Se trata de unpaciente de 50 años de edad que acude a consulta pormolestias en las caderas desde hace semanas. La exploraciónfísica es normal, salvo una leve limitación en lasmaniobras extremas de la movilidad articular de ambascoxofemorales.
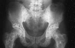
En la radiografía depelvis (fig. 1) se observan pequeños islotes decondensación diseminados por toda la pelvis. Algunosredondeados y lenticulares y otros de contorno irregular.Están muy bien delimitados en sus contornos y afectantambién al tercio superior de ambosfémures.
Figura1.
Para descartar una enfermedadsistematizada (por ejemplo, metástasis osteocondensantes) serealiza un estudio radiológico esquelético donde seencuentran imágenes similares de moteado irregular a nivelde muñecas y manos (fig. 2), pies (fig. 3), y rodillas (fig.4).
Figura2.
Figura3.
Figura4.
El cuadro corresponde a unaosteopoiquilia puntiforme descartándose otro tipo depresentación mucho más rara, la osteopoiquiliaestriada, caracterizada por imágenes condensantes en formade estrías verticales (fig. 5).
Figura5.






