Varón de 67 años, ex fumador, que consulta por dolor costal izquierdo.
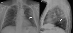
Hallazgos radiológicosEn la radiografía de tórax (fig. 1) se aprecia una opacidad periférica en la región posterosuperior del hemitórax izquierdo con bordes parcialmente bien definidos y de semiología extraparenquimatosa. No hay signos de destrucción costal.
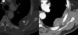
La tomografía computarizada (TC) con contraste intravenoso (fig. 2) muestra una masa periférica, de bordes bien definidos, ángulos obtusos con la pared torácica y realce homogéneo. Presenta invasión de los planos grasos extrapleurales y contacta adelgazando la cortical del arco costal posterior (fig. 2A). No existen nódulos pulmonares ni adenopatías mediastínicas.
Tomografía computarizada con contraste intravenoso, ventana ósea (A) y ventana de partes blandas (B). Masa periférica de bordes bien definidos, realce homogéneo y ángulos obtusos con la pared torácica (flecha). Invade los planos grasos extrapleurales (asterisco) y contacta adelgazando la cortical del arco costal posterior (punta de flecha).
En resonancia magnética (RM) (fig. 3) la lesión es de intensidad de señal heterogénea, con realce periférico de contraste (fig. 3A) y centro hiperintenso en las imágenes potenciadas en T2 (fig. 3B) por probable necrosis. Invade la musculatura intercostal, afecta a múltiples arcos costales posteriores y se extiende hasta el músculo subescapular.
Resonancia magnética, imagen axial potenciada en T1 con supresión grasa tras la administración de contraste intravenoso (A) e imagen sagital potenciada en T2 (B). La lesión es de intensidad de señal heterogénea, con realce periférico de contraste (flecha) y centro hiperintenso en T2 (punta de flecha). Invade la musculatura intercostal, afecta a múltiples arcos costales posteriores y se extiende hasta el músculo subescapular (asterisco).
La radiografía torácica muestra una lesión única, periférica y de base amplia, con bordes parcialmente bien definidos y ángulos obtusos con la pared torácica en la proyección posteroanterior (fig. 1A), y bordes mal definidos en la proyección lateral (fig. 1B). Los hallazgos no son definitivos para determinar su origen intra o extrapulmonar y, por tanto, puede tratarse de una lesión de origen pleural (derrame encapsulado, metástasis, mesotelioma y tumor fibroso localizado de la pleura), de pared torácica (lipoma/liposarcoma, histiocitoma fibroso maligno, osteosarcoma, condrosarcoma, metástasis) o pulmonar de asiento pleural (carcinoma primario).
En el estudio de TC (fig. 2), la densidad de la lesión y el realce, independientemente de otras características, descartan el derrame encapsulado y el lipoma/liposarcoma bien diferenciado. El tumor fibroso localizado de la pleura, a pesar de alcanzar gran tamaño, generalmente presenta ángulos agudos con la pared torácica y característicamente no suele presentar invasión de ésta. Por tratarse de una lesión única y de gran tamaño, y por la ausencia de derrame pleural, adenopatías u otras lesiones pulmonares, el diagnóstico de metástasis pleural es muy poco probable. Del mismo modo, la ausencia de derrame pleural y de otros signos de exposición a asbesto, no apoya el diagnóstico de mesotelioma maligno1.
La RM (fig. 3) muestra la extensión real de la lesión, que invade la musculatura intercostal, afecta a múltiples arcos costales posteriores y se extiende hasta el músculo subescapular. El diagnóstico diferencial, por lo tanto, se limita a una lesión maligna de la pared torácica o un carcinoma pulmonar de localización periférica con invasión de la pared. Este último, característicamente presenta ángulos agudos con la pared, aunque la invasión de ésta puede hacer que aquellos sean obtusos1.
El estudio anatomopatológico de la pieza quirúrgica fue de carcinoma sarcomatoide pulmonar tipo pleomórfico.
El carcinoma pleomórfico pulmonar es una neoplasia epitelial pobremente diferenciada, definida recientemente según la clasificación de la Organización Mundial de Salud (OMS) como un carcinoma no microcítico, ya sea adenocarcinoma, carcinoma escamoso o de células grandes (componente carcinomatoso o epitelial), combinado con células neoplásicas en huso o gigantes (componente sarcomatoso o mesenquimal) o compuesto únicamente por estas últimas. Al menos un 10% de células en huso, células gigantes o ambas deben estar presentes para clasificar un carcinoma como carcinoma pleomórfico2–4.
Se trata de un tumor extraordinariamente raro, motivo por el que se presenta el caso, constituyendo el 0,1–0,4% de las neoplasias malignas pulmonares. Predomina en varones (9,7:1)2,5 y en fumadores5. Varios estudios describen sus hallazgos en la TC como una masa periférica, de gran tamaño, con centro necrótico, con predilección por los lóbulos superiores, y frecuente invasión de la pleura y la pared torácica2,4,5, y estos hallazgos son más característicos del subtipo de células grandes o gigantes2. Además, un área peritumoral de densidad en vidrio deslustrado se mostró característico de este subgrupo2. Los tumores con diámetro máximo<5cm suelen presentar un realce relativamente homogéneo de contraste. Cuando alcanzan un tamaño mayor, el realce es heterogéneo, con áreas centrales de baja densidad en TC, que en el estudio histológico corresponden a zonas de necrosis y degeneración mixoide con focos hemorrágicos4.
Las muestras obtenidas mediante biopsia percutánea caracterizan inicialmente a estas lesiones como tumores epiteliales malignos debido a la coexistencia de componentes malignos epiteliales y de células sarcomatosas en huso en diferentes proporciones. Generalmente, es el estudio histológico de la pieza quirúrgica el que confirma el diagnóstico de carcinoma pleomórfico4.
El carcinoma pleomórfico pulmonar presenta un peor pronóstico que el carcinoma no microcítico convencional en estadio I curable quirúrgicamente, lo que justifica su separación como un tipo histológico independiente en la clasificación de la OMS5.
DiagnósticoCarcinoma sarcomatoide pulmonar tipo pleomórfico.
Para conocer el listado de participantes que acertaron su diagnóstico y obtuvieron créditos, hay que dirigirse a la página web de la SERAM (www.seram.es) dentro del apartado de la revista Radiología.







