covid
Revista Chilena de Radiología Presentación caso radiológico 3
Información de la revista
Vol. 22. Núm. 2.
Páginas 52 (Abril - Junio 2016)
Vol. 22. Núm. 2.
Páginas 52 (Abril - Junio 2016)
Caso radiológico de desafío diagnóstico
Open Access
Presentación caso radiológico 3
Radiologic case 3 presentation
Visitas
1996
Sergio Urbina R.a,
Autor para correspondencia
sergiourbinarozas@gmail.com

Autor para correspondencia.
, Pablo Avaria P.a, Michael Hirsch S.b
a Universidad del Desarrollo, Clínica Alemana Temuco, Temuco, Chile
b Departamento de Radiología, Clínica Alemana Temuco, Temuco, Chile
Contenido relacionado
Rev Chil Radiol. 2016;22:54-610.1016/j.rchira.2016.07.002
Sergio Urbina R., Pablo Avaria P., Michael Hirsch S.
Este artículo ha recibido

Under a Creative Commons license
Información del artículo
Texto completo
Descargar PDF
Estadísticas
Figuras (2)
Texto completo
Historia clínica

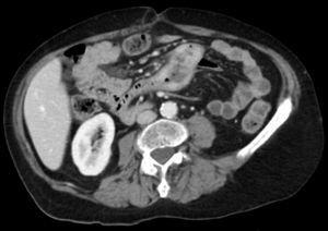
Paciente de sexo femenino, de 66 años, consulta por dolor abdominal de 2 meses de evolución (figs. 1 y 2).

Figura 1
Figura 2

¿Cuál es su diagnóstico?

Conflicto de intereses

Los autores declaran no tener ningún conflicto de intereses.

Descargar PDF
Opciones de artículo
Herramientas