La microlitiasis pulmonar alveolar es una enfermedad infrecuente, de etiología desconocida, caracterizada por la presencia de múltiples microcalcificaciones intraalveolares y de predominio subpleural.
Presentamos un caso en el que las imágenes de tomografía computarizada de alta resolución (TCAR) muestran microcalcificaciones difusas pulmonares junto con áreas parcheadas en vidrio deslustrado asociadas a marcado engrosamiento de los septos interlobulillares, todo ello en conjunto adopta un patrón "en empedrado" (<SPAN CLASS=s5>crazy-paving pattern). Este patrón no es específico de la enfermedad, sino que previamente se ha descrito asociado a otras entidades entre las que incluyen la proteinosis alveolar, neumonía lipoidea y el carcinoma bronquiolo-alveolar16-22.
Alveolar microlithiasis is an uncommon disease of unknown etiology characterized by the presence of multiple, predominantly subpleural, intra-alveolar microcalcifications.
We present a case in which the high-resolution CT images show diffuse pulmonary microcalcifications together with patchy areas of ground glass attenuation associated to marked thickening of the interlobular septa, all of which taken together constitute the crazy paving pattern. This pattern is not specific for alveolar microlithiasis; it has also been reported in other entities, including alveolar proteinosis, lipoid pneumonia, and bronchial alveolar carcinoma.
Introducción
La microlitiasis pulmonar alveolar es una enfermedad infrecuente de etiología desconocida en la que se observa cúmulo de múltiples microcalcificaciones intraalveolares. Lo más significativo de la enfermedad es la marcada disociación clínico-radiológica. La mayoría de los casos descritos suelen ser asintomáticos, mientras que las imágenes por tomografía computarizada (TC) demuestran la presencia de áreas parcheadas en vidrio deslustrado, con calcificaciones micronodulares o nódulos de predominio subpleural.
Presentamos un caso de microlitiasis pulmonar alveolar en una mujer de 30 años de edad, en el que las imágenes por tomografía computarizada de alta resolución (TCAR) demostraban la presencia de microcalcificaciones difusas asociadas a un "patrón en empedrado". Este patrón radiológico infrecuente e inespecífico se ha descrito previamente asociado a otras entidades tales como la proteinosis alveolar, neumonía por Pneumocystis carinii, neumonia lipoidea y carcinoma bronquiolo-alveolar.
Presentación del caso
Mujer de 30 años de edad que acude a nuestro centro por cuadro de malestar general, artralgias, tos productiva y discreta disnea, no presenta fiebre, dolor pleurítico, hemoptisis ni anorexia. No tiene antecedentes médicos de interés y se desconoce su exposición a tóxicos u otro tipo de alergenos; niega la ingesta de drogas u alcohol.
En la exploración se auscultan crepitantes basales bilaterales y no se detectan adenopatías palpables. Los resultados de laboratorio fueron normales, salvo aumento inespecífico de la velocidad de sedimentación globular (VSG).
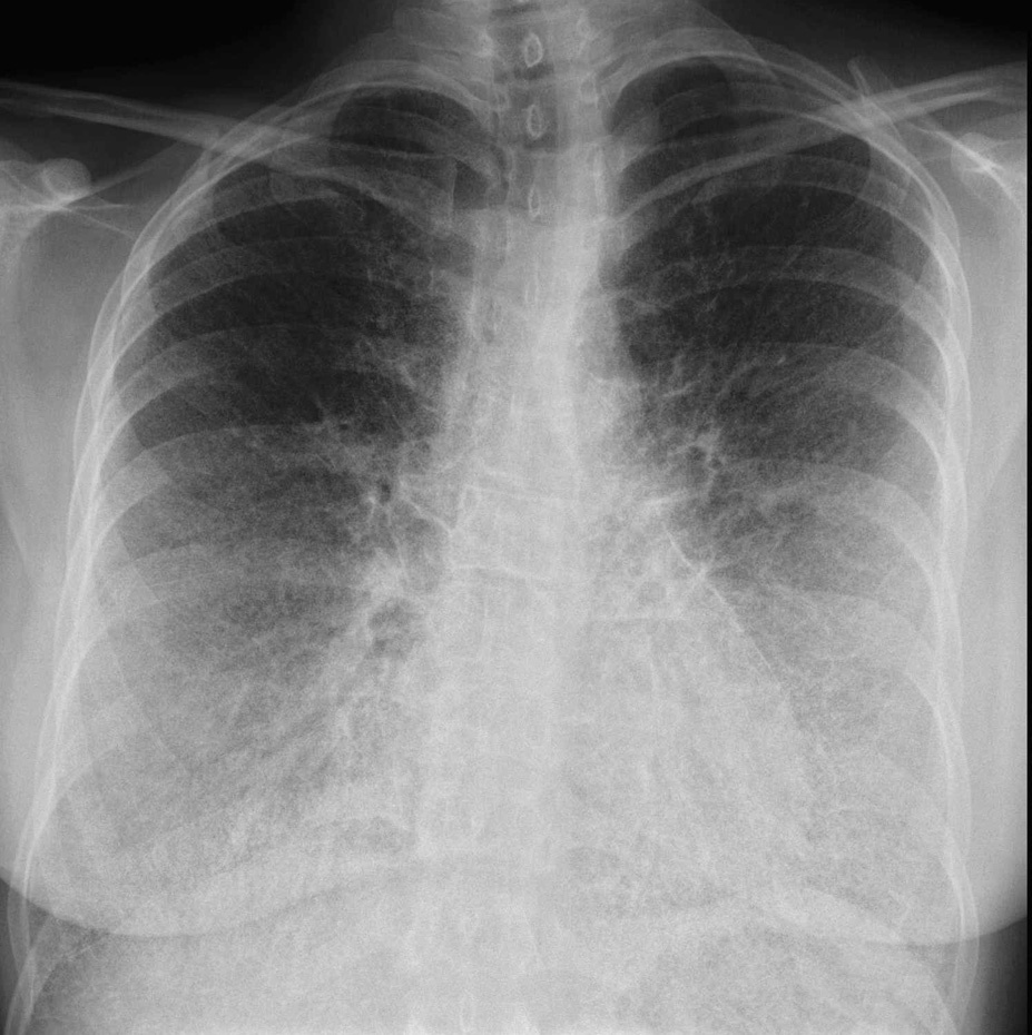
La radiografía de tórax muestra un patrón reticular bilateral mal definido con mayor afectación de bases (fig. 1), y se observa en el perfil una línea radiolucente subpleural anterior.
Fig. 1. En la radiografía de tórax anteroposterior se visualizan marcadas opacidades lineales reticulares bilaterales y difusas, con mayor afectación de bases pulmonares.
Inicialmente la paciente fue tratada como en una neumonía atípica, y unos días después estaba prácticamente asintomática. Los análisis serológicos (tuberculosis [TBC], virus de la inmunodeficiencia humana [VIH] y neumonía atípica) fueron todos negativos. Se realizó una radiografía de tórax de control que fue similar a la del ingreso, por lo que se completó el estudio mediante TC torácica con cortes de alta resolución.
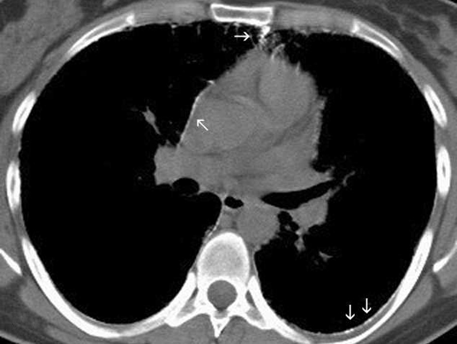
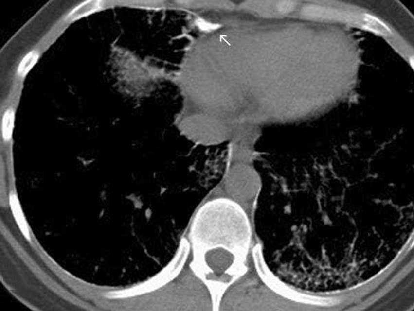
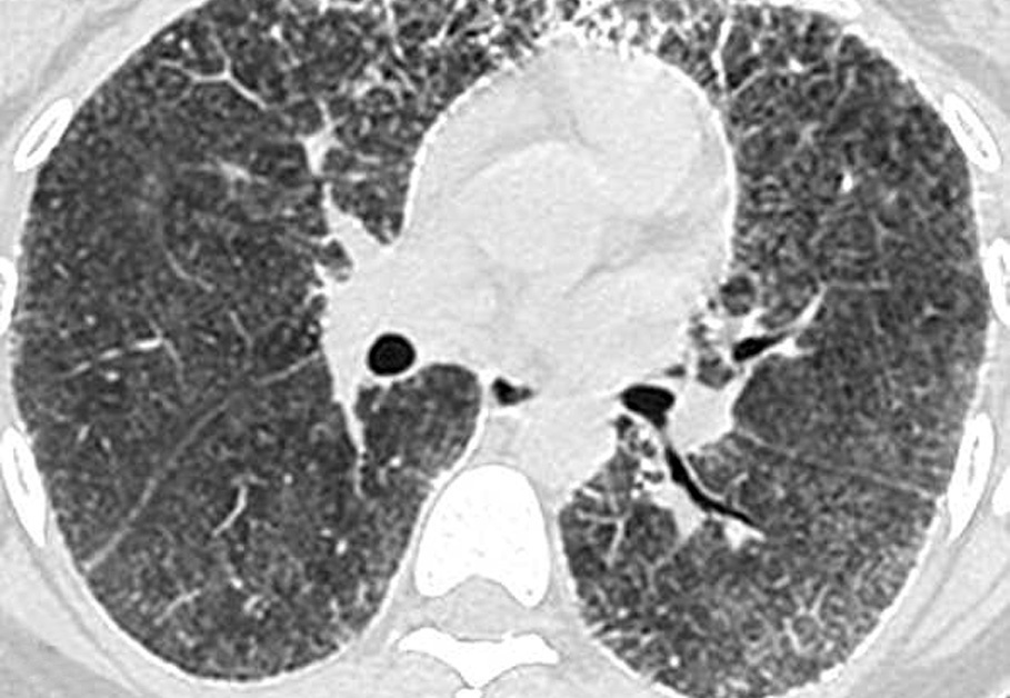
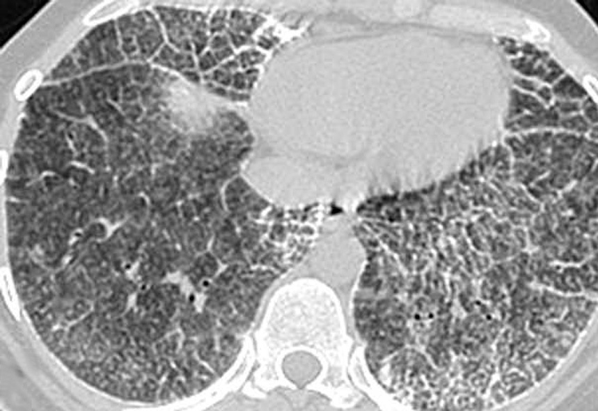
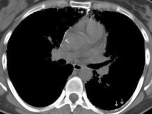
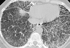
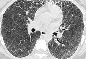
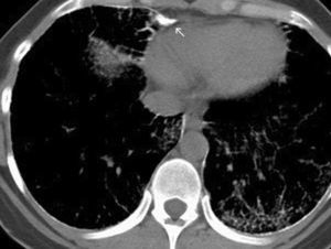
Las imágenes demostraron la presencia de puntiformes y difusas calcificaciones bilaterales, de predominio subpleural, en pleura mediastínica y en los septos interlobulillares. Los segmentos posteriores e inferiores estaban mayoritariamente afectos (fig. 2). También se visualizaron nódulos calcificados a nivel de segmentos anteriores (fig. 2B). El estudio detallado de alta resolución demostró un "patrón en empedrado" o crazzy-paving con marcado engrosamiento de los septos interlobulillares asociado a áreas parcheadas de aumento de la densidad en "vidrio deslustrado" o ground-glass, con mayor afectación de los segmentos posterobasales (figs. 3A y B). A nivel de los lóbulos superiores también se evidencian pequeños quistes subpleurales (fig. 3C).
Fig. 2. Corte axial de tomografía computarizada torácica convencional con ventana de mediastino. (A) Se evidencia la presencia de múltiples calcificaciones puntiformes localizadas en mediastino anterior, pleura mediastínica y en el espacio subpleural posterior. En cortes axiales inferiores (B) se observa además moderado engrosamiento de los septos interlobulares con finas calcificaciones, y con mayor predisposición de los segmentos posteriores, así como nódulo calcificado anterior (flecha).
Fig. 3. Las imágenes tomográficas de alta resolución demuestran la presencia de áreas mal definidas de aumento de densidad en vidrio deslustrado o ground-glass, con moderado engrosamiento de los septos interlobulillares, principalmente en los segmentos anteriores, adoptando en conjunto un "patrón en empedrado" o crazy-paving pattern (A). Secciones inferiores (B) demuestran la mayor afectación de las bases pulmonares. (C) También pueden visualizarse pequeños quistes subpleurales (flechas).
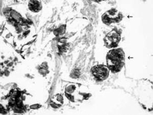
Se le realizó un lavado alveolar (BAL) y una biopsia transbronquial que confirmaron el diagnóstico de microlitiasis pulmonar alveolar, observándose minúsculas calcificaciones intraalveolares, también denominadas microlitos o calcosferitos (fig. 4).
Fig. 4. Hallazgos anátomo-patológicos confirman la presencia de calcificaciones intraalveolares concéntricas (flechas), diagnósticas de microlitiasis pulmonar alveolar.
Discusión
La microlitiasis pulmonar alveolar se trata de una enfermedad pulmonar crónica infrecuente caracterizada por la presencia de numerosas calcificaciones esféricas intraalveolares o "microlitos" con o sin fibrosis intersticial1. Análisis químicos revelan que están compuestos de fosfatos y carbonatos de calcio y magnesio1; la etiopatogenia todavía se desconoce. Los últimos estudios demuestran cierta predisposición familiar con una herencia autosómica recesiva2,3. Anteriormente también se pensó en la existencia de un error del metabolismo del calcio, pero los niveles del calcio y fósforo en sangre se mantenían normales1. Otros estudios proponían desde un aumento de la alcalinidad de la mucosa a una disminución en el aclaramiento mucociliar, que condicionaban la precipitación de los fosfonatos y carbonatos cálcicos a nivel intraalveolar4.
La enfermedad es especialmente prevalente en Turquía, representando el 33% de la literatura5. Generalmente afecta a adultos de mediana edad (30-50 años) y sin clara predisposición sexual.
Lo más característico de la enfermedad es la disociación clínico-radiológica, siendo un hallazgo incidental en la mayoría de los casos4,6. La enfermedad presenta una evolución progresiva con aumento gradual de la disnea en relación con la fibrosis, pudiendo terminar en trasplante pulmonar.
Aunque los microlitos suelen depositarse en el pulmón, también existe la posibilidad de que se trate de una alteración sistémica. Se han descrito casos asociados a nefrolitiasis, afectación gonadal y de nervios simpáticos periféricos e incluso en asociación con la artritis reumatoide7-9.
Los microlitos pueden encontrarse en el esputo, pero no son diagnósticos, ya que también pueden observarse en pacientes con enfermedad pulmonar obstructiva crónica (EPOC) y TBC. El diagnóstico definitivo se realiza mediante biopsia o lavado broncoalveolar (BAL)10.
En cuanto al tratamiento suele ser paliativo con oxigenoterapia continua, difosfonatos, esteroides y agentes quelantes.
Los hallazgos radiológicos son patognomónicos. La radiología simple muestra micronódulos bilaterales y difusos, descritos como sandstorm, con opacidades reticulares lineales y con mayor afectación de las bases pulmonares11-14.
También puede visualizarse una línea radiolucente subpleural entre la pleura parietal y las costillas, conocida y descrita por Felson como black pleural line11.
Felson sugirió que dicha línea se trataba de una ilusión visual creada por las diferentes densidades entre el parénquima calcificado y la superficie pleural. Posteriormente algunos autores propusieron que podría correlacionarse con la existencia de pequeños quistes subpleurales15. Sin embargo, un estudio reciente realizado con resonancia magnética (RM) demuestra que dicha línea puede producirse por una fina lámina de grasa extrapleural situada entre las costillas y parénquima calcificado16. También pueden observarse pequeñas bullas y áreas de panalización.
Las imágenes por TCAR15-22 muestran áreas de alta atenuación en "vidrio deslustrado" o ground-glass, con cierta predisposición por las bases pulmonares y segmentos posteriores. Parecen corresponder a cúmulos de microlitos inferiores a 1 mm, aunque también se pueden observar nódulos calcificados mayores de 1 mm15-20. Cuando estas áreas en vidrio deslustrado se asocian a engrosamiento de los septos, adoptan lo que se conoce como "patrón en empedrado" o crazy-paving pattern. Este hallazgo generalmente se ha asociado a patologías tales como la proteinosis alveolar y la neumonía por Pneumocystis carinii, entre otras21,22 y con menor frecuencia a la microlitiasis alveolar.
Otros hallazgos incluyen la presencia de pequeños quistes subpleurales, neumotórax, puntiformes calcificaciones pleurales y áreas de engrosamiento pleural.
Por último, la gammagrafía con 99mTc-MDP es de utilidad en los casos dudosos y de posible afectación sistémica, observándose un aumento en la captación del isótopo23.
En cuanto al diagnóstico diferencial habría que diferenciar entre calcificaciones pulmonares distróficas (calcificaciones sobre tejidos necróticos o fibrosos, por ejemplo enfermedades granulomatosas como TBC, neumoconiosis, calcificaciones pulmonares vasculares, etc.) o calcificaciones metastásicas (depósito de calcio sobre tejidos normales y asociado a alteración del metabolismo del calcio, por ejemplo en hiperparatiroidismo, hipervitaminosis D, mieloma múltiple, sarcoidosis, metástasis o insuficiencia renal crónica). Los hallazgos radiológicos correlacionados con la exploración clínica y resultados de laboratorio ayudan en el diagnóstico1.
En resumen, la microlitiasis pulmonar alveolar es una enfermedad infrecuente de causa desconocida, con cierta predisposición familiar y con importante disociación clínico-radiológica. En las imágenes por TC se demuestra la presencia de áreas parcheadas en vidrio deslustrado con calcificaciones micronodulares o nódulos groseros, de predominio subpleural. Infrecuentemente se observa la asociación con afectación intersticial, como en nuestro caso, adoptando un patrón en empedrado o crazy paving.











