En las imágenes se observan lesiones quísticas que comprometen ambos anexos, de pared y tabiques engrosados, que presentaron discreto realce tras el uso de medio de contraste, encontrándose en íntimo contacto entre sí, en la línea media sobre el útero. asociado a discreto aumento de densidad/atenuación del tejido adiposo circundante (figs. 1 y 2).
TC de abdomen y pelvis con contraste endovenoso en fase portal, y contraste oral positivo. Reconstrucción coronal. Lesiones sobre el útero, con relación al asa de íleon distal, con engrosamiento parietal concéntrico e hiperemia de la mucosa. Engrosamiento parietal del asa de colon sigmoides. DIU en cavidad endometrial.
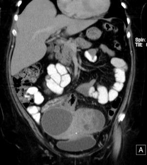
Adyacente a las lesiones, se identifica un asa de íleon distal y una de colon sigmoides, engrosadas de forma concéntrica (fig. 2). Existe hidroureteronefrosis derecha asociada, con cambio de calibre y engrosamiento del urotelio con relación al cruce entre la lesión y los vasos ilíacos ipsilaterales (fig. 3).
Existen algunas adenopatías en ambas cadenas ilíacas internas y para-aórticas (figs. 4 y 5).
El útero se encuentra en anteversoflexión identificando un DIU en la cavidad endometrial (fig. 5).
DiscusiónLa actinomicosis es una enfermedad infecciosa crónica supurativa causada por bacterias gram positivas, anaerobias o microaerófilas, no formadoras de esporas del genero Actinomyces. Entre sus especies, el Actinomyces israelii es la causa más frecuente de infección en humanos1. Son microorganismos comensales, presentes fundamentalmente en la cavidad oral, gastrointestinal y en el tracto genital femenino. Incapaces de atravesar las mucosas, su infección habitualmente se asocia a factores de riesgo que aumentan la permeabilidad epitelial, como mala higiene oral, inmunosupresión, cirugías o cuerpos extraños, como el DIU2. El riesgo de colonización e infección clínica aumenta con el tiempo de uso del dispositivo. Sus hallazgos, tanto clínicos como radiológicos, son inespecíficos y de gran variabilidad, dependiendo estos, principalmente del sitio de compromiso, lo que dificulta el diagnóstico3.
La ubicación más frecuente es la región cervicofacial (50% de los casos, aproximadamente), particularmente en el ángulo mandibular y la región submandibular. Le siguen la región torácica (30%), la abdominopélvica (20%), el sistema nervioso central (2-3%), la musculoesquelética y la diseminada, siendo estas 2 últimas sumamente raras3.
Dentro de sus manifestaciones clínicas abdominopélvicas (tabla 1) se incluyen; dolor abdominal, fiebre y masa palpable, hallazgos que también pueden verse en cuadros neoplásicos4.
En la literatura existen múltiples reportes de casos de infección por Actinomyces simulando cáncer de ovario avanzado1,4–6, razón por la cual, muchas veces es tratado mediante cirugía, sin tener un diagnóstico preciso previo2,7.
En la evaluación radiológica de estas lesiones, la presencia de un DIU, nos debe hacer considerar la infección por actinomices dentro del diagnóstico diferencial. Aunque la prevalencia de infección en usuarias es relativamente baja (1,6-11,6%), hasta un 80% de las infecciones demostradas, están relacionados con la presencia actual o reciente de este8.
El marcador tumoral CA-125 puede estar moderadamente elevado durante la infección, siendo poco específico4,7 para el diagnóstico, tanto de cáncer ovárico como de actinomicosis.
Sus hallazgos en la TC, muchas veces son indiferenciables de una enfermedad neoplásica. Usualmente se manifiesta como masas anexiales sólidas o sólido-quísticas, de pared gruesa3,7. La porción sólida suele realzar de manera homogénea, con tendencia a invadir los planos profundos3. El proceso inflamatorio puede extenderse y comprometer estructuras adyacentes como uréteres (fig. 3), vejiga, asas intestinales (fig. 2), uraco, peritoneo, etc.9. La presencia de adenopatías (figs. 4 y 5) y ascitis es infrecuente9.
En la tabla 2 se enumeran algunos hallazgos clínicos que pueden ayudar en el diferencial entre actinomicosis pélvica y el cáncer de ovario.
Diferencias clínicas entre actinomicosis pélvica y el cáncer de ovario
| Actinomicosis pélvica | Hallazgo | Cáncer de ovario |
|---|---|---|
| 37 años | Edad media de presentación | 55 años |
| ++ | Dolor abdominal | ++ |
| + | Baja de peso | + |
| + | Sangrado vaginal anormal | + |
| + | Anemia | + |
| ++ | Flujo vaginal anormal | ± |
| ++ | Fiebre | − |
| ++ | Leucocitosis | + |
| − | Ascitis | ++ |
| ± | Elevación de CA-125 | ++ |
| 4-8 años aprox. | Tiempo de uso del DIU | Sin asociación |
El diagnóstico definitivo suele ser dificultoso, ya que menos de un 50%10 de los cultivos serán positivos, incluso en condiciones ideales. El método más usado suele ser la citología, donde mediante tinción con hematoxilina-eosina, se observan gránulos basófilos de azufre rodeados por filamentos bacterianos (fig. 6).
Una vez hecho el diagnóstico, el tratamiento se basa en el uso prolongado de antibióticos (3 a 6 meses) por la alta tasa de recurrencias11. La cirugía se reserva para los cuadros extensos, con gran fibrosis y efecto de masa4.
ConclusionesSi bien infrecuente, la infección por Actinomyces debe ser considerada en el diagnóstico diferencial frente al hallazgo de una masa anexial quística compleja. Un adecuado conocimiento de sus manifestaciones imagenológicas, apoyado en datos clínicos, son fundamentales para el diagnóstico de una enfermedad de buen pronóstico, cuando este se realiza de forma precoz.
Conflicto de interesesLos autores declaran no tener ningún conflicto de intereses.








