La resonancia magnética (RM) artrografía (RMA) tiene unas indicaciones claramente establecidas en las articulaciones de la extremidad inferior de creciente utilización, como son la valoración de las lesiones del labrum acetabular en la cadera, el menisco operado de la rodilla, el estadiaje preciso de las lesiones osteocondrales y el estudio de los síndromes de choque (impingement) del tobillo. En este artículo revisamos estas y otras aplicaciones potenciales de la RMA en la extremidad inferior, haciendo hincapié igualmente en los aspectos técnicos de la punción de las articulaciones de cadera, rodilla y tobillo.
Finalmente, revisamos el papel de la RMA en la valoración de las lesiones osteocondrales, cuerpos libres y patología sinovial de las articulaciones de extremidad superior e inferior.
CADERA
Consideraciones técnicas
La punción articular se realiza con control fluoroscópico con el paciente en decúbito supino y la pierna extendida con ligera rotación interna. Previamente a la punción es aconsejable palpar la arteria femoral y marcar en la piel su situación. El punto de punción se sitúa en la zona media de la línea intertrocantérea, dirigiendo la aguja directamente hacia la región inferior de la unión entre cabeza y cuello femoral (fig. 1). Se confirma la localización intraarticular de la aguja con una pequeña cantidad de contraste yodado que inmediatamente dibuja los recesos capsulares y el ligamento orbicular. La punción se realiza con una aguja espinal de 22 G. Se inyecta una cantidad de la dilución de gadolinio que oscila entre 10 y 20 ml.
Fig. 1.--Dibujo que ilustra la vía de punción de la articulación de la cadera. Se pincha a nivel de la zona media de la línea intertrocantérea, dirigiendo la aguja con ligera inclinación craneal hacia la región inferior del cuello femoral.
Se han de realizar cortes en el plano axial oblicuo, siguiendo el eje mayor del cuello femoral, que permiten una valoración del labrum acetabular antero-superior, donde se encuentran la mayoría de las lesiones. Los cortes coronales deben planearse siguiendo el eje del cuello femoral. La utilización de cortes 3D en eco de gradiente con RMA permite una valoración mucho más precisa del labrum acetabular al poder realizar cortes más finos1-3.
Indicaciones
Las principales indicaciones de la RMA de cadera son las lesiones traumáticas del labrum acetabular, las lesiones asociadas a la displasia de cadera del adulto (lesiones del labrum, cartílago articular, hueso subcondral y quistes periarticulares) y la detección de cuerpos intraarticulares libres2-9.
Lesiones traumáticas del labrum
El labrum acetabular es un anillo fibrocartilaginoso que aumenta la profundidad y superficie de la cavidad articular. Cubre el margen acetabular excepto en el contorno inferior donde se encuentra la escotadura acetabular, estando unidos sus extremos por el ligamento acetabular transverso. El labrum muestra una morfología triangular en los cortes transversales, es más grueso en la región postero-superior y más delgado en la región antero-inferior1-3,6.
Las roturas traumáticas del labrum acetabular son causa infrecuente pero muy importante de dolor de cadera en pacientes jóvenes. A diferencia del labrum glenoideo, las roturas del labrum acetabular no tienen un impacto significativo en la estabilidad articular. Sin embargo, parece claro que condicionan o son precursoras del desarrollo de cambios degenerativos articulares1-3,6.
La valoración del labrum acetabular sin administración de contraste articular es poco fiable, ya que incluso en casos de rotura aparece contiguo con la cápsula articular y la cortical ósea. El labrum aparece normalmente como una estructura triangular homogéneamente hipointensa en todas las secuencias de pulso en los estudios de RM. El cartílago articular que tiene una señal más alta puede producir un falso diagnóstico de rotura a nivel de la inserción del labrum con el cartílago articular. Este falso diagnóstico se evita fácilmente en la RMA1-3,6.
La RMA permite una valoración muy precisa de las lesiones del labrum acetabular --sensibilidad del 91%, especificidad del 71% y eficacia diagnóstica del 88%--. La hiperseñal del medio de contraste puede ser distinguida fácilmente de la menor señal que muestra el cartílago articular. La administración de gadolinio intraarticular permite la visualización del receso labral y la clara delineación del complejo cápsulo-labral. La valoración de las lesiones labrales puede ser incorrecta si se administra un volumen de contraste bajo, dado que la presencia de cambios cicatriciales capsulares puede evitar la entrada de contraste si no se ejerce una presión adecuada. La existencia del surco sublabral es un aspecto debatido en la literatura como causa de error potencial en el diagnóstico de roturas labrales. Este surco no se ha encontrado en estudios artroscópicos ni de cadáver. Únicamente ha sido descrito en trabajos histológicos de fetos y se ha postulado que podría ser artefactual debido a las técnicas de fijación. Otro error potencial de la RMA es la existencia de una escotadura que separa el labrum acetabular del cartílago en la región de la fosa acetabular. Esta escotadura es reconocida por su localización característica. No se ha publicado en relación a ausencia congénita del labrum1-3,6.
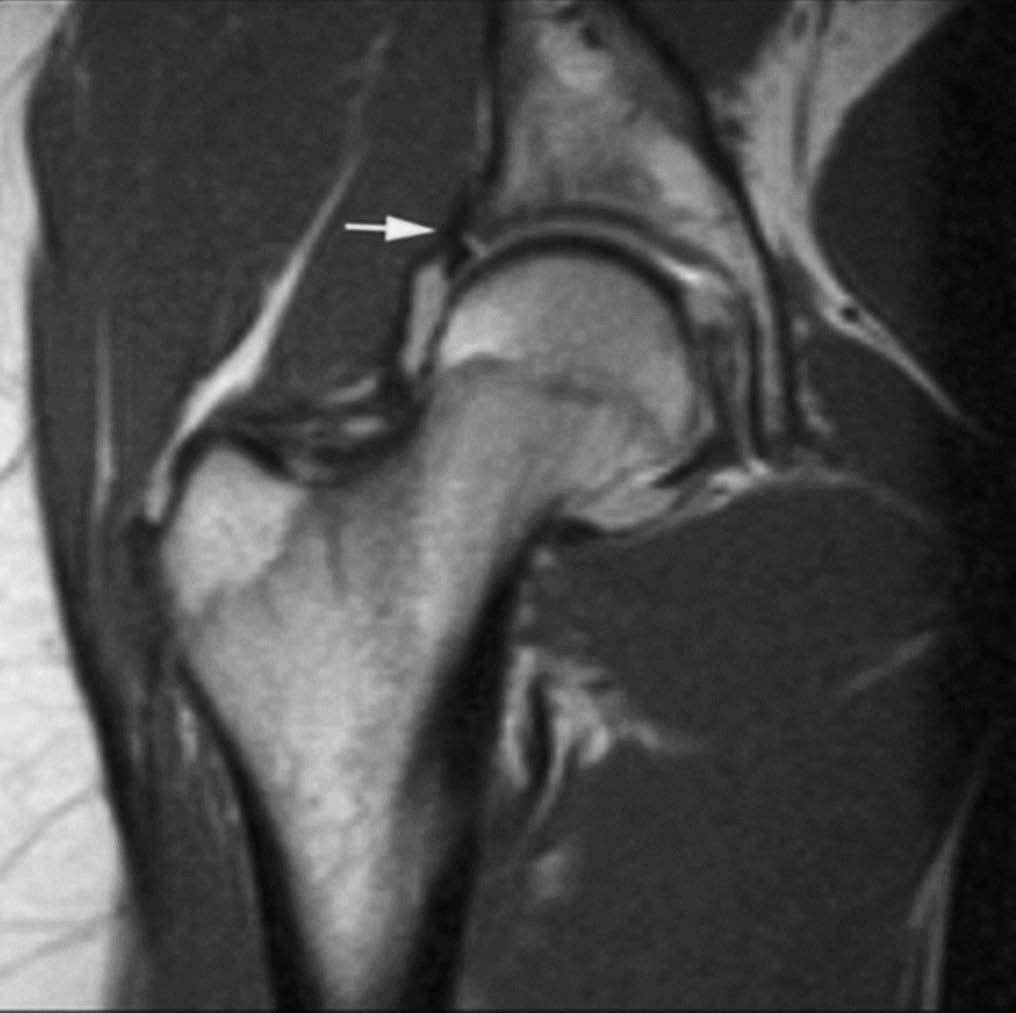
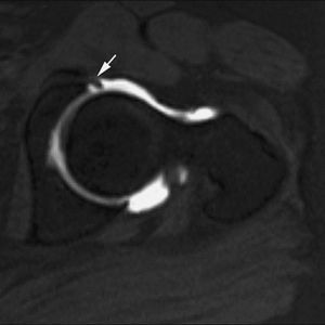
Las roturas ocurren generalmente en el labrum antero-superior (fig. 2) y pueden asociarse a la formación de quistes paralabrales o subcondrales que pueden comunicar o no con la superficie articular en el estudio de RMA. Las secuencias T2 son fundamentales para demostrar estos quistes. El contorno labral es generalmente liso en las imágenes de RMA, aunque pueden mostrarse ligeras irregularidades del margen libre y pequeños surcos en su unión con el cartílago articular1-3,6.
Fig. 2.--Rotura traumática del labrum antero-superior. A) Corte coronal oblicuo de RMA potenciado en T1. B) Corte sagital oblicuo de RMA potenciado en T1. Se observa un desgarro lineal en la base del labrum antero-superior (flechas).
Displasia de cadera
El término displasia de cadera hace referencia a la alteración anatómica del desarrollo en la forma o tamaño del acetábulo y/o la cabeza femoral o del alineamiento. La displasia de cadera es el diagnóstico subyacente en un gran número de pacientes jóvenes con dolor y disfunción de cadera. Es la etiología más frecuente de artrosis de cadera en pacientes menores de 50 años (25-50%) como consecuencia de alteraciones biomecánicas secundarias a la deformidad anatómica preexistente. La clínica puede preceder a la aparición de cambios degenerativos en la radiografía. El diagnóstico precoz es necesario para prevenir o retrasar el daño articular3,6-10.
Podemos diferenciar dos categorías distintas en la displasia de cadera del adulto: el síndrome del anillo acetabular (acetabular rim syndrome) y el síndrome de choque (impingement) fémoro-acetabular3,6-10.
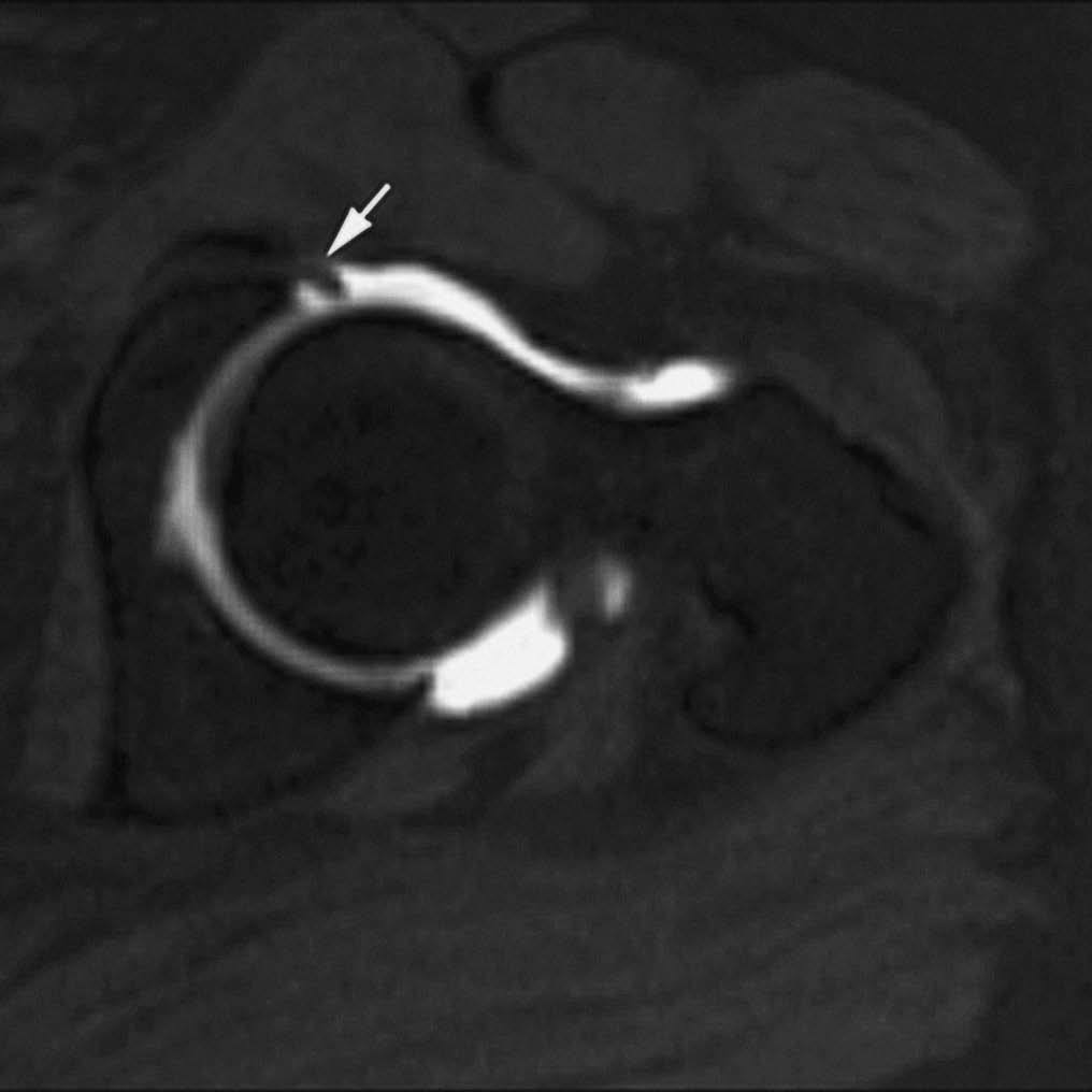
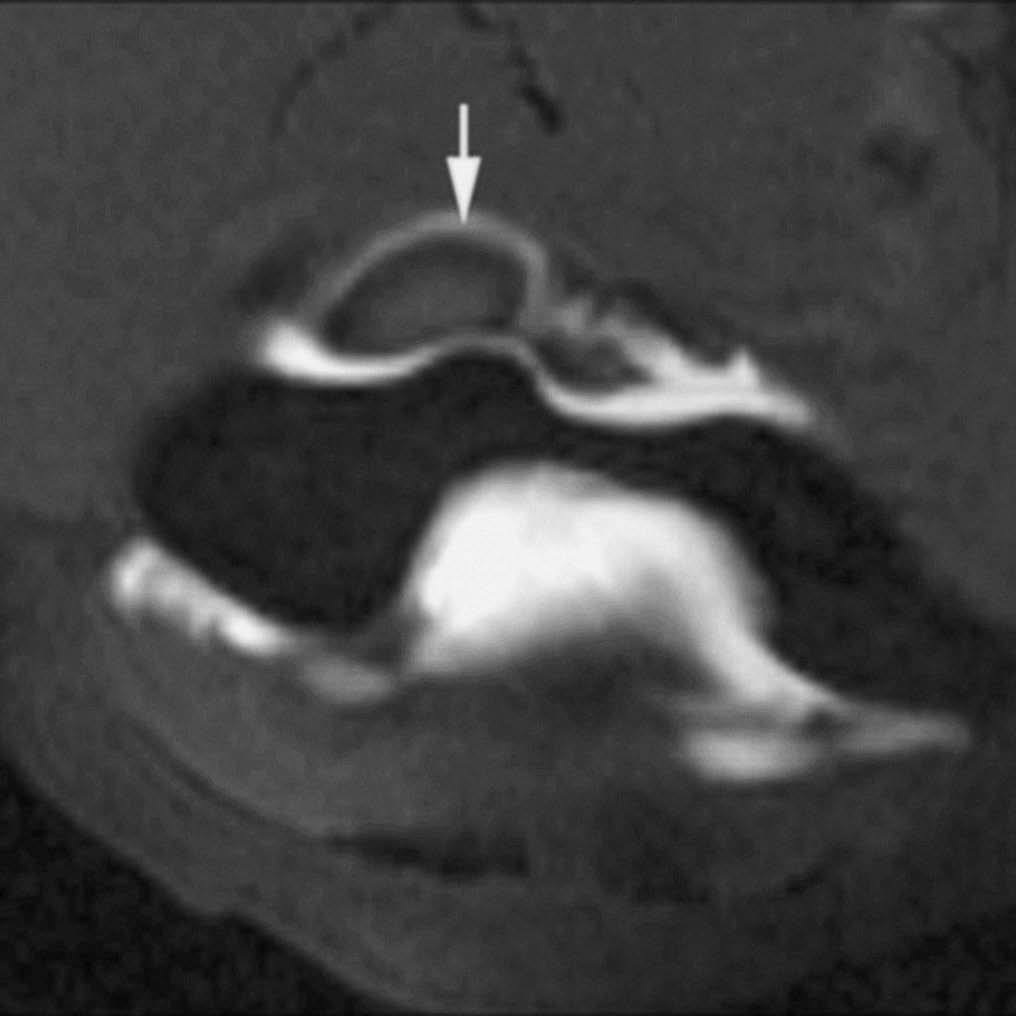
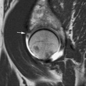
El síndrome del anillo acetabular debería sospecharse a partir de la exploración clínica. La rotura labral actúa como punto de inicio del proceso degenerativo articular. La distribución de las fuerzas a lo largo de la superficie articular se altera y condiciona un impacto repetido de la cabeza femoral en el acetábulo, con desarrollo de defectos condrales y osteoartritis progresiva3,6-10. La RMA permite una valoración precisa de estas lesiones con una excelente correlación con los hallazgos artroscópicos y quirúrgicos. Las roturas displásicas afectan la región superior del labrum, donde es más susceptible al choque repetido con la cabeza femoral (fig. 3). La asociación de las roturas labra les con gangliones quísticos es frecuente en este tipo de pacientes3,8.
Fig. 3.--Displasia de cadera del adulto. Corte axial oblicuo de RMA potenciado en T1 con técnica de supresión grasa. Defecto lineal en el labrum antero-superior (flecha).
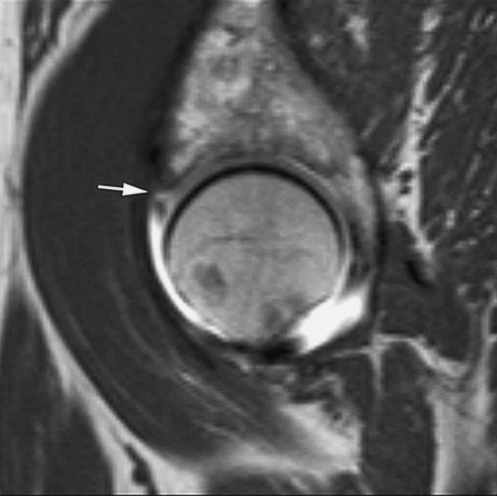
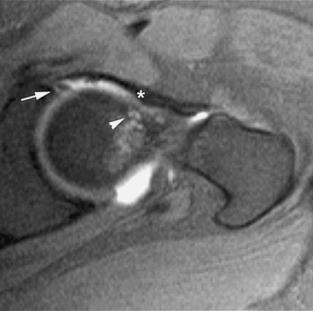
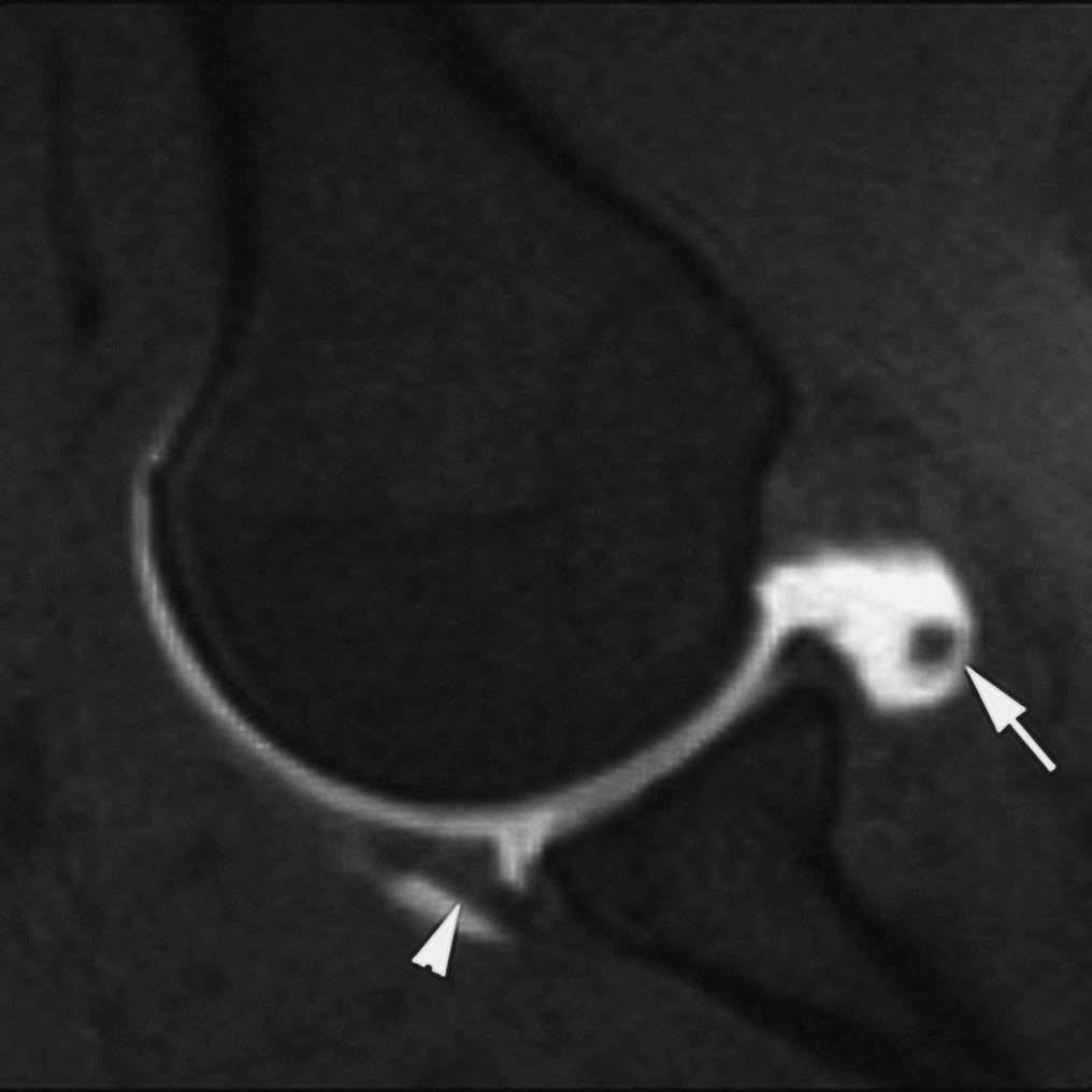
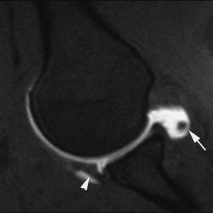
El síndrome de choque fémoro-acetabular está causado por el impacto repetido del cuello femoral sobre el borde del acetábulo debido a una alteración anatómica de la región proximal del fémur --disminución de la anteversión femoral y alteración de la relación normal entre los diámetros de la cabeza y el cuello femoral--. El tratamiento precoz de estas anomalías previene el desarrollo de coxartrosis. La RMA permite visualizar las alteraciones anatómicas del desarrollo, el estado del labrum acetabular, cartílago y cápsula articular (fig. 4)7-9.
Fig. 4.--Síndrome de choque fémoro-acetabular. Corte axial oblicuo de RMA potenciado en T1 con técnica de supresión grasa que muestra una deformidad en la transición cabeza-cuello femoral con edema focal (cabeza de flecha), formación de pequeño quiste sinovial (herniation pit), rotura del labrum antero-superior (flecha) y engrosamiento del ligamento ilio-femoral (asterisco).
RODILLA
Consideraciones técnicas
La técnica de punción directa es sencilla, puede realizarse directamente en la sala de RM sin guía con métodos de imagen. Se utiliza la técnica artrográfica convencional con el paciente en decúbito supino y acceso medial o lateral retropatelar (fig. 5). Se utiliza una aguja de 20 G administrando aproximadamente 30-40 ml de gadolinio diluido. Para llenar la articulación con menor volumen de contraste se puede aplicar compresión con una banda elástica en la región inferior del muslo, disminuyendo la entrada de líquido al receso suprapatelar. Es necesario movilizar la articulación para favorecer la distribución uniforme del medio de contraste4,5,11.
Fig. 5.--Diagramas que ilustran las vías de punción de la articulación de la rodilla. A) Imagen axial que muestra las vías de acceso medial y lateral al compartimento fémoro-patelar. B) Esquema sagital de la rodilla que muestra la zona de abordaje situada ligeramente superior a la zona media de rótula.
Para la valoración meniscal es preciso realizar cortes en los tres planos ortogonales; además de los cortes sagitales y coronales tradicionalmente utilizados son precisos cortes axiales directos o reconstruidos sobre imágenes sagitales 3D. Los cortes axiales son fundamentales para el estudio del cartílago fémoro patelar4,5,11.
Indicaciones
La RMA es una técnica cada vez más utilizada en la valoración de determinadas patologías de la rodilla. Las principales indicaciones son el menisco operado, el estadiaje preciso de las lesiones osteocondrales, la valoración del cartílago articular, las plicas sinoviales sintomáticas y la detección de cuerpos osteocondrales libres12-16.
Menisco operado
El progresivo reconocimiento de la importancia biomecánica del menisco en la función de la rodilla ha conducido al desarrollo de diversas técnicas conservadoras meniscales, incluyendo la meniscectomía parcial, la sutura meniscal, la reparación con grapas reabsorbibles y el trasplante meniscal. La valoración no invasiva del menisco operado es muy importante, en caso de persistencia o recurrencia de los síntomas, para el planteamiento terapéutico15,16.
Mientras la RM tiene una probada utilidad en las roturas meniscales de novo con una sensibilidad de aproximadamente el 97%, en el diagnóstico de las roturas recurrentes tras cirugía meniscal la fiabilidad diagnóstica es significativamente menor (33-82%). Los signos de rotura meniscal clásicos son la hiperseñal lineal que se extiende a la superficie articular y las alteraciones de la morfología meniscal. Se plantean dos problemas principales en la valoración del menisco postoperado: la marcada distorsión del contorno meniscal residual y la persistencia de hiperseñales intrameniscales que pueden simular roturas. La existencia de líquido dentro de un remanente meniscal en las imágenes T2 sugiere una rotura recurrente1,15,16. La comparación con estudios RM prequirúrgicos puede servir de ayuda en estos casos.
La RMA es una técnica con mayor eficacia diagnóstica en la valoración de las roturas meniscales recurrentes. Después de meniscectomías parciales, la capacidad de diagnosticar roturas recurrentes depende de la cantidad de menisco extirpado. Cuando la resección meniscal es menor del 25% los criterios de rotura en RM son los mismos que en la rodilla no operada --la fiabilidad de la RMA es similar a la de la RM en estos casos--. Cuando la resección es mayor del 75% la clínica del paciente no se asocia a las rerroturas meniscales. En los casos de resección entre el 25 y el 75% los criterios de rerrotura se basan en la introducción de contraste en el remanente meniscal (fig. 6)1,15,16.
Fig. 6.--Rerrotura de asta posterior del menisco interno. A, B) Corte coronal potenciado en T1 y corte sagital de RMA potenciado en T1 con técnica de supresión grasa en los que se observa introducción del contraste en el defecto meniscal.
Las roturas meniscales periféricas se tratan típicamente de forma conservadora o mediante sutura reparativa. Cuando curan, puede permanecer una señal anormal intrameniscal que posiblemente represente tejido de granulación. Una rotura meniscal recurrente o residual puede ser diagnosticada cuando la señal anormal persiste en las imágenes T2, pero este hallazgo ocurre en una minoría de los casos. La inyección intraarticular de gadolinio puede mejorar la sensibilidad de la RM en pacientes con reparaciones meniscales, al definir mejor los fragmentos meniscales libres o demostrar comunicación entre la rotura y la superficie del fragmento meniscal1,15-17.
Cartílago articular
El cartílago es una estructura especializada con muy limitada capacidad de recuperación. Su función principal es disminuir las fuerzas de fricción de las superficies articulares y facilitar el soporte de la carga corporal distribuyendo las fuerzas de forma uniforme al hueso subcondral. El interés en la patología del cartílago articular ha aumentado notablemente en los últimos años por múltiples motivos. En primer lugar, la patología del cartílago articular tiene una alta incidencia, especialmente con el incremento de la media de edad de la población. El importante coste sanitario que conlleva hace preciso el desarrollo de terapias más baratas que actúen sobre estadios precoces de la enfermedad. Por otra parte, el incremento de estudios artroscópicos de rodilla ha producido un aumento significativo en la detección de los defectos cartilaginosos. Estas lesiones pueden simular los signos y síntomas de las roturas meniscales1,14.
La alteración de la función del cartílago inicia un círculo vicioso: se produce un aumento de la carga articular que contribuye a la progresión del daño cartilaginoso. Cualquier proceso que produzca una alteración en la distribución de las cargas articulares puede iniciar o contribuir en este ciclo. Traumatismos directos, fracturas, inestabilidad fémoro-rotuliana, meniscectomía y lesiones ligamentosas son las entidades que con mayor frecuencia se asocian con la condromalacia. La patología del cartílago articular puede ser idiopática, afectando con más frecuencia a adolescentes y jóvenes1,14.
El síntoma dominante en los pacientes con condromalacia es el dolor, que aumenta con los movimientos de la rodilla. La lesión del cartílago articular, degenerativa o traumática, es esencialmente irreversible dado que el cartílago no se regenera y su capacidad de reparación es muy limitada. Generalmente, los desgarros parciales no curan. En los desgarros completos coágulos de fibrina y células inflamatorias pueden reparar el cartílago, aunque nunca recupera una estructura y función normal. El cartílago articular no está inervado y por lo tanto no es origen directo del dolor. La lesión del cartílago articular produce sobrecarga de otras estructuras articulares como el hueso subcondral, la cápsula articular y los meniscos, que originan el dolor.
En la gradación de la condromalacia se utiliza habitualmente el sistema de gradación artroscópica de Shahriaree, que agrupa a la condromalacia traumática, degenerativa y espontánea. Esta clasificación diferencia cuatro grados progresivos de condromalacia. La condromalacia grado 1 de origen traumático muestra reblandecimiento del cartílago, mientras que en la condromalacia no traumática se observa fibrilación. En el grado 2 se evidencia una vesícula separando las capas superficial y profunda del cartílago articular y pueden observarse fisuras superficiales. En el grado 3 se observa ulceración, fragmentación y fibrilación del cartílago con afectación más extensa, alcanzando la capa cartilaginosa profunda. Finalmente, en el grado 4 se evidencia una franca ulceración del cartílago con cráteres de hueso expuesto y progresión de la afectación al hueso subcondral1,14.
La eficacia diagnóstica de la RM en la valoración de la patología del cartílago articular ha aumentado notablemente con el desarrollo de nuevas secuencias específicas.
La eficacia diagnóstica es muy alta en la valoración del cartílago fémoro-patelar, siendo significativamente menor en la superficie articular lateral de la tibia, donde el cartílago es más delgado. Las secuencias 3D SPGR T1 con supresión grasa y FSE potenciadas en T2 con supresión de la grasa son las más sensibles y específicas. Estas secuencias muestran una gran eficacia en la detección de grados avanzados de condromalacia (cambios morfológicos), sin embargo son insensibles en los estadios iniciales.
La RMA mejora la eficacia diagnóstica de la RM convencional, tanto en los grados altos de condromalacia (grados 2-4) (fig. 7) como en los grados iniciales, con alteraciones únicamente intracondrales que pueden ser detectadas en las secuencias tardías --realce focal intracartilaginoso por difusión del contraste--1,14.
Fig. 7.--Condromalacia rotuliana grado 4. Corte axial de RMA potenciado en T1 con técnica de supresión grasa. Se observa un gran defecto condral rotuliano que alcanza el hueso subcondral.
TOBILLO
Consideraciones técnicas
Como paso previo a la punción es aconsejable palpar y marcar en la piel el trayecto de la arteria dorsal del pie. Se realiza la punción en la región anterior del tobillo en dos localizaciones principales, medial al tendón extensor largo del primer dedo o al tendón tibial anterior (fig. 8). Se debe realizar con ligera inclinación craneal para evitar el reborde tibial anterior. Se utiliza una aguja de 20-22 G administrando aproximadamente 10 ml de gadolinio diluido.
Fig. 8.--Diagrama que ilustra los sitios de punción de la articulación del tobillo. Medial al tendón tibial anterior o medial al tendón exten sor del primer dedo. La aguja se dirige con un trayecto ligeramente oblicuo en sentido craneal para evitar el margen tibial anterior.
La técnica de estudio debe incluir cortes finos (1 mm) 3D en eco de gradiente T1 o T1 con supresión grasa en los tres planos ortogonales, seguido de cortes en densidad protónica, T2 o STIR al menos en dos planos. Algunos autores proponen la realización de cortes oblicuos adaptados al trayecto anatómico de los diferentes ligamentos o en posiciones forzadas del pie donde los ligamentos se tensan y pueden ser valorados en toda su extensión. Sin embargo, actualmente las imágenes volumétricas (3DFT) permiten la realización de reconstrucciones adaptadas al trayecto de los diferentes ligamentos del tobillo, haciendo innecesaria la realización de cortes oblicuos o proyecciones forzadas4,5,18.
En circunstancias normales en la RMA de tobillo se puede observar comunicación de la articulación tibio-astragalina con las vainas tendinosas del flexor largo del primer dedo y el flexor largo de los dedos, y con la articulación subastragalina hasta en un 25% de los casos18.
Indicaciones
Las indicaciones para realizar RMA de tobillo serán la valoración precisa de las lesiones ligamentarias, especialmente en deportistas o en pacientes con inestabilidad crónica en los que se plantea cirugía, el estadiaje preciso de las lesiones osteocondrales de la cúpula astragalina, la detección de cuerpos libres intraarticulares, el diagnóstico de los síndromes de choque del tobillo y la valoración precisa de determinadas patologías sino viales1,19-23.
Lesiones ligamentosas
El 85% de los esguinces de tobillo afectan al ligamento lateral externo (LLE). Con menor frecuencia se observan lesiones de la sindesmosis tibio-peronea y del ligamento deltoideo. La cápsula articular lateral del tobillo está reforzada por los ligamentos peroneo-astragalino anterior (LPAA), peroneo-calcáneo (LPC) y peroneo-astragalino posterior (LPAP), que se denominan conjuntamente LLE. La mayoría de los esguinces de tobillo ocurren en gente activa en el grupo de edad de 15 a 35 años. La lesión del LLE del tobillo es un problema clínico frecuente, representando aproximadamente el 15% de las lesiones deportivas (baloncesto, fútbol) y el 10% de los ingresos en un departamento de urgencias1,18,20,21.
Los esguinces de tobillo afectan al LLE con un patrón predecible secuencial de lesión, en primer lugar el LPAA, posteriormente el LPC y finalmente el LPAP. Generalmente tienen buen pronóstico, independientemente del tipo de tratamiento realizado. No obstante, de un 10% a un 30% de los pacientes, a pesar de un tratamiento adecuado, desarrollan un cuadro clínico de inestabilidad crónica lateral que puede precisar tratamiento quirúrgico1,18,20,21.
En los traumatismos por mecanismo de inversión, a la lesión del LLE con frecuencia se asocian lesiones de otras estructuras anatómicas del tobillo --lesiones osteocondrales de la cúpula astragalina, lesiones de los tendones peroneos, síndrome del seno del tarso y choque antero-lateral-- que pueden pasar desapercibidas en la exploración clínica y ser responsables del fracaso del tratamiento conservador.
En la actualidad, la RMA es el método más eficaz en la valoración de las lesiones ligamentosas del tobillo. En la fase aguda, su indicación está limitada a aquellos casos en los que el cirujano plantea la realización de una reparación primaria --casos con lesión ligamentosa doble o en deportistas de alta competición--. Sin embargo, su principal indicación es la evaluación de la inestabilidad crónica de tobillo --tiene una sensibilidad del 100% y del 90% para las lesiones crónicas del LPAA y LPC, respectivamente (fig. 9), frente a una sensibilidad del 50% de la RM convencional--20,21.
Fig. 10.--Síndrome de choque antero-lateral. Corte axial de RMA potenciado en T1 que muestra un tejido fibroso irregular ocupando el receso capsular antero-lateral (flechas).
El síndrome de choque anterior es una causa relativamente frecuente de dolor crónico de tobillo, especialmente en deportistas sometidos a estrés repetido del tobillo en dorsiflexión («tobillo de futbolista»). Este proceso produce la existencia de prominencias óseas en el margen anterior del techo tibial, generalmente asociadas a otras en el área correspondiente sobre el margen opuesto del astrágalo. Estos osteofitos pueden chocar entre sí, especialmente con la dorsiflexión del tobillo, y atrapar tejidos de partes blandas. La RMA es de gran utilidad en la valoración de la afectación condral y la sinovitis (fig. 11) en el receso capsular anterior del tobillo19,23.
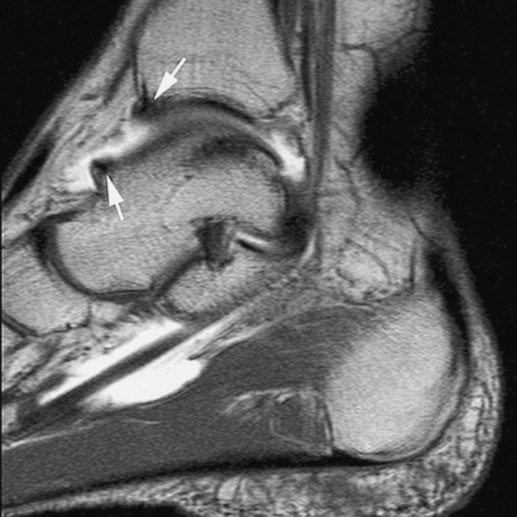
Fig. 11.--Síndrome de choque anterior. Corte sagital de RMA potenciado en T1 en el que se observan espolones óseos en el reborde tibial anterior y en la vertiente dorsal del cuello del astrágalo (flechas).
El choque antero-medial es una causa muy infrecuente de dolor crónico de tobillo que está producido por una lesión meniscoide formada por engrosamiento de partes blandas anterior a los fascículos tibio-astragalinos del ligamento deltoideo. La lesión meniscoide antero-medial puede aparecer aislada o asociarse con desgarros parciales del componente profundo del ligamento deltoideo. Otra causa de choque antero-medial es el engrosamiento del ligamento tibio-astragalino anterior. Este engrosamiento o la lesión meniscoide choca con la vertiente antero-medial del astrágalo en la dorsiflexión del tobillo conduciendo a la formación de osteofitos, lesiones condrales o a ambos. La RM convencional no ha mostrado utilidad para detectar las lesiones de choque medial. La RMA es el método diagnóstico de elección, definiendo con claridad la lesión meniscoide medial, el engrosamiento de ligamento tibio-astragalino anterior y cualquier lesión condral u osteocondral asociada19,23.
El choque postero-medial es una causa muy frecuente de dolor en la vertiente postero-medial del tobillo; tras un traumatismo severo por inversión las fibras tibio-astragalinas posteriores del componente profundo del ligamento deltoideo se pinzan entre la cara medial del astrágalo y el maléolo interno. Una inadecuada curación de las fibras contundidas de ligamento tibio-astragalino posterior conduce al desarrollo de fenómenos inflamatorios crónicos, hiperplasia fibrosa y metaplasia. En estos casos el tejido cicatricial puede chocar entre el muro medial del astrágalo y el margen posterior del maléolo interno. La RMA puede mostrar el engrosamiento de partes blandas y evidenciar edema óseo en el maléolo medial y en la cara medial del astrágalo19,23.
El choque posterior se refiere a un grupo de procesos patológicos resultado de traumatismos por flexión plantar forzada del pie. El mecanismo lesional se ha comparado al de un cascanueces ya que la vertiente posterior del astrágalo y los tejidos blandos adyacentes son comprimidos entre la tibia y el calcáneo durante la flexión plantar del pie. Este síndrome se ha descrito en bailarinas de ballet clásico pero también se describe con frecuencia en deportistas. Las causas más frecuentes son óseas: os trigonum (osículo accesorio del tubérculo postero-lateral del astrágalo que puede persistir sin fusionarse en la vida adulta en un 7% de los individuos), un tubérculo postero-lateral del astrágalo elongado denominado proceso de Stieda, una inclinación inferior en margen posterior de techo tibial (tercer maléolo), la prominencia del proceso posterior del calcáneo y los cuerpos libres. Lesiones de partes blandas que condicionan choque son la sinovitis del flexor largo del primer dedo, los recesos sinoviales posteriores de las articulaciones subastragalina posterior y tibio-astragalina y el ligamento intermaleolar posterior. La RM es útil para establecer el diagnóstico de choque posterior. La presencia combinada de edema óseo y sinovitis en los recesos capsulares posteriores sugieren la existencia de este síndrome. El ligamento intermaleolar posterior es una variante anatómica presente en aproximadamente un 19% de los pacientes. En ocasiones, este ligamento puede engrosarse por traumatismos o fricción mecánica repetida. La RMA permite identificar este ligamento y las alteraciones del mismo que pueden condicionar un síndrome de choque posterior, como engrosamiento y sinovitis focal19,23.
LESIONES OSTEOCONDRALES
Lesión osteocondral (LOC) es un término generalmente aceptado que incluye la fractura transcondral, la fractura osteocondral y la osteocondritis disecante. En la actualidad, se piensa que la práctica totalidad de las mismas son secundarias a traumatismos con rotura del cartílago articular y microfracturas subcondrales, bien por un traumatismo único de suficiente intensidad o por microtraumatismos repetidos. Se asocian frecuentemente con lesiones de otras estructuras, especialmente ligamentosas, pero pueden ser el único hallazgo responsable del cuadro clínico postraumático1,11,17.
Las lesiones osteocondrales pueden ocurrir en cualquier articulación del organismo, siendo la rodilla la localización más frecuente. En la rodilla afectan con mayor frecuencia a la vertiente lateral del cóndilo femoral interno y a la rótula. Otra localización frecuente es la cúpula astragalina. La lesión se produce por un movimiento de inversión forzada del tobillo, con dorsiflexión en el caso de las lesiones laterales y flexión plantar en las lesiones mediales. Aproximadamente el 60% de las LOC afectan a la cara medial de la tróclea astragalina, se localizan en su región postero-superior y tienen forma de cráter profundo. El 40% de las lesiones se localizan en la región antero-superior de su cara lateral y son menos profundas que las mediales1,11,17. La localización más frecuente de las LOC del codo es la superficie convexa del cóndilo humeral. Suelen ser consecuencia de una fuerza de cizallamiento transmitida por la cabeza radial. La impactación crónica lateral puede resultar en una LOC del cóndilo o de la cabeza radial. La LOC debe diferenciarse del pseudodefecto del cóndilo. Éstas afectan típicamente a la porción anterior del cóndilo, mientras el pseudodefecto se localiza en la transición abrupta entre el margen postero-lateral del cóndilo y su porción no articular posterior.
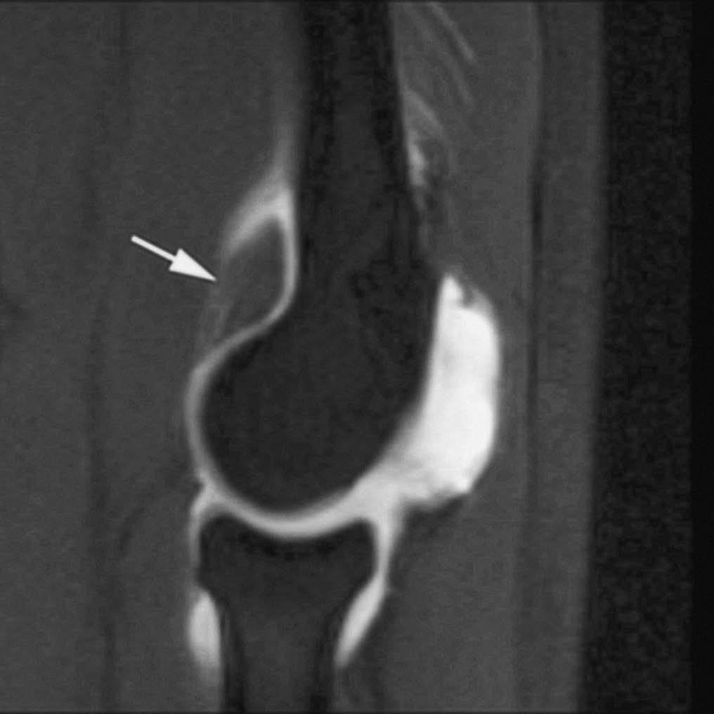
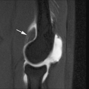
Las LOC son lesiones radiográficamente ocultas en los estadios iniciales. El retraso en el diagnóstico y tratamiento condiciona el desarrollo de importantes secuelas. La RMA es el método diagnóstico de elección; permite realizar un diagnóstico precoz (detectando LOC radiográficamente ocultas), determinar la extensión, estabilidad y viabilidad del fragmento osteocondral (fig. 12), y localizar cuerpos libres articulares1,11,17.
Fig. 12.--Lesión osteocondral estadio 2 en el cóndilo femoral interno de la rodilla. Corte sagital de RMA potenciado en T1 con técnica de supresión grasa que muestra una lesión osteocondral con despegamiento parcial.
El estadiaje de estas lesiones se realiza con un sistema similar al de Bernt y Harty, en cuatro grados, en función de la integridad del cartílago articular y el grado de despegamiento del fragmento subcondral. En el estadio I se observa un cartílago articular intacto con alteración de señal del hueso subcondral. La radiología convencional es negativa en este estadio. Las lesiones en estadio II se dividen en IIa, donde se observa un quiste subcondral, y IIb, con despegamiento parcial del cartílago y del fragmento subcondral. En el estadio III, el fragmento osteocondral se encuentra completamente despegado pero no desplazado. El estadio IV se caracteriza por la existencia de un fragmento o fragmentos osteocondrales libres1,11,17.
CUERPOS LIBRES
Los cuerpos intraarticulares libres se forman a partir de pequeños nidos de hueso o cartílago desprendidos a consecuencia de la fragmentación del cartílago articular que ocurre en la patología degenerativa o las lesiones osteocondrales. El cuerpo libre se nutre de líquido sinovial, puede seguir creciendo y ocasionar síntomas crónicos y debilitantes como dolor articular, bloqueos y limitación de la movilidad articular. Pueden ocurrir en cualquier articulación, siendo más frecuentes en la rodilla y el codo4,5,11,12,17.
Los cuerpos libres pueden adherirse a la sinovial o bien flotar libremente en el espacio articular. La RM convencional muestra con gran fiabilidad los cuerpos libres en las secuencias T2 si existe derrame articular. La sensibilidad y especificidad de la RMA para detectar cuerpos intraarticulares libres es significativamente superior al distender la articulación y separar los cuerpos libres de la cápsula apareciendo completamente rodeados por el líquido (figs. 13 y 14)4,5,11,12,17. La detección adecuada de estas lesiones es fundamental para plantear la artroscopia terapéutica, evitando el dolor y previniendo el desarrollo de osteoartritis.
Fig. 13.--Voluminosos cuerpos osteocondrales libres en receso capsular anterior del codo. Corte axial de RMA potenciado en T1 con técnica de supresión grasa que demuestra la existencia de dos cuerpos condrales de gran tamaño en la vertiente anterior del codo (flecha).
Fig. 14.--Cuerpo condral libre. Corte en proyección ABER de RMA potenciado en T1 con técnica de supresión grasa que muestra un pequeño cuerpo condral libre en receso capsular posterior del hombro. Nótese la existencia de una lesión de Perthes.
PATOLOGÍA SINOVIAL
La RMA puede tener utilidad en determinadas patologías sinoviales, como los cuadros de plicas sinoviales sintomáticas, la sinovitis villonodular pigmentada (SVNP) y la osteocondromatosis sinovial17.
La SVNP es un trastorno proliferativo benigno de la membrana sinovial asociado con depósitos de hemosiderina. Puede localizarse en cualquier articulación, vaina tendinosa o bursa. La rodilla es la articulación más frecuentemente afectada (80%). Otras localizaciones menos frecuentes son la cadera, el tobillo, el hombro y el codo. Puede presentar dos patrones diferentes de crecimiento: la forma difusa y la forma nodular. En RM los hallazgos serán altamente sugestivos, aunque no específicos y dependerán del contenido en grasa, tejido fibroso y hierro. La RMA desempeña un papel fundamental en la planificación del tratamiento (fig. 15) y en la evaluación postquirúrgica, proporcionando una completa información sobre la distribución y grosor del tejido anómalo17.
Fig. 15.--Sinovitis villonodular pigmentada focal de codo. Corte sagital de RMA potenciado en T1 con técnica de supresión grasa. Se observa un defecto nodular bien definido adherido a la cápsula anterior del codo.
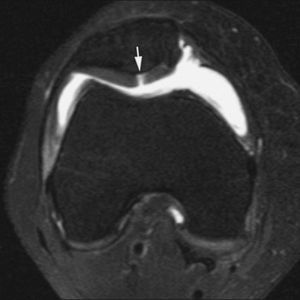
Fig. 16.--Síndrome de plica medio-patelar. Corte axial de RMA potenciado en T1 con técnica de supresión grasa que muestra una plica medio-patelar tipo C de Sakakibara ligeramente engrosada.
La condromatosis sinovial primaria es un trastorno benigno de etiología desconocida en el cual se produce proliferación y metaplasia cartilaginosa de la membrana sinovial. Esto conduce a la formación de múltiples nódulos cartilaginosos intraarticulares de diversos tamaños que pueden calcificarse e incluso osificarse. Este proceso puede ocurrir en cualquier articulación, bursa o vaina tendinosa. La afectación es generalmente monoarticular. En orden de frecuencia se localiza en la rodilla, el codo, el hombro, la cadera y el tobillo. La RMA permite una valoración exacta de la extensión del proceso, demostrando lesiones en la fase inicial, no calcificadas, antes de la formación de cuerpos libres17.
Las plicas sinoviales son remanentes embriológicos del tejido sinovial normalmente asintomáticos. La inflamación crónica de las plicas sinoviales causada por un traumatismo o microtraumatismos repetidos produce una disminución de su elasticidad. Las plicas patológicas o sintomáticas aparecen engrosadas, fibrosas y rígidas. Con la movilización de la articulación producen irritación de la sinovial y erosiones del cartílago13,24.
La plica más frecuentemente sintomática es la mediopatelar. El dolor se produce por el roce de una plica rígida con el cóndilo femoral medial que conduce a sinovitis mecánica, erosión del cartílago articular del cóndilo femoral medial y de la faceta rotuliana interna. El dolor generalmente es intermitente, se acentúa con la actividad y es más importante si existe afectación cartilaginosa13.
Las plicas sintomáticas pueden aparecer en la RM engrosadas e irregulares (fig. 16). Sin embargo, estos hallazgos no permiten determinar si una plica es o no sintomática, y deben ser relacionados con la clínica del paciente. En ausencia de derrame articular, la RMA permite identificar estas estructuras con mayor fiabilidad que la RM convencional13.
La artrofibrosis es una proliferación anómala de tejido fibroso intraarticular, generalmente consecuencia de traumatismos o cirugía previa. Produce una marcada limitación de la movilidad articular y es especialmente frecuente en el codo. La RMA permite confirmar el diagnóstico y determinar con gran precisión la extensión del tejido anómalo antes de la resección artroscópica.
CONCLUSIÓN
La RMA es la técnica de imagen de mayor utilidad en la valoración de la patología articular. Combina las ventajas de la artrografía --distensión articular y delineación de estructuras intraarticulares-- con la gran resolución espacial de la RM. Es una exploración mínimamente invasiva, sin grandes dificultades técnicas ni complicaciones importantes para el paciente. Sin embargo, debemos valorar en cada caso si el beneficio diagnóstico justifica el aumento del tiempo de exploración, coste y riesgo para el paciente.
























