El linfoma es una neoplasia que puede comprometer con frecuencia al sistema genitourinario, en especial a los riñones. En su mayoría son secundarios a una afectación sistémica.
Describimos los hallazgos imagenológicos de los distintos patrones de presentación del linfoma renal.
Lymphoma is a malignancy that can frequently affect genitourinary system, especially the kidneys. They are usually secondary to systemic involvement.
The different imaging patterns of renal lymphoma are described.
La extensión extraganglionar del linfoma a menudo afecta el sistema genitourinario, siendo este el segundo lugar comprometido después de los órganos hematopoyéticos y reticuloendoteliales1.
El linfoma primario renal es poco frecuente (1% de los linfomas extraganglionares), debido a que los riñones no poseen tejido linfático. En su gran mayoría se produce por un compromiso secundario, principalmente por el linfoma no Hodgkin de tipo B2–5.
Si bien en diversos estudios de autopsia el compromiso renal por linfoma oscila entre el 30 y el 60%, su visualización durante la estadificación solo se observa en un 3-8% de los exámenes imagenológicos6–8.
En el aparato genitourinario, el riñón es el órgano más afectado por diseminación secundaria de esta patología, en especial en los pacientes inmunodeprimidos o trasplantados; mientras que el testículo es la localización más frecuente de los linfomas primarios en los mayores de 65 años1,9,10.
El linfoma renal tiene una forma de presentacion clínica muy variada y habitualmente constituye un hallazgo incidental (hasta un 50%). Puede aparecer con síntomas inespecíficos, como dolor lumbar o en el flanco, masa palpable, pérdida de peso, hematuria o incluso insuficiencia renal10–12.
Sus diagnósticos diferenciales son numerosos: carcinoma de células renales, tumores renales sincrónicos, metástasis (pulmón-mama), pielonefritis, pielonefritis xantogranulomatosa, carcinoma de células transicionales, compromiso renal de procesos inflamatorios de órganos adyacentes (pancreatitis), etc.6
En imágenes, los hallazgos abarcan masas múltiples, extensión retroperitoneal contigua, masa solitaria, enfermedad infiltrativa difusa y compromiso perirrenal (tabla 1).
Formas de presentación del linfoma renal
| MASAS MÚLTIPLES | • Patrón más frecuente (60%) |
| • Bilaterales: tamaño de 1-3cm | |
| • Isodensas o levemente hiperdensas sin contraste | |
| • Tenue realce homogéneo | |
| • Adenomegalias retroperitoneales (50%) | |
| • DD: metástasis, abscesos y pielonefritis focales | |
| EXTENSIÓN RETROPERITONEAL CONTIGUA | • Segunda forma de presentación (11-25%) |
| • Masa retroperitoneal hipodensa y con escaso realce poscontraste | |
| • Infiltra el parénquima a través de la cápsula o el hilio | |
| • No produce trombosis | |
| • Puede producir hidronefrosis | |
| • DD: metástasis | |
| MASA SOLITARIA | • Se presenta en un 10% de los casos |
| • Es la forma más inespecífica | |
| • Hipovascular con mínimo realce | |
| • Tamaño hasta 15cm | |
| • DD: Carcinoma de células renales (papilares/cromófobos) y metástasis | |
| ENFERMEDAD INFILTRATIVA DIFUSA | • Descrita en un 20% de casos• Uni o bilateral• Crecimiento a nivel intersticial• Nefromegalia con morfología conservada• Presencia más común en linfoma de Burkitt• DD: pielonefritis |
| COMPROMISO PERIRRENAL | • Es infrecuente, pero muy sugestivo de linfoma |
| • Por extensión directa retroperitoneal o enfermedad del parénquima | |
| • Rodea el riñón sin compresión ni alteración funcional | |
| • Iso-hiperdenso sin contraste | |
| • Hipodenso con contraste endovenoso | |
| • DD: invasión tumoral o inflamatoria vecina | |
La tomografía computada multidetector (TCMD) es el método de elección para el estudio de pacientes con sospecha de linfoma renal, tanto para la detección de lesiones focales como para la evaluación del compromiso del espacio perirrenal y retroperitoneal. Además, permite valorar la extensión de la enfermedad1. El contraste endovenoso se administra para encontrar lesiones sutiles o pequeñas, visibles en la valoración de la fase nefrográfica.
En cuanto a la resonancia magnética (RM), esta suele indicarse en pacientes que tienen contraindicado el contraste yodado; mientras que la ecografía, al ser menos sensible que la tomografía y la resonancia para la detección del linfoma renal, se utiliza como guía para la toma de biopsia percutánea.
A continuación, se describen los distintos patrones radiológicos del compromiso renal por linfoma: masas múltiples o solitaria, invasión por contigüidad desde el retroperitoneo, afección perirrenal e infiltración difusa.
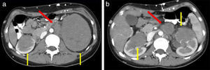
DesarrolloMasas múltiplesEs el patrón más frecuente y se visualiza en aproximadamente un 60% de los casos. Si bien es posible una afección renal unilateral, en su mayoría esta es bilateral1,6,7,12.
La masas se observan encapsuladas o con bordes irregulares, y miden 1-3 cm1,12. Pueden tener densidad de partes blandas, ser isodensas o levemente hiperdensas sin contraste (entre 30-50 Unidades Hounsfield), con un tenue realce homogéneo tras su administración (fig. 1)6,8.
Se acompañan de adenomegalias retroperitoneales (50%), lo cual ayuda al diagnóstico1,2.
Entre los diagnósticos diferenciales se deben considerar la metástasis, los abscesos, la pielonefritis focal y la enfermedad de Von Hippel Lindau1,12,13.
Extensión retroperitoneal contiguaEs la segunda forma de presentación, con un 11-25% de los casos1,14. Generalmente, los pacientes evidencian una masa retroperitoneal voluminosa, hipodensa con escaso realce poscontraste, que infiltra el parénquima renal a través de la cápsula o el hilio, envolviendo las arterias y las venas sin producir trombosis. El atrapamiento de los uréteres puede causar hidronefrosis1,2,12(fig. 2).
El diagnóstico diferencial incluye metástasis de adenocarcinoma de próstata, colon o tumor primario desconocido6.
Masa solitariaSe encuentra en el 10% de los casos, siendo esta la forma más inespecífica1.
En promedio la masa mide 15cm, puede deformar el contorno renal y se muestra típicamente hipovascular, con un mínimo realce tras la administración del contraste (lo que ayuda a distinguirla del carcinoma de células renales)1,6,12 (fig. 3).
Los diagnósticos diferenciales abarcan el carcinoma de células renales (tumores papilares/cromófobos), las metástasis y el tumor de Wilms en niños2,6–8. A veces es necesaria la biopsia con aguja fina para diferenciarla de otras imágenes nodulares, como el adenocarcinoma renal1,8,9.
Enfermedad infiltrativa difusaDescrita en un 20% de los casos, puede ser uni o bilateral, y muestra crecimiento a nivel intersticial. Como resultado, produce nefromegalia con preservación de la morfología renal3,6 (fig. 4).
Tras la administración del contraste endovenoso, se observa realce heterogéneo con pérdida de la diferenciación normal córtico-medular e infiltración del seno renal1.
Es la aparición más común en el linfoma de Burkitt, y cursa con insuficiencia renal por la alteración de la arquitectura del riñón (generada por la infiltración).
El diagnóstico diferencial debe hacerse con la pielonefritis y el carcinoma de células transicionales1,6,12,13.
Compromiso perirrenalEs el menos común, pero el más patognomónico de linfoma renal1–3,14 (fig. 5). Suele ser más frecuente por extensión directa retroperitoneal o enfermedad del parénquima, y se observa rodeando completamente el riñón sin compresión del parénquima ni alteración de la función renal6,12.
La lesiones son hiperdensas sin contraste e hipodensas luego de la administración del contraste endovenoso, y presentan engrosamiento de la fascia de Gerota e infiltración del seno6,14.
El diagnóstico diferencial se realiza con la invasión de tumores o procesos inflamatorios de órganos vecinos, fibrosis retroperitoneal, amiloidosis y hematoma perinéfrico1,15.
ConclusiónEl sistema genitourinario a menudo se encuentra afectado por procesos linfoproliferativos. El compromiso renal por el linfoma no Hodgkin es más frecuente como afección secundaria que primaria.
Sus distintas formas de presentación deben ser reconocidas por los imagenólogos para establecer un diagnóstico correcto y temprano.
Responsabilidades éticasProtección de personas y animalesLos autores declaran que para esta investigación no se han realizado experimentos en seres humanos ni en animales.
Confidencialidad de los datosLos autores declaran que han seguido los protocolos de su centro de trabajo sobre la publicación de datos de pacientes y que todos los pacientes incluidos en el estudio han recibido información suficiente y han dado su consentimiento informado por escrito para participar en dicho estudio.
Derecho a la privacidad y consentimiento informadoLos autores han obtenido el consentimiento informado de los pacientes y/o sujetos referidos en el artículo. Este documento obra en poder del autor de correspondencia.
Conflicto de interesesLos autores declaran no tener ningún conflicto de intereses, excepto el Dr. Kozima que declara como posible conflicto de interés ser miembro de la Comisión Directiva de la SAR y el Dr. Espil que declara ser revisor junior de la Revista Argentina de Radiología.








