Describir los mecanismos fisiopatológicos de las trombosis venosas renales perinatales y los factores de riesgo asociados, haciendo hincapié en las características clinicorradiológicas y en su evolución a largo plazo.
Material y métodosSe han estudiado retrospectivamente un total de 11 casos de trombosis venosa renal neonatal, con una edad media al diagnóstico de 3 días.
Se analizaron la forma de presentación, las manifestaciones clínicas, los hallazgos de imagen obtenidos mediante ecografía (modos B y Doppler), el tratamiento instaurado y las secuelas a largo plazo.
ResultadosEn el momento del diagnóstico, la tríada de masa palpable, hematuria franca y trombocitopenia estaba presente únicamente en el 63,63% de los pacientes.
En el 45,45% de los casos pudo identificarse un factor de riesgo protrombótico en los recién nacidos o en sus madres. Todos los recién nacidos mostraron aumento del tamaño renal y pérdida de la diferenciación corticomedular en el estudio ecográfico. En 4 de los 11 casos se identificaron imágenes lineales hiperecogénicas intramedulares, características del estadio inicial de la trombosis. Los estudios funcionales de seguimiento con ácido dimercaptosuccínico (DMSA) y ácido mercapto-acetil-triglicina (MAG-3) revelaron anomalías morfológicas en todos los pacientes, con un riñón no funcionante en 7 casos.
ConclusionesVisualizar bandas ecogénicas intramedulares alerta de la fase inicial de una trombosis venosa renal, por lo que debe instaurarse precozmente un tratamiento adecuado. Exceptuando los casos acontecidos intraútero, la trombosis de la vena renal conlleva un mal pronóstico, con atrofia y fallo renal a largo plazo.
To describe the physiopathological mechanisms in perinatal renal vein thrombosis and the associated risk factors, with emphasis on the clinical and radiological characteristics and on the long-term evolution.
Material and methodsWe retrospectively studied a total of 11 cases of neonatal renal vein thrombosis; the mean age of patients at diagnosis was 3 days.
We analyzed the type of presentation, the clinical manifestations, and the findings at B-mode and Doppler ultrasonography, as well as the treatment undertaken and the long-term sequelae.
ResultsAt the time of diagnosis, the triad of a palpable mass, unequivocal hematuria, and thrombocytopenia was present in only 63.63% of patients.
A prothrombotic risk factor was identified in the newborn or mother in 45.45% of cases. At ultrasonographic examination, all newborns had enlarged kidneys and in all cases it was impossible to differentiate between the renal cortex and the renal medulla. In 4 of the 11 cases, hyperechogenic intramedullary linear images characteristic of the initial stage of thrombosis were identified. Functional follow-up studies using DMSA (dimercaptosuccinic acid) and MAG-3 (mercaptoacetyltriglycine acid) revealed morphological abnormalities in all patients; 7 patients had a nonfunctioning kidney.
ConclusionsVisualizing echogenic bands within the medulla should alert radiologists to the initial phase of renal vein thrombosis and enable the appropriate treatment to be administered. With the exception of cases discovered before birth, renal vein thrombosis has a poor prognosis, with atrophy and renal failure in the long term.
La trombosis venosa renal es una entidad conocida y potencialmente fatal en neonatos. Después de la trombosis asociada al uso de catéteres, la trombosis de la vena renal representa el fenómeno tromboembólico más frecuente del período neonatal, y la lesión vascular más frecuente del riñón del recién nacido. La incidencia global de los fenómenos tromboembólicos neonatales es de 5 por cada 100.000 nacimientos, y más del 40% corresponde a trombosis de la vena renal1–4.
La trombosis venosa renal neonatal es generalmente espontánea, y sólo en raras ocasiones se asocia a la presencia de catéteres5.
La peculiaridad de la circulación renal, que cuenta con 2 lechos capilares, los glomerulares y peritubulares, que están dispuestos en serie (doble circulación capilar), asociada al pequeño tamaño de los vasos y a estados de bajo flujo (hemoconcentración, deshidratación e hipercoagulabilidad), hace especialmente vulnerable a la trombosis el riñón del neonato2,6.
El propósito de nuestro trabajo es la evaluación de las trombosis venosas renales detectadas durante el período neonatal, para analizar los mecanismos fisiopatológicos, los factores de riesgo, sus características clinicorradiológicas y su evolución a largo plazo.
Material y métodosSe ha realizado un estudio retrospectivo de los casos de trombosis venosa renal neonatal diagnosticados entre enero de 2000 y mayo de 2008.
Se analizaron la forma de presentación, la edad, el sexo, las manifestaciones clínicas y analíticas, los hallazgos de imagen obtenidos mediante ecografía (modo B y Doppler), el tratamiento instaurado y las secuelas a largo plazo.
El tamaño muestral fue de 11 pacientes (8 varones y 3 mujeres), con una edad media al diagnóstico de 3 días.
La ecografía abdominal se realizó con equipos Sequoia 512 (Acuson-Siemens) y Ultramark 9 (ATL), empleando transductores lineales y sectoriales de 7,5 a 15MHz y de 2 a 6MHz, respectivamente. Nuestro protocolo de evaluación abdominal en el neonato incluye la exploración abdominopélvica completa en supino. Si las condiciones clínicas del paciente lo permiten, los riñones se estudian además en prono. La valoración morfológica en escala de grises permitió estudiar el tamaño renal, la diferenciación corticomedular y la presencia de bandas ecogénicas intramedulares. Posteriormente, en el estudio Doppler se determinó la presencia, grado y distribución de la vascularización arterial y venosa, así como el desarrollo de colaterales.
Se realizó un seguimiento clinicoanalítico y de la función renal en un período de 2 meses a 7 años tras el episodio agudo. El estado funcional del riñón se determinó a través de los estudios de medicina nuclear DMSA y MAG-3.
ResultadosEn el estudio se incluyeron 11 pacientes con edades comprendidas entre 0 y 28 días.
En el 73% de los casos el diagnóstico de trombosis venosa renal se realizó en el primer día de vida.
Las manifestaciones clínicas y de laboratorio iniciales de nuestra cohorte quedan resumidas en la tabla 1, e incluyeron hematuria en el 90,9%, masa renal en el 100% y trombocitopenia, anemia o ambas en el 81,81%. La tríada diagnóstica de masa palpable, hematuria franca y trombocitopenia estaba presente en 7 pacientes (63,63%) al diagnóstico.
En nuestra serie de casos, los factores desencadenantes fueron diabetes, prematuridad, consanguinidad, cardiopatía congénita y sufrimiento fetal. Además, la trombofilia determinada genéticamente pudo identificarse en el 45,45% de los recién nacidos o en sus madres, y los factores protrombóticos más prevalentes fueron la heterocigosis para el factor V de Leiden, el descenso en los valores de la proteína C y la elevación del factor VIII de la coagulación.
Tal como se demuestra en la tabla 1, la ecografía abdominal fue anómala en el 100% de los casos, los recién nacidos mostraron aumento del tamaño y alteración de la ecogenicidad renal, bandas ecogénicas intramedulares, hemorragia suprarrenal y aumento del índice de resistencia en la arteria renal principal.
Resumen de los hallazgos clínicos, de laboratorio y ecográficos
| Casos | Porcentaje | |
| Clínica | ||
| Masa renal | 11 | 100 |
| Hematuria | 10 | 90,9 |
| Tríada clásica | 7 | 81,81 |
| Insuficiencia renal aguda | 4 | 36,36 |
| Laboratorio | ||
| Trombocitopenia/anemia | 7 | 81,81 |
| Ecografía | ||
| Anómala | 11 | 100 |
| Imágenes lineales ecogénicas | 4 | 36,36 |
| Trombo en vena cava inferior | 4 | 36,36 |
| Hemorragia suprarrenal | 3 | 27,27 |
| Aumento del IR arteria renal | 6 | 54,54 |
| Permeabilidad vena renal | 4 | 36,36 |
IR: índice de resistencia.
En un 90,9% de los casos la trombosis venosa renal fue unilateral, con afectación del riñón izquierdo en 8 de los 11 casos.
Cuatro pacientes fueron manejados únicamente con tratamiento conservador y el resto mediante heparina de bajo peso molecular, fibrinolíticos o ambos. Sólo un paciente requirió nefrectomía a largo plazo debido a proteinuria persistente.
Dos casos se perdieron para el seguimiento por traslado. El seguimiento clínico y de la función renal de los 9 pacientes restantes se llevó a cabo en un período aproximado de 2 meses a 7 años tras el episodio agudo.
El aclaramiento de la creatinina fue normal en todos los pacientes, a excepción de uno, que mostraba signos de insuficiencia renal crónica debido a una trombosis venosa renal unilateral asociada a un riñón displásico contralateral. Los estudios funcionales con DMSA y MAG-3 revelaron anomalías morfológicas en todos los riñones afectados por trombosis, con un riñón no funcionante en 7 de los 9 casos, siendo el porcentaje medio de excreción del radiofármaco a los 20min del 15%.
DiscusiónLa trombosis venosa renal neonatal se puede producir en los períodos prenatal, perinatal y posnatal, y su incidencia disminuye significativamente después del primer año de vida1,6,7.
La circulación posglomerular es especialmente vulnerable a la trombosis como consecuencia de una disminución del flujo sanguíneo. Este hecho se produce en neonatos con shock e hipoperfusión renal, lo que condiciona una vasoconstricción arterial intrarrenal y disminución del flujo venoso6.
La trombosis venosa renal comienza en las venas intrarrenales de pequeño calibre (vénulas interlobares y arcuatas)4. El trombo puede diseminarse a la corteza o a la médula, o más frecuentemente a través de las venas interlobares de mayor calibre hasta la vena renal principal y la vena cava inferior (VCI) (fig. 1).
Fisiopatología de la trombosis venosa renal neonatal; a diferencia de las trombosis asociadas al uso de catéteres, la trombosis venosa renal comienza en las venas intrarrenales de pequeño calibre (A). El trombo puede diseminarse a la corteza o a la médula, o más frecuentemente a través de las venas interlobares de mayor calibre (B) hasta la vena renal principal (C) y vena cava inferior (D).
El riñón izquierdo se afecta con mayor frecuencia que el derecho8, como ha podido observarse en nuestra serie. El porcentaje de riñón afectado por trombosis depende de la localización y tamaño de las venas trombosadas4,9,10.
Las manifestaciones clínicas y la evolución de la trombosis venosa renal dependen de la rapidez de instauración de la enfermedad9. La clínica consiste en nefromegalia asociada a hematuria, proteinuria, oliguria-anuria, aumento del nitrógeno ureico en sangre, hipertensión, trombocitopenia y disminución de la función renal1,3,4,6,9,11,12. En el 75% de los casos la trombosis venosa renal se manifiesta clínicamente en el primer mes tras el nacimiento, con una predilección por el sexo masculino (V:F=1,6:1)8,12.
Los factores desencadenantes implicados en la patogenia de la trombosis venosa renal se pueden identificar en un 87% de los casos12, e incluyen diabetes materna, shock, deshidratación, asfixia perinatal, policitemia, cardiopatías congénitas cianosantes, sepsis neonatal y trauma perinatal1,3,4,6–8,11,12. Todos ellos producen daño endotelial asociado a una isquemia secundaria. Recientemente, la trombofilia o tendencia a la trombosis determinada genéticamente se ha postulado como un factor predisponente en la patogénesis de la trombosis venosa renal neonatal11. La mutación G20210A en el gen de la protrombina es el factor genético más prevalente en España, y alcanza el 6,5% de la población adulta sana española, aunque ninguno de los pacientes de nuestra cohorte mostraba tal mutación13.
Las técnicas de imagen utilizadas para demostrar la presencia de trombosis venosa renal incluyen la urografía intravenosa, la flebografía, la tomografía computarizada (TC) y la resonancia magnética (RM)4,14. Sin embargo, la ecografía en modo B y la ecografía Doppler son las más empleadas en los neonatos1,4.
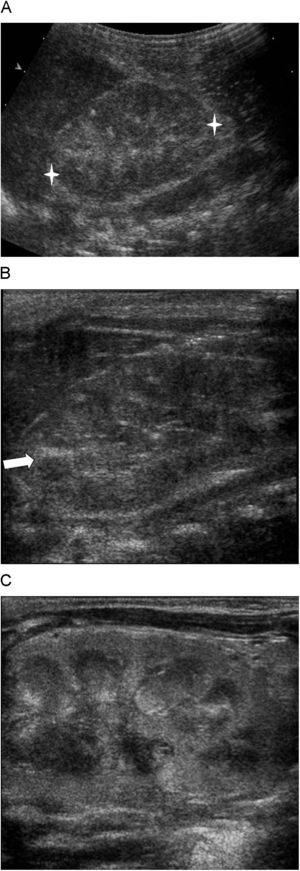
Los hallazgos ecográficos característicos incluyen nefromegalia (sobre todo en el diámetro transverso), bandas ecogénicas intramedulares (vascular streaks)3,4,6,7,9 y alteraciones de la ecogenicidad renal consistentes en hiperecogenicidad cortical en la fase hiperaguda4,15 y heterogeneidad con pérdida de la diferenciación corticomedular en la fase aguda4,16 (fig. 2).
Hallazgos ecográficos en escala de grises característicos de la trombosis venosa renal neonatal. A) Nefromegalia y ecogenicidad heterogénea con pérdida de la diferenciación corticomedular. B) Bandas ecogénicas intramedulares. C) Hiperecogenicidad cortical con aumento de la diferenciación corticomedular de la fase hiperaguda.
En los estadios iniciales, el trombo en los vasos interlobares e interlobulares aparece en forma de bandas hiperecogénicas en el estudio ecográfico. Estas bandas ecogénicas comienzan en la periferia renal, y posteriormente se extienden a los vasos intermedulares (venas interlobares). Representan la fase inicial de la trombosis venosa renal y son transitorias4. Tanto la trombosis intravascular como la hemorragia perivascular tienen un importante papel en la formación de las bandas ecogénicas intramedulares4,11, y no se deben a calcificación vascular7,17.
El trombo en la vena renal y la VCI se puede manifestar ecográficamente en forma de material hipoecoico, isoecogénico o marcadamente hiperecogénico, y mostrar áreas de retracción y calcificación4,9,15.
El estudio Doppler, tanto en el período antenatal como posnatal, revela que en los estadios iniciales de la trombosis, el flujo venoso y la pulsatilidad venosa intrarrenal y renal pueden estar ausentes4,6. Asimismo, se ha descrito la inversión del flujo diastólico y el aumento de los índices de resistencia arteriales en comparación con el riñón contralateral normal (trombosis unilateral)11.
En los primeros días tras la instauración de la trombosis venosa renal se produce retracción del trombo y se desarrollan colaterales en el hilio renal, rodeando la cápsula, así como en los espacios perirrenales y paraver-tebrales, permitiendo ambos procesos la existencia de flujo venoso intrarrenal4. De ahí que la ecografía Doppler del riñón afectado, incluso cuando se realiza en los estadios iniciales, pueda demostrar la existencia de flujo venoso en ramas segmentarias y en la vena renal principal (fig. 3).
Hallazgos en ecografía Doppler de la trombosis venosa renal neonatal. A) Aumento de los índices de resistencia en la arteria renal principal, con inversión del flujo diastólico y disminución del flujo venoso intrarrenal. La retracción del trombo y el desarrollo de colaterales en el espacio perirrenal (B) permiten la existencia de flujo venoso intrarrenal (C).
En TC, los hallazgos de imagen característicos de la trombosis venosa renal son un riñón aumentado de tamaño, con nefrograma persistente, así como una vena renal dilatada y ocupada por un trombo de baja densidad6.
La calcificación del trombo en las venas intrarrenales, en la vena renal o en la VCI6, hace sospechar que la trombosis se ha producido intraútero, siendo la calcificación más rara cuando se produce en el período posnatal7,9.
La RM puede demostrar una disminución de la intensidad de señal medular en las secuencias potenciadas en T2, lo que se correlacionaría con la hemorragia perivascular descrita en los estadios iniciales de la trombosis11.
El realce cortical persistente con ausencia de realce medular en los estudios dinámicos con contraste sugiere la presencia de un bloqueo en la eliminación del contraste entre la fase cortical y la tubular11,18.
Hay una asociación reconocida entre la trombosis venosa renal y la hemorragia suprarrenal, siendo la prematuridad un factor de riesgo para ambas condiciones. La hemorragia suprarrenal es más frecuente en el lado izquierdo debido al drenaje directo de la vena suprarrenal a la vena renal11. Otros hallazgos asociados son los coágulos intravesicales, la trombosis venosa central y la trombosis de la VCI en flebografía (fig. 4).
Hallazgos asociados a la trombosis venosa renal neonatal: hemorragia suprarrenal ipsilateral (A y B), coágulos intravesicales (C), trombosis de la vena cava inferior en flebografía, trombosis central y desplazamiento inferior de las asas intestinales producido por el efecto de masa secundario al aumento de tamaño renal.
Uno de los principios básicos en el manejo terapéutico de la trombosis venosa renal es la preservación de la función renal8, habiéndose producido mejoras en la tasa de supervivencia de los niños en los últimos años. El manejo de la trombosis venosa renal es generalmente conservador, con reposición de líquidos y electrolitos, aunque pueden incluirse anticoagulantes, fibrinolíticos o ambos3.
La terapia fibrinolítica normalmente se inicia para intentar recuperar el riñón afectado por trombosis, en cuyo caso debería realizarse un cribado de hemorragias abdominales e intracraneales. La heparina se emplea para evitar tanto la propagación del trombo como el tromboembolismo pulmonar, en un intento de mejorar la supervivencia renal8. Sin embargo, el beneficio de ambas terapias para prevenir el deterioro de la función renal a largo plazo no está demostrado3.
Todos los pacientes que han presentado un episodio de trombosis venosa renal deben ser evaluados a corto, medio y largo plazo hasta la normalización de la función renal. El estado funcional del riñón puede determinarse a través de los estudios de medicina nuclear con DMSA y MAG-33.
Aunque el riñón se puede recuperar completamente en los niños que sobreviven a la trombosis venosa, las secuelas más comunes son la enfermedad glomerular, la disfunción tubular y la hipertensión arterial3, así como el fallo renal en caso de trombosis bilateral y la atrofia renal si la trombosis ha sido unilateral6,9 (fig. 5).
La presencia de calcificaciones ramificadas y un tamaño renal dentro de los límites normales probablemente indica una función renal conservada en los neonatos que han presentado un episodio de trombosis venosa renal, y sugiere que la trombosis se ha producido intraútero. Esto podría deberse a una adecuada formación de venas colaterales y a una mejor supervivencia renal, como consecuencia de las menores demandas metabólicas intraútero6.
Declaración de conflicto de interesesLos autores declaran no tener ningún conflicto de intereses.
AutoríaAmaya Hilario Barrio ha contribuido en la concepción y diseño del estudio, en la obtención de los datos, o en su análisis e interpretación, y ha intervenido en la redacción del trabajo o en su revisión crítica, haciendo aportaciones intelectuales relevantes.
Carmen Gallego Herrero ha contribuido en la concepción y diseño del estudio, en la obtención de los datos, o en su análisis e interpretación, y ha intervenido en la redacción del trabajo o en su revisión crítica, haciendo aportaciones intelectuales relevantes.
María Miralles Molina ha contribuido en la concepción y diseño del estudio, en la obtención de los datos, o en su análisis e interpretación.
Carmen Medina López ha contribuido en la concepción y diseño del estudio, en la obtención de los datos, o en su análisis e interpretación.
Miguel Rasero Ponferrada ha contribuido en la concepción y diseño del estudio, en la obtención de los datos, o en su análisis e interpretación.
Gloria del Pozo García ha contribuido en la concepción y diseño del estudio, en la obtención de los datos, o en su análisis e interpretación.
David Coca Robinot ha contribuido en la concepción y diseño del estudio, en la obtención de los datos, o en su análisis e interpretación.
Todos los autores han leído y aprueban la versión final del artículo.










