INTRODUCCIÓN
La diferencia de tamaño entre la cabeza humeral y la cavidad glenoidea permite una gran movilidad de la articulación, pero al mismo tiempo hace de la misma la más inestable del cuerpo humano. Durante las últimas décadas, el avance tecnológico de la artroscopia y la resonancia magnética (RM) han permitido un mejor conocimiento de la anatomía normal, biomecánica y patología del hombro inestable1-3. Así mismo, el aumento de la popularidad de ciertos deportes, que implican una acción de lanzamiento, como son el tenis y el béisbol, ha producido un nuevo tipo de patología del hombro que incluye lesiones tanto capsulares como del labio glenoideo (LG) y del manguito rotador. Estas lesiones se han agrupado bajo el título general de microinestabilidad4,5. En este artículo se discuten: a) las variantes anatómicas del LG, de los ligamentos glenohumerales, y de la cápsula articular, que pueden confundirse con lesiones patológicas; b) la biomecánica básica del hombro pertinente a la inestabilidad glenohumeral; c) las lesiones producidas por traumatismo agudo, que conducen a una situación de inestabilidad glenohumeral crónica y d) las lesiones características del atleta lanzador, que pueden conducir a una situación de microinestabilidad. Así mismo, se hace énfasis en los detalles anatómicos pertinentes a la evaluación de los pacientes con inestabilidad glenohumeral.
VARIANTES ANATÓMICAS NORMALES
Labio glenoideo
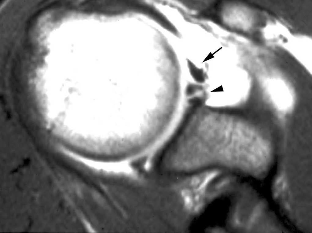
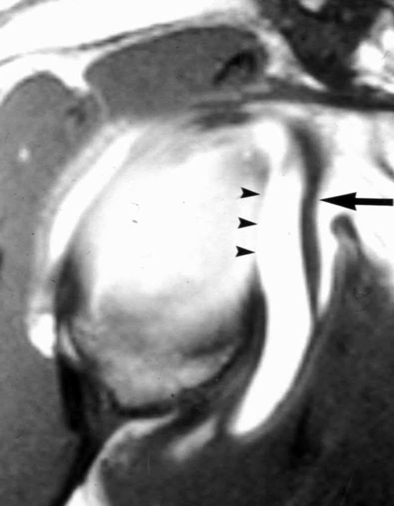
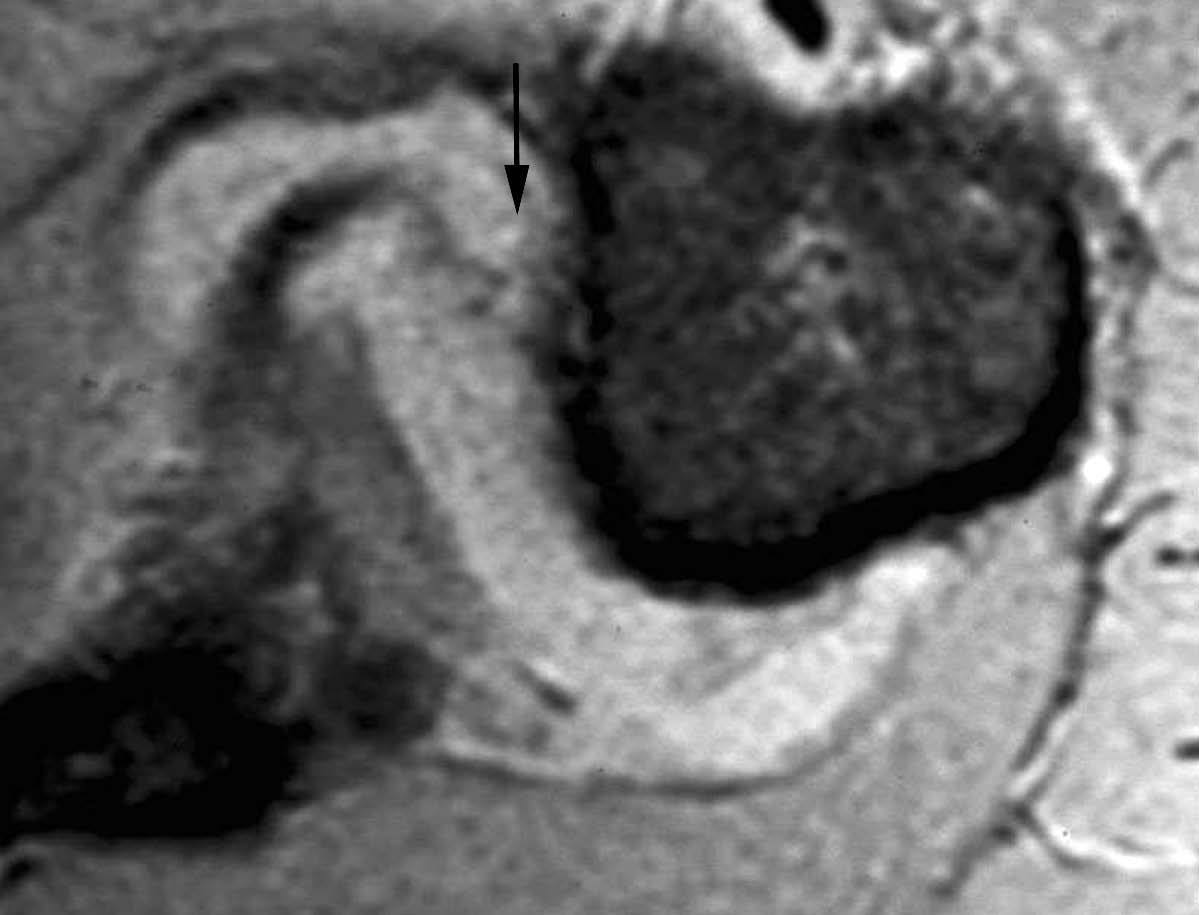
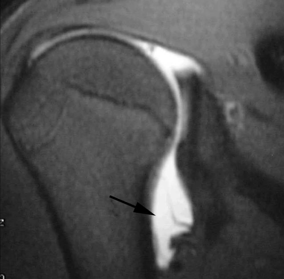
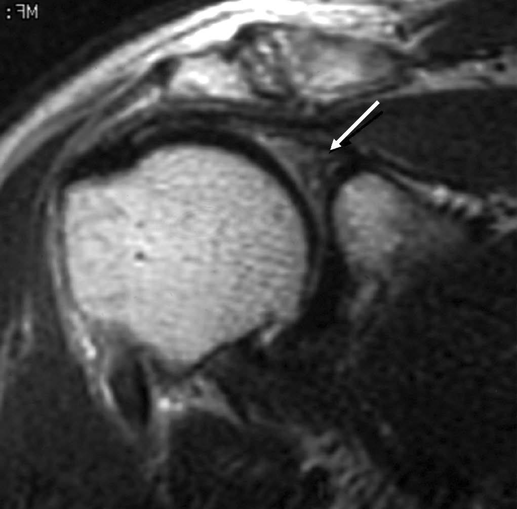
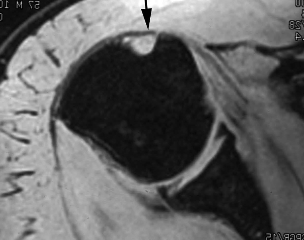
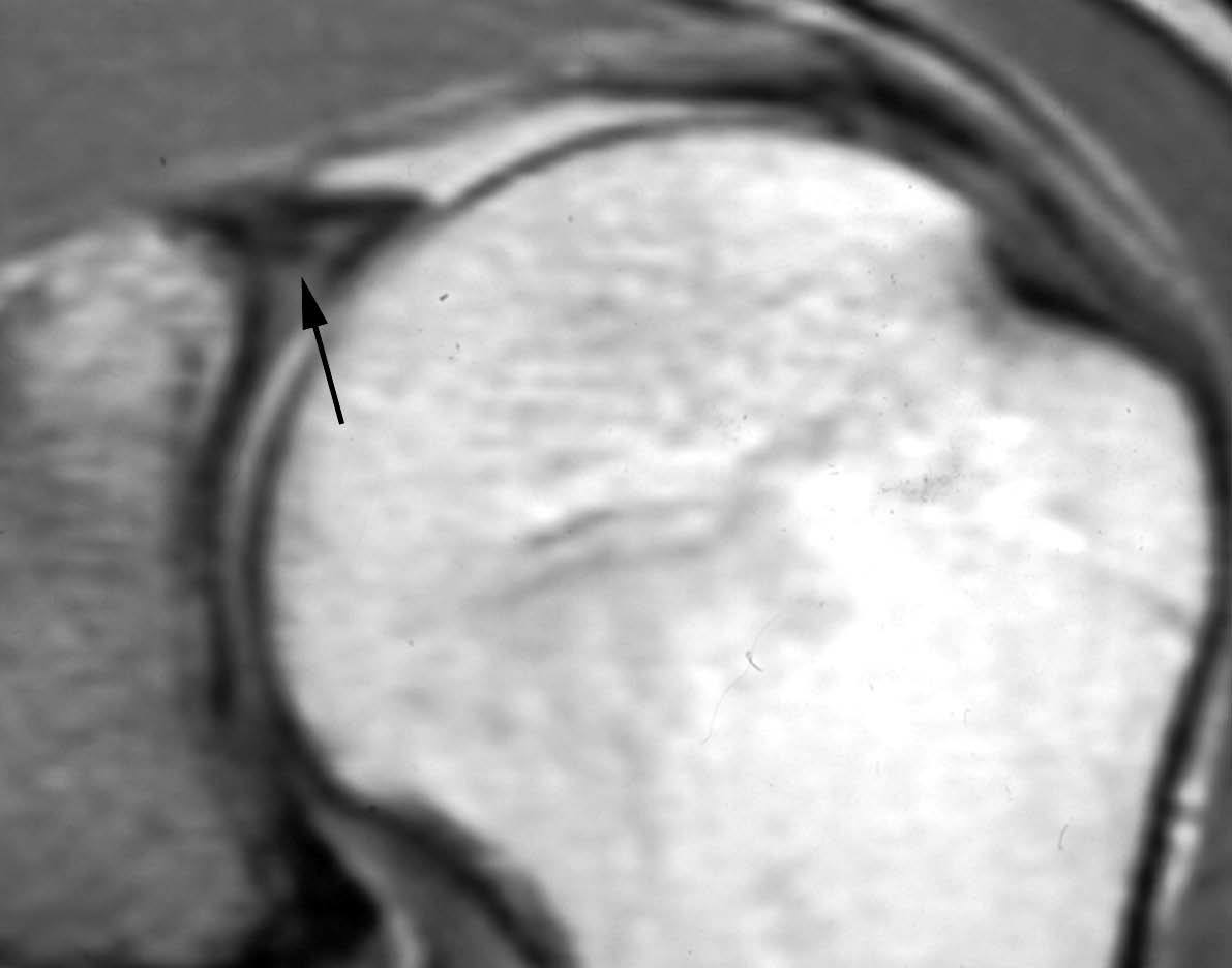
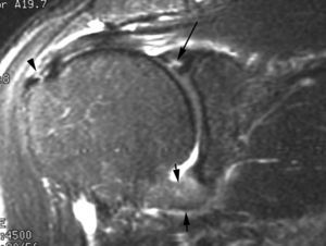
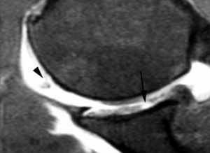
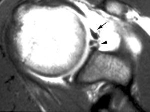
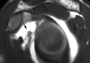
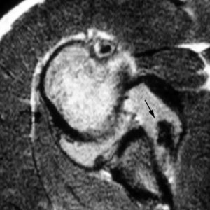
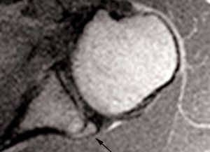
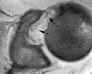
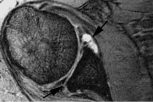
En la mayoría de los casos, el LG está firmemente adherido al margen de la glenoides. Eventualmente, existe una falta de adherencia del LG en el margen anterosuperior de la glenoides, produciéndose en la RM una falsa imagen de rotura6 (fig. 1). El espacio que se produce debido a esta falta de adherencia se llama el «foramen sublabial». Una segunda causa de error diagnóstico es el receso sublabial, que se halla en el borde superior del LG6. Esta variante de la normalidad puede confundirse con una rotura del labio superior (lesión de SLAP) (fig. 2). En términos generales, el receso sublabial se extiende hacia la dirección de la cabeza del paciente, mientras que la lesión de SLAP se extiende hacia el hombro del paciente. En algunas ocasiones, el receso sublabial se asocia a un engrosamiento del LG superior (labio meniscoide).
Fig. 1.--Foramen sublabial. Artrorresonancia T1 axial (A) y sagital oblicua (B) muestran el foramen sublabial (cabeza de flecha en A y flecha corta en B). Esta variante de la normalidad se encuentra entre la una y las tres, considerando la cavidad glenoidea como la esfera del reloj. Nótese el ligamento glomerohumeral medio (LGHM) (flecha larga en A) y el labio glenoideo (flecha larga en B).
Fig. 2.--Receso sublabial. Artrorresonancia T1 coronal oblicua que muestra un receso profundo sublabial. Nótese la orientación de esta variante hacia la cabeza del paciente (flecha).
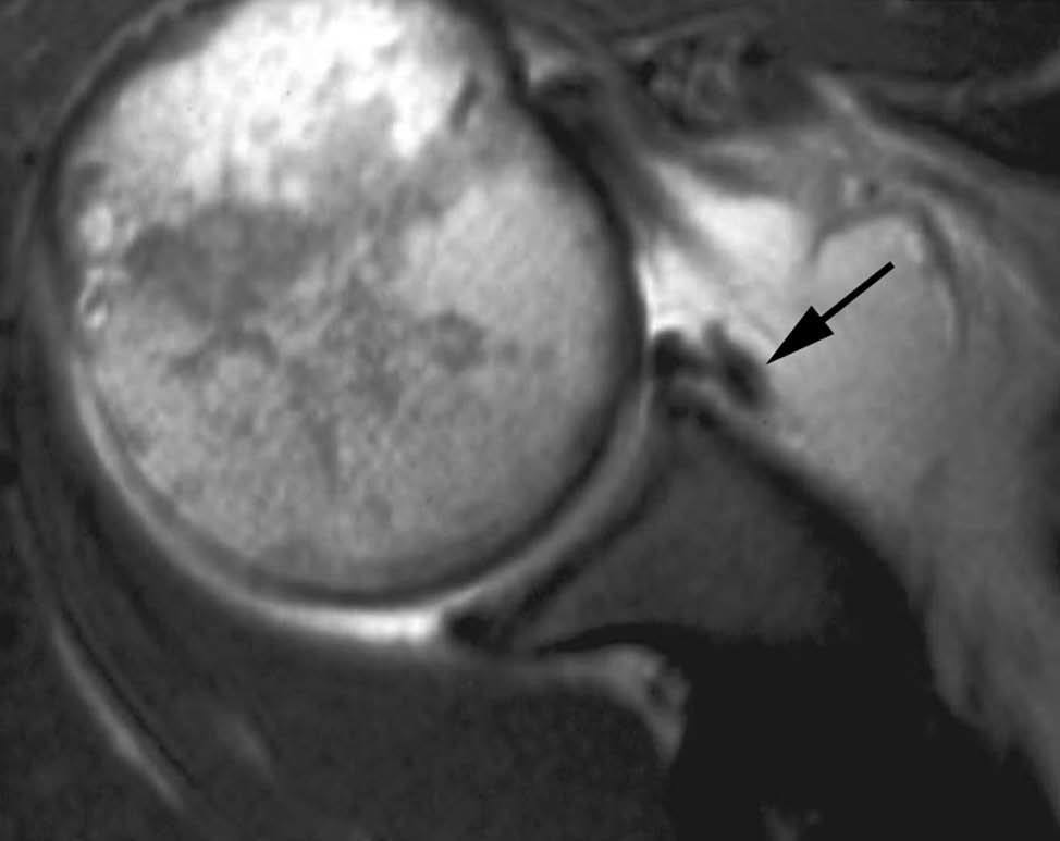
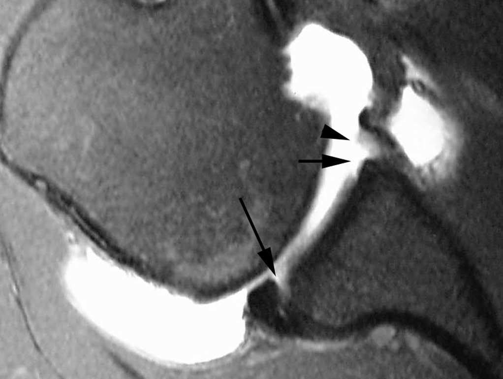
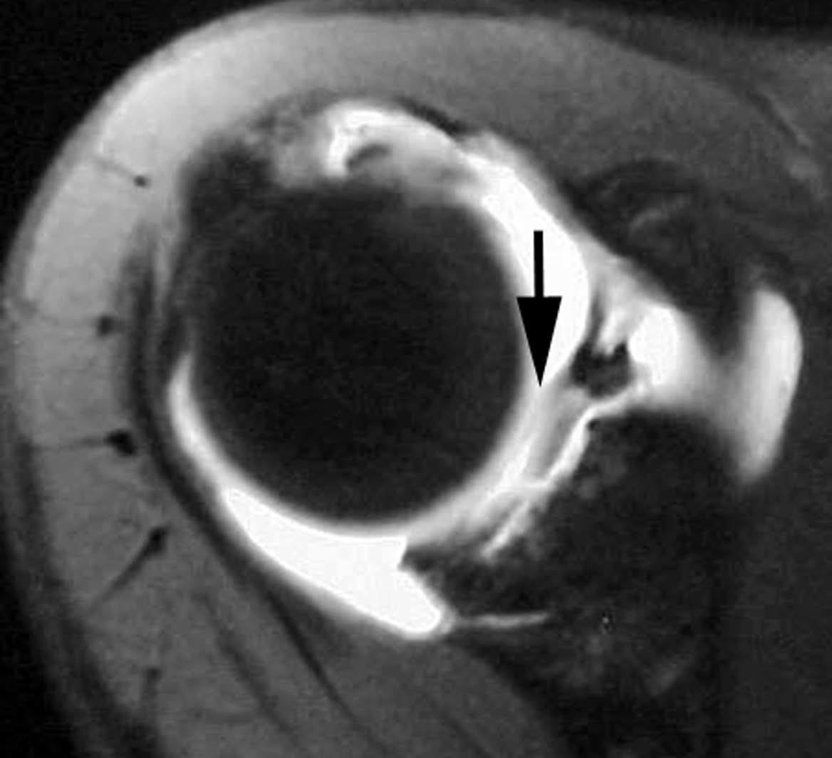
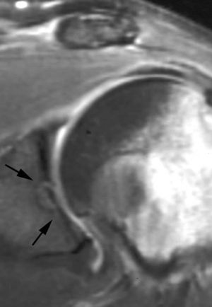
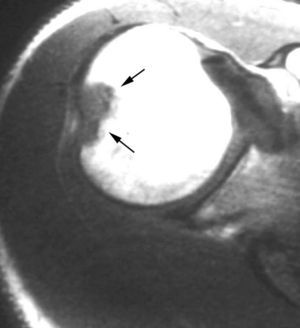
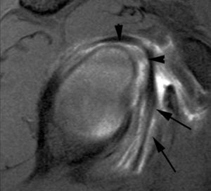
Ocasionalmente, el LG anterosuperior puede estar ausente, en cuyo caso se puede asociar a otras dos variantes: un ligamento glenohumeral medio (LGHM) engrosado (complejo de Buford) (fig. 3) o bien a una inserción alta de la banda anterior del ligamento glenohumeral inferior (LGHI).
Fig. 3.--Complejo de Buford. Artrorresonancia T1 axial (A) y sagital oblicua (B) donde se observa una ausencia del labio glenoideo anterosuperior (flecha larga en A y cabezas de flecha en B) y un ligamento glenohumeral medio (LGHM) engrosado (flecha corta en A y B).
Ligamentos glenohumerales
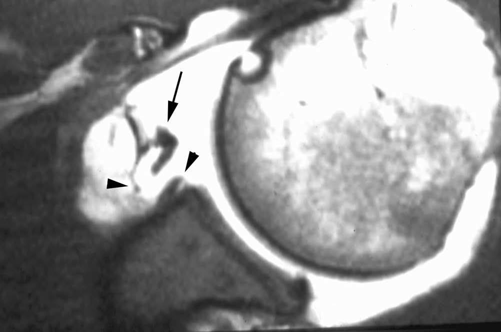
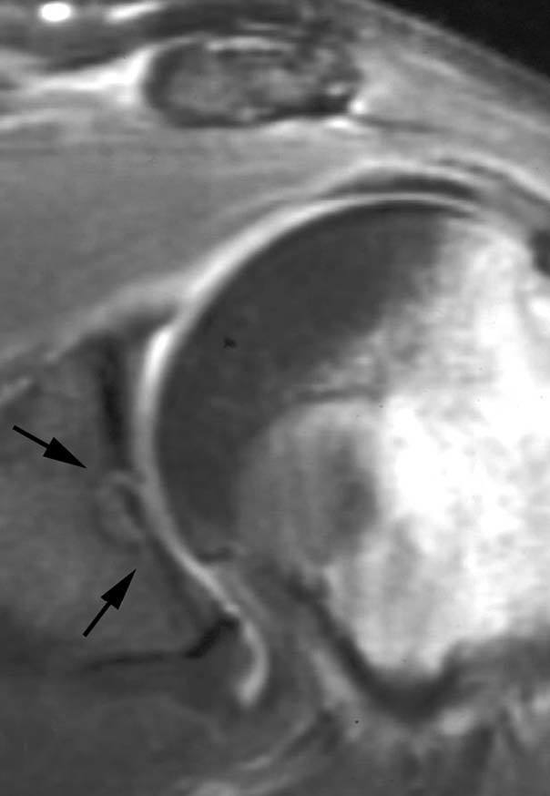
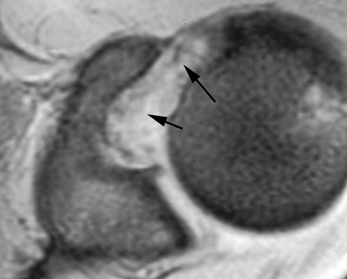
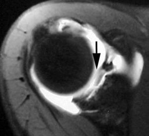
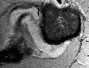
El LGHM es el que tiene más variantes de la normalidad7, como por ejemplo, estar ausente, estar engrosado (complejo de Buford), ser un ligamento doble, tener su origen junto con el ligamento glenohumeral superior (LGHS) o bien con el origen del tendón largo del bíceps (TLB). En ocasiones el LGHM puede estar más elongado de lo normal y puede verse proyectado medialmente en relación con el borde de la glenoides (fig. 4).
Fig. 4.--Ligamento glenohumeral medio (LGHM) alongado. Artrorresonancia T1 axial (A) y sagital oblicua (B) donde se observa un LGHM alongado, proyectándose medialmente con respecto al labio glenoideo (flechas en A y B).
El LGHS es el más constante y su única variedad descrita es el origen común con el LGHM o el tendón del bíceps. Su ausencia es rara.
El LGHI, formado con la banda anterior, posterior y el receso axilar, es también relativamente constante, aunque la banda posterior tiende a ser poco definida y en muchas ocasiones no se visualiza. La banda anterior, en ocasiones, puede tener un origen alto, cerca del origen del LGHM. En estos casos el LG anterosuperior puede ser atrófico o ausente.
Cápsula articular
Tradicionalmente se han descrito tres tipos de inserción anterior glenoidea de la cápsula articular: tipo I: en el borde glenoideo, tipo II: aproximadamente a unos pocos centímetros medialmente del borde glenoideo y tipo III: en el cuello de la glenoides. El último tipo de inserción, en el cuello de la glenoides parece estar en relación con cierto grado de inestabilidad glenohumeral, aunque esta teoría es aún debatida.
BIOMECÁNICA BÁSICA DEL HOMBRO
La estabilidad funcional de la articulación glenohumeral puede definirse como la persistencia del alineamiento del centro de la cabeza humeral con la fosa glenoidea durante el movimiento del hombro. Esta estabilidad se consigue a través de una sincronización precisa de los mecanismos estáticos o pasivos y los dinámicos o activos, dependiendo del uso o no de energía muscular. Los mecanismos estáticos incluyen la presión negativa capsular; la adherencia y cohesión de las superficies articulares; el tamaño, forma y orientación de la fosa glenoidea; y el complejo capsulolabial. Los mecanismos dinámicos incluyen el manguito de los rotadores (MR) y el TLB.
La acción de lanzamiento pone una sobrecarga importante en el complejo capsulolabial y en el MR8-10. Incluso las pequeñas lesiones de estas estructuras pueden producir síntomas y alteraciones funcionales significativas. A consecuencia de una lesión de las partes blandas se puede desarrollar una laxitud articular, conduciendo a un incremento progresivo del daño articular y a una gradual inestabilidad. Hoy en día, se entiende que este tipo de lesiones, en el atleta lanzador, no son la consecuencia de un episodio aislado de dislocación, sino que son el resultado de microtraumatismos de repetición, produciéndose un aumento paulatino del dolor de hombro.
Con el brazo en abducción a 90 grados, el hombro puede realizar una rotación externa, a partir de la horizontal, de aproximadamente 100 a 120 grados, y una rotación interna de aproximadamente 100 a 120 grados, dependiendo del entrenamiento. Durante este movimiento la cabeza humeral tiene su punto de rotación en el centro de la cavidad glenoidea y el trocánter describe un arco centrado en este punto (fig. 5).
Fig. 5.--Esquema de la cavidad glenoidea y la cápsula donde se puede observar el centro de rotación normal de la cabeza humeral con el brazo en abducción (punto negro) y el arco de rotación del trocánter (flecha curva).
Los ligamentos glenohumerales superior, medio e inferior refuerzan la parte anterior de la articulación. El LG es una estructura fibrosa que rodea el borde de la cavidad glenoidea e incrementa la profundidad de la misma, y por lo tanto la estabilidad de la articulación. Asimismo, ayuda a prevenir las fuerzas de traslación, especialmente en la parte inferior de la articulación, donde el labio se halla más firmemente adherido al borde glenoideo, a la cápsula articular y al periostio. De todas formas la función más importante del LG es la de servir de punto de inserción de los ligamentos glenohumerales y del TLB.
Los ligamentos glenohumerales son engrosamientos capsulares que contribuyen en diferentes grados a la estabilidad glenohumeral, dependiendo de la posición del brazo. En un experimento clásico O'Connell et al11 midieron en cadáveres la tensión de los ligamentos glenohumerales, después de la aplicación de una fuerza de rotación externa controlada. Estos autores concluyeron que con el brazo a 90 grados de abducción, el LGHM y el LGHI eran los que estaban a más tensión, mientras que con el brazo a 45 grados de abducción la máxima tensión se desarrollaba en el LGHM y en cierto grado en el LGHS.
El LGHS y el ligamento coracohumeral (LCH) limitan la traslación inferior del hombro en abducción y la traslación posterior del hombro en flexión, aducción y rotación interna. El LGHM limita la traslación anterior de la cabeza humeral, con el brazo en abducción entre 60 y 90 grados. El complejo del LGHI impide el aumento de traslación de la cabeza humeral en la glenoides. Con el brazo en abducción dicho complejo se sitúa debajo de la cabeza humeral y se pone en tensión. Durante la rotación interna el mismo se mueve posteriormente y limita la traslación posterior, mientras que en rotación externa el complejo se sitúa anteriormente y limita la traslación anterior.
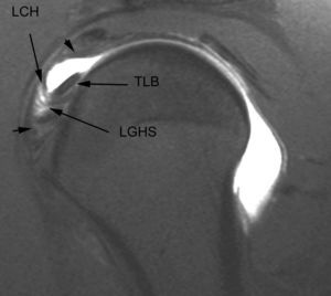
El TLB, LCH y el ligamento coracoacromial (LCA) son también estructuras importantes que contribuyen en diferentes formas a la biomecánica normal del hombro. El LCH ha recibido cierta atención en la literatura reciente y, hoy en día, es considerado una estructura importante junto con el LGHS en la estabilidad del TLB, las lesiones de pinzamiento anterosuperior y en las lesiones del intervalo del MR. La relación anatómica entre estas estructuras (TLB, LCH y el LGHS) es compleja. El punto de origen de cada una de estas estructuras es diferente, pero las tres confluyen en una zona situada, aproximadamente, en el borde superior del troquiter (fig. 6). El TLB se inserta en el borde superior del LG y en el tubérculo bicipital. El LCH se origina en la base de la coracoides y se inserta en el borde superior del troquier por encima y por delante del TLB. El LGHS se origina en el borde superoanterior del LG y se inserta en el borde superior del troquiter, por debajo del TLB.
Fig. 6.--Anatomía del ligamento coracohumeral (LCH), tendón largo del bíceps (TLB) y ligamento glenohumeral superior (LGHS) (polea reflectora). En un corte medial (1) el LCH se halla por encima del TLB y el LGHS por delante. En un corte intermedio (2) el LGHS se halla por delante del TLB. En un corte más lateral (3) el LGHS se encuentra por debajo del TLB.
Los músculos del MR, junto con el TLB, producen una compresión dinámica de la cabeza humeral contra la fosa glenoidea, centrando la cabeza humeral y oponiéndose a las fuerzas de traslación oblicuas que se generan durante el mecanismo de lanzamiento.
La coordinación escapulotorácica es otro factor significativo que contribuye a la estabilidad glenohumeral durante el mecanismo de lanzamiento. Dicha coordinación se consigue, principalmente, a través de la sincronización de los músculos latisimus dorsi, el pectoral mayor y el serrato anterior. Existe un índice de 2:1 de contribución de la articulación glenohumeral y escapulotorácica en el movimiento del hombro en abducción. El fallo de esta coordinación escapulotorácica puede añadir un estrés adicional al complejo capsulolabial, incrementando así la posibilidad de lesiones de partes blandas12.
A fin de entender la patofisiología de la inestabilidad glenohumeral en el atleta lanzador, es importante conocer el movimiento normal de la articulación durante la acción de lanzamiento13. Con pequeñas diferencias, el lanzamiento por encima de la cabeza es muy similar en diferentes deportes, incluyendo el tenis, voleibol y béisbol14,15. Hay seis fases del movimiento en el lanzamiento por encima de la cabeza (fig. 7): preparación, primera elevación, segunda elevación, aceleración, deceleración y seguimiento. Durante la fase de preparación, hay una mínima sobrecarga y actividad muscular del hombro; al final de esta primera fase, el hombro se halla en una rotación interna mínima y una abducción discreta (fig. 7, posiciones 1 y 2). Durante la fase de primera elevación, el hombro se eleva a 90 grados de abducción y 15 grados de aducción horizontal (el codo se encuentra en posición posterior al plano coronal del torso) (fig. 7, posición 3); durante esta fase hay una activación precoz del músculo deltoides y una activación tardía de los músculos del MR, con la excepción del subescapular. Durante la segunda elevación, el hombro termina en una máxima rotación externa de 170 a 180 grados, manteniendo una abducción de 90 a 100 grados. La abducción de 15 grados cambia a 15 grados de aducción horizontal (fig. 7, posición 4); la escápula se retrae para facilitar esta posición y provee una base estable para la cabeza del húmero. La combinación de abducción y rotación externa fuerzan una traslación posterior y superior de la cabeza humeral en la cavidad glenoidea. Cuanto más forzada es la rotación externa, más superior y posterior es la traslación de la cabeza humeral (fig. 8). En términos de béisbol, el conseguir una máxima rotación externa, forzando la cabeza humeral en sentido posterior y superior, se conoce como «encontrar la zona». La actividad del deltoides disminuye, mientras que la actividad del MR alcanza su punto máximo. Durante la parte final de esta fase, los músculos subescapular, latisimus dorsi, pectoral mayor y serrato anterior aumentan su actividad. Durante la fase de deceleración, una vez se ha lanzado la pelota, la energía que no se ha transferido a la pelota se disipa. Esta fase comienza con un cese de la rotación humeral a cero grados; la abducción se mantiene a 100 grados y la aducción aumenta a 35 grados. Todos los músculos se contraen violentamente con contracción excéntrica, permitiendo una deceleración del brazo. Durante esta fase, la sobrecarga articular es muy alta posterior e inferiormente, y las fuerzas de compresión son igualmente importante a través de la contracción del bíceps. Durante la última fase de seguimiento, el cuerpo se desplaza hacia delante junto con el brazo, hasta que el movimiento cesa. La rotación disminuye a 30 grados, la aducción horizontal aumenta a 60 grados y la abducción se mantiene a 100 grados, mientras disminuyen las fuerzas de sobrecarga (fig. 7, posición 6).
Fig. 7.--Posiciones durante el movimiento de lanzamiento por encima de la cabeza. Posiciones 1 y 2 preparación; posición 3, primera elevación; posición 4, segunda elevación; posición 5, aceleración y posición 6, deceleración y seguimiento.
Fig. 8.--El centro de rotación (punto negro) y el arco de rotación del trocánter (flecha curva) se trasladan hacia atrás y hacia arriba durante la hiper rotación externa del hombro con el brazo en abducción a 90 grados.
LESIONES ASOCIADAS A LA INESTABILIDAD GLENOHUMERAL
Se ha descrito una variedad de lesiones que afectan al LG, cápsula, ligamentos glenohumerales, TLB y MR. En términos generales, las patologías que afectan al tercio superior de la articulación son relativamente estables, y las que afectan a los dos tercios inferiores son inestables. Sin embargo, existen lesiones que se originan en la parte superior de la articulación y se extienden a la parte inferior, pudiendo llegar a producir también cierto grado de inestabilidad. Algunas de las lesiones que se discuten a continuación no se encuentran asociadas a una inestabilidad glenohumeral, sin embargo se incluyen en este artículo debido a que muchas de estas están interrelacionadas y en algunos casos la inestabilidad no es obvia clínicamente (microinestabilidad).
A muchas de las entidades patológicas que se nombran a continuación se las conoce en inglés por siglas. A fin de mantener una uniformidad en la nomenclatura, en este artículo se mantiene la denominación en inglés.
Lesión de Bankart
La lesión de Bankart se produce durante una dislocación anterior e inferior de la cabeza humeral, con impactación de la misma contra el borde anteroinferior de la glenoides, causando un arrancamiento del LG con rotura capsuloperióstica. Al mismo tiempo, se produce frecuentemente una fractura por impactación de la cabeza humeral (lesión de Hill Sachs) (fig. 9). En ocasiones, dicha lesión se acompaña de una fractura del borde anterior e inferior de la glenoides (Bankart óseo).
Fig. 9.--Lesión de Bankard y Hill-Sachs. Artrorresonancia axial T1, donde se observa un desprendimiento completo del labio glenoideo (flecha larga en A) con una rotura capsuloperióstica (cabezas de flecha en A). Nótese la fractura por compresión del margen posterosuperior de la cabeza humeral, representando una lesión de Hill-Sachs (flechas en B).
El nervio axilar puede dañarse por el desplazamiento anterior e inferior de la cabeza humeral, ocasionándose una denervación del músculo teres menor. Visser et al16 han descrito una incidencia del 43% de lesión del nervio axilar en pacientes con historia de inestabilidad glenohumeral.
Lesión de Perthes
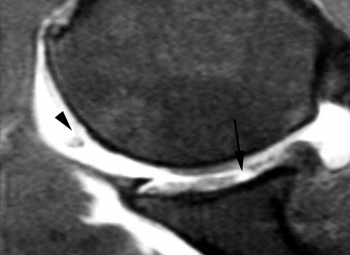
La lesión de Perthes es similar a la de Bankart, con la excepción de que no existe rotura capsuloperióstica, aunque el periostio puede estar separado del borde anterior del margen glenoideo (fig. 10). Esta lesión puede ser difícil de visualizar, incluso con artrorresonancia, a menos que se obtengan imágenes con la posición de abducción y rotación externa (ABER). En un estudio de 10 casos, verificados quirúrgicamente, Wisher et al17 comprobaron que el 50% de las lesiones de Perthes sólo podían visualizarse en la posición de ABER.
Fig. 10.--Lesión de Perthes. Artrorresonancia T1 con saturación grasa en posición ABER (abducción y rotación externa), donde se observa un arrancamiento parcial del labio glenoideo (flecha) con conservación de la unión capsuloperióstica.
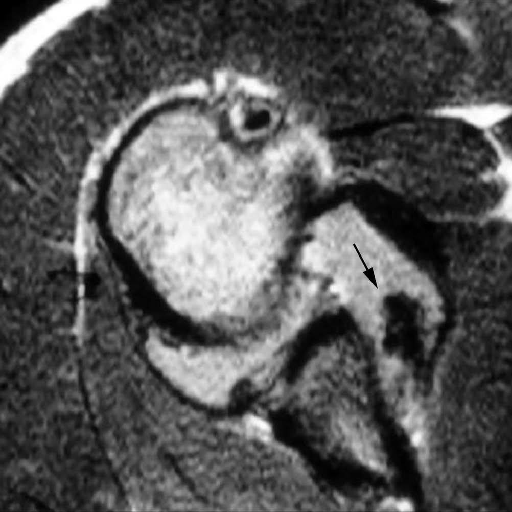
ALIPSA (anterior ligamentous periosteal sleeve avulsion)
En esta lesión, la cápsula y el periostio se encuentran separados de su inserción glenoidea, pero el LG mantiene su posición normal. Este tipo de patología también se visualiza mejor con la posición ABER (fig. 11).
Fig. 11.--Lesión ALIPSA (anterior ligamentous periosteal slleeve avulsion). Atrorresonancia T1 en ABER (abducción y rotación externa) donde se observa un arrancamiento de la cápsula a nivel del labio glenoideo. El labio glenoideo se mantiene adherido al reborde de la glenoides, sin embargo la cápsula se halla desinsectada (flecha).
ALPSA (anterior labroliamentous periosteal avulsion)
Al igual que en el apartado anterior, existe también una separación de LG junto con la cápsula y el periostio, pero a diferencia de las lesiones de Bankart o Perthes, el LG se desplaza hacia dentro, por detrás del borde de la glenoides18 (fig. 12). La lesión de ALPSA puede cicatrizar por sinovialización (fig. 12), pero continúa siendo de carácter inestable.
Fig. 12.--ALPSA (anterior labroliamentous periosteal avulsion) agudo (A) y crónico (B). Nótese la separación del labio glenoideo y su desplazamiento posterior y medial por detrás del reborde glenoideo (flecha en A). En una fase crónica el labio glenoideo no se distingue como una estructura separada, sino como un engrosamiento de la unión entre el labio, la cápsula y el periostio (flecha en B).
Rotura simple del labio glenoideo posterior
Esta lesión se produce a consecuencia de una dislocación posterior y puede acompañarse de una fractura por impactación de la parte anterior de la cabeza humeral (Hill Sachs invertido) (fig. 13).
Fig. 13.--Rotura del labio glenoideo posterior. Artrorresonancia axial T1 con supresión grasa que revela una rotura del labio glenoideo posterior (flecha).
POLPSA (posterior labral periosteal sleeve avulsion)
Esta lesión se asemeja a la ALPSA, pero ocurre en el borde glenoideo posterior. El LG se halla desplazado hacia dentro y por detrás del borde glenoideo posterior. El mecanismo de producción del POLPSA es una dislocación posterior, y por tanto se puede encontrar también un Hill Sachs invertido19 (fig. 14).
. Artrorresonancia axial T1 con supresión grasa donde se observa una rotura del labio glenoideo posterior con desplazamiento posteromedial (flecha). Nótese la situación del labio glenoideo en comparación con una rotura sencilla, no desplazada, que se observa en la figura 13. Obsérvese la presencia de una lesión de Hill-Sachs invertida (cabezas de flecha), en relación con una dislocación posterior con reducción.Lesión de Bennett
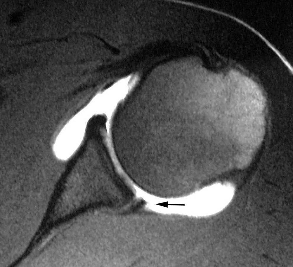
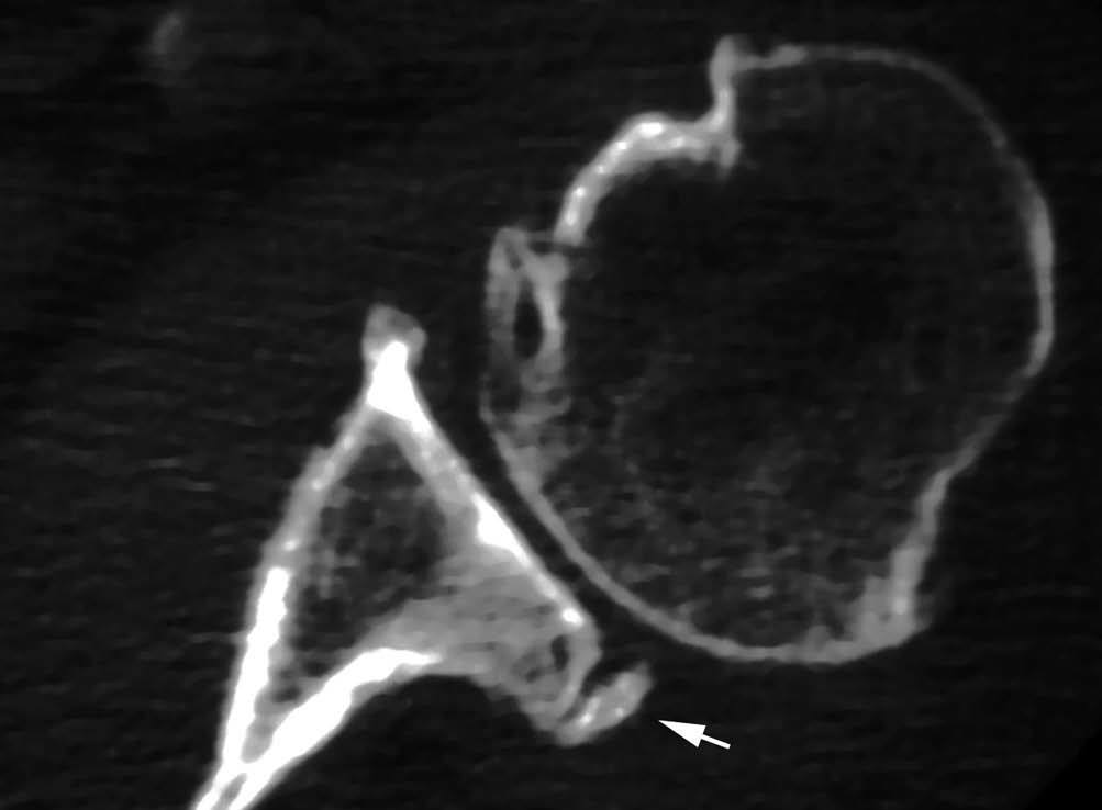
Esta lesión se produce a consecuencia de una tracción repetitiva de la unión cápsulo-perióstica posterior, produciéndose una osificación semejante a un espolón óseo (fig. 15).
Fig. 15.--Lesión de Bennett. Tomografía axial computarizada (TAC) axial (A) y resonancia magnética (RM) T1 axial (B) que revelan la presencia de un «espolón» óseo adyacente al borde glenoideo posterior (flechas en A y B). Nótese la ausencia de una lesión del labio glenoideo posterior en B.
GLAD (gleno labral articular disruption)
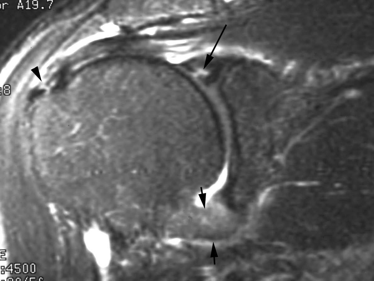
El GLAD puede acompañar a cualquiera de las patologías que se discuten en este artículo, afectando al LG. Se trata de una disrupción de un fragmento de cartílago articular junto a la lesión del LG20 (fig. 16).
Fig. 16.--Lesión de GLAD (gleno labral articular disruption). Artrorresonancia axial T1 con supresión grasa donde se puede observar una rotura del labio glenoideo anterior y posterior (flecha). El labio glenoideo anterior está más desplazado. Se ve un fragmento de cartílago articular separado de su posición normal en la cavidad glenoidea y adherido al labio glenoideo anterior (cabezas de flecha).
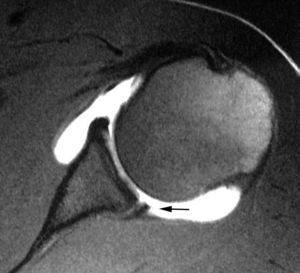
OCD (osteocondritis disecante)
La OCD es una fractura osteocondral común a muchas articulaciones, causada por fuerzas horizontales al plano articular. A diferencia de la lesión de GLAD, la OCD implica un fragmento óseo y de cartílago articular y generalmente se encuentra en el centro de la cavidad glenoidea, mientras que la lesión de GLAD ocurre en el borde de la misma (fig. 17).
Fig. 17.--OCD (osteocondritis disecante). Artrorresonancia indirecta coronal oblicua T1 con supresión grasa que revela una fractura osteocondral con el fragmento in situ (flechas). Nótese la presencia de contusión ósea del húmero debido a una fractura del trocánter.
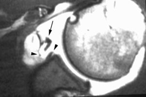
GARD (glenoid articular rim divot)
El GARD es una fractura condral, sin el componente óseo de la OCD. A semejanza de la OCD, la lesión de GARD se encuentra aproximadamente en el centro de la cavidad glenoidea. El fragmento de cartílago puede hallarse como un cuerpo libre intraarticular (fig. 18).
Fig. 18.--Lesión de GARD (glenoid articular rim divot). Artrorresonancia T1 con supresión grasa en ABER (abducción y rotación externa). Se observa una fractura condral en el centro de la cavidad glenoidea (flecha) con el fragmento desplazado hacia la parte anterior del espacio capsular (cabeza de flecha). Nótese la presencia de una lesión de Perthes con desprendimiento parcial del labio glenoideo anterior.
Lesiones de la banda anterior del ligamento glenohumeral inferior
La banda anterior del LGHI puede lesionarse en su inserción en el borde glenoideo anterior (lesión de Bankart descrita anteriormente), en su inserción humeral o bien en ambas. La lesión en la inserción humeral recibe el acrónimo de HAGL (humeral avulsion of the glenohumeral ligament)21 (fig. 19). Si se acompaña de una avulsión ósea en la inserción humeral, la lesión se conoce con las siglas de BAGHL (bony avulsion glenohumeral ligament). Si la lesión afecta a ambos puntos de inserción, se la conoce por el nombre de floating AIGHL. Esta última es una combinación de una lesión de Bankart y una lesión de HAGL22-26.
Fig. 19.--Lesión de HAGL (humeral avulsión of the glenomumeral ligament). Imagen axial T2 donde se puede apreciar un desprendimiento de la banda anterior del ligamento glenohumeral inferior (LGHI) a nivel de su inserción humeral (flecha).
Lesión de la banda posterior del ligamento glenohumeral inferior, posterior HAGL (humeral avulsión of the posterior band of the IGHL)
Esta lesión, descrita recientemente, es rara y su diagnóstico se hace con cortes posteriores en el plano coronal con la artrorresonancia27 (fig. 20).
Fig. 20.--Lesión de PHAGL (posterior humeral avulsion of the glenohumeral ligament). Artrorresonancia coronal oblicua T1 con supresión grasa donde se observa una rotura capsular posterior con escape de contraste (flecha) debido a una rotura de la banda posterior del ligamento glenohumeral inferior (LGHI).
Lesiones del ligamento glenohumeral medio
Se han descrito dos tipos de lesiones del LGHM: las roturas completas proximales, en la inserción en el LG (fig. 21) y las roturas parciales longitudinales, generalmente asociadas a lesión de SLAP tipo VII7.
Fig. 21.--Rotura completa del ligamento glenohumeral medio (LGHM). Artrorresonancia coronal oblicua T1 (A) y sagital oblicua (B) que muestra una rotura completa con retracción del LGHM (flecha en A y B).
Lesiones de SLAP (superior labrum anterior posterior)
La descripción original de las lesiones de SLAP se debe a Snyder28, el cual en 1990 describió cuatro tipos de lesión de SLAP. En la actualidad se han descrito hasta nueve tipos1.
Estas lesiones pueden ser producidas por varios mecanismos: por compresión, en una caída sobre el brazo extendido o bien por tracción súbita o repetitiva en el caso de las actividades atléticas con lanzamiento por encima de la cabeza. Los síntomas clínicos incluyen: chasquido y limitación de la amplitud del movimiento.
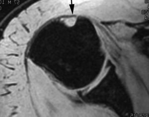
SLAP I: en esta lesión se encuentra una zona de fibrilación e irregularidad de la unión entre el TLB y el LG superior (fig. 22).
Fig. 22.--SLAP (superior labrum anterior posterior) tipo I. Dibujo esquemático (A) y artrorresonancia coronal oblicua T1 con supresión grasa (B) que ilustran una irregularidad y una rotura parcial del labio glenoideo superior a nivel del origen del tendón largo del bíceps (TLB) (flechas en B).
SLAP II: la rotura del LG superior se extiende anteriormente (tipo II-a), posteriormente (tipo II-b) o bien en ambas direcciones (tipo II-c) (fig. 23).
Fig. 23.--SLAP (superior labrum anterior posterior) tipo II. Dibujo esquemático (A) y artrorresonancia coronal oblicua T1 con supresión grasa (B) que ilustran una rotura parcial del labio glenoideo superior (flecha en B). Nótese la configuración del labio glenoideo superior en «cabeza de flecha» con contraste, penetrando dentro de la rotura y apuntando hacia el hombro del enfermo.
SLAP III: en este tipo existe un desprendimiento del LG superior hacia la cabeza articular, semejante a una rotura en asa de cubo en el menisco de la rodilla (fig. 24).
Fig. 24.--SLAP (superior labrum anterior posterior) tipo III. Dibujo esquemático (A) y artrorresonancia coronal oblicua T1 con supresión grasa (B) que ilustran una rotura parcial del labio glenoideo superior con desplazamiento inferior de un fragmento de labio glenoideo (flecha en B), semejante a una rotura en asa de cubo del menisco.
SLAP IV: es semejante pero con una extensión de la lesión hacia el TLB (fig. 25).
Fig. 25.--SLAP (superior labrum anterior posterior) tipo IV. Dibujo esquemático (A) y resonancia magnética (RM) coronal oblicua T2 (B) y axial GRE (gradient echo) (C que ilustran una rotura del labio glenoideo superior (flecha en B) y una rotura del tendón largo del bíceps (TLB) (flecha en C).
SLAP V: semejante al tipo II, pero con una extensión de la lesión hasta el borde anteroinferior del LG (fig. 26).
Fig. 26.--SLAP (superior labrum anterior posterior) tipo V. Dibujo esquemático (A) y resonancia magnética (RM) coronal oblicua T2 (B) y T2 sagital oblicua (C) que ilustran una rotura del labio glenoideo superior (flecha en B) con extensión de la misma hasta el margen anteroinferior del borde glenoideo (flechas en C).
SLAP VI: en este tipo de lesión un fragmento del LG unido sólo en un extremo, se encuentra desplazado hacia la articulación (fig. 27).
Fig. 27.--SLAP (superior labrum anterior posterior) tipo VI. Dibujo esquemático (A) y artrorresonancia axial T1 con supresión grasa (B) que ilustran una rotura del labio glenoideo superior (flecha en B) con un desprendimiento parcial anterior (flecha en B).
SLAP VII: la rotura del LG superior se extiende hasta el LGHM (fig. 28).
Fig. 28.--SLAP (superior labrum anterior posterior) tipo VII. Dibujo esquemático (A) y artrorresonancia sagital oblicua T1 con supresión grasa (B) que ilustran una rotura del labio glenoideo superior (cabezas de flecha en B) con extensión hacia el ligamento glenohumeral medio (LGHM) (flechas en B), produciendo una rotura longitudinal del mismo.
SLAP VIII: La rotura del LG tiene una extensión posteroinferior (fig. 29).
Fig. 29.--SLAP (superior labrum anterior posterior) tipo VIII. Dibujo esquemático (A) y artrorresonancia sagital oblicua T1 con supresión grasa (B) que ilustran una rotura del labio glenoideo superior con extensión hacia el borde posteroinferior glenoideo (flechas en B).
SLAP IX: La rotura abarca circunferencialmente el LG (fig. 30).
Fig. 30.--SLAP (superior labrum anterior posterior) tipo IX. Dibujo esquemático (A), resonancia magnética coronal oblícua DP (densidad protónica) (B) y axial GRE (C) que ilustran una rotura del labio glenoideo extendiéndose de una forma circunferencial abarcando todo el labio glenoideo (flechas en B y C)
LESIONES DEL LABIO GLENOIDEO ASOCIADAS A LESIONES DEL MANGUITO DE LOS ROTADORES Y DE LA CÁPSULA
Se han descrito tres tipos de lesiones capsuloligamentosas y del MR, en las cuales uno de los componentes es una lesión del LG. Algunas de estas lesiones no se acompañan de inestabilidad glenohumeral, sin embargo su inclusión en este artículo se considera importante, debido a la interrelación entre los mecanismos traumáticos y las lesiones originadas.
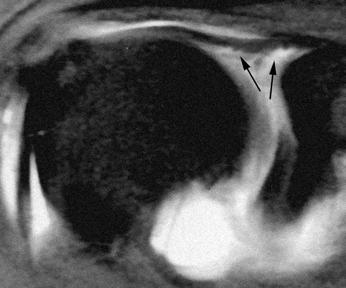
Lesiones del intervalo del manguito de los rotadores
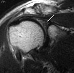
El intervalo del MR es el espacio más o menos triangular localizado entre el borde anterior del tendón del supraespinoso y el borde superior del tendón subescapular. Este espacio anatómico está cubierto por la cápsula articular y contiene las siguientes estructuras (fig. 31): el LGHS, el LCH, el TLB y el borde anterosuperior del borde glenoideo. Los puntos de origen e inserción de estas estructuras se han descrito anteriormente, sin embargo es de notar que la relación entre el TLB y los LGHS y LCH, cambia a medida que estas tres estructuras se extienden desde sus puntos de origen hasta la zona proximal de la corredera bicipital (fig. 6). A nivel medial, aproximadamente a la altura de la articulación glenohumeral, el LCH se encuentra por encima del TLB y el LGHS se encuentra por delante de ambos. A nivel del troquiter el LGHS se coloca por delante y por debajo del TLB. A nivel de la parte proximal de la corredera bicipital, el LGHS se halla por debajo del TLB, mientras que el LCH permanece por encima del TLB. Esta distribución anatómica provee una estabilidad del TLB durante el movimiento del hombro (polea reflectora).
Fig. 31.--Intervalo de los rotadores. Artrorresonancia sagital oblicua T1 con supresión grasa, que revela el espacio entre el borde anterior del músculo supraescapular y el borde superior del músculo supraespinoso (cabezas de flecha). Dentro del espacio se encuentra, además de la cápsula, el tendón largo del bíceps (TLB), el ligamento coracohumeral (LCH) y el ligamento glenohumeral superior (LGHS).
Las lesiones del intervalo del MR pueden afectar a cualquiera de las estructuras contenidas dentro de este espacio anatómico y, en general, son producidas por un traumatismo agudo con desplazamiento de la cabeza humeral hacia delante y arriba. Así mismo, el borde superior del tendón subescapular se halla frecuentemente afectado (fig. 32).
Fig. 32.--Rotura del intervalo de los rotadores. Artrorresonancia T1 con supresión grasa axial (A), coronal oblicua (B) y sagital oblicua, donde se observa una rotura del tendón del subescapular (flecha en a, cabeza de flechas en B y C), una rotura del ligamento coracohumeral (LCH) (flecha corta en B y corta en C) y escape de contraste anterior (flecha larga en C).
Lesiones por pinzamiento anterosuperior (anterosuperior impingement syndrome)
El síndrome de pinzamiento anterosuperior se produce durante el movimiento repetitivo de elevación anterior del brazo con rotación interna. En este síndrome se pueden producir lesiones de la polea reflectora (LGHS, TLB y LCH) así como del LG superior y de los tendones del supraespinoso y subescapular (fig. 33). Habermeyer et al29 han descrito cuatro tipos de lesiones por pinzamiento anterosuperior dependiendo de las diferentes estructuras afectadas.
Fig. 33.--Síndrome de pinzamiento anterosuperior (ASI). Resonancia magnética (RM) axial GRE (A) y coronal oblicua DP (densidad protónica) (B) que revela una rotura del ligamento glenohumeral superior (LGHS) (flechas en A) y una lesión SLAP (superior labrum anterior posterior) tipo II (flecha en B).
En general, este tipo de lesiones son semejantes a las lesiones que afectan al intervalo MR, con la diferencia de que las primeras son por lesión repetitiva y crónica, mientras que las segundas son por traumatismo agudo.
Lesiones por pinzamiento posterosuperior (posterosuperior impingement syndrome) < del LG superior con extensión posterior (SLAP tipo II-b), roturas parciales o completas del tendón del supraespinoso y pequeñas fracturas por compresión del margen posterosuperior del trocánter. Estas lesiones se producen típicamente en el atleta lanzador.
La etiología y el mecanismo de producción de estas lesiones han sido ampliamente debatidos. Jobe et al en 198930 consideraron que estas lesiones eran debidas a una laxitud de la cápsula anterior que producía una migración anterior de la cabeza humeral durante la abducción y rotación externa. En 1991, Walsh et al31, siguiendo la teoría de Jobe et al30, describieron el síndrome de pinzamiento interno o posterosuperior relacionado con una laxitud capsuloligamentosa anterior. En 1998, Burkhart et al describieron una alta incidencia de SLAP II-b en el atleta lanzador32. Estos mismos autores llegaron a la conclusión en el año 200333 de que las lesiones descritas anteriormente son producidas por una cascada de eventos originados por una fibrosis y engrosamiento de la cápsula posteroinferior y de la banda posterior del LGHI. Según estos autores, el atleta lanzador, después de múltiples movimientos de abducción y rotación externa, consigue un desplazamiento del punto de rotación y del arco de traslación del trocánter desde el centro de la cavidad glenoidea hacia arriba y hacia atrás «la zona» tal como se describe anteriormente (microinestabilidad). Todo ello conduce a un engrosamiento de la cápsula posterior que evoluciona a una restricción de la rotación interna (fig. 34). A esta restricción se la considera el punto de origen de la cadena de lesiones que conducen a lo que se llama el «brazo muerto» (the dead arm) que representa el final de una carrera profesional deportiva. La restricción de la rotación interna se la conoce bajo las siglas de GIRD (glenohumeral internal rotation deficit). Sin embargo, no queda claro si la traslación posterosuperior del centro de rotación en el atleta sucede antes o después de la formación de cicatriz y engrosamiento capsular posterior.
Fig. 34.--GIRD (glenohumeral internal rotation deficit). Ilustración esquemática donde se observa un engrosamiento capsular posterior incluyendo la banda posterior del ligamento glenohumeral inferior (LGHI).
Cuando el deportista consigue crear, a través del entrenamiento, este desplazamiento posterosuperior del centro de traslación o bien tiene lugar a través del engrosamiento de la cápsula posteroinferior, el hombro llega a conseguir una rotación externa de más de 150 grados en abducción a 90 grados. En este momento se llega a un punto crítico, en el cual la tensión que se produce a nivel de la inserción del TLB, en el borde superior del LG, conduce a un «arrancamiento» del mismo, con extensión de la lesión hacia la parte posterior (SLAP II-b); a este mecanismo se le conoce como peel back (fig. 35).
Fig. 35.--Mecanismo de peel back en GIRD (glenohumeral internal rotation deficit). Ilustración esquemática donde se aprecia un engrosamiento capsular posterior incluyendo la banda posterior del ligamento glenohumeral inferior (LGHI) con el hombro en ABER (abducción y rotación externa). En esta posición se ejerce una fuerza de torque en el tendón largo del bíceps (TLB) que conduce a un «arrancamiento» del labio glenoideo superior.
Una vez que se ha producido la lesión SLAP II-b, la continuación de las fuerzas de extrema rotación externa conducen a una torsión repetitiva del tendón supraespinoso, que lleva a una rotura parcial o completa del mismo (fig. 36).
Fig. 36.--GIRD (glenohumeral internal rotation deficit). Resonancia magnética (RM) coronal oblicua T2 con supresión de grasa donde se aprecia una lesión de SLAP (superior labrum anterior posterior) (flecha larga), una rotura parcial del supraespinoso (cabeza de flecha) y un engrosamiento capsular inferior (flechas cortas).
Finalmente, otro mecanismo de microinestabilidad descrito es el producido por la tracción hacia delante y abajo del TLB, producido durante la fase de deceleración. Este mecanismo puede llegar también a la producción de una lesión de SLAP con extensión anterior (SLAP II-a) (fig. 37).
Fig. 37.--Mecanismo de tracción en GIRD (glenohumeral internal rotation deficit). Ilustración esquemática que muestra un engrosamiento capsular posterior, incluyendo la banda posterior del ligamento glenohumeral inferior (LGHI) con el hombro en la posición 6. En esta posición se ejerce una fuerza de tracción en el tendón largo del bíceps (TLB) que conduce a un «arrancamiento» del labio glenoideo superior.
En conclusión, en este artículo se han descrito una serie de lesiones que afectan al complejo capsuloligamentoso, al LG, TLB, LCH y MR, que pueden conducir a través de diferentes mecanismos, tanto agudos como de repetición, a una inestabilidad glenohumeral. Aunque los hallazgos individuales de las lesiones, mediante la RM, son relativamente fáciles de visualizar, es necesario un conocimiento de la biomecánica y patología funcional de la articulación, para llegar a una orientación prequirúrgica apropiada.































































