El carcinoma renal constituye una de las neoplasias más frecuentes y letales. El uso extendido de los métodos por imágenes, particularmente la ecografía y la tomografía computada multicorte (TCMC), por su mayor sensibilidad, ha generado un gran número de diagnósticos incidentales. La nefrectomía parcial (NP) es una técnica quirúrgica cuya indicación se ha incrementado en los últimos años, siendo la de preferencia para remover pequeños tumores renales debido a que ofrece una mejor función renal residual.
Con el fin de evaluar la posibilidad de realizar una NP y estimar el grado de dificultad de la cirugía, Kutikov y Uzzo desarrollaron un sistema de puntuación llamado RENAL score (RS). Este se basa en las características anatómicas quirúrgicamente más relevantes de las neoplasias renales sólidas. Evalúa el radio tumoral máximo (R), la proporción de componente exofítico/endofítico (E), el nearness o cercanía al sistema colector (N), su posición anterior/posterior respecto al eje hiliar (A) y la localización relativa a las líneas polares (L). Cuatro de estos componentes suman puntos para el cálculo de la nefrometría y su resultado clasifica a los tumores según su complejidad quirúrgica en baja, moderada o alta. Los radiólogos deben conocer el RS e incluir la puntuación en sus informes, ya que provee información anatómica muy completa para una posible cirugía.
El objetivo de este trabajo es describir los componentes y la forma de calcular el sistema de puntuación RS, utilizando imágenes de TCMC.
Renal carcinoma is one of the most common and letal cancers. The widespread use of imaging techniques, particularly ultrasound and multislice computed tomography (MSCT), and its increased sensitivity, has led to a large number of incidental diagnoses. Partial nephrectomy (PN) has increased in recent years. This technique is chosen to remove small renal tumours because it offers better residual renal function.
In order to evaluate the possibility of a PN and to estimate the degree of surgical difficulty, Uzzo and Kutikov have developed a scoring system called RENAL score (RS) based on the most relevant anatomical surgical characteristics of solid kidney masses. It evaluates the maximum tumour radius (R), exophytic/endophytic proportion (E), nearness to the collecting system (N), anterior/posterior descriptor (A), and location relative to the polar lines (L). Four of these components add points for the nephrometry calculation, and the result stratifies tumours into low, moderate, and high surgical complexity. Radiologists must understand how to calculate the RS, and should include it in diagnostic reports in order to provide complete anatomical information for the possible surgery.
The purpose of this paper is to describe the components of the RS and its calculation using MSCT images.
El carcinoma renal constituye una de las neoplasias sólidas más letales. Corresponde al 2,6% de todas las neoplasias malignas primarias del adulto y representa el 85% de las masas sólidas y sólido-quísticas del riñón1. Su diagnóstico se basa en estudios por imágenes, ya que no existen marcadores que ayuden a la detección precoz de este tumor. Aproximadamente la mitad de los nuevos diagnósticos se realizan de forma incidental durante estudios imagenológicos hechos por otras causas2. Esto se ve favorecido por el uso generalizado y la mayor sensibilidad de los métodos por imágenes.
La nefrectomía parcial (NP) es una técnica quirúrgica cuya indicación se ha visto incrementada en los últimos años, siendo la de preferencia para remover pequeños tumores renales debido a que ofrece una mejor función renal residual2–5. En el 2009, el comité de guías clínicas de la Asociación Americana de Urología (AAU) recomendó la realización de la NP siempre que fuese posible en masas renales T16. Al respecto, Cooperberg et al.7 demostraron que la incidencia de la NP entre los años 1997 y 2003 aumentó de un 15,3% a un 61,1%, de un 11% a un 44,2% y de un 7,2% a un 31,1% en tumores menores de 2cm, de 2 a 2,9cm y de 3 a 3,9cm, respectivamente, según la base de datos sobre cáncer de Estados Unidos.
Con el fin de evaluar la posibilidad de realizar una NP y estimar el grado de dificultad de la cirugía, en el año 2009 Kutikov y Uzzo desarrollaron un sistema de puntuación, llamado RENAL score (RS), que se basa en las características anatómicas quirúrgicamente más relevantes de las neoplasias renales sólidas5. Este evalúa el Radio (diámetro máximo tumoral), la proporción Exofítica/endofítica (según la cantidad de tejido tumoral ubicado dentro y fuera del contorno teórico del riñón), el Nearness (cercanía de la parte más profunda del tumor al seno renal, particularmente respecto del sistema colector), la localización Anterior (a)/posterior (p) y la Localización relativa a las líneas polares. Esta escala es usada por los urólogos para predecir el grado de dificultad técnica en el abordaje quirúrgico, permitiendo así una mejor planificación preoperatoria8.
Sin embargo, existen otros sistemas de puntuación para tumores renales, como el PADUA (preoperative aspects and dimensions used for anatomic classification), basado al igual que el RS en las características anatómicas del tumor, como el tamaño, la localización respecto a las líneas polares y al borde renal, la localización anterior o posterior, y la afectación del sistema colector y del seno renal. Asimismo, se ha desarrollado el CI (centrality index), que estima la centralidad del tumor mediante un cálculo matemático, dividiendo la distancia entre el centro del tumor y el del riñón por el radio tumoral9. A pesar de que los tres esquemas intentan ayudar en la toma de decisiones antes de la cirugía, el RS es el primero que cuantifica objetivamente la complejidad quirúrgica tumoral.
Debido al uso cada vez más difundido del RS por parte de los urólogos, es importante que los radiólogos conozcan su importancia y utilidad, así como también deben saber calcular la puntuación para incluirla en los informes de los tumores renales.
El objetivo de este trabajo es describir los componentes, la manera de puntuar, y determinar la nefrometría utilizando imágenes de tomografía computada multicorte (TCMC).
Sistema de puntuación RENAL scoreCaracterísticas generalesEl RS se compone de cinco características importantes desde el punto de vista quirúrgico, pero solo cuatro suman puntos para el cálculo de la nefrometría (R.E.N.L.) en una escala de 1, 2 y 3 puntos. El quinto ítem, el A, agrega un sufijo (esto es, a de anterior o p de posterior) a la puntuación, según la localización de la lesión. Si el tumor no encuadra en esas categorías, se agrega como sufijo una x (tabla 1).
Sistema de puntuación RENAL score
| Componente | Puntuación | |||
|---|---|---|---|---|
| 1 punto | 2 puntos | 3 puntos | ||
| R | Radio, diámetro máximo (cm) | ≤ 4 | > 4 y<7 | ≥ 7 |
| E | Exofítico/endofítico | > 50% exofítico | < 50% exofítico | Completamente endofítico |
| N | Cercanía al sistema colector, seno renal (mm) | ≥ 7 | > 4 y<7 | ≤ 4 |
| A | Localización anterior/posterior | No se asignan puntos. Se agrega sufijo “a”, “p” o “x” según la localización tumoral | ||
| L | Localización relativa a las líneas polares | Completamente por encima o por debajo de las líneas polares | Cruza una línea polar | > 50% de la masa cruza la línea polar o la masa se encuentra 100% entre las líneas polares o la masa cruza la línea media renal |
El resultado de la sumatoria clasifica los tumores según su complejidad quirúrgica en: baja (entre 4 y 6 puntos), moderada (entre 7 y 9 puntos) y alta (entre 10 y 12 puntos).
Características particulares de los componentesRadio (R)Este componente representa el diámetro máximo del tumor en cualquier plano. La importancia de la variable en el pronóstico y manejo de los tumores renales es bien conocida, y se utilizó como referencia el sistema de puntuación TNM del año 2002, asignando un punto a las lesiones menores o iguales a 4cm, dos puntos a aquellas entre 4 y 7cm y tres puntos a las mayores o iguales a 7 cm10. Consideramos que la mejor fase para su valoración es la nefrográfica, ya que el realce homogéneo del parénquima mejora la delimitación del tumor (fig. 1).
Componente R: diámetro tumoral máximo (líneas blancas), elegido en cualquiera de los planos. La TCMC del abdomen con contraste endovenoso, en fase nefrográfica, en planos (a) axial, (b) coronal y (c) sagital, presenta una lesión con un diámetro mayor en el plano coronal (40,3mm), por lo que se le asigna un punto. En el plano axial mide 33,4mm y en el sagital 30,5mm.
Otra variable importante para la resecabilidad tumoral es la proporción del componente por fuera (exofítico) y por dentro (endofítico) de la lesión respecto del borde o contorno teórico del riñón. Los predominantemente exofíticos tienden a ser más fácilmente removibles con o sin pinzamiento hiliar5. La mejor definición del contorno renal se logra en la fase corticomedular, por lo que debería emplearse esta fase para definir este componente.
Antes del RS, no existía un consenso o una forma uniforme de cuantificar esta característica. El componente E designa puntos en una escala del 1 al 3: a los que se proyectan más del 50% de su extensión por fuera del contorno renal se les asigna un punto, a los que lo hacen menos del 50% se les da dos puntos, y si son completamente endofíticos (rodeados en 360° por parénquima renal no comprometido) reciben tres puntos (figs. 2–5).
Relación endofítico/exofítico: 1) la lesión predominantemente exofítica se proyecta más del 50% por fuera del contorno renal, por lo que se le asigna un punto, 2) la lesión predominantemente endofítica se proyecta menos del 50% por fuera del contorno renal, por lo que se le da dos puntos, y 3) la lesión completamente endofítica recibe tres puntos.
TCMC, en planos (a) axial (b) coronal y (c) sagital, de una mujer de 49 años con carcinoma de células claras de 5,5cm (flechas). La línea blanca delimita dónde debería estar el contorno renal para determinar el componente E (exofítico/endofítico). La masa se encuentra más del 50% exofítica, por lo que E es igual a un punto. Se pueden utilizar cualquiera de los planos. RS: 2+1+1+a+1=5a (baja complejidad quirúrgica).
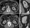
TCMC, en planos (a) axial, (b) coronal, (c) axial en fase excretora y (d) sagital, de una mujer de 48 años de edad con carcinoma de células claras de 2cm (flechas). El tumor se encuentra menos del 50% exofítico, en relación con la línea blanca que delimita el contorno renal, por lo que E es igual a dos. RS: 1+2+3+x+3=9x (mediana complejidad quirúrgica).
TCMC, en planos (a) axial, (b) coronal, (c) axial en fase excretora y (d) sagital, de una mujer de 26 años de edad con carcinoma de células claras de 3cm con bordes calcificados (flechas). La masa es completamente endofítica, por lo que E es igual a tres. RS: 1+3+3+x+2=9x (mediana complejidad quirúrgica).
A pesar de que la mayoría de las masas son esféricas y simétricas, hay otras que no, por lo que la puntuación es dada según la característica predominante en cualquier plano (axial, coronal o sagital). A su vez, los contornos renales normales pueden estar distorsionados por la lesión, entonces se cuantifica tomando como referencia el sitio donde estaría el contorno renal si el tumor no existiera.
Para determinar el porcentaje exofítico del tumor se sugiere comparar las medidas de la superficie renal normal hasta el componente más exofítico con la medida de la superficie renal normal hasta el componente más endofítico. Estas dos medidas pueden ser tomadas en diferentes planos5.
Nearness, cercanía (N)El componente N denota la cercanía del sector más profundo del tumor al sistema excretor o seno renal. Esto es relevante para evaluar la resecabilidad del tumor y la necesidad de realizar reconstrucciones complejas. Si la distancia de la parte más cercana del tumor al sistema excretor o seno renal es igual o mayor de 7mm, se asigna un punto; mientras que si está entre 4 y 7mm, se le otorgan dos puntos. Los tumores que se encuentran en contacto, invaden o están a 4mm o menos del sistema colector o seno renal suponen tres puntos.
Los valores de corte 4 y 7 fueron utilizados para simplificar la escala y asemejarla a la usada para la medición del radio tumoral. El análisis de esta medida se realiza mejor con imágenes en la fase excretora (figs. 6 y 7).
TCMC, en planos (a) axial, (b) coronal en fase excretora y (c) sagital en fase excretora, de un hombre de 67 años de edad con carcinoma de células renales, variedad papilar, de 6,2cm (flechas). La lesión se encuentra a más de 7mm del sistema colector o seno renal (línea roja). El N es igual a uno. RS: 2+1+1+p+1=5p (baja complejidad quirúrgica).
TCMC, en planos (a) axial, (b) coronal en fase excretora y (c) axial en fase excretora y (d) sagital, de un hombre de 43 años de edad con carcinoma de células claras de 6,3cm (flechas). La masa se encuentra a menos de 2mm del sistema colector o seno renal (esto es evaluado mejor en fase excretora). El N es igual a tres. RS: 2+2+3+p+2=9p (mediana complejidad quirúrgica).
El componente A no suma en el cálculo de la nefrometría de la lesión. Se establece tomando como referencia la línea media renal en las imágenes axiales, siendo esta línea paralela a la dirección de las estructuras hiliares. Si el tumor es anterior a la línea media renal, se agrega el sufijo a; pero si es posterior, se añade una p (fig. 8).
(a) Hombre de 61 años de edad con carcinoma de células claras de 3,5cm (flecha) localizado por delante de la línea media renal (línea blanca) del riñón izquierdo. RS: 1+2+3+a+3=9a (mediana complejidad quirúrgica). (b) Hombre de 73 años de edad con carcinoma de células claras de 3,4cm (flecha) localizado por detrás de la línea media renal (línea blanca) del riñón derecho. RS: 1+2+2+p+2=7p (mediana complejidad quirúrgica).
Esto es importante para seleccionar el manejo de la cirugía abierta (subcostal anterior, subcostal anterior bilateral o incisión de Chevron, toracoabdominal, flanco) (fig. 9), laparoscópica/robótica (transperitoneal o retroperitoneal), o bien para la ablación térmica5,11.
Si el tumor no encuadra en las categorías a o p (p. ej. los de localización lateral o central), se asigna el sufijo x. Este o cualquier de los otros dos, se usan al final de la suma del cálculo de la nefrometría.
También se puede añadir el sufijo h por su localización hiliar, cuando el tumor se encuentra en contacto con los vasos renales principales (figs. 10 y 11).
(a, b y c) Hombre de 63 años de edad con carcinoma de células renales de 5,3cm en el riñón izquierdo (flechas). El sufijo x es utilizado por la localización central de la lesión y, además, se agrega el sufijo h por su localización hiliar, al presentar contacto con los vasos renales principales, en este caso con la arteria renal (cabeza de flecha). RS: 2+3+3+x+3=11xh (alta complejidad quirúrgica).
TCMC, en planos (a) axial entre las líneas polares, (b) axial en fase excretora y (c) coronal, de un hombre de 79 años de edad con carcinoma de células claras de 4cm (flechas). La porción más medial del parénquima renal es interrumpido por la grasa del seno renal. La masa cruza la línea media renal (línea punteada). El L es igual a tres. Por su localización hiliar se agrega a la puntuación el sufijo h. RS: 1+2+3+x+3=9xh (mediana complejidad quirúrgica).
El componente L se define por las líneas polares, delimitadas por el pedículo vascular renal, donde la porción más medial del parénquima renal se ve interrumpida por la grasa del seno renal, los vasos o el sistema colector. Puede ser determinado en imágenes axiales o coronales.
Si el tumor asienta completamente por encima o por debajo de las líneas polares, se asigna un punto; si cruza una de las líneas, se le da dos puntos; y si cruza la línea polar más del 50% o se encuentra entre las dos líneas polares o cruza la línea media renal, se conceden tres puntos (figs. 12 y 13).
Escala de puntuación del componente L del RS. Las líneas polares están representadas por las líneas sólidas y la línea media renal por la línea punteada. L es igual (a) a uno, cuando la lesión está por encima o por debajo de las líneas polares; (b) a dos, cuando la masa cruza la línea polar, y (c) a tres (la a muestra el cruce de más del 50% la línea polar, la b la ubicación entre las dos líneas polares y la c el cruce de la línea media renal).
TCMC de un hombre de 70 años de edad muestra dos carcinomas de células renales de 2,8 y 2cm en el polo superior del riñón izquierdo (flechas). (a) En el plano axial se observan por encima de la línea polar y el parénquima renal no es interrumpido por la grasa del seno renal, los vasos o el sistema colector. L es igual a uno. RS: 1+1+3+x+1=6x (baja complejidad quirúrgica). (b) En el plano axial se evidencian entre las dos líneas polares, notándose interrumpida la porción más medial del parénquima renal por los vasos y la grasa del seno renal. L es igual a dos. RS: 1+3+3+p+2=9p (mediana complejidad quirúrgica). (c) En el plano coronal, las líneas blancas delimitan las líneas polares.
Como se mencionó, la nefrometría calculada con el RS clasifica a los tumores renales por su complejidad quirúrgica en baja (entre 4 y 6 puntos; fig. 14), mediana (entre 7 y 9 puntos; figs. 11 y 15) o alta (entre 10 y 12 puntos; fig. 10).
Los componentes R y L del RS son importantes para decidir sobre la nefrectomía radical laparoscópica, mientras que el componente E es relevante para la nefrectomía parcial laparoscópica (NPL)12.
Kutikov y Uzzo5 analizaron retrospectivamente la modalidad quirúrgica utilizada para 50 masas renales. Los tumores de baja y moderada complejidad en su mayor parte se resecaron mediante NP con enfoque mínimamente invasivo, mientras que para los de alta complejidad se utilizó la nefrectomía parcial abierta (NPA) o la radical laparoscópica (NRL). Otros estudios también encontraron puntajes significativamente mayores del RS en NRL y NPA versus NPL3,13,14. El RS representa una herramienta de categorización de las lesiones renales que facilita las comparaciones entre las modalidades terapéuticas para las lesiones de similar complejidad.
Aquellos puntajes más elevados en el RS están vinculados con una estadificación patológica más alta en especímenes de nefrectomía radical de carcinomas de células claras clínicamente T115. Esto se ha visto especialmente por invasión de la grasa perirrenal o del seno renal en las muestras patológicas de NR (componenteN). Estos datos apoyarían la relación entre el RS y la agresividad tumoral.
El aumento en el RS se ha asociado con un mayor tiempo quirúrgico, un incremento de tiempo de la isquemia caliente en la NPA y una mayor pérdida de sangre en la NPL3,16. Por su parte, los tumores de baja complejidad quirúrgica han presentado menos tiempo de isquemia caliente y un menor cambio en la tasa de filtrado glomerular después de una NPL, en comparación con los de alta complejidad17,18. Estos datos estarían reforzando la relación entre el RS y la complejidad del tumor.
Rosevear et al.19 obtuvieron puntajes más elevados en el RS de las NP con complicaciones posoperatorias que en aquellas sin complicaciones. El incremento de un punto en el RS y los tumores de localización posterior están asociados con mayores complicaciones posoperatorias20. En concordancia, un estudio del departamento de Urología de la Universidad de Tennessee también mostró que, tras una NP, hubo un descenso del 2,5% de la tasa estimada de filtrado glomerular por el incremento de un punto en el RS, y un descenso del 1,8% por el aumento de 1cm en el tamaño tumoral21. Por ello, el RS podría ser considerado como un factor independiente para medir la estratificación de riesgo antes de la NP, aunque más investigaciones son necesarias.
Un tumor mayor de 4cm de diámetro y una proximidad inferior a 4mm del sistema colector, se asocia con una mayor pérdida de sangre y tiempo de isquemia caliente, respectivamente, en nefrectomías parciales asistidas por robot22. Al respecto, en un estudio retrospectivo del departamento de Urología del Mayo Clinic se estudió la relación del RS y el riesgo de aparición de una fístula urinaria después de una NP y se concluyó que los puntajes más elevados de todos los componentes del RS, excepto los de la localización tumoral, presentan mayor probabilidad. Además, los tumores con puntajes bajos en el componente L presentaron un riesgo más elevado23.
Por su parte, los autores del RS admitieron que, si bien la escala del componente L contribuye con una característica anatómica importante, un puntaje elevado solo es significativo en tumores grandes y/o profundos5.
A pesar de que el RS presenta una buena concordancia interobservador, hay algunos componentes con mayor variabilidad9,24,25. Al respecto, un estudio concluyó que el N del RS es el de menor confiabilidad interobservador, mientras que otro estudio determinó que el L era el más difícil de calcular24,25.
En el futuro, el RS tendrá que ser modificado para incluir a los pacientes con anormalidades renales que contribuyen en la morbilidad quirúrgica (como la fusión o la duplicación renal) y también deberá adaptarse para estudiar la complejidad quirúrgica en carcinomas renales que afecten a niños pequeños, ya que este sistema de puntuación hasta el momento está estudiado solamente en adultos y niños mayores o adolescentes26.
A pesar de que varios autores concluyeron que el RS es capaz de predecir el riesgo de complicaciones posquirúrgicas, hay otros que contradicen estos resultados3,9,16–23,27. Por ejemplo, Kruck et al.28 determinaron que únicamente el patrón de crecimiento central del tumor (componenteN) es capaz de predecir el aumento de las complicaciones posquirúrgicas. Desde esta perspectiva, es evidente la necesidad de desarrollar nuevas y más investigaciones a futuro.
ConclusiónA pesar de la existencia de otros sistemas de puntuación para tumores renales, el RENAL score es el primero que cuantifica objetivamente la complejidad quirúrgica de los tumores renales. Este ayudaría a comparar las modalidades terapéuticas en las lesiones de similar complejidad y podría colaborar en la estimación del riesgo antes de la cirugía. Si bien hay numerosos estudios que apoyan esta idea, otros presentan resultados contradictorios, por lo que nuevas y más investigaciones son necesarias para poder predecir con mayor precisión los riesgos posquirúrgicos utilizando el RS.
De todos modos, es importante que el médico radiólogo se familiarice con este sistema de puntuación y lo incluya en sus informes, ya que ofrece información muy completa a los médicos urólogos y resulta de gran utilidad para selección de la técnica quirúrgica.
Responsabilidades éticasProtección de personas y animalesLos autores declaran que para esta investigación no se han realizado experimentos en seres humanos ni en animales.
Confidencialidad de los datosLos autores declaran que han seguido los protocolos de su centro de trabajo sobre la publicación de datos de pacientes y que todos los pacientes incluidos en el estudio han recibido información suficiente y han dado su consentimiento informado por escrito para participar en dicho estudio.
Derecho a la privacidad y consentimiento informadoLos autores han obtenido el consentimiento informado de los pacientes y/o sujetos referidos en el artículo. Este documento obra en poder del autor de correspondencia.
Conflicto de interesesLos autores declaran no tener ningún conflicto de intereses, excepto el Dr. Ocantos que declara como posible conflicto de interés ser coautor de la referencia número 16 de la bibliografía.


















