Se trata de un paciente de 31 años diagnosticado de lupus eritematoso sistémico (LES) en julio de 1992 tras debutar con un cuadro de fiebre y artralgias. Posteriormente presentó afectación cutánea (lesiones ampollosas en dorso de manos), renal (glomerulonefritis focal y proliferativa) y articular (poliartralgias en manos, tobillos y rodillas). Fue tratado con deflazacort (dosis máxima 90 mg/día desde enero a abril de 1994) e imural 100 mg/día. En abril de este año se añadió ciclofosfamida 2 mg/kg/día.
En enero de 1997 comienza con dolores en la articulación de la rodilla izquierda en relación con el ejercicio. Ante la persistencia de la sintomatología a pesar del tratamiento antiinflamatorio se realiza radiografía bilateral donde no se observan alteraciones de interés.
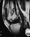
En junio de 1999 presenta dolor en articulación sin relación con el ejercicio, por lo que se realiza resonancia magnética nuclear (RMN), encontrándose los hallazgos radiológicos descritos en la fig. 1.
Figura 1. Cortes sagitales de rodilla derecha en secuencias potenciadas en T1 y T2. Imágenes de morfología irregular en región diáfiso-metafisaria del fémur compatibles con infartos óseos. Además se observan erosiones subcondrales sugestivas de necrosis avascular. Abundante derrame articular.
COMENTARIO
El LES es una enfermedad de etiología desconocida en la que se produce una lesión tisular citológica por el depósito de autoanticuerpos e inmunocomplejos de carácter patógeno. Inicialmente el LES puede afectar prácticamente a cualquier órgano o sistema. En cuanto a las manifestaciones musculoesqueléticas, casi todos los pacientes con LES presentan artralgias y mialgias y la mayoría padece artritis intermitente. La incidencia de necrosis avascular en pacientes con LES varía, según las distintas series, entre un 5% y un 50%1,2.
La mayoría de los pacientes afectados de necrosis avascular presentan lesiones en varias localizaciones óseas, al mismo tiempo con una media de tres lesiones por paciente, cuya localización es en orden decreciente: caderas 73%, rodillas 64% y hombros 24%2. Una vez establecida la enfermedad, ésta puede cursar con dolor, debilidad e incluso impotencia funcional permanente para la deambulación en individuos relativamente jóvenes.
Es discutido si es la propia enfermedad o el tratamiento de la misma el factor etiopatogénico principal de la necrosis ósea3, aunque parece ser que este último es el factor de riesgo más importante. Diversos estudios prospectivos y retrospectivos muestran que el riesgo de necrosis avascular por el tratamiento no está en relación con la duración del mismo, ni con la dosis media diaria, ni con la dosis acumulada total, sino con las mayores dosis de esteroides pautadas en los primeros meses de tratamiento4.
En una serie2 la dosis media diaria de prednisona durante los meses de mayor intensidad de tratamiento fue mayor de 40 mg/día en el 93% y mayor de 20 mg/día en todos, siendo en los pacientes que desarrollan necrosis isquémica mayor el número de lesiones a mayor dosis máxima. No todos los pacientes que recibieron estas dosis de esteroides sufrieron necrosis ósea. Es un dato discutido si aquellos pacientes con LES y fenómeno de Raynaud tienen mayor predisposición a sufrir necrosis ósea avascular con menores dosis de prednisona2,4.
En el momento del diagnóstico (media de 42 meses tras el tratamiento con dosis máximas diarias de esteroides) la mayoría de pacientes refieren dolor con la actividad física, aproximadamente el 50% dolor en reposo y un tercio incluso dolor nocturno. Un 50% de los pacientes presenta a la exploración física limitación al movimiento, menos frecuente en la localización de la rodilla2. En la serie mencionada2 el 12% de los pacientes afectos no presentaban ninguna alteración en la radiología simple.
La RMN es la técnica no invasiva más sensible para el diagnóstico de necrosis avascular5. Los hallazgos más típicos fueron una o varias áreas de hiposeñal en la porción subcondral del cóndilo femoral y/o del platillo tibial en secuencias potenciadas en T1 y T2.
Estos hallazgos pueden encontrarse en tres tipos de pacientes: traumatismo previo, enfermedad predisponente (lupus, uso crónico de esteroides y trasplantados renales) y ancianos sin ninguno de los factores de riesgo descritos. Hay algunas diferencias en la osteonecrosis (ON) espontánea o primaria y aquella que se desarrolla en pacientes con factores de riesgo (ON secundaria). Así, en la ON de rodilla en aquellos pacientes con LES, trasplante renal o uso crónico de esteroides, la afectación es bilateral en el 50% y afecta al cóndilo lateral en el 60%. En la forma primaria la afectación es unilateral e incide en cóndilo femoral y platillo tibial mediales6.
La hipótesis fisiopatológica más aceptada, aunque no demostrada de forma concluyente, postula que los esteroides producen un aumento en el porcentaje de médula ósea grasa que conlleva una menor vascularización, predisponiendo a la necrosis. El edema reactivo al infarto óseo causa un síndrome compartimental por aumento de presión local que empeora la situación3.
La RMN con contraste puede demostrar cambios agudos en la perfusión ósea que se correlacionan con disminución de flujo sanguíneo medido angiográficamente, hallazgos que preceden a los cambios radiológicos obtenidos con técnicas de imagen convencionales5.
LA FUNDACIÓN HISPANA DE OSTEOPOROSIS Y ENFERMEDADES METABÓLICAS ÓSEAS
Convoca el VIII PREMIO CIENTÍFICO FHOEMO 2001 de acuerdo con las siguientes BASES
1. Este Premio, con una dotación de 250.000 pesetas, tiene como objetivo premiar al mejor trabajo sobre Osteoporosis y Enfermedades Metabólicas Óseas.
2. El trabajo, para la presente edición, deberá haber sido desarrollado en España o Iberoamérica y publicado durante el año 2000 en cualquier revista de habla hispana.
3. La fecha límite para la recepción de los trabajos será el 15 de enero de 2002.
4. El Jurado estará compuesto por cuatro miembros del Comité Científico de la FHOEMO, actuando como secretaria del Jurado, con voz pero sin voto, la Secretaria de la misma.
5. La decisión del Jurado será inapelable y el Premio podrá ser declarado desierto si, a juicio del Jurado, se estimase que los trabajos presentados no reúnen el nivel profesional médico y técnico adecuados.
6. La FHOEMO se reserva la disponibilidad del trabajo una vez publicado para su difusión, si lo considera oportuno. Los trabajos concursantes no serán devueltos a sus autores.
7. Los aspirantes aceptarán las presentes bases por el mero hecho de concurrir a esta convocatoria.
8. Las solicitudes se enviarán, junto con seis copias del trabajo objeto de consideración, a:
VII PREMIO CIENTÍFICO - FHOEMO
Gil de Santivañes, 6 - 2.º D
28001 - Madrid
Tel/Fax.: 91 578 35 10



