INTRODUCCIÓN
El bazo errante es una entidad clínica inusual, con una incidencia inferior al 0,5% de todas las esplenectomías realizadas. Su existencia se debe a anomalías congénitas en la fijación esplénica intraabdominal o laxitud adquirida de su soporte ligamentario. Su presencia es más frecuente en mujeres de entre 20-40 años. Puede ser asintomático o acompañarse de cuadros de dolor agudo o crónico1.
Presentamos el caso de una paciente diagnosticada de masa pelviana correspondiente a un bazo errante, que presentaba una tumoración intraparenquimatosa correspondiente a pseudotumor inflamatorio.
CASO CLÍNICO
Mujer de 65 años sin antecedentes de interés, remitida a ginecología por su traumatólogo tras detectar en una revisión radiológica rutinaria por coxalgia calcificaciones en la pelvis menor presumiblemente de origen ginecológico (fig. 1).
Fig. 1.--Radiografía simple de abdomen. Ocupación de la región pelviana por una masa que presenta calcificaciones groseras (flechas).
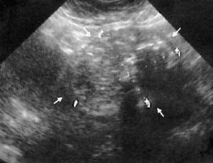
En el estudio ecográfico realizado por su ginecólogo se observa una masa pelviana de gran tamaño, con múltiples focos hiperecogénicos con sombra posterior sugestiva de mioma uterino probablemente calcificado (fig. 2).
Fig. 2.--Ecografía pelviana. Masa heterogénea de gran tamaño (flechas) con áreas hiperecogénicas con sombra posterior, sugestivas de calcificaciones.
Se realizó una resonancia magnética (RM) de pelvis en otro centro de referencia. La exploración realizada mediante planos axial sagital y coronal en secuencias spin eco T1 y T2 sin y con gadolinio muestra que dicha masa pelviana presenta una porción sólida de tejido blando en su polo superior, con captación homogénea de contraste, siendo irregular y con calcificaciones groseras en sus dos tercios inferiores. El útero y los anejos presentaban una morfología normal, sin relación con la masa descrita. Se diagnosticó como masa pelviana de origen no filiado (fig. 3).
Fig 3.--Resonancia Magnética. Planos sagitales. A: secuencia spin eco T1. Masa hipointensa con polo superior homogéneo en forma de «pico» con abombamiento y heterogeneidad en los dos tercios inferiores, donde se aprecian áreas con ausencia de señal correspondientes a calcio (flechas). B: secuencia spin eco T2. Polo superior homogéneo con moderada intensidad. Heterogeneidad de los dos tercios inferiores con áreas hiperintensas. C: secuencia spin eco T1 con gadolinio intravenoso que muestra un leve realce homogéneo del polo superior y de áreas parcheadas de los dos tercios inferiores.
Fig. 4.--Tomografía axial computarizada abdominal con contraste intravenoso. A: corte axial con contraste intravenoso en hemiabdomen superior. No se detecta el bazo en su habitual situación, ascenso del riñón izdo. (flecha). B: reconstrucción MVPR sagital de masa pelviana compuesta de un polo superior homogéno y heterogeneidad de los dos tercios inferiores con morfología redondeada, heterogéneo y con calcificaciones en su interior. Se aprecia un pedículo vascular que penetra en el tercio medio de dicha «masa» (flecha).
Se precisó la colaboración al servicio de cirugía que solicitó tomografía axial computarizada (TAC) abdómino-pelviana a fin de completar el examen prequirúrgico. En este estudio llama la atención, en cortes axiales, la ausencia del bazo en su habitual situación (no existiendo antecedentes de esplenectomía), con medialización de la cola pancreática. La arteria y vena esplénicas mostraban una elongación, discurriendo en dirección caudal hasta el tercio medio de la masa pelviana, en donde se introducen y subdividen conformando un hilio vascular, lo que indica que la masa pelviana en cuestión corresponde al bazo en localización ectópica (fig. 4a). La reconstrucción multiplanar, coronal y sagital demuestra que el bazo ectópico presenta una masa de morfología redondeada y bien definida, con calcificaciones groseras, en sus dos tercios inferiores (fig. 4b). Esta tumoración esplénica se etiquetó inicialmente como lesión benigna, planteándose la posibilidad de que se tratara de un quiste epidermoide, tumor éste que con frecuencia calcifica. Otros tumores, como los hemangiomas, aunque excepcionalmente también pueden calcificar, no se consideraron como primera opción.
La cirugía confirma la localización ectópica del bazo, con elongación de su pedículo vascular, y con una masa que ocupaba los dos tercios inferiores.
En el examen anatomopatológico (fig. 5) se observa que la masa esplénica, de 11cm x 8 cm, está bien delimitada, es de consistencia firme y elástica y está compuesta, en su mayor parte, por tejido fibro-hialino, calcificaciones y focos de hemorragia reciente, compatible con tumor miofibroblástico inflamatorio con extensa hialinización y calcificación (pseudotumor inflamatorio fibroso calcificante).
Fig. 5.--Pieza anatómica. La pieza corresponde a un bazo con abollonamiento en sus dos tercios inferiores, que presenta áreas rojizas del mismo color que el parénquima esplénico, correspondientes a hemorragia (*), y amplias áreas blanquecinas de aspecto irregular, correspondientes a tejido fibrohialino (flecha), y abundantes calcificaciones.
DISCUSIÓN
El bazo habitualmente se sitúa en el cuadrante superior-externo del abdomen. Sus soportes ligamentarios son los ligamentos gastroesplénico, frenocólico, esplenorrenal, espleno-cólico, esplenofrénico, pancreático-esplénico y pancreático-cólico, resultado de condensaciones embriológicas que tienen lugar en el peritoneo. Estos ligamentos son anormalmente laxos o elongados en los pacientes con bazo errante, permitiendo a este órgano la migración a la pelvis o el abdomen inferior1. El esbozo embrionario está presente en la quinta semana de vida intrauterina, desarrollado como una proliferación mesodérmica entre dos hojas del mesogastrio dorsal. Si hay una fusión incompleta del mesogastrio dorsal, el bazo puede mantenerse con un largo pedículo y permanecer en una localización ectópica intra-abdominal. Un pedículo esplénico se encuentra casi siempre en los casos de bazo errante. Se ha descrito la malformación o ausencia de los ligamentos gastro-esplénico o espleno-renal2.
La incidencia de bazo errante en la población es desconocida y difícil de determinar. Es más frecuente en niños menores de 10 años, suponiendo un tercio de todos los casos, con una distribución entre sexos similar. En los adultos existe un claro predominio en mujeres, principalmente entre 20 y 40 años, siendo la incidencia 15 veces superior que en el hombre3,4. Se ha sugerido como origen, dado el claro predominio en mujeres, la laxitud de origen hormonal de la pared abdominal inducida por el embarazo5.
El bazo errante puede ser de tamaño normal, aunque habitualmente presenta un aumento de tamaño. La esplenomegalia es a veces secundaria a torsión o compresión del pedículo con la consiguiente congestión. La progresiva esplenomegalia debida a cualquier causa puede conducir a un aumento de la movilidad esplénica. No obstante, la esplenomegalia generalmente no parece ser un factor predisponente a la existencia de bazo errante6. Se han descrito también bazos errantes de aspecto multilobulado e incluso de tamaño algo inferior7.
La presentación clínica puede ser aguda, crónica o su detección puede ser casual en pacientes asintomáticos6. Puede simular diversos procesos anexiales (quiste ovárico torsionado, absceso tubo-ovárico, etc.), colecistitis aguda, apendicitis, obstrucción intestinal, diverticulitis, etc. Los síntomas pueden ser consecuencia de factores mecánicos que provocan retención urinaria, estreñimiento, o alteraciones de la función como trombocitopenia o hiperesplenismo. Por otro lado, la torsión esplénica, aguda o crónica, con infarto, puede ser causa de abdomen agudo6. Pueden asociarse cuadros de pancreatitis aguda debido a la incorporación de la cola pancreática en el pedículo vascular esplénico8.
El diagnóstico clínico es difícil, y los datos de laboratorio son inespecíficos, aunque la leucocitosis está generalmente presente. Por ello, su diagnóstico se basa fundamentalmente en técnicas de diagnóstico por la imagen tales como ecografía, gammagrafía, TAC, RM o arteriografía, siendo la ecografía y la TAC los métodos más habituales y precisos3.
La radiografía convencional es poco sensible para el diagnóstico del bazo errante aunque en ocasiones puede mostrar asas intestinales distendidas y desplazadas que sugieren la existencia de masa abdominal.
El método más seguro y menos invasivo es la ecografía. El bazo errante se presenta con masa de ecoestructura homogénea. La ausencia de bazo en el cuadrante superior izquierdo, en ausencia de esplenectomía, hace sospechar que dicha masa corresponda al bazo en localización ectópica. Mediante técnica doppler y doppler color se puede demostrar, entonces, el pedículo vascular esplénico, lo que confirmaría el diagnóstico. Además se puede observar si existe disminución o ausencia del flujo sanguíneo en dicho pedículo, lo que sugiere torsión. No obstante, la existencia de excesivo gas intestinal puede dificultar el estudio ecográfico9.
La gammagrafía con tecnecio 99Tcm-sulfuro coloidal puede demostrar el desplazamiento esplénico, así como su estado funcional. Cr51 con marcadores de células rojas es más específico y evita la confusión con el lóbulo derecho hepático. En caso de isquemia o torsión el bazo puede no captar, siendo entonces los hallazgos inespecíficos, pudiendo ser producido por otras causas tales como asplenia, depósito de torotrast, sarcoma de células reticulares, situs inversus o enfermedad de células falciformes.
La TAC y RM son las técnicas de elección para su diagnóstico, delimitando el bazo y su relación con otras estructuras anatómicas tales como la cola pancreática, así como la ausencia de aquél en el cuadrante superior izquierdo. Se pueden determinar signos de torsión de pedículo esplénico: la apariencia de arremolinamiento de dicho pedículo es el signo más específico, con ausencia de realce cuando existe una completa ausencia de flujo sanguíneo; en ocasiones, se puede apreciar ascitis y signos de necrosis pancreática. Si la torsión es crónica el bazo se recubre de una gruesa pseucápsula10-12.
El diagnóstico, no obstante, puede ser difícil antes de la cirugía; así en una revisión de 237 casos, sólo el 27% de ellos fue diagnosticado en el preoperatorio6.
El manejo recomendado por la literatura para el bazo errante es variable. El significativo riesgo de sepsis postesplenectomía plantea un tratamiento conservador, principalmente en casos asintomáticos o con escasa sintomatología. En ausencia de infarto, trombosis o hiperesplenismo, en pacientes que presentan abdomen agudo, detorsión y esplenoplexia, y más recientemente esplenoplexia laparoscópica, son opciones recomendadas13.
En ocasiones, aunque de forma muy infrecuente según la bibliografía, el bazo errante se puede asociar a diversas tumoraciones tales como quistes epidermoides14, quistes simples15,16, linfangiomas quísticos17 o linfomas18-20.
No hemos encontrado, en cambio, en la bibliografía la asociación de pseudotumor inflamatorio con bazo errante, que es el caso que exponemos. Este tumor de origen desconocido considerado benigno ha sido descrito en múltiples órganos incluyendo órbita, sistema respiratorio, vejiga hígado, ganglios linfáticos y bazo. En estos últimos tres órganos, a diferencia del resto, se han identificado genomas del virus de Epstein-Barr asociados a pseudotumor inflamatorio; en nuestro caso no se identificó dicho virus en el estudio inmunohistoquímico21. El pseudotumor inflamatorio habitualmente está compuesto, en proporciones variables, por un infiltrado de células inflamatorias polimorfas que incluyen linfocitos (fundamentalmente T), células plasmáticas e histiocitos22. Aunque técnicas de imagen como la ecografía, la TAC y la RM ayudan al diagnóstico diferencial, las características del pseudotumor inflamatorio mediante estas técnicas son inespecíficas, por lo que el diagnóstico prequirúrgico es difícil23.
AGRADECIMIENTOS
A la Unidad de Anatomía Patológica por las imágenes prestadas de la pieza anatómica.












