Las fístulas carótido-cavernosas (FCC) son comunicaciones arteriovenosas anómalas entre la arteria carótida interna (ACI) y/o la carótida externa (ACE) o sus ramas y el seno cavernoso. Estas comunicaciones anómalas pueden ser consecuencia de un trauma que origina una brecha en la porción intracavernosa de la ACI. Se produce una fístula directa, de alto flujo, que típicamente se manifiesta como exoftalmus pulsátil asociado a alteraciones oculares. Otro tipo de FCC son en las que se producen, de forma espontánea, comunicaciones entre ramas intracavernosas de la ACI y/o ramas durales de la ACE con el seno cavernoso. Son fístulas durales o indirectas, de bajo flujo1-3. La clasificación más extendida es la de Barrow (fig. 1), en función de la morfología de la FCC pero con implicaciones funcionales y por tanto terapéuticas4. La presentación típica de las fístulas de localización carótido-cavernosa es el exoftalmus pulsátil y puede asociar otras alteraciones oculares. La mayoría de los síntomas y signos se deben a la alteración del drenaje venoso. Cuando se produce una comunicación arteriovenosa anómala en el seno cavernoso se invierte el flujo en las venas oftálmicas, aumenta la presión intraluminal y el seno cavernoso y las venas pueden dilatarse y elongarse. Como resultado, se produce exoftalmus, quemosis o edema conjuntival, aumento de la presión intraocular y glaucoma secundario con pérdida de la agudeza visual, que suele ser transitoria5-7.
Fig. 1.--Clasificación de Barrow de las fístulas carótido-cavernosas (FCC). ACI: arteria carótida interna; ACE: arteria carótida externa.
En el curso natural de la FCC se puede producir la resolución espontánea por trombosis del seno cavernoso. Esta tendencia a la curación es más frecuente en las fístulas indirectas, puesto que en las fístulas directas o traumáticas la brecha en la pared arterial puede alcanzar un tamaño relativamente grande8. Por ello, en los casos con clínica moderada y en ausencia de hallazgos angiográficos de mal pronóstico, la actitud conservadora es la más adecuada2,9.
La terapia endovascular está indicada cuando el tratamiento conservador no ha sido eficaz10,11 o como primera opción terapéutica cuando existen manifestaciones clínicas o hallazgos angiógraficos que comportan mayor riesgo de morbilidad y mortalidad. Los signos y síntomas que se asocian a un mal pronóstico son: el aumento de la presión intracraneal, la proptosis rápidamente progresiva, la disminución de la agudeza visual, el deterioro neurológico, la hemorragia y los accidentes isquémicos transitorios. Los hallazgos angiográficos asociados a un pronóstico ominoso son: el drenaje venoso a venas corticales, la trombosis venosa distal a la fístula, la presencia de un pseudoaneurisma y una larga variz del seno cavernoso12.
El avance en las últimas décadas en los materiales de embolización ha permitido desarrollar procedimientos intervencionistas con un éxito creciente, cuya contribución a la reducción de la morbilidad y mortalidad por FCC es hoy día incuestionable.
El objetivo del trabajo es dar a conocer nuestra experiencia en el manejo de pacientes con FCC y en los distintos procedimientos intervencionistas, así como valorar los resultados del tratamiento de 33 pacientes con FCC de acuerdo con la clínica y las características angiográficas.
MATERIAL Y MÉTODOS
Se ha estudiado la serie de casos de FCC diagnosticadas y tratadas entre enero de 1993 y diciembre de 2003 en el Hospital Universitario Miguel Servet de Zaragoza. La muestra del estudio la constituyeron 33 pacientes con FCC, 22 indirectas o durales y 11 directas. Las historias clínicas y los hallazgos de imagen se revisaron de forma retrospectiva.
La distribución de sexos estaba a favor del femenino: 7 hombres y 26 mujeres. Con edades comprendidas entre los 21 y 78 años, la edad media de presentación fue 58 años.
En la clínica inicial, que motivó la consulta del paciente, consideramos 6 variables: exoftalmus, quemosis, parálisis de par craneal, acúfenos, hemorragia subaracnoidea (HSA) y cefalea.
La técnica de imagen empleada para el diagnóstico, la clasificación de las FCC y seguimiento posterior fue la arteriografía. El estudio angiográfico anterior y posterior a la embolización debe incluir en la práctica la misma sistemática de exploración con objeto de demostrar la existencia de la fístula: estudio selectivo de ACI, de las ramas de ACE y de arteria vertebral.
En la clasificación de las FCC se empleó la de Barrow4 (fig. 1).
El objetivo del tratamiento es la desaparición de los síntomas y evitar, en la medida de lo posible, los déficits neurológicos permanentes. Contamos con dos modalidades terapéuticas, que no son excluyentes, por una parte la conservadora y por otra la intervencionista, la cual abarca los distintos procedimientos de embolización de las FCC según la vía de abordaje y materiales embolizantes empleados.
El tratamiento conservador se realiza mediante compresiones yugulo-carotídeas y oftálmicas. Está indicado en pacientes con clínica leve o moderada, colaboradores y motivados, que no presenten contraindicaciones (enfermedad aterosclerótica avanzada principalmente) ni hallazgos angiográficos de mal pronóstico. Los pacientes reciben instrucción para comprimir el paquete vascular yúgulo-carotídeo a nivel del esternocleidomastoideo con la mano contralateral durante 10 segundos, al menos 5 o 6 veces cada hora mientras esté despierto. La duración de las compresiones irá aumentando. Las primeras compresiones son observadas por un médico para asegurarse de la ausencia de isquemia cerebral o fenómenos vasovagales. Las compresiones oftálmicas consisten, de forma similar, en presionar en la órbita con objeto de comprimir de forma indirecta la vena oftálmica.
El tratamiento endovascular está indicado cuando el tratamiento conservador no ha sido eficaz12 o como primera opción terapéutica cuando existen manifestaciones clínicas o angiográficas que asocian mal pronóstico, que ya hemos comentado. Las vías de abordaje pueden ser transarterial, cerrando la brecha o los múltiples aportes arteriales con agentes embolígenos, transvenosa, llegando al seno y depositando allí material embolígeno que produzca la trombosis del seno, o la combinación de ambas, arterial y venosa. En cuanto a los agentes embolizantes, disponemos de gran variedad y pueden combinarse en el mismo procedimiento: partículas, agentes adhesivos y coils.
En las FCC de tipo A o directas preferimos, de forma general, la vía transarterial, con colocación de coils (los balones están en desuso en la actualidad). Si es preciso, completamos la embolización por vía venosa. El abordaje exclusivamente venoso lo empleamos cuando la vía transarterial no fue posible.
En las FCC indirectas de tipo C, con aportes exclusivos desde ramas meníngeas de la ACE, es preferible la embolización transarterial, mientras que en las de tipo B y D, con aportes de ramas meníngeas de la ACI, esta vía comporta un riesgo mayor. En las FCC tipo B y D es preferible el abordaje venoso porque ofrece mayor seguridad.
En el seguimiento realizamos una valoración clínica del estado del paciente y una angiografía de control antes del alta, a los 6 meses y después anual hasta pasados los 5 años del episodio, siempre y cuando no se produzca una recurrencia que requiera una nueva actuación. En los pacientes tratados de forma conservadora sólo realizamos un control angiográfico antes del alta y revisiones médicas en los tiempos citados.
Para la valoración clínica se realiza anamnesis y exploración física y se clasifica en función de la presentación clínica inicial: desaparición de los síntomas, mejoría parcial, persistencia o progresión. Antes del alta se presta especial atención a las posibles complicaciones secundarias al tratamiento, tanto conservador como intervencionista.
En la evaluación angiográfica establecimos dos grupos, según el cierre de la fístula fuera completo o parcial. En los casos en que la terapia endovascular logra la desaparición de los síntomas y el cierre angiográfico parcial pero seguro, valoramos el resultado como aceptable o bueno, y no consideramos oportuno someter al paciente a otra sesión de embolización puesto que existe una desproporción entre el beneficio y el riesgo del procedimiento.
RESULTADOS
Nuestros resultados atendiendo al tipo de fístula según la clasificación de Barrow4 son los siguientes:
Se diagnosticaron 11 fístulas de tipo A o directas (8 por traumatismo y 3 por rotura de un aneurisma intracavernoso) que representaron el 33% del total de FCC. La edad media de presentación fue 46,8 años (rango de 21 a 78). En un caso se realizó tratamiento conservador mediante compresiones, con resultado óptimo. En el resto (91%) se realizó embolización por vía endovascular. La vía de abordaje fue arterial en 5 casos, venosa en 2 y arterial y venosa en 3. En todos los pacientes desaparecieron los síntomas y ninguno presentó complicaciones secundarias al tratamiento. En 5 pacientes se realizó una arteriografía posterior de control y se objetivaron 4 casos de cierre completo de la fístula y un cierre parcial. En los otros 5 pacientes, la buena evolución clínica y los hallazgos de resonancia magnética (RM) demostraron el cierre de su fístula.
Las FCC tipo B, 4 pacientes, en nuestra serie constituyeron el 12% del total. La edad media de presentación fue de 72,7 años (rango de 65 a 76). El tratamiento en 3 casos fue conservador mediante compresiones, mientras que en un caso se realizó embolización con partículas por vía arterial; pese a la colocación de un balón de protección, el paciente sufrió déficit motor transitorio de la extremidad superior derecha. En todos los pacientes desaparecieron los síntomas.
Las FCC tipo C se diagnosticaron en 3 pacientes (9% del total de FCC), edad media 50,6 años (rango de 40 a 58). Se embolizó por vía arterial en dos casos y en uno por vía arterial y venosa. No hubo complicaciones y en todos los pacientes desaparecieron los síntomas.
Las FCC tipo D fueron las más numerosas, con 15 pacientes; constituyeron el 45% de casos de la serie. La edad media de presentación fue 64,1 años (rango de 32 a 75). El tratamiento fue conservador en 3 casos y endovascular en 12. Preferimos embolizar con partículas por vía arterial (8 casos), complementando con coils introducidos por vía venosa cuando fue necesario (4 casos). En 5 pacientes (42%) desaparecieron los síntomas mientras que en 7 (58%) la mejoría sólo fue parcial. En 2 casos, a pesar de objetivarse un cierre completo de la fístula en la arteriografía de control, la mejoría de los síntomas fue parcial.
Con la finalidad de comparar la presentación clínica según el tipo de fístula, en la figura 2 se presentan los síntomas en porcentajes relativos dentro de cada grupo. Así comprobamos que la clínica es bastante similar. Cabe resaltar que las FCC tipo C y D pueden manifestarse como acúfenos y que en el caso de las FCC tipo A el exoftalmus y la quemosis son más llamativos.
Fig. 2.--Clínica y tipo de fístula según la clasificación de Barrow. CC: carótido-cavernosa; HSA: hemorragia subaracnoidea.
En lo referente al análisis, de forma global, del tipo de tratamiento y sus resultados, de los 33 pacientes diagnosticados mediante arteriografía de FCC, el 21% fueron tratados de forma conservadora y el 79% se sometieron a terapia endovascular. La evolución clínica de los pacientes fue la siguiente: en el 76% desaparecieron los síntomas, mientras que el 24% de los pacientes experimentaron una mejoría parcial. La evolución clínica en dependencia del tratamiento y el tipo de FCC según la clasificación de Barrow se resume en la figura 3.
Fig. 3.--Evolución clínica según tipo de tratamiento y tipo de fístula carótico-cavernosa (CC).
En el estudio de las modalidades de tratamiento neurointervencionista es más útil agrupar las FCC indirectas o durales y por tanto consideramos dos grupos: FCC directas e indirectas. Como ya hemos expuesto, el 91% de las FCC directas se sometieron a terapia endovascular. Abordaje arterial exclusivamente en 5 procedimientos, colocando como material embolígeno, en dos casos balones y en 3 coils. En 4 casos, la mejoría de la sintomatología fue completa mientras que en uno fue parcial. Dos FCC directas fueron embolizadas con coils por vía venosa, consiguiendo el cierre completo de la fístula. Combinando ambas vías de abordaje, arterial y venoso, se embolizaron 3 fístulas directas, una con balones y dos con coils, siendo el resultado óptimo en los tres.
Por otra parte, de las 22 FCC indirectas, en 6 la actitud fue conservadora y 16 fueron embolizadas (73%). Se embolizaron 11 FCC indirectas por vía transarterial empleando como agente embolígeno partículas en 10 procedimientos y adhesivo líquido en uno. La mejoría completa de los síntomas se consiguió en 7 pacientes y parcial en 4. La única complicación se produjo como consecuencia de la embolización por vía arterial con partículas de una fístula tipo B y consistió en déficit motor transitorio de una extremidad superior. Con abordaje arterial y venoso se trataron 5 fístulas, 4 casos con partículas y coils como material embolizante y uno con adhesivo líquido y coils. Se alcanzó la mejoría completa en 2 casos y en 3 parcial.
DISCUSIÓN
En nuestro estudio de las FCC, por una parte, distinguimos dos entidades, de acuerdo con la etiología, epidemiología, fisiopatología, morfología y tratamiento: las FCC directas y las indirectas o durales3. Por otra parte, empleamos la clasificación de Barrow4 porque se basa en el patrón arterial de aporte a la fístula y tiene implicaciones terapéuticas.
De las 33 FCC, 11 son de tipo A o directas. En cuanto a la etiología, 8 se produjeron como consecuencia de un traumatismo y 3 de la ruptura de un aneurisma intracavernoso. Ambos factores están ampliamente descritos en la literatura13 y, a mucha distancia, la perforación yatrogénica14. Por tanto, se trata de comunicaciones arteriovenosas de alto flujo. Recordando la anatomía del seno cavernoso, que es una estructura venosa atravesada por la ACI, es fácil comprender que la fístula se produce por ruptura de la pared arterial (brecha). Esta relación anatómica explica por qué la historia natural de los aneurismas intracavernosos es más benigna que en otras localizaciones, donde se produce hemorragia subaracnoidea15.
En nuestra serie contamos con 22 FCC durales, que se reparten en 4 de tipo B, 3 de tipo C y 15 de tipo D. En la literatura3 el seno cavernoso es la segunda localización más frecuente de las fístulas durales después del seno transverso y sigmoide, sin embargo, en nuestra experiencia es la primera en frecuencia. El mecanismo etiopatogénico de las fístulas durales no es bien conocido, si bien diversos factores apoyan la hipótesis de que se trate de una lesión adquirida16. El más importante parece ser la trombosis del seno al inicio, que produce un aumento de la circulación colateral, si bien puede producirse trombosis del seno en el curso evolutivo de la fístula. Otros factores que se han apuntado son la displasia fibromuscular, el síndrome de Ehlers-Danlos IV17,18, enfermedades del colágeno, enfermedad aterosclerótica, traumatismos menores e incluso factores hormonales (embarazo, hipertensión asociada al embarazo)1. En nuestro estudio hemos identificado como factor predisponente el antecedente traumático en 3 de las 22 FCC indirectas (33%). El sexo femenino y el factor hormonal parece ser una condición predisponente en las FCC en general (26 mujeres de 33 pacientes, el 79%) y en particular en las FCC tipo D (14 mujeres de 15 pacientes el 93%).
En nuestra serie, la forma de presentación más frecuente fue el exoftalmus y la quemosis, ambos signos conforman el cuadro clínico típico de las fístulas de localización carótido-cavernosa y pueden asociar otras alteraciones oculares como el edema conjuntival o la congestión, el aumento de la presión intraocular y el glaucoma secundario con pérdida de la agudeza visual, que suele ser transitoria. La neuropatía óptica también puede ser reversible con el tratamiento adecuado19. La diplopía es un síntoma común que se debe al compromiso del VI par craneal, más frecuentemente, o del III par, de tipo mecánico o vascular. Ya hemos comentado que en nuestra experiencia la proptosis es el signo más frecuente, hasta en el 90% de los casos según diferentes autores5,6,7,11,20. Hasta un 11% de los pacientes presentan síntomas oculares contralaterales secundarios a la trombosis del drenaje venoso ipsilateral y a la redistribución del flujo venoso al seno cavernoso contralateral1.
En nuestro estudio, 6 pacientes referían acúfenos (18%). Este dato tiene importancia desde dos puntos de vista. En primer lugar, se trataba del síntoma más frecuente en las fístulas del tipo C, sin embargo, el escaso número de pacientes no nos permite extrapolar conclusiones. En segundo lugar, porque nuestros resultados difieren ampliamente de algunos trabajos que constatan un ruido pulsátil hasta en el 50% de los pacientes11,20. El acúfeno pulsátil se debe al flujo turbulento, es un ruido pulsátil que se agrava con el ejercicio o la posición y que desaparece con la compresión mecánica de la arteria carótida en el cuello. Si se produce la trombosis espontánea del seno, el ruido puede desaparecer, aunque se produce empeoramiento de los signos oculares.
Las fístulas con drenaje posterior pueden presentar oftalmoplejia dolorosa en ausencia de otras alteraciones oftalmológicas21. Se trata de las denominadas FCC con «ojo blanco» en contraposición a las que cursan con «ojo rojo».
Analizando por grupos, la clínica es bastante similar, con excepción de las FCC tipo C (fig. 1), como ya hemos comentado. Podemos reseñar, no obstante, que en las FCC directas la clínica suele ser más llamativa dado que se trata de fístulas de alto flujo. En las de origen traumático, los síntomas y signos oculares pueden aparecer días después del trauma.
En cuanto a la edad media de presentación, constatamos diferencias según el tipo de FCC, así el tipo A (46,8 años) y C (50,6 años) eran de presentación más precoz que el tipo B (72,7 años) y D (64,1 años). En el caso de las FCC tipo A esta observación se explica porque el antecedente traumático estaba presente en el 73% de los pacientes.
Resumiendo, las manifestaciones clínicas de las FCC son relativamente inespecíficas y en ausencia de un antecedente traumático puede ser difícil llegar al diagnóstico y establecer el tipo de fístula sólo con la clínica. En consecuencia, la angiografía sigue siendo la prueba oro en el diagnóstico y evaluación de las FCC22, prestando especial atención al patrón de drenaje venoso que algunos autores han relacionado con la clínica y manifestaciones ominosas23. Cuando el drenaje venoso es hacia la órbita aparecen las manifestaciones típicas de proptosis, quemosis y arterialización de venas esclerales, mientras que cuando el drenaje es hacia el cerebro no hay signos o síntomas aparentes pero el riesgo de hemorragia catastrófica es mucho mayor24.
Las indicaciones para el tratamiento de la FCC deben establecerse con relación a la historia natural de estas lesiones. El cierre de la fístula puede producirse de forma espontánea, más frecuente en las fístulas indirectas, si bien la frecuencia de este fenómeno no se conoce con exactitud25. Por tanto, en los casos con clínica moderada la actitud conservadora es la más indicada2,8. En las FCC directas el cierre espontáneo de la fístula, aunque infrecuente, es posible y por tanto la actitud conservadora puede seguirse en algunos casos. Higashida et al refieren la mejoría completa en el 17% de los casos con tratamiento conservador26.
En los casos en los que el tratamiento conservador no ha sido eficaz10, cuando existen manifestaciones clínicas o angiográficas que asocian mal pronóstico, que ya hemos comentado, está indicada la terapia endovascular. La vía de abordaje puede ser arterial o venosa. Inicialmente se prefería la colocación de balones por vía arterial27-29. Con este procedimiento se conseguía cierre de la fístula con preservación de ACI casi en el 90% de los casos, sin embargo la tasa de complicaciones mayores era del 5%, consistiendo en isquemia cerebral transitoria e infartos tromboembólicos o isquémicos30. Los pseudoaneurismas post-tratamiento aparecían hasta en un 44% de los casos y se debían al hueco dejado por el desinflado del balón, pero su trascendencia clínica era escasa28,31. Hoy en día este procedimiento ha sido sustituido por otros gracias al desarrollo y empleo de nuevos materiales y/o vías de abordaje32. Se prefieren los coils en la práctica habitual (fig. 4).
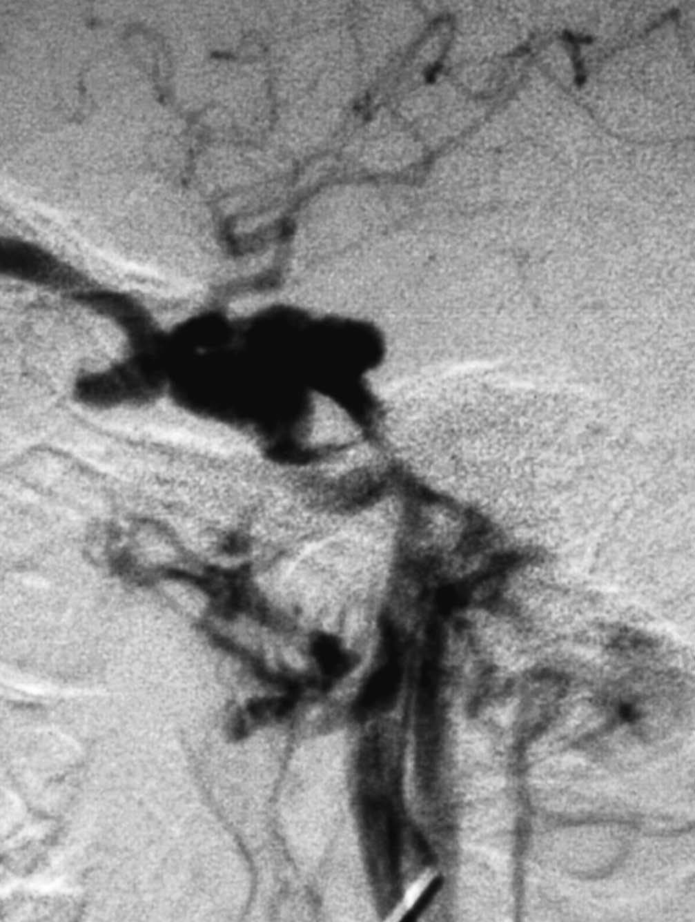
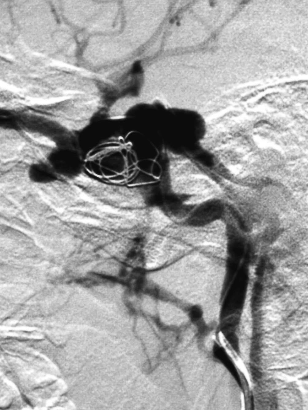
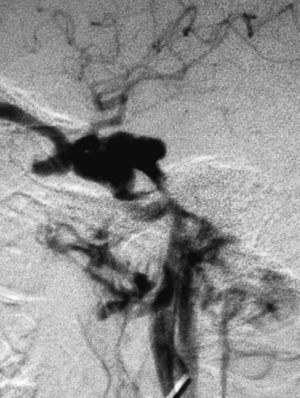
Fig. 4.--A) Arteriografía cerebral con inyección de contraste desde la arteria carótida interna (ACI) en proyección lateral demuestra la existencia de una brecha o fístula directa, de alto flujo, en la porción intracavernosa en una paciente de 28 años con antecedente traumático. Asimismo se observa flujo venoso retrógrado a la vena oftálmica, que está muy dilatada. B) Cateterización selectiva de ACI y colocación de coils en el seno cavernoso por vía transarterial. C) Control arteriográfico tras la embolización transarterial con coils, con inyección de contraste en ACI, en fase arterial y proyección lateral, donde se aprecia empaquetamiento del seno cavernoso. Persiste todavía la dilatación de la vena oftálmica, que desapareció a los pocos días, con mejoría clínica completa.
En nuestro grupo de 10 pacientes con FCC directa tratada mediante embolización, en 5 procedimientos el abordaje fue por vía arterial exclusivamente, colocando como material embolígeno en 2 casos balones y en 3 coils (fig. 4). En 4 casos la mejoría de la sintomatología fue completa, mientras que en uno fue parcial. Tan sólo en un paciente se tuvo que realizar la exclusión completa de la arteria carótida ya que la ACI estaba muy deteriorada. Previamente realizamos el test de oclusión con objeto de conocer cuál sería el efecto de la exclusión carotídea.
El abordaje venoso inicialmente comenzó a usarse cuando la embolización por vía arterial había fracasado o no era posible33-35. Típicamente se emplean como agentes embolígenos por vía venosa los coils de platino, pero en ocasiones se puede recurrir al uso de adhesivos líquidos, balones o hilo de plata. Las complicaciones tras la embolización transvenosa incluyen el glaucoma agudo por cierre del ángulo36; otros efectos secundarios a la exclusión carotídea (la preservación de la carótida se consigue en el 59% de los casos) y la parálisis transitoria en el 20% de casos37.
En nuestra experiencia la dificultad de la vía venosa es importante cuando el seno petroso inferior es hipoplásico. El abordaje transvenoso es efectivo cuando se llega, a través de las tabicaciones del seno cavernoso, hasta la brecha, lo cual no siempre es fácil. Sólo hemos realizado dos embolizaciones con coils por vía venosa, consiguiendo el cierre completo de la fístula. Combinando ambas vías de abordaje, arterial y venosa, hemos embolizado 3 fístulas, una con balones y dos con coils, con resultado óptimo.
En lo que respecta a las distintas modalidades terapéuticas en las FCC indirectas hay que tener presente, tal y como hemos comentado anteriormente, que la tendencia a la resolución espontánea es mayor y se produce como consecuencia de la trombosis del seno cavernoso8. Si bien la frecuencia del fenómeno no se conoce con exactitud, algunos autores han constatatinuación de una arteriografía diagnóstica hasta en el 43% de casos39.
Tras la evaluación clínica y angiográfica, en las fístulas de bajo riesgo se recomienda una actitud conservadora, con tratamiento con compresiones yugulocarotídeas y educación acerca de los posibles cambios en la sintomatología. La compresión manual de la arteria carótida común, con la mano contralateral, puede conseguir la curación hasta en el 30% de los casos25,33. En nuestra experiencia 6 pacientes de los 22 con FCC indirecta llegaron a la mejoría completa de sus síntomas con un tratamiento conservador con compresiones, y nuestros resultados coinciden plenamente con los de Halbach e Higashida (7 casos de 23). Teniendo en cuenta que en nuestro hospital los pacientes son referidos a la sección de neurointervencionismo para tratamiento endovascular y no realizamos la evaluación inicial de todos los pacientes con FCC, no podemos establecer cuál es la incidencia de esta entidad patológica ni el porcentaje de éxito real del tratamiento conservador. Sin embargo, la remisión de pacientes es una circunstancia que afecta a todos los equipos de neurointervencionismo en mayor o menor medida. Se trata de un sesgo que no somos capaces de cuantificar por el momento, pero como aproximación al problema podemos revisar las series de los oftalmólogos. Con sorpresa encontramos hasta un 82% de éxito del tratamiento conservador en las FCC indirectas40.
Aunque se trate de la modalidad de tratamiento no invasi va, las compresiones carotídeas no son el tratamiento apropiado en las FCC de alto riesgo con reflujo a venas corticales, déficit neurológicos, hemorragia previa, síntomas oculares progresivos o ateromatosis significativa en la bifurcación carotídea. Estas fístulas requieren un tratamiento invasivo9. En nuestro centro, 16 de las 22 FCC indirectas fueron embolizadas (73%).
La embolización de FCC durales por vía arterial se desarrolló como alternativa a la cirugía y se ha empleado con éxito8,25,33,41. El procedimiento requiere la cateterización superselectiva y el estudio de los aportes de la fístula, determinar si existen conexiones peligrosas entre ACE y ACI y conocer la anatomía normal de los vasos que no contribuyen a la lesión. Debrun describe los resultados de la embolización transarterial con relación al aporte arterial de la lesión27,42. En las fístulas tipo C se obtienen los mejores resultados, mientras que en las fístulas tipo B y D con importantes aportes desde ramas de ACI la embolización transarterial conlleva un riesgo mayor. Pueden emplearse distintos agentes embolígenos, como los coils31, pero lo más extendido son las partículas. Además de la dificultad técnica que supone cateterizar las pequeñas ramas intracavernosas de la ACI, el procedimiento de poner un balón alto y soltar partículas a flujo libre tiene un alto grado de riesgo de secuelas que es posible prever y simular empleando un test de provocación con lidocaína43.
En nuestro hospital se embolizaron 11 FCC indirectas por vía transarterial empleando como agente embolígeno partículas en 10 procedimientos y adhesivo líquido en uno. La mejoría completa de los síntomas se consiguió en 7 pacientes y parcial en 4. En nuestra experiencia, y a pesar del alto riesgo del procedimiento que hemos comentado anteriormente, sólo se produjo una única complicación como consecuencia de la embolización por vía arterial con partículas de una fístula tipo B, y consistió en déficit motor transitorio de una extremidad superior.
La vía de acceso venosa se empleó con éxito en 5 pacientes que se sometieron a embolizaciones de abordaje mixto, arterial y venoso, que en ocasiones es necesario para conseguir el cierre completo3. En 4 casos se usaron partículas y coils como material embolizante (fig. 5) y en otro adhesivo líquido y coils. Se alcanzó la mejoría completa en 2 casos y en 3 parcial.
Fig. 5.--A) Arteriografía en la fase arterial, proyección lateral, con inyección de contraste en la arteria carótida interna (ACI) izquierda en una fístula carótido-cavernosa (FCC) dural tipo D; muestra los aportes arteriales desde ramas meningohipofisarias de la ACI a la fístula, con relleno del seno cavernoso izquierdo. B) Cateterización selectiva de los aportes arteriales de ramas durales de la arteria carótica externa (ACE) y embolización con partículas de polivinil alcohol (PVA) de 250-350 micras. C) Control arteriográfico con inyección de contraste en ACE, en fase arterial y proyección lateral tras la embolización transarterial con partículas. Se observa cierre de los aportes durales desde ramas de la ACE. D) Embolización transvenosa del seno cavernoso con coils; la imagen de control con inyección selectiva de contraste en ACI, en fase arterial y proyección lateral, muestra un importante cierre de los aportes meningohipofisarios a la fístula.
En general, la vía transvenosa se considera de elección en la embolización de las fístulas de tipo B y D44. En cuanto a las vías de acceso, en más del 60% el acceso por el seno petroso inferior es posible45; otras vías que se pueden intentar si se precisan son la vena oftálmica superior (VOS)46-48, VOS previa exposición quirúrgica49,50 o punción directa de la VOS51, ocasionalmente con abordaje bilateral por ambas venas oftálmicas superiores52, la vena angular facial53,54 y la vena frontal55. El porcentaje de éxito por vía venosa es mayor del 80%, con relativamente menor riesgo de complicaciones que la vía arterial45.
Tras el cierre completo de una FCC, independientemente de la vía de abordaje, los pacientes experimentan un empeoramiento transitorio de los síntomas oculares por trombosis del seno cavernoso y de la vena oftálmica superior que puede ser tratado con esteroides.
CONCLUSIONES
En la actualidad existe una amplia variedad de modalidades en el tratamiento de las FCC, desde la actitud conservadora, mediante compresiones, hasta la intervencionista, con multitud de procedimientos en dependencia de la vía de abordaje y el material de embolización empleados. En nuestra experiencia, la adecuada elección del tratamiento, con relación a los criterios clínicos y angiográficos de gravedad, optimiza los resultados en el manejo de pacientes con FCC.














