HISTORIA CLINICA
Se trata de una mujer de 17 años, con dolor en el extremo proximal de la tibia derecha, en la zona de la tuberosidad, que ha ido aumentando progresivamente en las últimas semanas apareciendo ahora también tumefacción de la zona.
A la exploración física presenta restricción de movimiento en la articulación de la rodilla lo que ocasiona cierta cojera al andar.
Su analítica de sangre presenta un aumento de fosfatasa alcalina estando el resto de parámetros dentro de los márgenes de la normalidad.
INFORME RADIOLOGICO
En la primera radiografía, anteroposterior y lateral de pierna derecha (fig. 1), se aprecia una importante área de aumento de densidad en el tercio superior de la tibia ocupando la metáfisis tibial y la zona más proximal de la diáfisis. La epífisis queda respetada pues el cartílago metafisario parece, en este momento, actuar de barrera natural para evitar la progresión en esa dirección de la lesión. Además se observa una masa osificada de partes blandas adyacentes y una reacción perióstica netamente maligna como estímulo de desarrollo perióstico, el llamado triángulo de Codman.
En la segunda placa (fig. 2) tomada seis meses después, se objetiva un franco avance de la lesión: el área de esclerosis atraviesa ya la placa metafisaria, extendiéndose también hacia la diáfisis. Existen lesiones líticas destructivas más evidentes en el borde medial de la tibia, perdiéndose en algunas zonas la continuidad de la cortical. Se ve un importante crecimiento de la masa de partes blandas con áreas de osificación.
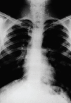
En este momento de la lesión, existen también en la placa anteroposterior de tórax (fig. 3) múltiples imágenes nodulares, fundamentalmente en pulmón izquierdo, indicativas de metástasis pulmonares y que parecen tener una alta densidad sugerente de osificación de las mismas, pues se trataría de células de la misma estirpe ósea que las del tumor primario.
La biopsia realizada confirma tratarse de un osteosarcoma osteoblástico por predominio del tejido osteoide.
El diagnóstico confirma los hallazgos radiológicos y la elevación de la fosfatasa alcalina a lo que se asocia la edad de comienzo de la enfermedad.
BIBLIOGRAFIA RECOMENDADA
Edeiken J, Hodes PP, eds. Roentgen. Diagnosis of disease of bone. Tomo II (2.a ed.). Baltimore: Williams and Wilkins; 1983. p. 840-1011.




