El signo del moño y la mantilla ha sido reportado por primera vez por Soliva et al. en 20141. La entidad es exclusiva del síndrome del ligamento arcuato mediano del diafragma, el cual es clínicamente inespecífico (dolor epigástrico posprandrial, pérdida de peso ocasional, diarrea, náuseas, vómitos e incluso malabsorción intestinal) y se caracteriza por la compresión extrínseca del ligamento arcuato mediano sobre el origen del tronco celíaco, provocando estenosis de su luz con repercusión hemodinámica significativa1.
El ligamento arcuato mediano es una estructura fibrosa que une entre sí las dos cruras diafragmáticas y abraza la aorta por su cara anterior a nivel del hiato aórtico. Usualmente se localiza de forma craneal al origen del tronco celíaco, pero en ocasiones (10-24% de la población general) presenta una localización baja, en contacto con el origen del tronco celíaco, pudiendo llegar a comprimirlo. Si la compresión es lo suficientemente importante, la estenosis secundaria de la luz producirá alteraciones hemodinámicas en el flujo arterial con episodios isquémicos distales, dando lugar al síndrome del ligamento arcuato mediano. Esta impronta arterial se acentúa con la expiración forzada, maniobra en la que el ostium del tronco celíaco se desplaza cranealmente, mientras que el ligamento mantiene su posición2.
Para el diagnóstico de este síndrome, es necesario confirmar la compresión del origen del tronco celíaco por parte del ligamento arcuato mediano, con estenosis secundaria de su luz. Esto le da la típica morfología en “gancho” o “garfio”, que es el signo clásico descrito en la proyección lateral angiográfica, así como en estudios con tomografía computada multidetector (TCMD), ya sea en reconstrucciones en el plano sagital (fig. 1) o de angiografía por tomografía computada (TC) (fig. 2), o bien de angiografía por resonancia magnética (RM) en el plano sagital. A su vez, es necesario constatar las alteraciones vasculares secundarias al compromiso hemodinámico (dilataciones posestenóticas, circulación colateral, pseudoaneurismas distales y/o ateromatosis local) y descartar otras causas de compresión extrínseca mediante TC3.
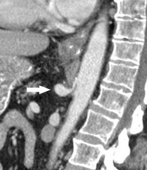
Reconstrucción en plano sagital (TCMD) en inspiración forzada. Impronta del ligamento arcuato mediano sobre el origen del tronco celíaco, estenosando su luz y dándole la típica morfología en “gancho”, con dilatación posestenótica asociada (flecha): síndrome del ligamento arcuato mediano. (Tomado de Soliva Martínez D, Fernández Iglesias P, Belda González I, Martínez Yunta JA, Hernández Muñoz L, Blanco López ME. Hallazgos poco conocidos en el síndrome del ligamento arcuato mediano. 10.1594/seram2014/S-0407).
Reconstrucción vascular (TCMD) en inspiración forzada del mismo paciente. Se visualiza el segmento proximal del tronco celíaco con la típica morfología en forma de “gancho” y estenosis de su luz en el origen por impronta de ligamento arcuato mediano (flecha), y dilatación posestenótica: síndrome del ligamento arcuato mediano. (Tomado de Soliva Martínez D, Fernández Iglesias P, Belda González I, Martínez Yunta JA, Hernández Muñoz L, Blanco López ME. Hallazgos poco conocidos en el síndrome del ligamento arcuato mediano. 10.1594/seram2014/S-0407).
La clínica inespecífica y su desconocimiento, pese a la alta prevalencia de la disposición anatómica descrita, hacen que esta entidad sea poco sospechada en la práctica clínica diaria, por lo que usualmente no se realizan por protocolo reconstrucciones multiplanares sagitales (TCMD), ni angiografías por TC, ni arteriografías dirigidas a su diagnóstico. Además, no todos los centros cuentan con estos servicios o equipamiento. Por ello, resulta importante conocer este signo en tanto es visible en los cortes axiales habituales de TC.
La imagen radiológica que define al signo del moño y la mantilla en el síndrome del ligamento arcuato mediano del diafragma consiste en la visualización, en un mismo plano axial, del tronco celíaco comprimido y deformado entre la aorta abdominal ubicada dorsalmente y el ligamento arcuato mediano localizado ventralmente, el cual rodea prácticamente a los otros dos (fig. 3). Estos hallazgos asemejan una cabeza (aorta) tocada con un moño (origen del tronco celíaco) y cubierta por un paño (ligamento arcuato mediano). Esta analogía es el motivo de su nombre (fig. 4).
Signo del moño y la mantilla en el síndrome del ligamento arcuato mediano del diafragma: corte tomográfico convencional en plano axial del mismo paciente donde se aprecia el tronco celíaco comprimido y deformado entre la aorta abdominal ubicada dorsalmente y el ligamento arcuato mediano localizado ventralmente (flecha). Este último rodea prácticamente a los otros. (Tomado de Soliva Martínez D, Fernández Iglesias P, Belda González I, Martínez Yunta JA, Hernández Muñoz L, Blanco López ME. Hallazgos poco conocidos en el síndrome del ligamento arcuato mediano. 10.1594/seram2014/S-0407).
Ilustración del signo del moño y la mantilla en el síndrome del ligamento arcuato mediano del diafragma. De izquierda a derecha: TC convencional en el plano axial (otro paciente), representación esquemática del signo y modelo representativo. (Tomado de Soliva Martínez D, Fernández Iglesias P, Belda González I, Martínez Yunta JA, Hernández Muñoz L, Blanco López ME. Hallazgos poco conocidos en el síndrome del ligamento arcuato mediano. 10.1594/seram2014/S-0407).
El protocolo habitual de TC se realiza en inspiración forzada, por lo que la impronta del ligamento arcuato mediano sobre el origen del tronco celíaco se encuentra en el menor grado posible en cada paciente. Si se identifica este signo radiológico, se puede sospechar el síndrome del ligamento arcuato mediano con suficiente seguridad y certeza, ya que con la expiración, la compresión siempre es mucho mayor.
El síndrome se presenta en los estudios vasculares con hallazgos clásicos, típicos y bien conocidos (figs. 1 y 2), que se correlacionan con el signo del moño y la mantilla (fig. 4), visualizado en el plano axial convencional de TC (fig. 3). Este permite establecer el diagnóstico en estudios no dirigidos.






