Introducción
La piomiositis es una infección bacteriana primaria de los músculos estriados. Este síndrome fue descrito por primera vez por Scriba1 como una enfermedad endémica de los trópicos, por ello se conoce también como piomiositis tropical, aunque en las últimas décadas se ha visto un incremento del número de casos en EE.UU. y en los países occidentales2. Diversos factores como traumatismos, inmunodeficiencia o nutrición han sido postulados dentro de la etiología de la misma, siendo el S. aureus el germen responsable en el 90% de los casos3-5.
Múltiples técnicas de imagen se han empleado en el diagnóstico de la enfermedad. La ecografía y la tomografía computarizada (TC) son técnicas útiles para la identificación de abscesos cuando la enfermedad se encuentra en un estadio avanzado, pero la resonancia magnética (RM) permite identificar la infección en un estadio precoz, lo que favorece un mejor pronóstico. En este estudio valoramos la eficacia de las distintas técnicas de imagen, así como la utilidad de la RM en el diagnóstico precoz de esta entidad.
Material y métodos
Se analizaron retrospectivamente 11 casos de niños diagnosticados de piomiositis entre los años 2002-2006 en nuestro hospital. En cada paciente se revisaron retrospectivamente los datos clínicos, analíticos y radiológicos.
Los parámetros clínicos evaluados fueron: edad, sexo, motivo de consulta, antecedentes personales, síntomas, tiempo medio de presentación antes del diagnóstico, motivo de ingreso, estancia media hospitalaria y tratamiento. Analíticamente se valoraron los leucocitos, la velocidad de sedimentación globular (VSG) y los hemocultivos. A todos los pacientes se les realizó radiografía simple, a 8 de ellos ecografías y a 9 pruebas de Medicina Nuclear (99mTC-DPD). La RM (1,5 Teslas, Symphony, Siemens) fue realizada en todos los pacientes usando como protocolo secuencias espín eco T1,T2 y STIR. En caso de existir sospecha de abscesos musculares se completaba el estudio con la administración de gadolinio intravenoso 0,1 mmol gadolinium/kg (Magnevist®). Los datos fueron analizados mediante el programa SPSS para Windows™ versión 12.0.
Resultados
Los resultados clínicos analizados en los 11 pacientes quedan reflejados en la tabla 1. La edad media de presentación fue de 10 años (rango 3-14), con predominancia masculina. Sólo en 4 casos encontramos antecedentes personales de interés, destacando la presencia de picadura de insecto, trauma previo, ejercicio vigoroso y talasemia mayor. El motivo de consulta en 9 casos fue la presencia de fiebre; en 7 casos acuden al centro con la combinación clínica de fiebre y dolor y sólo 3 casos acuden por cojera. El tiempo medio de evolución de los síntomas antes de acudir al hospital fue de 4,5 días (rango: 2-10) con una estancia media hospitalaria de 25 días (rango: 9-45).
En relación con los datos analíticos presentados en la tabla 2 encontramos que en 8 casos los pacientes presentan leucocitosis, y el aumento de VSG aparecía en 10 pacientes. Los hemocultivos son positivos en 6 casos, 4 para S. aureus, uno para S. aureus meticilinresistente y otro para Streptococcus B hemolítico. Todos los pacientes recibieron tratamiento intravenoso con una evolución favorable, siendo necesario sólo en uno de ellos el abordaje quirúrgico.
La tabla 3 muestra los hallazgos radiológicos. La radiología simple realizada a todos los pacientes resultó inespecífica; de los 8 casos a los que se realizó ecografía articular sólo dos fueron positivas, encontrando hallazgos inespecíficos (aumento de tejido celular subcutáneo y derrame articular). La gammagrafía ósea vascular realizada a 9 pacientes mostró focos de captación en 4 de ellos. La RM identificó la musculatura afectada, la presencia de abscesos y la afectación ósea subyacente. Las secuencias STIR en RM mostraron la musculatura afectada como zonas de hiperseñal (fig. 1). En secuencias espín eco la musculatura afectada presentaba un aumento de tamaño, con una disminución difusa de la señal en secuencias potenciadas en T1 y un aumento de señal en secuencias T2. En estadios precoces no existían colecciones focales de líquido, y tras la administración de contraste endovenoso existía realce heterogéneo.
Fig. 1. Secuencia STIR que muestra la hiperseñal del músculo psoas ilíaco y mínimo derrame articular en la articulación sacro-ilíaca derecha.
Discusión
La piomiositis es una entidad clínica cuya incidencia ha aumentado progresivamente en las últimas décadas. Esta entidad se caracteriza por la infección primitiva de los músculos estriados. Múltiples factores predisponentes se relacionan con la enfermedad: el trauma directo aparece relacionado con la piomiositis en diferentes porcentajes (21-55%), dependiendo de la población estudiada (Nigeria, Singapur, Hawai o Carolina del Norte)3,4,6,7. En nuestro estudio sólo encontramos un caso relacionado con un traumatismo previo en la piscina. Otros factores como la nutrición, las infecciones virales, el ejercicio vigoroso8 y la inmunodepresión9 también están implicados en la aparición de la infección. Christin et al9 revisan 100 casos de piomiositis entre 1791-1991, y 18 de éstos se presentaban en pacientes con el virus de la inmunodeficiencia humana y sida. En nuestra serie sólo 4 pacientes presentaban factores predisponentes; estos hallazgos no coinciden con los resultados encontrados por Patel et al10, que revisan 13 pacientes diagnosticados de piomiositis con edades comprendidas entre 5-77 años, de los cuales tres presentan traumatismos previos y otros 11 enfermedades basales, pero son superponibles a la serie publicada por Gubay et al11, que revisan 16 niños con edades entre 1,2 a 14 años, y de los que sólo 4 presentan antecedentes de traumatismo previo.
En cuanto a la etiología de la piomiositis, el S.aureus es el organismo responsable en el 90% de los casos3-5, apareciendo la infección por Streptococus en un segundo lugar. En todos los estudios revisados existe una clara predominancia masculina, hallazgos que coinciden con nuestra serie4,10-12.
La evolución natural de la enfermedad ha sido dividida por varios autores en tres fases, desde inflamación difusa hasta supuración focal4,13,14:
1. Fase inicial o fase invasiva: durante la cual el organismo entra en la musculatura y se caracteriza por la presencia de dolor, con o sin fiebre y anorexia. Este estado dura aproximadamente 10-21 días.
2. Segunda fase o fase purulenta: durante la cual la mayoría de los pacientes han desarrollado un absceso en la musculatura. La fiebre y las adenopatías suelen acompañar este estado.
3. Tercera fase o última: infección generalizada. El paciente presenta fiebre elevada y sepsis generalizada.
Por ello, el diagnóstico de la enfermedad en una fase inicial es fundamental para evitar un abordaje quirúrgico y asegurar una evolución favorable sólo con tratamiento antibioterápico.
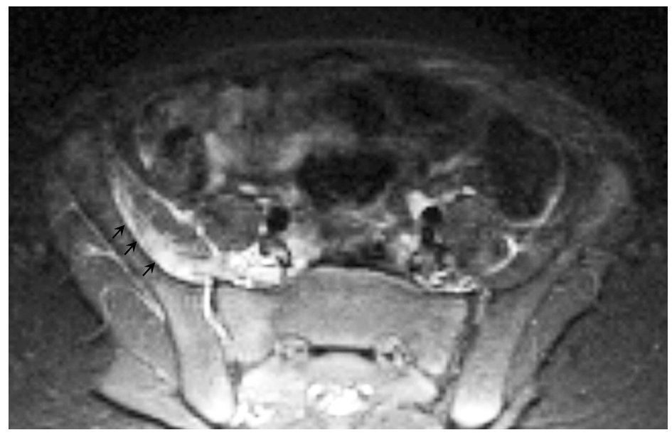
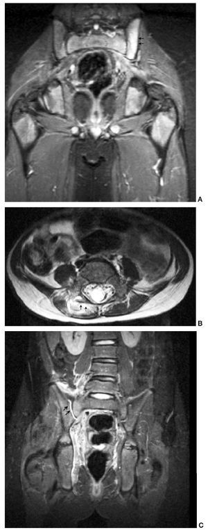
La piomiositis puede afectar a un músculo (fig. 2A) o a un grupo muscular2,4,12,15. Los músculos más comúnmente afectados son los del muslo y la región de la cadera: glúteos, aductores, obturador y psoas ilíaco (fig. 2B). La afectación preferente a este nivel hace que muchas veces el diagnóstico diferencial de la piomiositis sea extenso y se realice con artritis séptica, sinovitis transitoria, osteomielitis y/o procesos intraabdominales (apendicitis)16,17. En nuestra serie se evidencia esta predominancia, encontrando sólo tres casos de localización atípica, que afectaban a los músculos dorsal ancho, musculatura paravertebral cervical y lumbar (fig. 3).
Fig. 2. (A) Afectación de un único músculo. Resonancia magnética (RM) en secuencia coronal STIR mostrando una área de elevada señal que afecta al músculo obturador externo derecho. (B) RM en secuencia axial STIR mostrando la afectación de los diferentes grupos musculares de la pelvis, obturador interno, externo, pectíneo, psoas y glúteo menor.
Fig. 3. (A) Localización atípica de la piomiositis. La secuencia coronal STIR revela la afectación de la musculatura lumbar paraespinal derecha. (B) Localización atípica de la piomiositis. Secuencia sagital STIR que muestra la hiperseñal de la musculatura paraespinal dorsal, romboides y erectores de la columna. (C) Localización atípica de la piomiositis. Secuencia coronal STIR con hiperseñal del músculo dorsal ancho.
En relación con los datos de laboratorio los hallazgos son inespecíficos, presentándose leucocitosis y aumento de la VSG, resultados que aparecen constantemente en los estudios11,12. En nuestra muestra tres pacientes no presentaban leucocitosis, ya que dos de ellos habían sido tratados previamente con antibioterapia antes de su ingreso por sospecha de otras entidades, y el tercer caso mostraba una importante neutrofilia en un paciente leucopénico por su enfermedad (talasemia mayor).
La manifestación clínica más común de la enfermedad es la presencia de fiebre, dolor y/o cojera, aunque estos síntomas no son característicos de la misma, por lo que es común el retardo en su diagnóstico, lo que condiciona una evolución desfavorable. Por todo ello, a pesar de una buena orientación clínica, el radiólogo desempeña un rol primordial en el diagnóstico precoz.
Los estudios de imagen son fundamentales en el diagnóstico de la enfermedad. La radiografía simple no es sensible para la detección de infección en los tejidos blandos en estadios precoces. Otras técnicas de imagen como los ultrasonidos (US), TC y RM son las más frecuentemente utilizadas. En general los US pueden ser utilizados como primer método, al ser una técnica de bajo coste. Algunos autores abogan por el uso de la ecografía en el diagnóstico de la enfermedad, como Royston y Cremin18, pero los US difícilmente aportan datos definitivos en el estadio precoz de la enfermedad. En la serie presentada por Trusen et al19 se revisan 12 casos de piomiositis y el papel de la ecografía en esta entidad, concluyendo que la ecografía es el método de elección cuando la afectación es en extremidades inferiores, con peores resultados para evaluar la afectación de la musculatura pélvica, que es la localización más frecuente de esta infección. En esta serie, 5 de los pacientes ya presentaban colecciones líquidas en el control ecográfico, lo que indica un estadio avanzado de la infección.
Cuando la ecografía no es concluyente, y persiste una alta sospecha, la técnica de elección es la RM. Spiegel et al12 también demuestran la ventaja de la RM para la identificación de los músculos afectados, los abscesos y la patología subyacente, de forma similar a los hallazgos de nuestra serie (fig. 4). Otros autores como Brigid et al demuestran los hallazgos de la piomiositis en la TC como un aumento de tamaño del músculo afectado, pérdida de la nitidez de los planos musculares y presencia de colecciones hipodensas en caso de abscesos intramusculares; en su serie concluyen que tanto la TC como la RM son útiles para la identificación de los músculos afectados y de abscesos20.
Fig. 4. (A) Afectación osteoarticular. Aumento de señal en el hueso ilíaco izquierdo en secuencia coronal STIR. (B) Afectación osteoarticular. Secuencia axial FSE T2: afectación de la articulación interapofisaria con mínimo derrame articular. (C) Afectación osteoarticular. Secuencia coronal STIR: derrame en la articulación sacroilíaca derecha.
La RM contribuye al diagnóstico diferencial de la piomiositis con otras entidades como la artritis séptica, la osteomielitis, la tromboflebitis y el tumor. Asimismo, la administración de gadolinio identifica la presencia de abscesos, siendo de gran utilidad en el caso de que requieran drenaje percutáneo. Las áreas de piomiositis se manifiestan en una fase inicial como zonas heterogéneas y con elevada señal en las secuencias potenciadas en T2 y STIR. En fases tardías, los abscesos se presentan como áreas de baja señal en T1 y alta señal en T2, que realzan de manera periférica tras la administración de gadolinio (fig. 5), hallazgos que coinciden con la serie presentada por Soler et al21. Cambios en la señal del hueso se vieron en 7 de nuestros casos, mientras que una captación gammagráfica positiva sólo se apreció en 4 casos; esto indica que la RM es altamente sensible para identificar la patología ósea subyacente, aunque es difícil diferenciar si estos cambios en la señal del hueso se deben a la presencia real de osteomielitis o a edema reactivo. En estos casos el citrato de galio-67 y los leucocitos marcados con 111In o 99mTc pueden aumentar la sensibilidad y especificidad de la prueba radioisótopica22,23. El citrato de galio administrado por vía intravenosa se fija a la transferrina y se une a la lactoferrina de los leucocitos, e incluso a las propias bacterias, y se acumula en mayor cantidad en los focos inflamatorios y sépticos.
Fig. 5. (A) Fase purulenta. FSE T1 que muestra una zona de baja señal en el obturador externo derecho, sugestiva de pequeño absceso. (B) Fase purulenta; la misma imagen en secuencia STIR que muestra la hiperseñal del absceso. (C) Absceso del músculo psoasilíaco. Resonancia magnética en plano coronal FSE T1 tras la administración de gadolinio intravenoso, que muestra múltiples imágenes hipointensas con realce periférico sugestivas de abscesos.
El tratamiento de la piomiositis consiste en antibioterapia intravenosa durante 4 semanas cuando el diagnóstico se realiza en una fase temprana. El tratamiento se basa en los resultados de los hemocultivos. Si el diagnóstico se realiza de manera tardía, el drenaje quirúrgico es en la mayoría de los casos inevitable. En nuestro estudio, gracias a la rapidez diagnóstica, sólo un paciente requirió abordaje quirúrgico.
En conclusión, la piomiositis es una entidad poco frecuente, en la que el radiólogo ejerce un papel fundamental, siendo la RM la técnica de elección para el diagnóstico precoz de la misma, ya que permite descartar otras sospechas diagnósticas, identificar la musculatura afectada, mostrar la afectación ósea subyacente y localizar abscesos en el caso de que un abordaje quirúrgico fuera necesario.
Declaración de conflicto de intereses.
Declaramos no tener ningún conflicto de intereses.
Correspondencia:
SANDRA BALEATO GONZÁLEZ.
Departamento de Radiología. Complejo Hospitalario Universitario de Santiago de Compostela. C/ Choupana, s/n. 15706 Santiago de Compostela. España.
baleatorum@hotmail.com
Recibido: 5-VI-07
Aceptado: 1-X-07












