar la exéresis de la lesión bajo anestesia local, sin efectuar la exodoncia del molar retenido para controlar en el tiempo su erupción espontánea, eliminado el odontoma, y así no aumentar el defecto óseo y la posibilidad de fractura mandibular al realizar la desinclusión del tercer molar en el mismo tiempo operatorio (figs. 3-5). El diagnóstico histopatológico fue compatible con odontoma complejo (fig. 6) y el tejido que rodeaba al odontoma (observado en la ortopantomografía como un halo radiolúcido) correspondía a mucosa oral con un proceso inflamatorio crónico activo acentuado (fig. 7).
La paciente abandona los controles postopertorios a pesar de la insistencia del equipo tratante, por lo que no puede realizarse el control de la evolución del tercer molar incluido.
DiscusiónLos odontomas son reportados como los tumores odontogénicos benignos más frecuentes en la enfermedad oral2,4. En un estudio descriptivo realizado en Chile entre los años 1975 y 2000 en el Instituto de Referencia de Patología Oral de la Universidad de Chile, se determinó una frecuencia de tumores odontogénicos de un 1,3%, en relación con todas las lesiones que afectan a la cavidad oral y maxilares. De estos tumores odontogénicos el odontoma, ya sea compuesto o complejo, lideraba la frecuencia de presentación con un 44,7%10.
A la clasificación histológica de los odontomas (compuesto y complejo) se suma la clasificación de carácter clínico, en la cual encontramos 3 tipos de odontomas: odontoma central (intraóseo), odontoma periférico (extraóseo o de los tejidos blandos) y odontoma erupcionado11. Este caso tiene relevancia pues la erupción de este tipo de lesión es poco común, se reporta que ocurre en el 1,6% de los odontomas2,3. No hay registro del porcentaje de odontomas erupcionados en Chile.
Este caso concuerda con la literatura científica, ya que se reporta que los odontomas complejos se encuentran con mayor frecuencia en el sector mandibular posterior, sobre dientes impactados, y que pueden alcanzar un gran tamaño4,8. Además la mayor parte de los odontomas erupcionados son asintomáticos. Sin embargo, pueden estar asociados con dolor, inflamación, infecciones e incluso conducir a maloclusión8,12.
El mecanismo de erupción del odontoma parece ser diferente a la erupción del diente debido a la falta de ligamento periodontal y raíz en el odontoma. Por lo tanto, la fuerza requerida para la erupción del odontoma no está vinculada a la contractilidad de los fibroblastos, como en el caso de los dientes. Aunque no hay formación de raíces en el odontoma, su aumento de tamaño con el tiempo puede producir fuerza suficiente para causar reabsorción ósea del hueso que rodea al diente y por lo tanto favorecer su erupción5. Otra teoría sobre la erupción del odontoma tendría relación con la remodelación ósea de los maxilares. Sin embargo, para que esto se produjera necesariamente debería existir presencia del folículo dental, que de forma indirecta proporciona la quimioatracción de los osteoclastos necesaria para la erupción de los dientes1.
El tratamiento indicado es la exéresis quirúrgica de la lesión, curetaje del tejido blando circundante, seguido por el estudio histopatológico para así confirmar el diagnóstico2,11,13. En el caso presentado, como se reporta en la literatura, fue la exéresis de la lesión debido a su gran tamaño y posibilidad de una futura infección.
No existe consenso en la literatura con respecto al manejo de un diente retenido asociado a un odontoma11,14. Las opciones de tratamiento incluyen realizar controles periódicos clínicos y radiológicos para evaluar el curso de estos dientes, la extracción quirúrgica, fenestración y la tracción de ortodoncia posterior14,15.
Se optó por no realizar la extracción quirúrgica del tercer molar retenido debido a que de acuerdo con la literatura científica disponible, los dientes retenidos tienden a entrar en erupción, sin importar el grado de la formación de sus raíces una vez removido el elemento que produce su retención14. Esto permitiría mejorar la posición del tercer molar para así realizar su desinclusión en un segundo tiempo quirúrgico y no aumentar el defecto óseo, y una posible fractura patológica, realizando ambos procedimientos de manera simultánea. Esto sugeriría que el tratamiento de elección para estos dientes retenidos asociados a odontomas parece ser la eliminación de la lesión con preservación del diente impactado. Esto último requiere sin embargo de un seguimiento clínico y radiológico de al menos un año, ya que si no se observan cambios en la posición del diente durante este período, la fenestración seguida por tracción ortodóncica es indicada. La extracción debe llevarse a cabo en aquellos casos en que el diente es ectópico o heterotópico, con las alteraciones morfológicas o lesiones quísticas4. Debido al abandono del tratamiento por parte de la paciente, no es posible realizar el control de la pieza desplazada y observar si ocurrieron cambios en su posición o posible erupción.
ConclusiónLa relevancia de presentar este caso radica en la excepcional erupción de los odontomas a la cavidad oral y el gran tamaño del tumor. A pesar de su naturaleza benigna su erupción en boca puede dar lugar a dolor, inflamación e infección, siendo el tratamiento de elección la exéresis quirúrgica del odontoma erupcionado y su posterior estudio histopatológico para así confirmar el diagnóstico.
Conflicto de interesesLos autores declaran no tener ningún conflicto de intereses.








