Se trata de un varón de 45 años de edad, que acude a consulta por presentar dolores osteoarticulares, preferentemente a nivel de columna y de claro componente mecánico. Hay también una cierta movilidad de las caderas, rodillas y hombros, así como episodios intermitentes de artritis aguda, pero respetando las pequeñas articulaciones. En los últimos tiempos presenta deformidad postural de la columna con disminución de la movilidad, rigidez y dolor con pérdida de estatura y restricción de la expansión torácica.
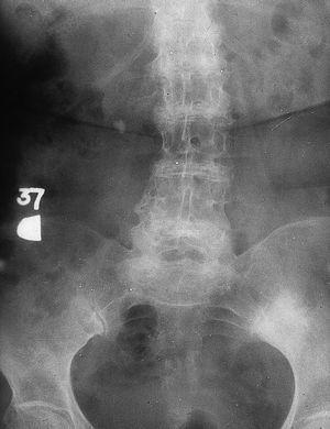
En la serie radiológica del esqueleto axial se aprecia calcificación y osificación de los discos intervertebrales con pinzamientos del espacio articular y fenómenos de vacío en los discos, osteopenia de los cuerpos vertebrales, así como afección de sínfisis púbica y menos frecuente de las sacroilíacas (fig. 1).
Fig. 1
Fig. 2
Fig. 3
En el esqueleto axial llama la atención la calcificación del disco, sobre todo a nivel dorsolumbar, pinzamiento del espacio intervertebral con colapso del disco y consiguiente fusión, y formación de cuerpos intervertebrales marginales.
Para completar su estudio se practicó una determinación de ácido homogentisínico en orina que dio valores elevados (5 g/día) con progresivo oscurecimiento al alcalinizarla.
El diagnóstico diferencial debe realizarse con la espondilitis anquilosante y con la osteoartritis degenerativa, confirmándose su diagnóstico por las determinaciones analíticas y en ciertos casos por pigmentación de algunos tejidos, como pabellón auricular y escleróticas, que no presentaba nuestro enfermo.




