En el presente los desgarros musculares son una causa muy frecuente de lesión en la práctica deportiva. Según los estudios actuales, un 30% de las lesiones en atletas afecta los músculos, siendo particularmente comunes a nivel de los isquiotibiales, el recto anterior de los cuádriceps, los gemelos y los aductores. El diagnóstico se realiza en forma sencilla mediante un estudio ecográfico.
Sin embargo, existe un número importante de lesiones musculares de localización profunda e infrecuente, que pueden pasar inadvertidas en la ecografía y que causan largos períodos de inactividad para el deportista. La resonancia magnética (RM), por su resolución anatómica y capacidad multiplanar, es el método de elección para el estudio de este tipo de afecciones, ya que permite descartar otras patologías de similar presentación clínica y realizar un diagnóstico específico.
En este artículo describimos los desgarros musculares de localización inusual, particularmente los de localización pelviana, evaluando también la pared torácica, abdominal y miembros superiores e inferiores. En todos los casos, se usaron equipos de alto campo 1.5 y 3 Tesla.
Muscle injuries are currently particularly frequent among people who participate in sports. Current studies show that 30% of injuries in athletes affect muscles, with hamstrings, quadriceps, gastrocnemius, and adductors being particularly prevalent. The diagnosis is easily made with an ultrasound study.
However, there are a significant number of muscle injuries, considered uncommon, that may be not be detected by ultrasound, mainly because of their depth, and could be responsible for long periods of inactivity for the sportsman. Magnetic resonance imaging (MRI), with a better anatomical resolution and multiplanar capability, is the method of choice for detecting the precise location and severity of the injury and can establish their severity.
The aim of this article is to review muscle tears of unusual location, particularly in the pelvic area, but also evaluating the chest wall, abdomen, and upper and lower limbs. All patients were evaluated by 3 and 1.5 Tesla MRI units.
Las lesiones musculares son sumamente frecuentes en la actividad deportiva. Además de causar largos períodos de inactividad, también pueden llegar a ser severas para el atleta, especialmente si se producen durante el momento crítico de la competencia (sea esta recreacional o profesional)1.
Según el análisis de Darrow et al.2 basado en los últimos Juegos Olímpicos de Londres (2012), los desgarros musculares constituyen la lesión deportiva más frecuente, después de los esguinces de tobillo, con un 30% del total de las lesiones producidas durante la actividad deportiva. Las implicancias para el atleta de elite, entrenador y equipo abarcan desde cuestiones físicas y psicológicas hasta financieras.
El objetivo de este trabajo es revisar a través de la resonancia magnética (RM) los desgarros musculares que representan un desafío diagnóstico para el médico radiólogo por su localización infrecuente. Su hallazgo depende de una sospecha clínica juiciosa, un sólido conocimiento anatómico y un adecuado protocolo de estudio.
Conceptos generalesEl músculo estriado, en términos de cantidad, es el mayor tejido simple del cuerpo, en tanto constituye un 40-45% del peso corporal total. Presenta dos tipos de fibras musculares: las tipo I o de contracción lenta (más adecuadas para la contracción repetitiva y más resistentes a la fatiga) y las tipo II o de contracción rápida (más apropiadas para las fuerzas rápidas fásicas, para la actividad intensa de corta duración y para desarrollar mayor tensión)1,3.
En la actualidad, está demostrado que la mayoría de los desgarros ocurre a nivel de la unión miotendinosa, en músculos biarticulares que presentan alta proporción de fibras tipo II, como los isquiotibiales, el recto anterior del cuádriceps, el gemelo interno y los aductores, entre los más afectados2,3. Si bien pueden producirse por traumatismo directo (contusión o laceración muscular en deportes más susceptibles al impacto, como el rugby), son más comunes por un mecanismo indirecto (maniobras de distracción o elongación, como las que habitualmente se ven en deportes como el fútbol).
Desde el punto de vista anatómico, podemos clasificar los desgarros musculares en tres grados3:
- -
Distensión muscular (lesión grado I): se produce cuando el músculo llega a su límite máximo de elongación. En este caso, el paciente refiere un dolor severo sin determinar un punto preciso de mayor sensibilidad. Anatómicamente estas lesiones son microscópicas (rotura fibrilar), comprometiendo menos del 5% del espesor total del músculo. Son de difícil evaluación, aunque factibles de diagnosticar en ecografía (con la ayuda de ecopalpación). Su hallazgo en resonancia magnética (RM) es aún más dificultoso.
- -
Desgarro parcial (lesión grado II): es una lesión más extensa que ocurre cuando la elongación del músculo supera su límite máximo de elasticidad, comprometiendo más del 5% del espesor. En el momento de la injuria el paciente refiere un “pinchazo” que lo obliga a abandonar la actividad física. Cuando el músculo está ubicado superficialmente, además puede desarrollar equimosis. Anatómicamente es una rotura de fascículos que evidencia, en general, una colección hemática o un incremento de la intensidad de señal en la RM. También es posible su diagnóstico por ecografía.
- -
Desgarro completo (lesión grado III): compromete el vientre completo del músculo con una separación completa de los cabos por su retracción y la interposición de un hematoma. La presencia de equimosis es la norma, pudiendo existir un defecto palpable en el examen físico. Es preferible su evaluación mediante RM por su amplio campo visual para medir la brecha del desgarro (GAP). En determinados casos requiere tratamiento quirúrgico.
Tanto la radiología simple (Rx) como la tomografía computada (TC) tienen un rol muy limitado en la detección de lesiones musculares, especialmente en la etapa aguda. Pueden ser métodos útiles para localizar calcificaciones en caso de cronicidad, secuelas de lesión muscular con cicatriz fibrosa o cuando se sospecha una miositis osificante como complicación de un desgarro muscular2,4.
En nuestro medio, la ecografía y la RM son los exámenes de elección. La primera cuenta con la ventaja de ser una herramienta portátil, de fácil acceso, menor costo y alto rendimiento en manos de un operador entrenado. A su vez, permite un análisis dinámico de la lesión, debiendo utilizarse para su realización transductores lineales de alta frecuencia (superiores a los 9-17MHz)3. Sin embargo, entre sus desventajas se menciona la dependencia a un operador entrenado, la no reproducibilidad del método y la limitación de su campo visual (FOV). Además, presenta dificultad en el acceso a los tejidos de localización profunda, lo cual determina que las lesiones musculares que comprometen grupos no superficiales o tienen una ubicación poco común puedan pasar inadvertidas4,5. Esta limitación ocurre con cierta frecuencia, particularmente en la región pelviana donde determinados grupos musculares (obturadores, piramidal o cuadrado crural) son difíciles de evaluar con este método. Si esto ocurre, es posible que el paciente no tenga un diagnóstico correcto por un largo período (costoso, en consecuencia, por su inactividad).
En cuanto a la RM, por su alta resolución anatómica y capacidad multiplanar, es el método de elección para la detección de lesiones musculares de localización atípica o profunda. También posee una alta sensibilidad para brindar imágenes de gran contraste en tejidos blandos y evaluar planos profundos, así como una alta especificidad para la caracterización de un desgarro muscular de características imagenológicas infrecuentes cuando se plantea su diagnóstico diferencial con un proceso infiltrativo primario. Entre sus desventajas, se destacan su alto costo, su difícil acceso y la adquisición de imágenes estáticas. Además, necesita más tiempo y en algunos casos requiere de una posición incómoda para el paciente.
Lesiones musculares de localización infrecuenteEn la actualidad existe poca información sobre los desgarros musculares de localización infrecuente, por lo que en este artículo se identifican y caracterizan este tipo de lesiones por RM. En la mayoría de nuestros casos contábamos con la sospecha clínica, además de tener un estudio ecográfico negativo en el 30% de los pacientes. También cada caso presentaba una breve reseña de la localización anatómica, acción, tipo de deportista afectado y tratamiento realizado en los músculos comprometidos.
Todos los pacientes fueron evaluados con resonadores 3 Tesla (Achieva, Philips Medical System, versión 2.6, Países Bajos) y 1.5T (Philips Intera, Best, Países Bajos). Para ello, se colocó el elemento de marcación y se dirigió el estudio al sitio señalado por el paciente como doloroso. Se utilizó un protocolo de lesiones musculares en los tres planos, con particular interés en las secuencias ponderadas en STIR y supresión grasa, complementándolas con secuencias ponderadas en T1 y T2 para obtener mayor especificidad diagnóstica y una precisa localización anatómica. Solo se usó contraste endovenoso en un paciente con sospecha de lesión infiltrativa primaria muscular.
Los hallazgos fueron clasificados según las áreas de localización en: pared torácica y abdominal, cintura pelviana y extremidades (miembro superior e inferior) (tabla 1).
Hallazgos clasificados según áreas de localización
| Miembro superior | Miembro inferior | Pared torácica y abdominal | Cintura pelviana y región lumbar | |
|---|---|---|---|---|
| Músculoscomprometidos | DeltoidesCoracobraquial | Vasto externoSóleoFlexor propio del hallux | Pectoral mayorOblicuo internoCuadrado lumbar | Glúteo medioGlúteo menorPiramidal de la pelvisPsoas ilíacoObturador internoObturador externoCuadrado crural |
| Principalesindividuos afectados | RugbyBoxeoLevantadores de pesasLanzadores | Futbolistas amateurs (vasto externo)Corredores de fondo | RugbiersLevantadores de pesasCorredores (oblicuos) | Aerobics (glúteos)Maratonistas (piramidal)Pubalgia del futbolista |
En la mayoría de los casos se asocian a trauma directo y, en menor medida,a maniobras bruscas de elongación muscular. Describimos a continuación las lesiones a nivel del pectoral mayor, oblicuo menor y cuadrado lumbar:
Pectoral mayorEs una lesión considerada infrecuente, que se caracteriza por un alto porcentaje de casos subdiagnosticados y tratados recién en la cronicidad3. Suele acontecer en deportistas (jugadores de rugby o levantadores de pesas) por entrenamientos exigentes, o bien por traumatismos6.
El músculo pectoral mayor se origina en la mitad medial del borde anterior de la clavícula, en la cara anterior del esternón, los seis primeros cartílagos costales y la aponeurosis del oblicuo externo, para luego insertarse en el labio externo de la corredera bicipital a nivel del húmero7.
El mecanismo de lesión sucede generalmente durante la contracción excéntrica con el hombro en abducción, rotación externa y extensión (p. ej. en el levantamiento de pesas)8,9. Debido a su orientación, las fibras que convergen hacia su inserción humeral son las que presentan mayor riesgo de trauma (fig. 1). También se presentan roturas con menor frecuencia a nivel de la inserción clavicular y primeros cartílagos costales.
El tratamiento es variado, según la ubicación de la lesión, tiempo de evolución y objetivos del paciente (estética y/o deportiva). La resolución en la etapa aguda es lo ideal, y la reparación quirúrgica solo se lleva a cabo en las lesiones grado 3 (rotura completa)8.
Oblicuo interno o menorLa pared abdominal anterolateral está formada básicamente por cuatro músculos: recto anterior y oblicuo externo, interno y transverso. Los desgarros del recto anterior se encuadran dentro de las lesiones típicas, mientras que el resto de los músculos ubicados en la pared lateral rara vez se lesionan10. Estos últimos consisten en tres láminas delgadas que, de afuera hacia adentro, son: el oblicuo externo o mayor, el oblicuo interno o menor, y el transverso.
El oblicuo interno es un músculo ancho y aplanado que se extiende desde la cresta ilíaca hasta las costillas 9.a, 10.a, 11.a, 12.a y la línea alba, y se continúa con los músculos intercostales internos. Entre los oblicuos, es el de menor tamaño y se encuentra en relación medial, inferior y profunda con el oblicuo externo. No muestra un trayecto recto, sino elíptico, siendo su función la flexión y rotación homolateral del tronco7. Presenta una mayor predisposición al desgarro que el oblicuo mayor, debido probablemente a su menor superficie de inserción.
Las lesiones de este músculo suelen producirse en tenistas y corredores (salto con vallas) como resultado de una contracción muscular extrema, excéntrica y desbalanceada. Puede producirse tanto un desgarro muscular intrasustancia como una avulsión a nivel de la cresta ilíaca, siendo esta la más frecuente11 (fig. 2).
Desgarro del oblicuo menor. Las secuencias ponderadas en STIR, planos (a) axial y (b) coronal, evidencian la rotura fascicular del oblicuo interno con avulsión a nivel de su inserción en la cresta ilíaca. Se asocia a marcados signos de edema de partes blandas y discreta cantidad de líquido en el sector superficial (flechas).
Las lesiones por avulsión son relativamente comunes en los deportistas adolescentes por la debilidad intrínseca de la apófisis. Sin embargo, hay que considerar que el centro de osificación secundario de la cresta ilíaca aparece a los 13-15 años y se fusiona a los 15-17, pudiéndose retrasar hasta los 25. Es importante reconocer este patrón de aparición y fusión para no confundirlo con una fractura por avulsión7,11.
Por otra parte, se debe tener en cuenta que la cresta ilíaca es el sitio de inserción de varios músculos: tensor de la fascia lata, el glúteo medio y menor, el cuadrado lumbar, el transverso y los oblicuos interno y externo, siendo los abdominales los más afectados.
Asimismo, pueden encontrarse con menor frecuencia desgarros del oblicuo interno a nivel de la inserción en la 11.a costilla. Estos ocurren a nivel del lado no dominante y por una contracción muscular desbalanceada11.
El tratamiento en todos los casos es conservador y suele tener buen pronóstico. La aspiración de colecciones es posible, mientras que rara vez se practican cirugías8,11.
La RM, además de ser fundamental en el diagnóstico inicial, brinda información de importancia para la rehabilitación posterior.
Cuadrado lumbarEs un músculo aplanado y cuadrilátero que se encuentra en la pared posterolateral del abdomen. Se extiende desde el tercio medial de la cresta ilíaca hasta el borde caudal de la 12.a costilla, emitiendo fibras que terminan en las apófisis costiformes de las vértebras lumbares7. Su función es inclinar la columna lumbar homolateral y la pelvis.
Su lesión suele confundirse con un cuadro de cólico renal, por lo que los pedidos de ecografías abdominales y de partes blandas habituales arrojan resultados negativos. El desgarro suele encontrarse a nivel de su inserción en la cresta ilíaca (fig. 3).
Desgarro del cuadrado lumbar izquierdo. Las secuencias ponderadas en STIR, planos (a) axial y (b) sagital, identifican una rotura parcial del músculo cuadrado lumbar a nivel de su inserción en la cresta ilíaca, adyacente al músculo paravertebral (flechas). La paciente consultó por la sospecha de un cálculo renal.
El tratamiento generalmente es localizado, con reposo, maniobras manuales y, en algunos casos, infiltraciones locales8.
Cintura pelvianaLas lesiones musculares más frecuentes ocurren a nivel de los isquiotibiales y el aductor medio. Su diagnóstico es sencillo con el estudio ecográfico1,3,6. No obstante, es importante tener presente los desgarros profundos en esta región, ya que el deportista suele referir un dolor sin una localización precisa, lo cual lleva a descartar en primer término la patología más frecuente (tendinopatía, desgarro isquiotibial, pubalgia, lesión del labrum) reiterando estudios negativos. Esto en algunos casos provoca la reincorporación a la actividad deportiva, lo que puede ocasionar un agravamiento de la lesión preexistente4.
A continuación describimos las roturas musculares a nivel del glúteo medio y menor, piramidal, psoas ilíaco, recto interno, cuadrado crural y obturador interno y externo.
Glúteo medio y menorSe extienden desde la cresta ilíaca hasta alcanzar su inserción en el trocánter mayor, siendo el glúteo menor el más interno. Son abductores de la cadera7.
Las lesiones de estos músculos suelen asociarse a distensión de la bursa trocantérea y se vincularían con un síndrome de fricción provocado por la tensión ejercida a través de la banda iliotibial, un trauma directo o un mecanismo de hiperabducción. Es más frecuente en corredores amateurs y personas que practican aerobics o CrossFit12,13.
La lesión más común es el desgarro parcial asociado de ambos músculos (fig. 4). La rotura completa con avulsión tendinosa es rara y, de acuerdo con los casos publicados, abarca en mayor medida al glúteo medio.
Desgarro de los músculos glúteo menor y medio. Las secuencias en ponderación STIR, planos (a) axial y (b) coronal, detectan la rotura parcial a nivel de la unión miotendinosa distal de ambos músculos. Se observa bursitis intertrocantérea y edema del vientre muscular a predominio del glúteo menor (flechas).
El tratamiento incluye desde reposo y kinesiología hasta infiltración con corticoides. Se reserva la reparación quirúrgica vía endoscópica con puntos de sutura en el trocánter mayor para las lesiones de grado III8,13.
Piramidal de la pelvisEl músculo piramidal o piriforme se encuentra en la parte profunda de la zona glútea. Por dentro se inserta en la cara lateral y zona media del hueso sacro, extendiéndose con una configuración aplanada hasta alcanzar el borde superior del trocánter mayor. Su función es la rotación externa y abducción del fémur, cuando la pelvis está fija7.
Si bien los desgarros del piramidal son infrecuentes y suelen estar asociados a los de otros músculos de la pelvis, su cuadro clínico puede ocasionar el “síndrome piriforme”. Este se caracteriza por la irritación del nervio ciático cuando pasa por el músculo piriforme, normalmente a nivel de su borde inferior (aunque se han descrito numerosas variantes anatómicas).
Según el trabajo de Ozakiet et al.14, el síndrome del piramidal se asocia comúnmente a los deportes que requieren mucha carrera, cambios de dirección o actividades con soporte de peso, siendo particularmente frecuente en maratonistas. Sin embargo, también puede encontrarse en los llamados “deportistas de fin de semana”6,8.
El tratamiento suele ser reposo y anestesia local, incluyendo infiltraciones locales con corticoides. Si este fracasa, se realiza una neurólisis o descompresión del nervio ciático con una tenotomía del piramidal8,14,15.
Además, el desgarro del piramidal puede asociarse al de otros músculos adyacentes, siendo su compromiso junto con el glúteo medio el más habitual15 (fig. 5).
Desgarro del piriforme o piramidal de la pelvis (flecha interna) y glúteo medio (flecha externa) izquierdos. La secuencia ponderada en STIR, plano axial, registra una rotura fascicular de ambos grupos musculares, con marcados signos de edema de partes blandas. La RM, por su amplio campo visual, permite reconocer desgarros de grupos musculares adyacentes de localización profunda.
La porción psoas se extiende desde el nivel T12-L5 y desciende por la fosa ilíaca, donde se une al ilíaco (el cual tiene sus inserciones proximales a nivel de la cresta y la fosa ilíaca). Ambos presentan su inserción distal en un fuerte tendón común en la parte anterior del trocánter menor, donde existe una bolsa sinovial7. Son principalmente flexores de la cadera y rotadores externos del muslo.
Si bien su presentación clínica suele ser inespecífica, la lesión puede sospecharse cuando el dolor en la ingle aparece de forma súbita y brusca (como si el atleta notara una puñalada al intentar flexionar la cadera)16. La asociación con la distensión de su bursa es frecuente, pero también puede producirse como consecuencia de una tendinopatía crónica. En este caso, la unión miotendinosa distal constituye el sitio más habitual de lesión (fig. 6)16.
Normalmente la curación no se retrasa más de un par de semanas si el corredor detiene por completo el entrenamiento cuando siente dolor y hace reposo hasta que este desaparezca por completo8,16.
Grácil o recto internoSe extiende desde la rama inferior del pubis, siendo medial a los aductores,y alcanza su inserción distal en la cara medial de la tibia para formar parte de la pata de ganso superficial. Su función es aducir el muslo y también ayuda a flexionar y girar la pierna medialmente en la rodilla7.
Constituye una de las causas menos frecuentes de pubalgia del deportista y se asocia a estudios ecográficos previos negativos. Puede encontrarse en cualquier sitio, desde el vientre muscular hasta la unión miotendinosa proximal o distal (fig. 7).
El tratamiento suele ser conservador8.
Cuadrado crural o femoralEs aplanado y tiene forma de cuadrilátero. Se origina en el borde externo de la tuberosidad isquiática, extendiéndose hacia afuera y hacia abajo hasta alcanzar el borde posterior del trocánter mayor7.
Según el estudio de O’Brien et al.17, este músculo forma parte del impingement isquiofemoral, una causa infrecuente de coxalgia. Generalmente ocurre en individuos con antecedentes de trauma o cirugía, aunque puede afectar a deportistas sin antecedentes.
Se caracteriza por un incremento en la intensidad de señal del músculo, el cual puede estar asociado con un acortamiento del espacio entre el isquion y el trocánter menor (fig. 8). El dolor se produce por la irritación del nervio ciático, cuya ubicación es adyacente al cuadrado femoral, en relación posterior.
Desgarro del músculo cuadrado crural y síndrome isquiofemoral derecho. La secuencia ponderada en STIR, plano axial, revela un edema interfibrilar a nivel del músculo cuadrado crural (flecha). También se visualiza un ligero acortamiento del espacio entre la tuberosidad isquiática y el trocánter menor en el lado derecho, en comparación con el contralateral.
El tratamiento consiste en analgésicos, terapias locales, ultrasonido y kinesiología. Es importante el diagnóstico precoz, ya que una vez instalado el cuadro puede progresar y afectar los músculos adyacentes (isquiotibiales, obturador externo y piramidal). Generalmente no es necesario recurrir a la cirugía17,18.
Obturador interno y externoEl obturador interno se extiende desde el reborde interno del agujero obturador, con un trayecto oblicuo superior, hasta alcanzar la punta del trocánter mayor en relación superior con el músculo cuadrado femoral. Es el rotador lateral del muslo7.
Por su parte, el obturador externo nace del reborde lateral del agujero obturador y también del sector pubiano, presentando un trayecto más horizontal hasta alcanzar el sector posteromedial del trocánter mayor. Su acción es la misma que la del obturador interno7.
El desgarro de ambos suele estar asociado al de otros músculos más frecuentes (isquiotibiales) o a fracturas de cadera. Los más comunes ocurren en el obturador externo18.
En general, se trata de roturas parciales en cualquier sitio del músculo (fig. 9). Las lesiones aisladas son poco comunes y suelen darse en deportistas de alto rendimiento (futbolistas), generalmente luego de descartar otras causas.
(a) Desgarro del obturador externo. La secuencia ponderada en STIR, plano axial, evidencia una rotura parcial a nivel de la unión miotendinosa adyacente a su inserción en el sector posterior del trocánter mayor (flecha). La consulta clínica fue por sospecha de desgarro de isquiotibiales. La ecografía resultó negativa. (b) Desgarro del obturador interno. La secuencia ponderada en T2 con supresión grasa, en plano axial, muestra una rotura fascicular (grado II) a nivel del vientre muscular con moderada cantidad de líquido y edema de partes blandas en topografía del pilar posterior del acetábulo adyacente a su inserción en el trocánter mayor (flecha).
El tratamiento habitualmente es conservador.
ExtremidadesMiembro superiorLos desgarros del bíceps braquial, tríceps y braquial anterior representan la topografía más frecuente dentro de los del miembro superior. Estos suelen resolverse en forma sencilla a través del examen físico y estudio ecográfico. Por este motivo, en esta revisión no incluimos su descripción, así como tampoco abarcamos las lesiones musculares y tendinosas presentes a nivel del manguito rotador. Solo mencionamos dos sitios de localización infrecuente de rotura muscular: el deltoides y el coracobraquial.
DeltoidesCubre la extremidad proximal del húmero. Tiene forma triangular y se inicia en el tercio lateral de la clavícula, en el acromion y en la espina de la escápula en sus fascículos anteriores, medios y posteriores, respectivamente. Estos convergen, insertándose en la tuberosidad deltoidea que tiene el húmero en su parte media. Participa prácticamente en todos los movimientos del hombro7.
Las lesiones de este músculo suelen estar asociadas a las del manguito rotador y a casos de luxación acromio-clavicular. Son poco comunes en forma aislada y generalmente ocurren en deportes de choque (como el boxeo o el rugby)8.
En el último tiempo, se han reportado en boxeadores roturas parciales del deltoides, ubicadas a nivel del vientre muscular y la unión miotendinosa adyacente a su inserción humeral, donde habitualmente se encuentran en asociación con edema óseo (fig. 10). El tratamiento suele ser con reposo, excepto en el desgarro grado III con avulsión en la inserción humeral que se realiza una reparación quirúrgica8.
Desgarro del músculo deltoides. Las secuencias ponderadas en STIR, planos (a) coronal y (b) sagital, visualizan un desgarro del vientre muscular a nivel proximal y medio con compromiso de la unión miotendinosa en su inserción humeral, donde convergen los 3 grupos de fibras (clavicular, acromial y escapular) (flechas). El paciente practicaba boxeo.
Se origina en el proceso coracoides de la escápula junto con la porción corta del bíceps braquial, con el cual se encuentra en relación interna. Presenta un trayecto vertical y se inserta en el tercio medio del húmero, en su cara anteromedial. Como músculo, está capacitado más para movimientos rápidos que de fuerza, siendo el elevador del brazo y el depresor del hombro7.
La lesión del coracobraquial suele estar asociada a roturas de otros músculos del brazo de afección más frecuente (como el bíceps o tríceps), y el desgarro habitualmente se encuentra a nivel de la unión miotendinosa proximal, donde se vincula en general con una marcada cantidad de líquido y edema de partes blandas en forma subyacente (fig. 11). Puede producirse por origen traumático o por sobreuso en el caso de deportes como natación, tenis, golf, levantamiento de pesas o lanzamiento.
La conducta terapéutica depende del grado de afectación del resto de los grupos musculares8.
Miembro inferiorEs la localización donde ocurre la mayoría de los desgarros “convencionales”, entre los que se destacan los de los isquiotibiales y los del gemelo interno. Dentro del grupo anterior del muslo, el más comprometido suele ser el recto anterior del cuádriceps6.
Mencionamos a continuación los hallazgos de lesiones musculares a nivel del vasto externo, sóleo y flexor propio del hallux. Si bien estos se encuadran dentro de los infrecuentes, son más asiduos que los descritos en otras regiones.
Vasto externo o lateralDado que ocupa toda la cara externa del muslo, constituye el componente más voluminoso del cuádriceps. Se encuentra en parte oculto por el tendón de la fascia lata y se extiende desde el trocánter mayor y la línea áspera, en dirección caudal y anterior, hasta alcanzar el borde superoexterno de la rótula. Contribuye a formar el tendón de los cuádriceps7.
Además, es el músculo principal en la extensión de la rodilla. Su desgarro en el deportista es muy problemático, en tanto se asocia a luxación rotuliana por su mayor volumen en relación con el vasto interno.
La lesión de forma aislada es posible. Al respecto, se han reportado desde roturas fibrilares grado I hasta avulsiones de su inserción distal.
El mecanismo de afectación más frecuente es una rápida contracción excéntrica del cuádriceps con la rodilla en flexión y el tobillo fijo4,19. Clínicamente, se registra dolor en la cara externa del muslo y en el sector anterior de la rodilla, vinculado con mecanismos de flexo-extensión al correr o saltar.
Las lesiones son más frecuentes a nivel del tercio proximal y medio (fig. 12).
Desgarro del músculo vasto externo. Las secuencias en ponderación STIR, planos (a) axial y (b) coronal, demuestran una rotura de la unión miotendinosa proximal del vasto externo en su inserción a nivel de la línea áspera y trocánter mayor del fémur, que se extiende distalmente a nivel de su tercio medio (flechas). Se asocia a derrame y edema de partes blandas superficiales.
En el tríceps sural son frecuentes las lesiones del gemelo interno, conocidas con el cuadro clínico de tennis leg. Su diagnóstico es sencillo mediante estudio ecográfico6. Por el contrario, los desgarros del sóleo son inusuales y aún menos frecuentes que los del plantar delgado, particularmente en su forma aislada.
Este músculo se extiende desde el sector posterior de la cabeza peronea y el tercio proximal de la tibia y el peroné hasta alcanzar su inserción distal en la tuberosidad calcánea, formando parte del tendón de Aquiles7.
La mayor parte de los casos publicados se trata de roturas parciales con marcado edema muscular y rotura de la aponeurosis entre el sóleo y el gemelo interno (fig. 13).
Desgarro del músculo sóleo. Las secuencias ponderadas en STIR, planos (a) axial y (b) sagital, detectan una rotura parcial a nivel de la unión miotendinosa proximal (flechas). La marcada cantidad de líquido interfascial corresponde a la rotura de la aponeurosis. El paciente no presentaba desgarro asociado del gemelo interno ni del plantar delgado.
El tratamiento suele ser conservador, con elevación del miembro inferior afectado, analgesia local y vendas elásticas. Únicamente se realiza tratamiento quirúrgico en caso de riesgo de síndrome compartimental8.
Flexor propio del hallux o flexor propio del dedo gordoEstá situado en la pantorrilla, a un nivel más profundo que el tríceps sural. Por ello, la evaluación ecográfica de su porción muscular proximal resulta difícil (el examen por este método del sector tendinoso distal es más sencillo). Se extiende desde la parte posterior del tercio inferior del peroné hasta la superficie plantar de la base de la última falange del hallux7.
Si bien suelen observarse con frecuencia lesiones a nivel de su sector tendinoso distal (particularmente en bailarines y atletas), también se han reportado desgarros a nivel más proximal8.
A modo de ejemplo, se menciona una rotura grado III a nivel de la unión miotendinosa distal con marcada cantidad de líquido y edema de partes blandas adyacentes (fig. 14) en un corredor de fondo. La lesión se produjo en el momento del despegue (zancada), donde es fundamental la participación de este músculo. El tratamiento fue conservador.
Desgarro del flexor propio del hallux. Las secuencias ponderadas en STIR, planos (a) axial y (b) sagital, identifican una rotura grado III a nivel del vientre muscular y la unión miotendinosa distal del flexor propio del hallux (flechas). Se trataba de un corredor y la lesión se produjo en el momento de la largada, por lo que el individuo debió abandonar la carrera.
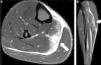
En otro caso la lesión se ubicaba en un sitio más proximal, a nivel del vientre muscular, pero de forma adyacente a la unión miotendinosa. Su contenido era heterogéneo y mostraba un patrón predominantemente sólido, con un sector de fibrosis superior (fig. 15a). Ante la sospecha de lesión neoproliferativa se realizaron secuencias con contraste endovenoso, donde se observó un refuerzo intenso (fig. 15b). Luego de realizar una Rx simple y una ecografía, en las que se encontraron calcificaciones en el sector periférico superior, se decidió realizar una biopsia de la lesión, cuyo resultado final fue negativo para tumor infiltrativo. Se diagnosticó una cicatriz fibrosa calcificada por secuela de lesión muscular y se sugirió su control en un tiempo prudencial mediante RM.
Lesión cicatrizal a nivel del flexor propio del hallux. Las secuencias, ponderadas (a) en STIR en plano coronal y (b) en T1 FS con contraste en plano axial, revelan una lesión a nivel del vientre muscular en el flexor propio del hallux. Esta presenta un aspecto predominantemente sólido con un área de fibrosis adyacente (flecha). Ante la sospecha de lesión infiltrativa primaria, se administró contraste endovenoso y se observó refuerzo heterogéneo (flecha). Sin embargo, la biopsia demostró que se trataba de la secuela de un desgarro.
Debemos tener en cuenta que existe un número importante de lesiones musculares de localizaciones poco frecuentes o profundas que pueden pasar desapercibidas en un estudio ecográfico. Desde esta perspectiva, la RM es el método de elección para detectarlas, ya que gracias a su resolución anatómica y capacidad multiplanar, nos brinda un diagnóstico preciso del grupo muscular afectado y del grado de lesión para poder planificar el tratamiento y la rehabilitación física. Debido a su cantidad de músculos de localización profunda, la región pélvica es la que presenta mayor número de desgarros infrecuentes. Al respecto, es necesario un considerable conocimiento anatómico para detectar el grupo muscular involucrado.
A su vez, la RM posibilita una adecuada diferenciación de tejidos según la secuencia ponderada. En las roturas musculares, el mejor plano para el diagnóstico es el axial y la secuencia más sensible, la ponderada en STIR debido a la supresión de señal del tejido adiposo.
Este método también nos permite descartar y caracterizar otras patologías de similar presentación clínica, particularmente ante la sospecha de un proceso infiltrativo. En este caso, es necesario el seguimiento clínico y por imágenes.
Responsabilidades éticasProtección de personas y animalesLos autores declaran que para esta investigación no se han realizado experimentos en seres humanos ni en animales.
Confidencialidad de los datosLos autores declaran que han seguido los protocolos de su centro de trabajo sobre la publicación de datos de pacientes y que todos los pacientes incluidos en el estudio han recibido información suficiente y han dado su consentimiento informado por escrito para participar en dicho estudio.
Derecho a la privacidad y consentimiento informadoLos autores han obtenido el consentimiento informado de los pacientes y/o sujetos referidos en el artículo. Este documento obra en poder del autor de correspondencia.
Conflicto de interesesLos autores declaran no tener ningún conflicto de intereses.

