El síndrome de retracción de Duane (SRD) es una forma congénita de estrabismo, generado por la agenesia del sexto par craneal asociado a una anómala inervación del músculo recto lateral por el tercer par1–5. Comunicamos el caso de un paciente masculino de 13 años que desde el nacimiento presentó imposibilidad para realizar la abducción del ojo izquierdo, con conservación adecuada de la agudeza visual.
Se realizó una exploración oftalmológica con mirada neutra y abducción bilateral. Los ojos se encontraban en adecuada alineación, tanto en posición primaria (neutra) como cuando miraba hacia la derecha (abducción derecha e izquierda). Al desplazar la mirada hacia la izquierda, había una normal aducción derecha, pero imposibilidad de llevar a cabo la abducción izquierda.
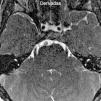
Se solicitó una resonancia magnética (RM) de ambas órbitas con cortes finos en el tronco encefálico, focalizados en la cisterna prepontina, sin gadolinio. En las órbitas no se encontraron alteraciones (no se muestra la imagen), mientras que a nivel de la cisterna pontina en secuencias balanced fast field echo(BFFE) y en ponderación T2 drive tridimensional (3D) con reconstrucción multiplanar se objetivó la ausencia del sexto nervio craneal izquierdo (fig. 1).
El SRD, también conocido como síndrome de Duane o de Stilling Turk Duane, es una infrecuente parálisis congénita del músculo recto lateral, que se debe a una hipoplasia o agenesia del sexto par, como consecuencia de una aplasia del núcleo del sexto par craneal, ausencia o disminución de las neuronas motoras e inervación anómala del músculo recto lateral por ramas del tercer par5,6. Si bien fue descrito por primera vez por Heuk en 1879, y luego por Stilling en 1887 y por Turk en 1899, fue Duane quien lo divulgó en 19051,4,5,7.
Su incidencia es del 0,1%, con una prevalencia en la población general de 1/10000. Corresponde al 1-4% de todos los pacientes con estrabismo y es más frecuente en mujeres con afectación del ojo izquierdo (75% de los casos). El 14% es bilateral, con predominio en el sexo masculino1,4–8.
Constituye un trastorno de la embriogénesis, producido aproximadamente en el segundo mes del embarazo y ha sido asociado con el efecto teratogénico de la talidomida5,6,9. Aproximadamente un 2-5% de los pacientes con SRD expresa un patrón familiar, pudiendo presentarse en forma hereditaria con carácter autosómico dominante, aunque también hay comunicados casos de novo6. El síndrome también ha sido vinculado con alteraciones en los genes SALL 4 y HOXA 1 en los cromosomas 4, 8 y 225–7.
En 1974 Huber clasificó al SRD en tres grupos, según sus características electromiográficas1,3,5–8,10. El tipo I es el más frecuente (80%), muestra restricción completa a la abducción (siendo la aducción normal o limitada) y se asocia con un estrechamiento de la hendidura palpebral y retracción del globo ocular en aducción. El tipo II es el menos habitual (7%), manifiesta una aducción limitada o anulada con una abducción relativamente normal y una retracción del globo ocular en aducción. Por último, el tipo III representa el 15% de los casos y presenta ausencia o limitación de la abducción y la aducción. Nuestro caso se encuadró en el tipo I, siendo la evolución expectante por parte de la familia, con reticencia a la terapéutica quirúrgica.
Las fibras del sexto par (motor ocular externo) se originan en el núcleo ubicado en el piso del cuarto ventrículo a nivel bulbar (núcleo abduccens). De allí emergen a través del surco bulboprotuberancial, extendiéndose hacia delante y arriba en la cisterna pontina, atravesando la duramadre e introduciéndose en el seno cavernoso mediante el canal de Dorello3,4. La mayoría de los pacientes con SRD suele presentar adecuada visión binocular al adoptar tortícolis compensatoria hacia el campo visual del músculo afectado10.
El SRD puede asociarse a anomalías congénitas en el 46% de los casos, siendo las más frecuentes la sordera de percepción y las alteraciones renales, vertebrales o cardíacas. A su vez, se vincula con síndrome de Goldenhar, anomalía de Klippel Fiel, síndrome de Wildervack, heterocromía del iris, nistagmus, microstagmus e hipoplasia del nervio óptico, entre otros1,5–8. Cuando se presentan estas anomalías asociadas, alguno autores lo denominan síndrome de Duane plus6,8.
Una correcta anamnesis, exploración clínica y estudios por imágenes como la RM permiten arribar al diagnóstico correcto3,4. La no visualización del sexto par en la RM confirma el diagnóstico de SRD, especialmente con secuencias ponderadas en T2 y 3D2–4,7. El contraste endovenoso (gadolinio) no es de utilidad.
Los diagnósticos diferenciales deben realizarse con cualquier patología que genere una parálisis de los pares craneales oculomotores, como tumores intracraneales, enfermedades metabólicas y autoinmunes, o aneurismas intracraneales. También deben considerarse: parálisis del sexto par, esotropía infantil, síndrome de Moebius o apraxia oculomotora congénita2,3,6.
El tratamiento puede ser quirúrgico o mediante la aplicación de la toxina botulínica, para corregir la desviación ocular en posición primaria, así como la posición anómala encefálica por la tortícolis compensatoria inaceptable3,6,10.
Confidencialidad de los datosLos autores declaran que han seguido los protocolos de su centro de trabajo sobre la publicación de datos de pacientes y que todos los pacientes incluidos en el estudio han recibido información suficiente y han dado su consentimiento informado por escrito para participar en dicho estudio.
Conflicto de interesesLos autores declaran no tener ningún conflicto de intereses.



