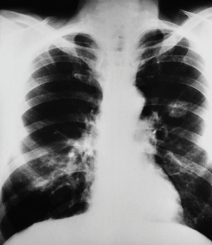
Presentamos el caso de un varón de 60 años que aporta radiografía de tórax con nódulo pulmonar cavitado y signos de bronconeumopatía crónica obstructiva (BNCO) (fig. 1). Se le realiza fibrobroncoscopia diagnosticándose carcinoma epidermoide.
Fig. 1
El paciente acusa además dolor en manos y piernas, por lo que se le realizan radiografías anteroposteriores de dichas regiones donde se observa intensa reacción perióstica ondulante en tibias, peronés, metacarpianos y falanges, compatible con osteoartropatía hipertrófica pneúmica (OAH) (figs. 2 y 3).
Fig. 2
Fig. 3
La OAH consiste en una neoformación subperióstica osea, con artritis y deformación de los dedos en palillo de tambor. La OAH tiene una forma primaria, de carácter familiar autosómica dominante, denominada síndrome de Touraine-Solente-Golé, y otra secundaria, la más frecuente, que se asocia fundamentalmente a procesos intratorácicos. Dentro de las causas de OAH secundaria la más frecuente son los tumores malignos, especialmente el carcinoma broncógeno y los tumores pleurales1,2. Otras causas pueden ser la enfermedad inflamatoria intestinal, la infección de prótesis aórticas de localización abdominal3, la amebiasis, el embarazo, los desórdenes hepáticos4, la neumonía por Pneumocistis carinii en el virus de la inmunodeficiencia humana (VIH) y una miscelánea entre las que están otros tipos de tumores y cardiopatías congénitas con cortocircuito derecha-izquierda.
La patogenia de esta alteración ósea es desconocida. Se han postulado varias teorías entre las que se encuentran: a) teoría humoral: se ha involucrado una sustancia que sería elaborada por la enfermedad subyacente y que en circunstancias normales se eliminaría a su paso por el pulmón; b) alteración neurógena dado que las enfermedades que con mayor frecuencia se asocian a OAH se localizan en el territorio inervado por el nervio vago, observándose que la vagotomía mejora los síntomas y c) hipervascularización de la región ósea y articular6.
La OAH se caracteriza radiológicamente por una elevación del periostio con depósito neoformado debajo del mismo y resorción del hueso endostial. Suele ocurrir en extremos distales de metacarpianos, metatarsianos y huesos largos (figs. 2 y 3).
En los tejidos blandos adyacentes puede haber infiltración de mononucleares. Las falanges tienen un aspecto abombado por la proliferación del tejido conectivo en el lecho ungueal. Los pequeños vasos de los dedos aparecen dilatados y con paredes engrosadas, aumentando el número de comunicaciones arteriovenosas. La sinovial de las articulaciones afectadas está infiltrada por linfocitos y células plasmáticas.
La periostitis produce dolor profundo o quemazón en la porción distal de las extremidades. Puede ser muy incapacitante, agravándose con el declive y aliviándose al elevar los miembros. Las articulaciones están calientes, dolorosas e hinchadas.
Se debe realizar el diagnóstico diferencial con:
1) Artritis reumatoide, observándose en las radiografías pinzamiento del espacio articular, erosiones periféricas y centrales, no ocurriendo esto en la OAH.
2) Acropaquias tiroideas: se afectan sobre todo los huesos pequeños de manos y pies. Normalmente no se afectan los huesos largos y existe clínica de enfermedad tiroidea.
3) Estasis venoso crónico: suelen verse afectados exclusivamente los miembros inferiores y se acompaña de clínica sugestiva.
4) Otros: hipervitaminosis A, hiperostosis cortical infantil, hiperostosis difusa idiopática y fluorosis.
CONSULTANTES DEL VOLUMEN 10
El Comité Editorial de REVISTA ESPAÑOLA DE ENFERMEDADES METABÓLICAS ÓSEAS agradece la ayuda recibida para la crítica de los trabajo enviados durante el 2001 a los siguientes consultantes:
O. Bosch
J. Calvo Catalá
M. Díaz Curiel
A. Díaz López
A. Díez Pérez
F. Hawkins Carranza
J. L. Herrera Pombo
C. Mautalen
A. Morales Piga
M. Muñoz Torres
C. Piedra Gordo
M. Sosa Henríquez
A. Torrijos Eslava




