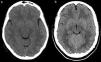
Se describe como signo del tectum picudo o tectum en pico a la morfología que adopta la lámina cuadrigeminal del tronco encefálico en la malformación de Chiari tipo II. Esta se afina posterior e inferiormente, tomando el aspecto de un pico de ave (fig. 1). Fue descrito por primera vez como signo imagenológico por Samuel M. Wolpert en 1987 cuando estudiaba pacientes con la malformación de Arnold Chiari tipo II1.
Características fisiopatológicasEl signo del tectum picudo está determinado por la fusión parcial o completa de los tubérculos cuadrigéminos que conforman un pico que apunta posteriormente y se invagina en el cerebelo2.
Es un signo muy frecuente en la malformación de Chiari tipo II2,3. Esta entidad consiste en una alteración compleja del desarrollo del sistema nervioso central (SNC), caracterizada por una fosa posterior pequeña con desplazamiento inferior del cerebelo y el tronco encefálico a través del foramen magnum. Por este motivo, queda obstruida la salida del líquido cefalorraquídeo (LCR) a través del cuarto ventrículo, generando hidrocefalia asociada. La mayoría de los pacientes presenta, junto con esta patología, una espina bífida abierta (generalmente en la región lumbosacra), por lo que se cree que la fuga del LCR a través de la anomalía espinal produce una reducción del sistema ventricular embrionario. La ausencia de distensión de los espacios con LCR provoca colapso y hernia de las estructuras de la fosa posterior, disgenesia del cuerpo calloso, alteraciones de la migración neuroblástica y anomalías mesenquimatosas3.
Aspectos imagenológicosEl signo del tectum picudo se visualiza fácilmente en los cortes sagitales y axiales de la tomografía computada (TC) y la resonancia magnética (RM)2.
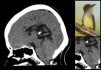
La morfología normal del tectum es cuadrada, con una longitud céfalo-caudal corta. En la malformación de Chiari tipo II, la fusión de los tubérculos cuadrigéminos y el alargamiento del mesencéfalo en sentido caudal y posterior generan una apariencia triangular del mesencéfalo y un afinamiento posterior de los bordes de la lámina cuadrigeminal que dan la apariencia del tectum en forma de pico2 (fig. 2).
Cortes sagitales y axiales de tomografía computada sin contraste endovenoso. (a) Se muestra la configuración habitual del mesencéfalo (flechas). (b) Se observa la configuración triangular del tectum con su vértice apuntando posteriormente, debido a la fusión de los tubérculos cuadrigéminos (flechas).
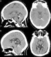
En los cortes axiales se puede evidenciar la extensión lateral del cerebelo alrededor del tronco cerebral que, asociado a una implantación baja del tentorio, dan una forma de corazón a la fosa posterior2 (fig. 3).
Frecuencia de presentaciónSegún diferentes autores, la frecuencia de presentación de este signo varía entre un 41 y un 73% en los pacientes con Chiari tipo II1,4.
En el estudio realizado por Geerdink et al.4 se demostró una fuerte asociación entre el disrafismo espinal abierto y la presencia del tectum en pico en la malformación de Chiari tipo II, pero no se observó este signo en pacientes con Chiari II y disrafismo espinal cerrado o sin él.
Importancia de su identificaciónSu reconocimiento en las imágenes permite prácticamente realizar el diagnóstico de malformación de Chiari tipo II, dado que es característico de esta entidad, y ayuda a descartar rápidamente otros diagnósticos diferenciales4.
Su presencia en las imágenes nos obliga a iniciar la búsqueda de otras características morfológicas que se asocian fuertemente con la malformación de Chiari tipo II, como: la herniación baja del cerebelo, el cuarto ventrículo comprimido y descendido, el desplazamiento inferior de la médula espinal y la protuberancia, la torsión en la unión cervicomedular y el tentorio hipoplásico de inserción baja3.
Diagnósticos diferencialesRara vez la deformidad del cerebro medio en forma de pico se observa en pacientes con otras patologías, como la estenosis del acueducto de Silvio sin malformación de Chiari, y en pacientes con malformación de Dandy–Walker5.
ConclusiónEl signo del tectum picudo se puede reconocer en los cortes sagitales y axiales de la TC y RM de los pacientes con malformación de Chiari tipo II. Es de los hallazgos más consistentes en esta patología, por tanto su visualización obliga al médico especialista a investigar la presencia de otros signos del SNC asociados.
Confidencialidad de los datosLos autores declaran que han seguido los protocolos de su centro de trabajo sobre la publicación de datos de pacientes y que todos los pacientes incluidos en el estudio han recibido información suficiente y han dado su consentimiento informado por escrito.
Conflicto de interesesLos autores declaran no tener ningún conflicto de intereses.





