El ganglión es la nodulación benigna del tejido blando más frecuente en la mano y el puño. Se origina de la cápsula articular y en las vainas tendinosas. Su presentación más frecuente es en el dorso del puño, pero puede provenir de cualquier articulación de la mano. Su diagnóstico requiere de la evaluación clínica y el estudio imagenológico. En este reporte se muestra un caso donde el diagnóstico clínico, imagenológico e intraoperatorio fue «ganglión» de la articulación radiocubital distal, cuyo estudio histopatológico reportó un cistadenoma apocrino.
The ganglion cyst is the most common type of soft tissue benign mass that occurs in the hand and wrist. Ganglia may result from any joint capsule or tendon sheath. They most often occur at the dorsum of the wrist, but they may arise from any joint of the hand. Ganglion cysts require a clinical and diagnostic imaging assessment to be diagnosed. In this case, the clinical, imaging tests and macroscopic surgical diagnosis was a “ganglion cyst” of the distal radioulnar joint, however, histopathology led to diagnosis of an apocrine cystadenoma.
Los gangliones son las nodulaciones benignas del tejido blando más frecuentes en la mano y en el puño. Son quistes llenos de mucina que se originan desde la cápsula articular, de las vainas tendinosas. Se han reportado en todas las edades y en casi cualquier articulación de la mano y del puño1. La localización más frecuente es el ganglión dorsal 60-70%2, seguido por el palmar 13-20%3, los retinaculares palmares de la vaina de los flexores 10%, luego los quistes mucosos de las articulaciones interfalángicas distales y proximales, los de los tendones extensores del primer compartimento extensor (mucho menos frecuentes), y por último de reporte ocasional los del túnel carpiano y del canal de Guyón y los gangliones intraóseos.
El principal motivo de consulta de los pacientes es la presencia de la masa y su aspecto cosmético, en otros está asociado con dolor y pérdida subjetiva de la fuerza y en algunos casos hay síntomas neurológicos por compresión de los nervios mediano4,5 y cubital6,7. Recientemente se han publicado algunos originados en la articulación radiocubital distal con presencia de masa palmar cubital y asociados con síntomas neurológicos del nervio cubital8–10. Al examen clínico clásico se evidencia una masa con la consistencia de goma, que se mantiene en su posición gracias a su conexión profunda11. No se asocia con presencia de calor o eritema y la clave del diagnóstico es la transiluminación sin embargo, en las localizaciones infrecuentes pueden no estar disponibles a la identificación por palpación.
El diagnóstico se hace con base en la historia clínica y el examen físico; las imágenes como la ultrasonografía y la resonancia magnética confirman el diagnóstico y definen la extensión de la lesión. Son fundamentales en el diagnóstico del ganglión oculto y de los de localización atípica12.
El tratamiento continúa en debate, se describe la conducta no quirúrgica que incluye el manejo expectante, pues algunos presentan resolución espontánea, la rotura cerrada, la aspiración y la inyección de sustancias como esteroides13, hialuronidasa14 y sustancias esclerosantes15. La resección quirúrgica se considera en la actualidad el tratamiento de elección ya que con las técnicas que incluyen el retiro del quiste, el pedículo y un segmento de la cápsula articular se presenta el menor porcentaje de recurrencias y en la última década con la artroscopia se publican estudios comparativos con la técnica abierta respecto a los porcentajes de recidiva.
La descripción histológica del ganglión y su confirmación por microscopia electrónica es bien conocida. Su pared está formada por fibras de colágeno y ocasionales células planas, no hay evidencia de tapizado epitelial o sinovial16, su contenido es viscoso y claro compuesto de glucosamina, albúmina, globulina y altas concentraciones de ácido hialurónico. Algunas publicaciones de estudios de análisis de costo-beneficio concluyen que la realización de estudios histopatológicos en las piezas quirúrgicas obtenidas de las resecciones de gangliones del puño en localización dorsal del puño no es necesaria17–19, se recomienda que solo se practique en caso de no obtener el líquido mucinoso típico de la lesión, otros debaten esta conducta20,21. En Colombia el Código Sanitario Nacional establece que «todos los especímenes quirúrgicos obtenidos con fines terapéuticos o de diagnóstico serán sometidos a examen anatomopatológico».
Dentro del diagnóstico diferencial del ganglión están las variantes anatómicas como la presencia del extensor digitorum brevis manus, anomalous extensor indicis proprius, extensor medii proprius y extensor indicis et medii communis22, deformidades óseas23, los tumores sólidos, en su mayoría benignos siendo los más frecuentes el tumor de células gigantes, los lipomas, las lesiones de origen neural, las de origen fibroso y vascular24, y sinovitis inflamatorias infecciosas o por enfermedades del tejido conectivo.
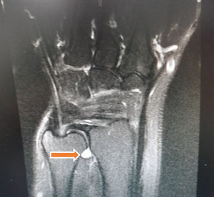
Reporte de casoAsiste a la consulta una paciente de 58 años, diestra, ama de casa, quien refiere que su cuadro clínico tiene tres años de evolución con dolor en la región cubital de la mano derecha, que desde hace dos meses se ha intensificado extendiéndose hasta la región radial. Lo asocia con edema en puño y dorso de la mano con las actividades repetitivas, sensación de parestesias en la región interdigital y pérdida de fuerza. La paciente relaciona el inicio de la sintomatología con una lesión por agresión en la que le apretaron y estiraron la mano. Indica que un médico particular le realizó infiltraciones de «plasma rico en plaquetas» dos años atrás con mucha mejoría de la sintomatología. Al examen físico se encontró dolor en el lado cubital del puño en el trayecto del extensor carpi ulnaris, que se exacerba con la extensión del puño, sin inestabilidad dorsal o palmar de la articulación radiocubital distal. No hay signo de la tecla, pronosupinación no dolorosa, fuerza 5/5 bilateral y sensibilidad conservada. Los estudios que aporta incluyen neuroconducción de hace 3 años, cuyo resultado es normal y resonancia magnética reciente que muestra ganglión del intervalo radiocubital distal de 14x14x5mm (figs. 1 y 2).
La paciente es llevada a cirugía y se realiza abordaje de la articulación radiocubital distal por el dorso. Se expone la lesión quística que se diseca (fig. 3), se encuentra llena de líquido mucinoso claro y se retira.
Se envía la pieza quirúrgica a evaluación histopatológica. La paciente se deja en inmovilización durante tres semanas con evolución satisfactoria de la herida quirúrgica y se envía a su proceso de rehabilitación. En el estudio microscópico los cortes muestran pared de quiste tapizada por epitelio de células columnares con citoplasma eosinófilo y núcleo redondo hipercrómatico, que corresponden a células de aspecto apocrino con presencia de infiltrado inflamatorio crónico y tejido fibrocolágeno, cuyo diagnóstico es cistadenoma apocrino (fig. 4).
DiscusiónLos tumores benignos del tipo cistoadenoma apocrino son neoplasias derivadas de las glándulas sudoríparas, la localización en áreas como la articulación radiocubital distal es una condición extremadamente rara. En general el sitio preferente de estos tumores es la piel de la cara y el cuello, tienen diámetros pequeños y presentan coloraciones azulosas o traslúcidas. En este caso la clínica, los estudios preoperatorios y los aspectos intraoperatorios mostraban una masa provista de cápsula con características muy similares a las de un ganglión.
A pesar de ser una masa considerada «benigna», es necesario en estos pacientes un seguimiento clínico e imagenológico, ante la posibilidad de recidivas por una persistencia de restos capsulares. No hay publicaciones o estudios que nos permitan tomar una conducta en este sentido. La paciente fue informada de que todos los datos e imágenes concernientes con el caso se utilizarían para publicación y dio su consentimiento escrito.
ConclusionesLos gangliones son la nodulación benigna más común en la mano y el puño, son reconocidos y diagnosticados por los médicos generales y hacen parte de la patología de consulta frecuente para los cirujanos de la mano. Como se originan desde las articulaciones pueden aparecer en cualquier localización incluso en áreas inusuales. No debe olvidarse que los gangliones tienen un amplio diagnóstico diferencial que incluye la patología tumoral. Aunque actualmente los estudios de análisis de costo-beneficio sugieren que no está indicado el estudio histopatológico en gangliones cuando la presentación clínica es típica, hay confirmación imagenológica y la apreciación intraoperatoria son la de ganglión, a través de este caso se resalta nuevamente la importancia del estudio y diagnóstico juicioso y completo de las masas en la mano incluyendo el análisis histopatológico de la pieza quirúrgica.
Responsabilidades éticasProtección de personas y animalesLos autores declaran que para esta investigación no se han realizado experimentos en seres humanos ni en animales.
Confidencialidad de los datosLos autores declaran que han seguido los protocolos de su centro de trabajo sobre la publicación de datos de pacientes.
Derecho a la privacidad y consentimiento informadoLos autores han obtenido el consentimiento informado de los pacientes y/o sujetos referidos en el artículo. Este documento obra en poder del autor de correspondencia.
Conflicto de interesesLos autores declaran no tener ningún conflicto de intereses..





