La otoesclerosis corresponde a una causa común de hipoacusia progresiva en población adulta joven. La mayoría de las veces el diagnóstico es sospechado en base a un cuadro clínico y examen físico concordantes. El rol de las imágenes en esta enfermedad consiste en la confirmación de los casos dudosos, el descarte de diagnósticos diferenciales, la graduación del compromiso y la evaluación pre- y posquirúrgica de los pacientes. La tomografía computada de alta resolución del hueso temporal es el método de estudio imagenológico de elección.
Otosclerosis is a common cause of progressive hearing loss in the young adult population. Most of the time the diagnosis is suspected based on consistent clinical symptoms and physical examination. The role of imaging in this pathology consists of confirmation of doubtful cases, ruling out by differential diagnoses, level of affection, and the pre-postoperative evaluation of patients. High-resolution computed tomography of the temporal bone is the imaging method of choice.
La osteoesclerosis corresponde a una otodistrofia, de etiología inflamatoria aun no del todo precisada. En esta enfermedad se produce una alteración histológica confinada a la cápsula ótica y cadena osicular, que se expresa por áreas de reemplazo focal o confluentes del tejido óseo normal a expensas de hueso de alta celularidad y vascularización1,2. Esto determina alteración de la fisiología normal de la audición, cuya expresión clínica es la hipoacusia, la cual inicialmente es de conducción, pero en etapas avanzadas es mixta o sensorio-neural3.
Cabe destacar que el término otoesclerosis acuña de mejor manera al evento final o fase inactiva de la enfermedad, caracterizada por la presencia de tejido óseo altamente denso, menos vascularizado y por ende más compacto (esclerótico). Por esta razón algunos autores se refieren a la fase inicial o altamente vascular (activa) de esta entidad con el término de otoespongiosis1,4,5. La mayoría de las veces se logra el diagnóstico en la etapa inicial, dado que su representación imagenológica en tomografía computada (TC) se corresponde con áreas de menor densidad ósea en lugares definidos de la anatomía del hueso temporal. Hay que mencionar que los términos otoesclerosis y otoespongiosis son intercambiables según la fuente bibliográfica que se consulte.
El presente artículo tiene por objetivo mencionar los elementos más importantes de la etiopatogenia de la enfermedad, caracterizar el contexto clínico-demográfico de sospecha del cuadro, mencionar nuestro protocolo de estudio en TC y describir los hallazgos imagenológicos relevantes. Se enfatizan los elementos que deben estar presentes en el informe radiológico, dada su importancia como factor pronóstico o de planificación quirúrgica.
Aspectos etiopatogénicosSi bien no se ha logrado dilucidar completamente el factor gatillante para el inicio de la cascada inflamatoria de la otoesclerosis, se han planteado modelos explicativos de la enfermedad. El inicio de esta estaría dado por focos de resorción ósea generados por osteoclastos regionales activados vía mediadores inflamatorios. En forma secundaria se produce reclutamiento de linfocitos, células plasmáticas, fibroblastos e histiocitos4,6. De este modo, en la histología se describen 3 etapas: una celular, una fibrótica y otra esclerótica, según la proporción de los distintos elementos celulares presentes durante la evolución7. El curso natural de la enfermedad es variable entre un individuo y otro, sin embargo, se han demostrado elementos que tendrían relevancia, como es el rol que desempeñan los estrógenos en la activación osteoclástica, hecho que explicaría por qué la prevalencia en mujeres duplica la de los hombres8, y por qué la pubertad, el embarazo y la menopausia son habitualmente periodos de deterioro clínico4.
Los sitios anatómicos donde se inicia la activación de los osteoclastos tienden a ser constantes, y habitualmente se limitan a la fissula ante fenestram (pequeña hendidura de tejido fibrocartilaginoso ubicada entre el oído medio e interno, justo anterior a la ventana oval) o compromiso solo de la cóclea, determinando las 2 formas de presentación de la enfermedad: fenestral y retrofenestral (coclear)6,9. La forma fenestral corresponde aproximadamente a un 85% de los casos, y solo en el 15% restante el compromiso es retrofenestral10. Cabe mencionar que la forma retrofenestral como presentación única es muy poco frecuente, y casi siempre se presenta en concomitancia con la forma fenestral.
El resultado final de estas alteraciones determina en la presentación fenestral una fijación anormal entre el estribo y la ventana oval, con calcificación del ligamento anular, que puede llegar incluso a la anquilosis de ambas estructuras, lo cual explica la aparición de hipoacusia de conducción. En la forma coclear, el efecto tóxico que tendrían enzimas proteolíticas-osteolíticas lisosomales sobre las estructuras cocleares, en particular el ligamento espiral, determinaría la instalación de hipoacusia sensorio-neural3,4,6.
Aspectos clínico-demográficosLa otoesclerosis corresponde a una de las causas comunes de hipoacusia progresiva adquirida en adultos jóvenes, con una prevalencia en población general para su forma clínica de entre el 0,2 y 1%11. Sin embargo la forma histológica subclínica de la enfermedad, que no presenta síntomas auditivos, es hasta 10 veces más prevalente4,8.
La incidencia de otoesclerosis clínica puede llegar a ser del 20-25% en familiares de primer grado de pacientes afectados6, atribuyéndose esto a una forma de transmisión autosómica dominante con penetrancia incompleta (estimada en un 40%)8. Además del factor hereditario, otros factores involucrados en el desarrollo de la enfermedad serían la infección crónica por virus varicela y bajos niveles séricos de fluoruro de sodio6.
La otoesclerosis se presenta predominantemente en población caucásica, siendo rara en población afroamericana y asiática. Su edad de presentación promedio es entre la segunda y cuarta década de la vida. En aproximadamente un 85% de los casos el compromiso es bilateral9.
La mayoría de las veces el motivo de consulta es hipoacusia de conducción progresiva o acúfenos. En la otoscopia se describe clásicamente el «signo de Schwartze», que corresponde a la presencia de zonas enrojecidas hiperémicas en el promontorio, visibles a través de una membrana timpánica sana, traduciendo focos de otoesclerosis activa10. La audiometría muestra la característica «escotatura de Carhart», consistente en un patrón específico de disminución del umbral de conducción ósea secundario a la fijación estapedial.
La valoración clínica más la audiometría son suficientes para el diagnóstico en la mayor parte de los casos, otorgándole a las imágenes el rol de confirmar los casos dudosos (p. ej., presentación con hipoacusia sensorio-neural aislada), descartar diagnósticos diferenciales, graduar el compromiso y realizar evaluación pre- y posquirúrgica de los pacientes3,5,10.
Aspectos imagenológicosEl método de elección para el estudio de la otoesclerosis es la TC de alta resolución del hueso temporal9. En nuestra institución, el protocolo estándar de estudio corresponde a una adquisición volumétrica realizada en fase no contrastada, con grosor de corte de 0,6mm e intervalo de 0,3mm. A partir de esta adquisición se obtienen reconstrucciones axiales y coronales con relación al eje mayor del peñasco, con espesor de corte de 1mm. Los parámetros técnicos de adquisición y posproceso de la TC se resumen en la tabla 1.
Parámetros técnicos de TC del hueso temporal para el diagnóstico de otoesclerosis
| Parámetro | Valor |
|---|---|
| kV | 120 |
| mAs | 200 |
| CTDIw | 47,36mGy |
| Colimación | 12×0,6mm |
| Pitch | 0,45 |
| Kernel | U70u |
| Dirección | Caudo-craneal |
| Imágenes a IMPAX | Volumen de 0,6/0,3mm más reconstrucciones axiales y coronales de 1/1mm con relación al eje mayor del peñasco |
Actualmente el rol de la resonancia magnética (RM) para el diagnóstico de otoesclerosis es limitado y generalmente se da en el contexto de primer estudio imagenológico en paciente con hipoacusia sensorio-neural. La presencia de áreas de realce cercanas a las ventanas oval y redonda en la forma fenestral, y el aumento de intensidad de señal T2 y tenue realce en la región pericoclear y perilaberíntica de la cápsula ótica en la forma retrofenestral son los hallazgos imagenológicos descritos12. Sin embargo, la mayor utilidad de la RM en esta enfermedad radica en su capacidad para descartar diagnósticos diferenciales (p. ej., schwannoma del viii nervio craneal), también en la pesquisa de complicaciones postoperatorias como laberintitis y formación de granulomas, entre otros1.
Entendiendo la fisiopatología se logra comprender lo que observamos en la imagen de TC, distinguiéndose 2 escenarios: uno corresponde a la enfermedad activa con focos de otoespongiosis, imagenológicamente evidenciados por áreas de menor densidad ósea; y otro corresponde a la enfermedad en fase residual, que se manifiesta como focos de esclerosis, con hueso engrosado, irregular y de mayor densidad.
Como ya se mencionó, anatómicamente esta enfermedad se presenta de 2 formas: otoesclerosis fenestral y otoesclerosis retrofenestral, las cuales describiremos a continuación.
Otoesclerosis fenestralLa otoesclerosis fenestral es la forma más frecuente, con aproximadamente un 85% de los casos. El lugar anatómico donde se asienta es habitualmente constante y corresponde a la fissula ante fenestram9. El compromiso es bilateral en aproximadamente un 85% de los casos, por lo que ante la sospecha clínica siempre debemos buscar los hallazgos imagenológicos en ambos oídos. Otros lugares que pueden ser afectados en esta presentación son el promontorio, la porción timpánica del canal del nervio facial y la ventana redonda1. Es importante saber que desde los puntos de origen los focos de otoespongiosis se pueden extender hacia la cóclea.
En la fase reparativa de la enfermedad las placas de hueso esclerótico pueden causar disminución de la luz de la ventana oval e incluso llegar a obliterarla (alrededor del 2% de los casos). Esta entidad recibe un nombre propio, denominándose otoesclerosis obliterativa.
A la hora del informe radiológico, hay algunos puntos de interés que deben ser mencionados, pues tienen valor pronóstico y además porque la mayoría de los pacientes requerirá cirugía y por ende la clara descripción del escenario anatómico ayuda al otorrinolaringólogo a la obtención de mejores resultados. Estos puntos de interés se resumen en la tabla 2.
Puntos de interés que deben ser mencionados en el informe radiológico
| 1. Ubicación y extensión de las placas: ¿Guarda relación con la severidad de la hipoacusia de conducción? |
| 2. Estado de la ventana oval y redonda: La obliteración de estas estructuras es indicador de dificultad técnica en la instalación de la prótesis de estribo y de mal funcionamiento de la prótesis |
| 3. Compromiso de la porción timpánica del canal del nervio facial: Es indicador de dificultad técnica en la cirugía, e incluso puede contraindicarla |
| 4. Enfermedad inflamatoria concomitante del oído medio: Debe ser tratada previo a la cirugía |
| 5. Integridad de la cadena osicular: Fijación, fusión o fractura pueden ser factores que contribuyen a la hipoacusia de conducción |
| 6. Cobertura ósea del bulbo yugular: El bulbo yugular dehiscente puede complicar la cirugía |
| 7. Enfermedad del oído interno: Anomalías cocleares congénitas pueden contraindicar la cirugía |
| 8. Oído contralateral: No olvidar que la otoesclerosis es bilateral en el 85% de los casos, incluso en ausencia de síntomas |
Tabla modificada del artículo de Purohit et al.9.
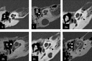
Para la descripción de la ubicación y extensión de las placas de otoespongiosis, en el año 2005 Symons y Fanning proponen un sistema de graduación basado en la distribución de la desmineralización ósea de la cápsula ótica13, que complementa la clasificación propuesta por Rotteveel et al el año 200414. Esta nueva clasificación hace énfasis en la diferencia pronóstica dada por la presencia de focos aislados de otoespongiosis versus compromiso difuso por la enfermedad, siendo aplicada para las formas fenestral y retrofenestral. Otro elemento importante es que esta clasificación ha demostrado tener buena concordancia intra- e interobservador, lo cual fortalece su aplicación en la práctica clínica3. Se resume la clasificación en la tabla 3, y se presentan ejemplos de los distintos grados en la figura 1.
Graduación por TC de la otoesclerosis
| Grado 0 | Normal |
| Grado 1 | Solo compromiso fenestral |
| Grado 2 | Compromiso coclear parcheado (±compromiso fenestral), se subdivide según comprometa: • 2a: giro basal de la cóclea • 2b: Ápice/giro medio de la cóclea • 2c: Giro basal y ápice/giro medio de la cóclea |
| Grado 3 | Compromiso coclear difuso (±compromiso fenestral) |
Clasificación de Symons y Fanning. Marshall et al.13.
Graduación por TC de la otoesclerosis. Clasificación de Symons y Fanning13 para graduar el compromiso de la otoesclerosis. Grado 0: Normal. Grado 1: Solo compromiso fenestral. Grado 2: Compromiso coclear parcheado (2a: giro basal; 2b: ápice/giro medio; 2c: giro basal y ápice/giro medio). Grado 3: Compromiso coclear difuso. Todas las imágenes corresponden a cortes axiales de oído derecho en el nivel de la cóclea. Las cabezas de flecha señalan las áreas de hueso espongiótico.
El tratamiento quirúrgico de la otoesclerosis fenestral consiste en estapedectomía con instalación de prótesis de estribo, esta última fabricada normalmente con elementos radiodensos que permiten su control imagenológico (fig. 2). Dentro de las complicaciones posquirúrgicas precoces se cuenta la fístula perilinfática, reacción a cuerpo extraño con formación de granuloma y laberintitis serofibrinoide o supurativa. En muchas de estas complicaciones la RM cobra relevancia como examen complementario para la pesquisa15.
Es importante saber que aquellos pacientes que presentan pérdida de audición posterior a la cirugía deben ser evaluados cuidadosamente con TC para descartar malfuncionamiento de la prótesis de estribo por subluxación, migración o fractura de esta. La subluxación de la prótesis se ha descrito hasta en un 50% de los pacientes con pérdida de audición reciente poscirugía. No todos los pacientes se beneficiarán de una reexploración quirúrgica, ya que una nueva instrumentalización constituye un factor de riesgo para progresión hacia hipoacusia sensorio-neural. La formación de nuevo hueso espongiótico en la zona tratada en pacientes con otoesclerosis progresiva o aquellos que han sido sometidos a perforación extensa de la base del estribo son factores que contraindican una nueva cirugía16.
El diagnóstico diferencial de la otoesclerosis fenestral es amplio. Debe considerarse la otitis media crónica con timpanoesclerosis, pero la presencia de cambios inflamatorios en el oído medio y la escasa neumatización de la mastoides orientan a su diagnóstico. Otra posibilidad es la enfermedad de Paget, pero el segmento etario de esta enfermedad es mayor (50-60 años) y además el compromiso del hueso temporal es más difuso, existiendo la mayoría de las veces compromiso que va más allá de la cápsula ótica. La osteogénesis imperfecta también constituye diagnóstico diferencial, y distinguirla de la otoesclerosis puede ser complejo ya que imagenológicamente pueden verse de forma similar; habitualmente en esta enfermedad los focos de desmineralización son más extensos y los hallazgos en el esqueleto axial y apendicular orientan al radiólogo11.
Otoesclerosis retrofenestralTambién denominada otoesclerosis coclear, es una entidad mucho menos común de forma aislada, coexistiendo habitualmente con la forma fenestral. La presentación clínica está dada por hipoacusia sensorio-neural o mixta, la cual estaría condicionada por lesión directa sobre las estructuras implicadas en la transducción electroquímica de la onda acústica. La imagen clásica de este tipo de otoesclerosis corresponde a focos de desmineralización que describen el recorrido de la cóclea, determinando el signo de «doble anillo». Frecuentemente es bilateral y simétrica. Al igual que en la forma fenestral, también puede presentar compromiso del vestíbulo, canales semicirculares y conducto auditivo interno1.
El sistema de graduación propuesto por Symons y Fanning, para la descripción de la ubicación y extensión de las placas de otoespongiosis13, es válido para la forma coclear, tal como para la forma fenestral (fig. 1).
Si bien el tratamiento de la otoesclerosis coclear suele ser médico, con fluorato de sodio o agentes quelantes para disminuir la actividad osteoclástica, cuando el grado de compromiso es muy extenso y la hipoacusia muy profunda, los pacientes pueden beneficiarse del implante coclear8.
El diagnóstico diferencial de la otoesclerosis retrofenestral debe hacerse con aquellas entidades que determinen hipoacusia sensorio-neural, por lo cual la RM tiene un rol mayor que la TC en el estudio imagenológico. Diagnósticos diferenciales que se pueden plantear con extensa desmineralización de la capsula ótica son la enfermedad de Paget o la osteogénesis imperfecta, pero como ya se ha mencionado, existen elementos imagenológicos que ayudan a diferenciarlas. Por último, existe una entidad que corresponde a una variante de la normalidad, denominada hendidura coclear. Esta hendidura, que corresponde histológicamente a un espacio no osificado adyacente a la cóclea, es frecuente de ver en niños, y su prevalencia disminuye con la edad, desde aproximadamente el 60% en menores de 4 años hasta menos del 20% en mayores de 19 años17.
ConclusionesLa otoesclerosis es una otodistrofia de importancia clínica, pues corresponde a una causa común de hipoacusia adquirida en población adulta joven. Su incidencia es mayor en mujeres, y el compromiso habitualmente es bilateral. La compresión de su etiopatogenia y el conocimiento de sus manifestaciones clínicas e imagenológicas nos permite dividirla en sus 2 formas: fenestral y retrofenestral. La forma fenestral es la más frecuente, y su tratamiento habitualmente es quirúrgico. El rol de las imágenes en esta enfermedad consiste en la confirmación de los casos dudosos, el descarte de diagnósticos diferenciales, la graduación del compromiso y la evaluación pre- y posquirúrgica de los pacientes. La TC de alta resolución del hueso temporal es el método de estudio imagenológico de elección, siendo la RM un examen complementario para descartar entidades simuladoras y algunas complicaciones posquirúrgicas.
Responsabilidades éticasProtección de personas y animalesLos autores declaran que para esta investigación no se han realizado experimentos en seres humanos ni en animales.
Confidencialidad de los datosLos autores declaran que han seguido los protocolos de su centro de trabajo sobre la publicación de datos de pacientes.
Derecho a la privacidad y consentimiento informadoLos autores declaran que en este artículo no aparecen datos de pacientes.
Conflicto de interesesLos autores declaran no tener ningún conflicto de intereses.






