Niña de 5 años con aplasia medular que lleva 3 años tratándose con esteroides. Tras unos días con malestar, acude a urgencias pálida, estuporosa e hipotensa. Se realiza ecografía abdominal, donde se aprecia abundante líquido libre y se interviene quirúrgicamente de urgencia. En los días posteriores se efectúa RM abdominal.
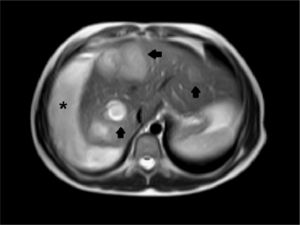
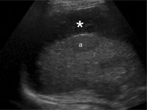
Hallazgos de imagenEn la ecografía se apreciaban múltiples lesiones hepáticas de baja ecogenicidad (fig. 1), sin flujo detectable en el estudio Doppler, y una imagen hipoecoica perihepática, con ecos internos, que se orientó como hematoma (fig. 2). En la RM algunas de las lesiones mostraban elevada intensidad en secuencias potenciadas en T1 y todas brillaban en secuencias potenciadas en T2, con realce inespecífico (fig. 3). El hematoma se comportaba de forma heterogénea aunque era hiperintenso en todas las secuencias (fig. 4).
Dado el antecedente de toma prolongada de esteroides, la existencia de múltiples lesiones hepáticas y la hiperintensidad de alguna de ellas en T1, sugestiva de hemorragia, además de la presencia de una complicación tan característica como el hemoperitoneo, el proceso se etiquetó como peliosis hepática. La niña sufrió un shock hemorrágico. En el quirófano se comprobó que una de las lesiones estaba abierta a la superficie hepática. En controles posteriores las lesiones fueron despareciendo en número y tamaño tras retirar la medicación.
La peliosis es una rara enfermedad caracterizada por la presencia de cavidades quísticas llenas de sangre. El término proviene del griego «pelios» que significa oscuro, debido al aspecto macroscópico que le da al hígado la sangre coagulada1. Suele darse casi exclusivamente en la edad adulta sin predilección por ningún sexo y apenas hay casos comunicados en niños2. Su tamaño puede variar de menos de 1mm a varios centímetros. Aunque su etiopatogenia precisa sigue siendo desconocida, está bien establecida su relación con múltiples procesos debilitantes como: tuberculosis, SIDA, alcoholismo, inmunodeficiencia postransplante, diabetes mellitus, infecciones por Bartonella… y también con situaciones de ingesta crónica de anticonceptivos orales o esteroides3. La presentación clínica varía, puede ser asintomática y diagnosticarse incidentalmente en una autopsia, o bien presentarse directamente con complicaciones como fallo hepático, hipertensión portal o hemorragia peritoneal.
El aspecto radiológico de estas lesiones varía en función de la cantidad de sangre no coagulada que hay en ellas y su flujo. Ecográficamente suelen ser hipoecoicas respecto al resto del parénquima, excepto cuando se complican con hemorragia, mostrando entonces focos de mayor ecogenicidad.No suelen mostrar flujo en el estudio Doppler. En la TC son lesiones hipoatenuantes, aunque pueden presentar densidad aumentada si han sangrado o mostrar calcificaciones en su interior4. Si las cavidades pelióticas son menores de 1cm el estudio puede ser normal. Como presentación inusual pueden tener niveles líquido-líquido por sangrado5. Su comportamiento tras la inyección de contraste es variable. Clásicamente se ha descrito el «signo de la diana» que consiste en un realce nodular central en fase arterial, que sigue un sentido centrífugo en fases posteriores6. En general, pueden o no tener realce progresivo y éste ser centrífugo o centrípeto7. En RM los hallazgos visualizados también varían según la edad y fase de sangrado de las lesiones, lo que traduce su variable aspecto en T1. En secuencias potenciadas en T2 son de intensidad elevada8. En la difusión, los valores de ADC de las lesiones son menores que en el parénquima sano, probablemente debido a la presencia de trombosis y hemorragia5.
Su diagnóstico diferencial debe incluir a adenoma, hemangioma, absceso, metástasis hipervasculares y especialmente el carcinoma hepatocelular, siendo a veces difícil su diferenciación en el caso de lesión única o si existe degeneración peliótica9. En la edad pediátrica se debe considerar el linfangioma. Es peligroso realizar una biopsia percutánea de estas lesiones por el riesgo de hemorragia.
No existe un tratamiento específico y su curso es variable. Las lesiones suelen desaparecer tras retirar la medicación o de forma espontánea, pero también pueden producir complicaciones mortales10.
En definitiva, la peliosis debe considerarse en el diagnóstico diferencial de lesiones hepáticas atípicas, incluso en niños, sobre todo cuando se dan de forma concomitante las situaciones clínicas anteriormente descritas.
DiagnósticoPeliosis hepática; Peliosis con hematoma perihepático secundario; Hematoma perihepático como complicación de peliosis.
Para conocer el listado de participantes que acertaron su diagnóstico y obtuvieron créditos, hay que dirigirse a la página web de la SERAM (http://www.seram.es) dentro del apartado de la revista Radiología.








