INTRODUCCIÓN
En los hombres la perdida ósea producida por el avance de la edad está asociada con la fragilidad del esqueleto y el incremento, tras un trauma mínimo, del riesgo de fractura. La osteoporosis se asocia a fracturas y al sexo femenino de manera predominante, pero cada día se publican más trabajos científicos sobre lesiones del esqueleto en los hombres1. En el caso particular de Mérida (Venezuela) un 28,8% de los varones, mayores de 50 años tienen una fractura de la cadera y un 36,8% una fractura de rótula2,3.
El hipogonadismo en todas sus variedades (Síndrome de Klinefelter, hipogonadismo hipogonadotrópico idiopático, por hiper prolactinemia, hemocromatosis y falla testicular primaria) ha sido señalado como la causa secundaria más común de osteoporosis en el hombre1. Se han descrito fracturas en varones jóvenes en los cuales se ha asociado al hipogonadismo una anorexia nerviosa4,5 y en el anciano, con déficit gonadal, fracturas de la cadera secundarias a trauma menor6.
El presente trabajo se refiere a un varón de 35 años, con hipogonadismo hipogonadotrópico idiopático, que tras un trauma menor presentó fractura de la diáfisis del fémur izquierdo, la cual se resolvió por procedimiento quirúrgico.
CASO CLINICO
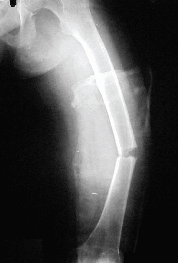
Se trata de un varón de 35 años que ingresa en la Sala de Urgencias del hospital Universitario de Los Andes (Mérida, Venezuela) con un cuadro clínico y radiológico de fractura de la diáfisis femoral izquierda, secundario a un trauma menor (golpe con una linterna de mano) (fig. 1).
Fig. 1. Fractura de la diáfisis femoral, trazo transverso. Espongialización de las corticales.
La historia clínica evidencia un varón de piel blanca que mide 1,50 m y pesa 44 kg. De profesión comerciante, casado, sin hijos, conocido en la Cátedra de Endocrinología desde hace 21 años (a la edad de 14 años), cuando consultó por presentar talla baja, retraso en el desarrollo de los caracteres sexuales secundarios y tiromegalia difusa eufuncionante del tipo I. Tiene como antecedentes personales el haber nacido con 2 kg de peso, con desarrollo psico-motor e intelectual normal. Con detención marcada del crecimiento a partir de los 7 años y pubarquia a los 13. Sin antecedentes familiares relacionados, similares o parecidos.
En el año 1982 se le realiza una prueba para determinar la hormona de crecimiento con L-dopa-insulina y se concluye que posee una hormona de crecimiento biológicamente inactiva.
Al año siguiente (1983) se le realiza un nivel de testosterona que reporta 2,4 ng/dl (valor normal [vn] 3,6-9,9 ng/ml) iniciándose tratamiento con oxandrolona (5 mg/día), que le produce un crecimiento lento y gradual de los caracteres sexuales secundarios pero los testículos siguen pequeños. En 1986 la testosterona había ascendido a 7,5 ng/dl.
En 1993 se determina que sólo tiene el riñón izquierdo y una tubulopatía hipercalciúrica asociada. En esa ocasión se le diagnostica por radiografía. una osteoporosis y se le trata de manera irregular con bifosfonatos y vitamina D.
En 1999 se le realiza una densitometría por absorciometría con doble haz de rayos X (DXA) con un equipo marca Norland® XR 36 que puso en evidencia una densidad mineral ósea de 0,407 g/cm2 lo que corresponde a una desmineralización del 57,3% con relación a la población de la región entre 20 y 40 años (T score 5,03) y en la columna de 0,515 g/cm2 es decir una pérdida del 52,1% (T score 3,56).
En el año 2000 se le realiza un espermiograma que revela azooespermia y se produce una fractura de ambos huesos del antebrazo, siendo tratado por un procedimiento quirúrgico que consistió en reducción cruenta y osteosíntesis con placas y tornillos, con consolidación satisfactoria de la lesión.
En enero de 2001 ingresa con una fractura del fémur izquierdo que se trata con un clavo no fresado y expansible (FIXION®); en el momento de la introducción se realiza una inserción muy medial y se le fractura la base del cuello femoral, lo cual se resuelve con 2 tornillos de esponjosa (figs.2 y 3). Evoluciona de manera satisfactoria y a las dieciséis semanas existe evidencia de consolidación (figs. 4A y B).
Fig. 2. Postoperatorio inmediato con clavo no fresado y expansible (FIXION ®), donde se evidencia lacolocación medial del clavo y la fractura basicervical.
Fig. 3. La fractura basicervical se resolvió con dos tornillos de esponjosa ( postoperatorio).
Figs. 4. Dieciséis semanas tras la fractura se evidencia la consolidación por primera intención. A: vista anteroposterior; B: vista lateral.
Tras la salida del hospital se le realizó una densitometría por DXA, de control, que puso en evidencia una pérdida de masa ósea del 5,7% en menos de dos años, es decir, una desmineralización del 62%, con relación a la población de la región de su mismo grupo de edad.
Encontrar un hipogonádico con un solo riñón y tubolopatía hipercalciurica asociada, no es infrecuente, ya que Moura et al.7 reportaron en su serie, de 19 pacientes hipogonádicos, la frecuencia de malformaciones congénitas urogenitales y sugieren que este hecho debería ser investigado.





