Un varón de 76 años acudió al hospital por fiebre y disfonía. Quince años antes había sido intervenido quirúrgicamente, tras sufrir la rotura de un aneurisma de la aorta abdominal, realizándose una endoaneurismorrafia y un injerto aorto-bifemoral. Dos meses antes había ingresado por presentar una miositis abscesificada en muslo derecho que precisó drenaje quirúrgico. La exploración era anodina a excepción de las secuelas de las intervenciones quirúrgicas previas y la disfonía. Entre los datos analíticos destacaba la existencia de leucocitosis (11.600/ml) con neutrofilia, anemia (Hb: 10 g/dl) normocítica normocrómica, elevación de la velocidad de sedimentación globular (VSG) (60 mm/ primera hora) y aumento de la lacticodeshidrogenasa (LDH) (604 UI/l). El urinocultivo fue negativo, mientras que en los hemocultivos creció una Escherichia coli. En el examen otorrinolaringológico se observó la existencia de una parálisis de la cuerda vocal derecha. La radiografía de tórax mostraba signos de hipertensión arterial pulmonar y atrapamiento aéreo. La tomografía computarizada (TC) de cuello y tórax puso de manifiesto la existencia de un nódulo de 1,3 cm de diámetro en lóbulo superior derecho (LSD), que hacía contacto con la pleura de la pared torácica posterior. En la gammagrafía ósea con 99mTc se observaron varios focos hipercaptadores en parrilla costal izquierda y esternón, así como un patrón heterogéneo irregular en la columna vertebral. La tomografía por emisión de positrones (PET/ TC) reveló la existencia de captación sugestiva de malignidad en el nódulo pulmonar del LSD (fig. 1), en los ganglios mediastínicos, glándula suprarrenal izquierda y parénquima hepático, así como múltiples focos hipercaptantes en el esqueleto compatibles con una diseminación ósea metastásica (figs. 2, 3 y 4). En las citologías de esputo y en el aspirado bronquial se observaron células atípicas sugestivas de carcinoma no microcítico (carcinoma indiferenciado).
Fig. 1. Corte axial de la tomografía por emisión de positrones con fluorodesoxiglucosa (PET-FDG) (A) y de la PET/ tomografía computarizada (TC) (B) que muestra varios focos hipercaptantes que corresponden al nódulo pulmonar solitario del lóbulo superior derecho (flecha), ganglios mediastínicos y cuerpo vertebral.
Fig. 2. Tomografía por emisión de positrones con fluorodesoxiglucosa (PET-FDG), corte coronal, en el que se aprecia la diseminación tumoral ósea, hepática y la afectación de la glándula suprarrenal izquierda. A: proyección anterior. B: proyección posterior.
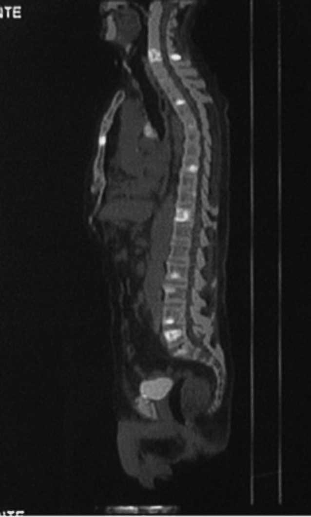
Fig. 3. Tomografía por emisión de positrones con fluorodesoxiglucosa (PET-FDG) (A) y PET/tomografía computarizada (TC) (B), corte sagital, en las que se observan múltiples imágenes de hipercaptación en el esqueleto compatibles con una diseminación ósea metastásica.
Fig. 4. Corte coronal de la tomografía por emisión de positrones con fluorodesoxiglucosa (PET-FDG) (A) y PET/ tomografía computarizada (TC) que muestra la existencia de múltiples imágenes de hipercaptación sugestivas de diseminación ósea metastásica.
La PET es una técnica de diagnóstico por imagen que permite estudiar la distribución en el cuerpo de diversas moléculas marcadas con isótopos emisores de positrones, que son producidos en un ciclotrón y poseen una vida media corta1. La molécula utilizada en la práctica clínica habitual es la fluorodesoxiglucosa (FDG) que va unida al 18F, isótopo radioactivo emisor de positrones que posee un período de semidesintegración muy corto (110 minutos). Se trata de un análogo de la glucosa que es captado por las células normales y por las cancerígenas, aunque no sigue el ciclo bioquímico normal de la glucosa, por lo que queda atrapado en su interior. A pesar de que algunos tejidos, como el cerebro, el miocardio o el hígado, tienen una alta demanda de glucosa y retienen por tanto la FDG, las células malignas presentan una gran avidez por la FDG, lo que permite diferenciar los tejidos malignos de los benignos1. Existen una serie de indicaciones concretas, en las cuales la PET-FDG ha demostrado sobradamente su superioridad con respecto a los métodos convencionales de diagnóstico. Tal es el caso de la caracterización del nódulo pulmonar solitario, en la que la sensibilidad de la PET-FDG alcanza el 93-100%, siendo la especificidad del 78-88%, con una exactitud diagnóstica del 92-94%2. También se ha utilizado con éxito para realizar el estudio de extensión de algunos tumores, entre los que se encuentra el cáncer de pulmón, así como para valorar la respuesta a la terapia y detectar la presencia de recidivas. En el caso concreto de las metástasis óseas, la eficacia diagnóstica de la PET- FDG parece ser mayor que la de otras técnicas convencionales, sobre todo cuando se utiliza de forma combinada con la PET/TC3-5.









