La inflamación de las glándulas salivales secundaria a la administración de contraste yodado es una reacción adversa muy poco frecuente. Su etiología no está aclarada y, aunque tiene un curso benigno, se han descrito complicaciones asociadas. Presentamos dos casos de submaxilitis aguda bilateral como reacción adversa tras la administración intravenosa de contraste yodado en dos varones de 60 y 63 años de edad a los que se realizó en los días previos una tomografía computarizada.
Swelling of the salivary glands after administration of iodinated contrast is a very rare adverse reaction. Its etiology is not clear and although it has a benign course associated complications have been reported. We report two cases of acute bilateral sialadenitis after intravenous iodinated contrast in 60 and 63 year-old men who underwent a computed tomography scan in the previous days.
La sialoadenitis aguda como reacción adversa al contraste yodado es una condición poco común. El primer caso fue descrito en 1956 y se produjo tras una urografía intravenosa1. Su incidencia es desconocida, con tan solo 40 casos publicados en el índice Medline2–5. El objeto de esta comunicación es describir y dar a conocer esta situación, que creemos de interés por su carácter infrecuente y el uso generalizado de los contrastes yodados en las pruebas de imagen.
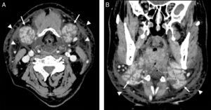
Presentación de los casosCaso 1Varón de 60 años de edad, con insuficiencia renal crónica y un valor de creatinina de 2mg/dl, que acudió a urgencias por un aumento brusco de los planos blandos de la región cervical, con sensación de disfagia, sin disnea ni estridor. En las 24 horas previas había sido sometido a una tomografía computarizada (TC) abdominopélvica, para la cual se le inyectaron 100ml de contraste yodado (Iohexol 300 mgI/ml, Omnipaque®, GE Healthcare Ireland, IDA Business Park Carrigtohill Co. Cork, Ireland). En la exploración física se objetivaron signos inflamatorios con eritema cutáneo. Ante la sospecha clínica inicial de un proceso infeccioso se decidió realizar una TC cervical con contraste intravenoso tras nefroprotección, para delimitar la formación de abscesos y su extensión ante un posible drenaje urgente. En la TC se identificó un aumento del tamaño de las glándulas submaxilares, con engrosamiento de los septos glandulares y moderados cambios inflamatorios asociados en la grasa circundante (fig. 1). No se visualizó causa obstructiva que justificara la inflamación ni tampoco abscesos cervicales. Se pautaron corticoides, con mejoría progresiva y resolución completa del cuadro clínico a las 72 horas.
Imagen axial (A) y coronal (B) de tomografía computarizada cervical con contraste intravenoso en la que se observa marcado aumento de ambas glándulas submaxilares (flechas), que se muestran hipercaptantes y con engrosamiento de los septos glandulares. Se asocia a moderados cambios inflamatorios en la grasa circundante y en el tejido celular subcutáneo (puntas de flecha). No se visualizan colecciones definidas en la región cervical.
Varón de 63 años de edad, con leucemia mieloide aguda, hospitalizado para realización de trasplante de médula ósea. El paciente comenzó de manera súbita con un aumento de tamaño de la región cervical y submandibular, y se sospechó un síndrome linfoproliferativo postrasplante con aparición de adenopatías cervicales. Al paciente se le había realizado en las 48 horas previas una TC craneal, administrándole 80ml de contraste yodado intravenoso (Iohexol 300 mgI/ml, Omnipaque®, GE Healthcare Ireland, IDA Business Park Carrigtohill Co. Cork, Ireland). La función renal había empeorado durante el ingreso, presentando una creatinina de 1,4mg/dl en el momento del cuadro clínico. Se realizó una ecografía cervical en la que únicamente se observó un aumento de tamaño de ambas glándulas submaxilares, que presentaban un aspecto edematoso con pérdida de la diferenciación de su contorno (fig. 2 A). La ausencia de adenopatías, la bilateralidad del proceso y el antecedente de exposición reciente a contraste yodado orientaron hacia una posible reacción adversa. Se pautaron corticoides y se produjo una resolución completa del cuadro clínico en 48 horas, con confirmación ecográfica (fig. 2 B).
A) Imagen de ecografía cervical con sonda lineal en la que se observa un aumento difuso del tamaño de ambas glándulas submaxilares, que presentan un aspecto edematoso con pérdida de la diferenciación del contorno glandular. B) Ecografía cervical realizada a las 48 horas en la que se observa una adecuada diferenciación del parénquima glandular con desaparición de los signos inflamatorios.
La sialoadenitis aguda por yodo es una reacción adversa muy poco frecuente tras la administración de contraste yodado, que por su escasa frecuencia creemos de interés ya que está íntimamente ligada a nuestra práctica diaria como radiólogos. Produce una inflamación rápida e indolora de las glándulas salivales, con tendencia a la afectación bilateral y cuyo inicio varía desde pocos minutos hasta un máximo de 5 días tras la administración del medio de contraste2. Nuestros dos casos se produjeron a las 24 y las 48 horas de la exposición. Se ha descrito tras la administración de contraste yodado por vía oral, intravenosa e intraarterial en la realización de múltiples pruebas diagnósticas (TC, urografía, arteriografía)2,4,5. El mecanismo etiopatogénico no está aclarado, aunque no parece tratarse de una reacción alérgica. Algunos autores consideran que se trata de una reacción anormal al contraste en pacientes susceptibles, al observar recurrencia con dosis repetidas de contraste yodado2,3,5. Una revisión de los casos publicados reflejó que los pacientes con recurrencia del proceso no tenían antecedentes personales ni familiares de hipersensibilidad ni de alergias a medicamentos o alimentarias. Además, los pacientes eran de diferentes países, por lo que tampoco se relacionó con la raza2. Un segundo mecanismo involucra a la función renal. El 98% del yodo inyectado por vía intravenosa es eliminado por los riñones y solo el 2% se excreta por otros órganos, como las glándulas salivales, lagrimales y sudoríparas. En los pacientes con disminución de la función renal, el retardo en la excreción urinaria de yodo conllevaría un acúmulo de yodo en la saliva, lo que induce la inflamación de la mucosa de los conductos glandulares y una alteración en la secreción de saliva, por lo que la insuficiencia renal puede ser considerada un factor de riesgo3–5. También se ha relacionado con la osmolaridad del medio de contraste, pues el uso de contrastes de baja osmolaridad reduce la incidencia de reacciones adversas, aunque se han descrito casos de sialoadenitis con contrastes de baja y alta osmolaridad6.
La sospecha clínica es difícil al no relacionar el cuadro clínico con una posible reacción adversa. El diagnóstico de imagen se realiza fundamentalmente con los hallazgos ecográficos, en los que se demuestra la inflamación glandular con pérdida de la diferenciación de la ecoestructura glandular normal, que presenta septos internos hipoecogénicos, dilatación de los conductos salivales y aumento de la vascularización7,8. En la TC hay un aumento de tamaño de las glándulas salivales asociado a cambios inflamatorios en la grasa adyacente3,5,9. El diagnóstico diferencial incluye otras afecciones que pueden cursar con edema e inflamación del suelo bucal, como angioedema, litiasis obstructiva, infección bacteriana o viral de las glándulas salivales, infección de los planos blandos del suelo de la boca e incluso neoplasias10. También hay que considerar que algunos fármacos pueden provocar inflamación de las glándulas salivales, como la clozapina, la fenilbutazona y medicamentos que contengan L-asparaginasa3.
El curso clínico es autolimitado y de buen pronóstico, con resolución espontánea de los síntomas en varios días. Sin embargo, se han descrito complicaciones más graves asociadas al cuadro de sialoadenitis por yodo, incluyendo inflamación de la glándula tiroides y de las glándulas lagrimales, vasculitis, pancreatitis y parálisis del nervio facial3,10. En nuestros pacientes, el cuadro clínico remitió a las 48 y las 72 horas sin complicaciones. No suele ser necesario ningún tratamiento, pero pueden emplearse terapias empíricas con analgesia, antihistamínicos o esteroides para intentar revertir el edema glandular. Los pacientes con insuficiencia renal son subsidiarios de diálisis para eliminar el yodo del organismo y acortar la duración de la inflamación3,4.
En conclusión, la sialoadenitis aguda como reacción adversa al contraste yodado es una condición muy poco frecuente. Puede ocurrir en cualquier paciente y recurrir con exposiciones repetidas. Aunque el mecanismo etiopatogénico no está aclarado, el deterioro de la función renal puede ser un factor de riesgo en su desarrollo. El uso generalizado de contrastes yodados en las pruebas de imagen obliga a conocer y tener en cuenta esta situación ante un paciente con inflamación del suelo bucal y antecedente de exposición a contraste yodado.
Responsabilidades éticasProtección de personas y animalesLos autores declaran que para esta investigación no se han realizado experimentos en seres humanos ni en animales.
Confidencialidad de los datosLos autores declaran que en este artículo no aparecen datos de pacientes.
Derecho a la privacidad y consentimiento informadoLos autores declaran que en este artículo no aparecen datos de pacientes.
Autoría- 1.
Responsable de la integridad del estudio: SSG.
- 2.
Concepción del estudio: SSG y DRS.
- 3.
Diseño del estudio: SSG, DRS y LTA.
- 4.
Obtención de los datos: SSG, DRS y LTA.
- 5.
Análisis e interpretación de los datos: SSG, DRS, LTA y JCB.
- 6.
Tratamiento estadístico: no procede.
- 7.
Búsqueda bibliográfica: SSG, DRS y LTA.
- 8.
Redacción del trabajo: SSG y JCB.
- 9.
Revisión crítica del manuscrito con aportaciones intelectualmente relevantes: SSG, DRS, LTA y JCB.
- 10.
Aprobación de la versión final: SSG, DRS, LTA y JCB.
Los autores declaran no tener ningún conflicto de intereses.






